新辅助派姆单抗治疗三阴性乳腺癌期间发生严重血小板减少性紫癜1例。

IF 0.7 Q4 SURGERY
Surgical Case Reports Pub Date : 2025-01-01 Epub Date: 2025-02-01 DOI:10.70352/scrj.cr.24-0036
Ryoko Semba, Shiori Tohyama, Yumiko Ushiyama, Fumi Murakami, Sakiko Harada, Kanako Ogura, Junichiro Watanabe
{"title":"新辅助派姆单抗治疗三阴性乳腺癌期间发生严重血小板减少性紫癜1例。","authors":"Ryoko Semba, Shiori Tohyama, Yumiko Ushiyama, Fumi Murakami, Sakiko Harada, Kanako Ogura, Junichiro Watanabe","doi":"10.70352/scrj.cr.24-0036","DOIUrl":null,"url":null,"abstract":"<p><strong>Introduction: </strong>Immune thrombocytopenic purpura (ITP) is one of the immune-related adverse events (irAEs) related to immune checkpoint inhibitors (ICIs). Here, we report a case of a 51-year-old woman with triple-negative breast cancer (TNBC) who experienced severe thrombocytopenic purpura during the neoadjuvant chemotherapy (NAC), including pembrolizumab.</p><p><strong>Case presentation: </strong>A 51-year-old woman was diagnosed with Stage II B TNBC and underwent NAC using pembrolizumab + paclitaxel + carboplatin. Her blood test on cycle 4, day 15 (C4D15) showed a significant decrease in platelets to <2000/μL accompanied by overt bleeding tendency. She was hospitalized for further investigation and treatment. Her platelet count recovered after platelet concentrate transfusion and corticosteroid administration. Her bone marrow examination showed normal cellularity, and she was judged as ITP. Due to the event and good clinical response to NAC, she underwent a right partial mastectomy and axillary lymph node dissection without completion of the planned NAC. The surgical specimen showed a complete pathological response.</p><p><strong>Conclusions: </strong>Thrombocytopenia is known as one of the hematologic irAEs; however, severe thrombocytopenia with a bleeding tendency is rarely reported. Sufficient explanations to patients and appropriate referral to other related departments are important for earlier detection and treatment of irAE.</p>","PeriodicalId":22096,"journal":{"name":"Surgical Case Reports","volume":"11 1","pages":""},"PeriodicalIF":0.7000,"publicationDate":"2025-01-01","publicationTypes":"Journal Article","fieldsOfStudy":null,"isOpenAccess":false,"openAccessPdf":"https://www.ncbi.nlm.nih.gov/pmc/articles/PMC11832221/pdf/","citationCount":"0","resultStr":"{\"title\":\"A Case Report of Severe Thrombocytopenic Purpura during Neoadjuvant Pembrolizumab Administration for Triple-Negative Breast Cancer.\",\"authors\":\"Ryoko Semba, Shiori Tohyama, Yumiko Ushiyama, Fumi Murakami, Sakiko Harada, Kanako Ogura, Junichiro Watanabe\",\"doi\":\"10.70352/scrj.cr.24-0036\",\"DOIUrl\":null,\"url\":null,\"abstract\":\"<p><strong>Introduction: </strong>Immune thrombocytopenic purpura (ITP) is one of the immune-related adverse events (irAEs) related to immune checkpoint inhibitors (ICIs). Here, we report a case of a 51-year-old woman with triple-negative breast cancer (TNBC) who experienced severe thrombocytopenic purpura during the neoadjuvant chemotherapy (NAC), including pembrolizumab.</p><p><strong>Case presentation: </strong>A 51-year-old woman was diagnosed with Stage II B TNBC and underwent NAC using pembrolizumab + paclitaxel + carboplatin. Her blood test on cycle 4, day 15 (C4D15) showed a significant decrease in platelets to <2000/μL accompanied by overt bleeding tendency. She was hospitalized for further investigation and treatment. Her platelet count recovered after platelet concentrate transfusion and corticosteroid administration. Her bone marrow examination showed normal cellularity, and she was judged as ITP. Due to the event and good clinical response to NAC, she underwent a right partial mastectomy and axillary lymph node dissection without completion of the planned NAC. The surgical specimen showed a complete pathological response.</p><p><strong>Conclusions: </strong>Thrombocytopenia is known as one of the hematologic irAEs; however, severe thrombocytopenia with a bleeding tendency is rarely reported. Sufficient explanations to patients and appropriate referral to other related departments are important for earlier detection and treatment of irAE.</p>\",\"PeriodicalId\":22096,\"journal\":{\"name\":\"Surgical Case Reports\",\"volume\":\"11 1\",\"pages\":\"\"},\"PeriodicalIF\":0.7000,\"publicationDate\":\"2025-01-01\",\"publicationTypes\":\"Journal Article\",\"fieldsOfStudy\":null,\"isOpenAccess\":false,\"openAccessPdf\":\"https://www.ncbi.nlm.nih.gov/pmc/articles/PMC11832221/pdf/\",\"citationCount\":\"0\",\"resultStr\":null,\"platform\":\"Semanticscholar\",\"paperid\":null,\"PeriodicalName\":\"Surgical Case Reports\",\"FirstCategoryId\":\"1085\",\"ListUrlMain\":\"https://doi.org/10.70352/scrj.cr.24-0036\",\"RegionNum\":0,\"RegionCategory\":null,\"ArticlePicture\":[],\"TitleCN\":null,\"AbstractTextCN\":null,\"PMCID\":null,\"EPubDate\":\"2025/2/1 0:00:00\",\"PubModel\":\"Epub\",\"JCR\":\"Q4\",\"JCRName\":\"SURGERY\",\"Score\":null,\"Total\":0}","platform":"Semanticscholar","paperid":null,"PeriodicalName":"Surgical Case Reports","FirstCategoryId":"1085","ListUrlMain":"https://doi.org/10.70352/scrj.cr.24-0036","RegionNum":0,"RegionCategory":null,"ArticlePicture":[],"TitleCN":null,"AbstractTextCN":null,"PMCID":null,"EPubDate":"2025/2/1 0:00:00","PubModel":"Epub","JCR":"Q4","JCRName":"SURGERY","Score":null,"Total":0}
引用次数: 0

摘要

免疫性血小板减少性紫癜(ITP)是与免疫检查点抑制剂(ICIs)相关的免疫相关不良事件(irAEs)之一。在这里,我们报告了一例51岁的三阴性乳腺癌(TNBC)妇女,她在新辅助化疗(NAC)期间经历了严重的血小板减少性紫癜,包括派姆单抗。病例介绍:一名51岁的女性被诊断为II期B TNBC,并接受了派姆单抗+紫杉醇+卡铂的NAC治疗。她在第4周期第15天的血液检查(C4D15)显示血小板明显减少。结论:血小板减少症被称为血液学irae之一;然而,伴有出血倾向的严重血小板减少症很少报道。对患者充分的解释和适当的转诊到其他相关部门,对于早期发现和治疗irAE是重要的。
本文章由计算机程序翻译,如有差异,请以英文原文为准。

A Case Report of Severe Thrombocytopenic Purpura during Neoadjuvant Pembrolizumab Administration for Triple-Negative Breast Cancer.

A Case Report of Severe Thrombocytopenic Purpura during Neoadjuvant Pembrolizumab Administration for Triple-Negative Breast Cancer.

A Case Report of Severe Thrombocytopenic Purpura during Neoadjuvant Pembrolizumab Administration for Triple-Negative Breast Cancer.

A Case Report of Severe Thrombocytopenic Purpura during Neoadjuvant Pembrolizumab Administration for Triple-Negative Breast Cancer.

Introduction: Immune thrombocytopenic purpura (ITP) is one of the immune-related adverse events (irAEs) related to immune checkpoint inhibitors (ICIs). Here, we report a case of a 51-year-old woman with triple-negative breast cancer (TNBC) who experienced severe thrombocytopenic purpura during the neoadjuvant chemotherapy (NAC), including pembrolizumab.

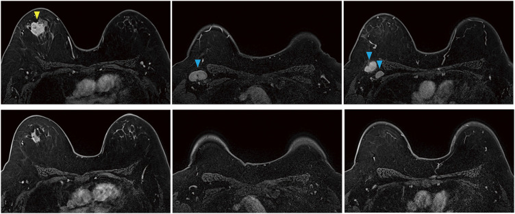
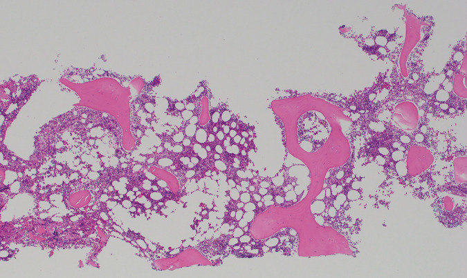
Case presentation: A 51-year-old woman was diagnosed with Stage II B TNBC and underwent NAC using pembrolizumab + paclitaxel + carboplatin. Her blood test on cycle 4, day 15 (C4D15) showed a significant decrease in platelets to <2000/μL accompanied by overt bleeding tendency. She was hospitalized for further investigation and treatment. Her platelet count recovered after platelet concentrate transfusion and corticosteroid administration. Her bone marrow examination showed normal cellularity, and she was judged as ITP. Due to the event and good clinical response to NAC, she underwent a right partial mastectomy and axillary lymph node dissection without completion of the planned NAC. The surgical specimen showed a complete pathological response.

Conclusions: Thrombocytopenia is known as one of the hematologic irAEs; however, severe thrombocytopenia with a bleeding tendency is rarely reported. Sufficient explanations to patients and appropriate referral to other related departments are important for earlier detection and treatment of irAE.

求助全文
通过发布文献求助,成功后即可免费获取论文全文。 去求助
来源期刊
自引率
0.00%
发文量
218
审稿时长
13 weeks
×
引用
GB/T 7714-2015
复制
MLA
复制
APA
复制
导出至
BibTeX EndNote RefMan NoteFirst NoteExpress
×
提示
您的信息不完整,为了账户安全,请先补充。
现在去补充
×
提示
您因"违规操作"
具体请查看互助需知
我知道了
×
提示
确定
请完成安全验证×
copy
已复制链接
快去分享给好友吧!
我知道了
右上角分享
点击右上角分享
0
联系我们:info@booksci.cn Book学术提供免费学术资源搜索服务,方便国内外学者检索中英文文献。致力于提供最便捷和优质的服务体验。 Copyright © 2023 布克学术 All rights reserved.
京ICP备2023020795号-1
ghs 京公网安备 11010802042870号
Book学术文献互助
Book学术文献互助群
群 号:604180095
Book学术官方微信