由幼虫迁移和疥螨引起的皮肤感染:异常皮肤定位的病例报告。

IF 1.3 Q2 DERMATOLOGY
Dermatology Reports Pub Date : 2025-08-22 Epub Date: 2025-02-19 DOI:10.4081/dr.2025.10098
Alessandro Martella
{"title":"由幼虫迁移和疥螨引起的皮肤感染:异常皮肤定位的病例报告。","authors":"Alessandro Martella","doi":"10.4081/dr.2025.10098","DOIUrl":null,"url":null,"abstract":"<p><p>Unusual skin infection localization represents a challenge to physicians regarding presentation and mode of acquisition, which may influence the diagnosis. At the same time, the administration of incorrect drugs due to a misdiagnosis might have a negative impact on the disease course. This article presents two cases detailing the unusual presentation of larva migrans and scabies mite infection in two Italian patients, highlighting the importance of clinical vigilance and comprehensive evaluation of patients. These cases suggest how an accurate diagnosis requires a high index of suspicion and appropriate diagnostic tools, such as dermoscopy, for the prompt recognition of skin infections and the consequent optimal patient outcome.</p>","PeriodicalId":11049,"journal":{"name":"Dermatology Reports","volume":" ","pages":""},"PeriodicalIF":1.3000,"publicationDate":"2025-08-22","publicationTypes":"Journal Article","fieldsOfStudy":null,"isOpenAccess":false,"openAccessPdf":"https://www.ncbi.nlm.nih.gov/pmc/articles/PMC12448053/pdf/","citationCount":"0","resultStr":"{\"title\":\"Skin infection by larva migrans and scabies mites: case reports on unusual skin localizations.\",\"authors\":\"Alessandro Martella\",\"doi\":\"10.4081/dr.2025.10098\",\"DOIUrl\":null,\"url\":null,\"abstract\":\"<p><p>Unusual skin infection localization represents a challenge to physicians regarding presentation and mode of acquisition, which may influence the diagnosis. At the same time, the administration of incorrect drugs due to a misdiagnosis might have a negative impact on the disease course. This article presents two cases detailing the unusual presentation of larva migrans and scabies mite infection in two Italian patients, highlighting the importance of clinical vigilance and comprehensive evaluation of patients. These cases suggest how an accurate diagnosis requires a high index of suspicion and appropriate diagnostic tools, such as dermoscopy, for the prompt recognition of skin infections and the consequent optimal patient outcome.</p>\",\"PeriodicalId\":11049,\"journal\":{\"name\":\"Dermatology Reports\",\"volume\":\" \",\"pages\":\"\"},\"PeriodicalIF\":1.3000,\"publicationDate\":\"2025-08-22\",\"publicationTypes\":\"Journal Article\",\"fieldsOfStudy\":null,\"isOpenAccess\":false,\"openAccessPdf\":\"https://www.ncbi.nlm.nih.gov/pmc/articles/PMC12448053/pdf/\",\"citationCount\":\"0\",\"resultStr\":null,\"platform\":\"Semanticscholar\",\"paperid\":null,\"PeriodicalName\":\"Dermatology Reports\",\"FirstCategoryId\":\"1085\",\"ListUrlMain\":\"https://doi.org/10.4081/dr.2025.10098\",\"RegionNum\":0,\"RegionCategory\":null,\"ArticlePicture\":[],\"TitleCN\":null,\"AbstractTextCN\":null,\"PMCID\":null,\"EPubDate\":\"2025/2/19 0:00:00\",\"PubModel\":\"Epub\",\"JCR\":\"Q2\",\"JCRName\":\"DERMATOLOGY\",\"Score\":null,\"Total\":0}","platform":"Semanticscholar","paperid":null,"PeriodicalName":"Dermatology Reports","FirstCategoryId":"1085","ListUrlMain":"https://doi.org/10.4081/dr.2025.10098","RegionNum":0,"RegionCategory":null,"ArticlePicture":[],"TitleCN":null,"AbstractTextCN":null,"PMCID":null,"EPubDate":"2025/2/19 0:00:00","PubModel":"Epub","JCR":"Q2","JCRName":"DERMATOLOGY","Score":null,"Total":0}
引用次数: 0

摘要

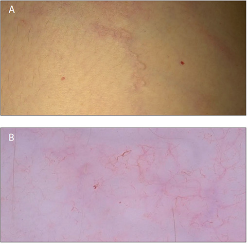
不寻常的皮肤感染定位对医生的表现和获得方式提出了挑战,所有这些都可能影响诊断。同时,由于误诊而使用不正确的药物可能对病程产生负面影响。本文介绍了两个病例报告,详细介绍了两名意大利患者的幼虫迁移和疥螨感染的不寻常表现,强调了临床警惕和患者综合评估的重要性。这些病例表明,准确的诊断需要高度的怀疑指数和适当的诊断工具,如皮肤镜检查,以便及时识别皮肤感染并由此获得最佳的患者结果。
本文章由计算机程序翻译,如有差异,请以英文原文为准。

Skin infection by larva migrans and scabies mites: case reports on unusual skin localizations.

Skin infection by larva migrans and scabies mites: case reports on unusual skin localizations.

Skin infection by larva migrans and scabies mites: case reports on unusual skin localizations.

Skin infection by larva migrans and scabies mites: case reports on unusual skin localizations.

Unusual skin infection localization represents a challenge to physicians regarding presentation and mode of acquisition, which may influence the diagnosis. At the same time, the administration of incorrect drugs due to a misdiagnosis might have a negative impact on the disease course. This article presents two cases detailing the unusual presentation of larva migrans and scabies mite infection in two Italian patients, highlighting the importance of clinical vigilance and comprehensive evaluation of patients. These cases suggest how an accurate diagnosis requires a high index of suspicion and appropriate diagnostic tools, such as dermoscopy, for the prompt recognition of skin infections and the consequent optimal patient outcome.

求助全文
通过发布文献求助,成功后即可免费获取论文全文。 去求助
来源期刊
Dermatology Reports
Dermatology Reports DERMATOLOGY-
CiteScore
1.40
自引率
0.00%
发文量
74
审稿时长
10 weeks
×
引用
GB/T 7714-2015
复制
MLA
复制
APA
复制
导出至
BibTeX EndNote RefMan NoteFirst NoteExpress
×
提示
您的信息不完整,为了账户安全,请先补充。
现在去补充
×
提示
您因"违规操作"
具体请查看互助需知
我知道了
×
提示
确定
请完成安全验证×
copy
已复制链接
快去分享给好友吧!
我知道了
右上角分享
点击右上角分享
0
联系我们:info@booksci.cn Book学术提供免费学术资源搜索服务,方便国内外学者检索中英文文献。致力于提供最便捷和优质的服务体验。 Copyright © 2023 布克学术 All rights reserved.
京ICP备2023020795号-1
ghs 京公网安备 11010802042870号
Book学术文献互助
Book学术文献互助群
群 号:604180095
Book学术官方微信