与抗lgi1抗体相关的自身免疫性脑炎:神经精神系统性红斑狼疮的潜在原因

IF 3.5 2区 医学 Q1 RHEUMATOLOGY
Sixian Chen, Haitao Ren, Siyuan Fan, Shangzhu Zhang, Mengtao Li, Hongzhi Guan
{"title":"与抗lgi1抗体相关的自身免疫性脑炎:神经精神系统性红斑狼疮的潜在原因","authors":"Sixian Chen, Haitao Ren, Siyuan Fan, Shangzhu Zhang, Mengtao Li, Hongzhi Guan","doi":"10.1136/lupus-2024-001429","DOIUrl":null,"url":null,"abstract":"<p><strong>Objective: </strong>To investigate the clinical features and treatment outcomes of anti-leucine-rich glioma-inactivated 1 (anti-LGI1) encephalitis in patients with SLE.</p><p><strong>Methods: </strong>Between October 2014 and April 2024, serum or cerebrospinal fluid samples were collected from 332 patients with SLE suspected of autoimmune encephalitis. Cell-based assays were used to detect autoimmune antibodies, including anti-LGI1 antibodies. Four patients tested positive for anti-LGI1 antibodies, and their clinical, radiological and treatment data were analysed.</p><p><strong>Results: </strong>All four patients exhibited signs of limbic encephalitis, including short-term memory deficits, seizures and psychiatric disturbances. Two cases also presented with faciobrachial dystonic seizures. MRI findings revealed hyperintense basal ganglia lesions in two patients. Treatment with corticosteroids, intravenous immunoglobulin and mycophenolate mofetil led to significant improvement in three patients, with no relapses during a follow-up period ranging from 33 to 60 months. One patient succumbed to pneumonia despite initial improvement of neurological function.</p><p><strong>Conclusion: </strong>Screening for anti-LGI1 antibodies in patients with neuropsychiatric systemic lupus erythematosus (NPSLE) is crucial when limbic encephalitis presents, as it enables timely and effective treatment, potentially improving patients' outcomes. Additional basic and clinical research is required to clarify the pathogenic role of these antibodies in NPSLE.</p>","PeriodicalId":18126,"journal":{"name":"Lupus Science & Medicine","volume":"12 1","pages":""},"PeriodicalIF":3.5000,"publicationDate":"2025-02-18","publicationTypes":"Journal Article","fieldsOfStudy":null,"isOpenAccess":false,"openAccessPdf":"https://www.ncbi.nlm.nih.gov/pmc/articles/PMC11836784/pdf/","citationCount":"0","resultStr":"{\"title\":\"Autoimmune encephalitis associated with anti-LGI1 antibody: a potential cause of neuropsychiatric systemic lupus erythematosus.\",\"authors\":\"Sixian Chen, Haitao Ren, Siyuan Fan, Shangzhu Zhang, Mengtao Li, Hongzhi Guan\",\"doi\":\"10.1136/lupus-2024-001429\",\"DOIUrl\":null,\"url\":null,\"abstract\":\"<p><strong>Objective: </strong>To investigate the clinical features and treatment outcomes of anti-leucine-rich glioma-inactivated 1 (anti-LGI1) encephalitis in patients with SLE.</p><p><strong>Methods: </strong>Between October 2014 and April 2024, serum or cerebrospinal fluid samples were collected from 332 patients with SLE suspected of autoimmune encephalitis. Cell-based assays were used to detect autoimmune antibodies, including anti-LGI1 antibodies. Four patients tested positive for anti-LGI1 antibodies, and their clinical, radiological and treatment data were analysed.</p><p><strong>Results: </strong>All four patients exhibited signs of limbic encephalitis, including short-term memory deficits, seizures and psychiatric disturbances. Two cases also presented with faciobrachial dystonic seizures. MRI findings revealed hyperintense basal ganglia lesions in two patients. Treatment with corticosteroids, intravenous immunoglobulin and mycophenolate mofetil led to significant improvement in three patients, with no relapses during a follow-up period ranging from 33 to 60 months. One patient succumbed to pneumonia despite initial improvement of neurological function.</p><p><strong>Conclusion: </strong>Screening for anti-LGI1 antibodies in patients with neuropsychiatric systemic lupus erythematosus (NPSLE) is crucial when limbic encephalitis presents, as it enables timely and effective treatment, potentially improving patients' outcomes. Additional basic and clinical research is required to clarify the pathogenic role of these antibodies in NPSLE.</p>\",\"PeriodicalId\":18126,\"journal\":{\"name\":\"Lupus Science & Medicine\",\"volume\":\"12 1\",\"pages\":\"\"},\"PeriodicalIF\":3.5000,\"publicationDate\":\"2025-02-18\",\"publicationTypes\":\"Journal Article\",\"fieldsOfStudy\":null,\"isOpenAccess\":false,\"openAccessPdf\":\"https://www.ncbi.nlm.nih.gov/pmc/articles/PMC11836784/pdf/\",\"citationCount\":\"0\",\"resultStr\":null,\"platform\":\"Semanticscholar\",\"paperid\":null,\"PeriodicalName\":\"Lupus Science & Medicine\",\"FirstCategoryId\":\"3\",\"ListUrlMain\":\"https://doi.org/10.1136/lupus-2024-001429\",\"RegionNum\":2,\"RegionCategory\":\"医学\",\"ArticlePicture\":[],\"TitleCN\":null,\"AbstractTextCN\":null,\"PMCID\":null,\"EPubDate\":\"\",\"PubModel\":\"\",\"JCR\":\"Q1\",\"JCRName\":\"RHEUMATOLOGY\",\"Score\":null,\"Total\":0}","platform":"Semanticscholar","paperid":null,"PeriodicalName":"Lupus Science & Medicine","FirstCategoryId":"3","ListUrlMain":"https://doi.org/10.1136/lupus-2024-001429","RegionNum":2,"RegionCategory":"医学","ArticlePicture":[],"TitleCN":null,"AbstractTextCN":null,"PMCID":null,"EPubDate":"","PubModel":"","JCR":"Q1","JCRName":"RHEUMATOLOGY","Score":null,"Total":0}
引用次数: 0

摘要

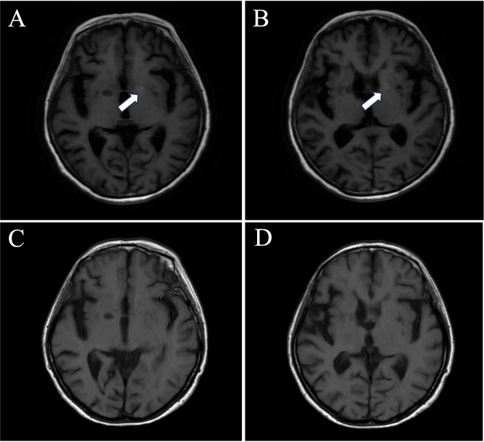
目的:探讨SLE患者抗富亮氨酸胶质瘤失活1 (anti-LGI1)脑炎的临床特点及治疗效果。方法:2014年10月至2024年4月,收集疑似自身免疫性脑炎SLE患者332例血清或脑脊液标本。基于细胞的检测方法用于检测自身免疫抗体,包括抗lgi1抗体。4例患者抗lgi1抗体检测呈阳性,并对其临床、放射学和治疗资料进行分析。结果:所有4例患者均表现出边缘脑炎的症状,包括短期记忆缺陷、癫痫发作和精神障碍。2例还出现面臂肌张力障碍发作。MRI结果显示两例患者基底神经节高强度病变。皮质类固醇、静脉注射免疫球蛋白和霉酚酸酯治疗使3例患者的病情显著改善,在33至60个月的随访期间无复发。一名患者死于肺炎,尽管最初的神经功能有所改善。结论:神经精神系统性红斑狼疮(NPSLE)患者出现边缘脑炎时,筛查抗lgi1抗体至关重要,因为它可以及时有效地治疗,有可能改善患者的预后。需要进一步的基础和临床研究来阐明这些抗体在NPSLE中的致病作用。
本文章由计算机程序翻译,如有差异,请以英文原文为准。

Autoimmune encephalitis associated with anti-LGI1 antibody: a potential cause of neuropsychiatric systemic lupus erythematosus.

Autoimmune encephalitis associated with anti-LGI1 antibody: a potential cause of neuropsychiatric systemic lupus erythematosus.

Autoimmune encephalitis associated with anti-LGI1 antibody: a potential cause of neuropsychiatric systemic lupus erythematosus.

Objective: To investigate the clinical features and treatment outcomes of anti-leucine-rich glioma-inactivated 1 (anti-LGI1) encephalitis in patients with SLE.

Methods: Between October 2014 and April 2024, serum or cerebrospinal fluid samples were collected from 332 patients with SLE suspected of autoimmune encephalitis. Cell-based assays were used to detect autoimmune antibodies, including anti-LGI1 antibodies. Four patients tested positive for anti-LGI1 antibodies, and their clinical, radiological and treatment data were analysed.

Results: All four patients exhibited signs of limbic encephalitis, including short-term memory deficits, seizures and psychiatric disturbances. Two cases also presented with faciobrachial dystonic seizures. MRI findings revealed hyperintense basal ganglia lesions in two patients. Treatment with corticosteroids, intravenous immunoglobulin and mycophenolate mofetil led to significant improvement in three patients, with no relapses during a follow-up period ranging from 33 to 60 months. One patient succumbed to pneumonia despite initial improvement of neurological function.

Conclusion: Screening for anti-LGI1 antibodies in patients with neuropsychiatric systemic lupus erythematosus (NPSLE) is crucial when limbic encephalitis presents, as it enables timely and effective treatment, potentially improving patients' outcomes. Additional basic and clinical research is required to clarify the pathogenic role of these antibodies in NPSLE.

求助全文
通过发布文献求助,成功后即可免费获取论文全文。 去求助
来源期刊
Lupus Science & Medicine
Lupus Science & Medicine RHEUMATOLOGY-
CiteScore
5.30
自引率
7.70%
发文量
88
审稿时长
15 weeks
期刊介绍: Lupus Science & Medicine is a global, peer reviewed, open access online journal that provides a central point for publication of basic, clinical, translational, and epidemiological studies of all aspects of lupus and related diseases. It is the first lupus-specific open access journal in the world and was developed in response to the need for a barrier-free forum for publication of groundbreaking studies in lupus. The journal publishes research on lupus from fields including, but not limited to: rheumatology, dermatology, nephrology, immunology, pediatrics, cardiology, hepatology, pulmonology, obstetrics and gynecology, and psychiatry.
×
引用
GB/T 7714-2015
复制
MLA
复制
APA
复制
导出至
BibTeX EndNote RefMan NoteFirst NoteExpress
×
提示
您的信息不完整,为了账户安全,请先补充。
现在去补充
×
提示
您因"违规操作"
具体请查看互助需知
我知道了
×
提示
确定
请完成安全验证×
copy
已复制链接
快去分享给好友吧!
我知道了
右上角分享
点击右上角分享
0
联系我们:info@booksci.cn Book学术提供免费学术资源搜索服务,方便国内外学者检索中英文文献。致力于提供最便捷和优质的服务体验。 Copyright © 2023 布克学术 All rights reserved.
京ICP备2023020795号-1
ghs 京公网安备 11010802042870号
Book学术文献互助
Book学术文献互助群
群 号:604180095
Book学术官方微信