绝经后子宫动静脉畸形治疗的挑战。

IF 1 Q3 OBSTETRICS & GYNECOLOGY
Journal of Mid-life Health Pub Date : 2024-10-01 Epub Date: 2025-01-02 DOI:10.4103/jmh.jmh_178_24
Pooja Sahu, Deepthy Balakrishnan, Ranjan K Patel, Tara Prasad Tripathy
{"title":"绝经后子宫动静脉畸形治疗的挑战。","authors":"Pooja Sahu, Deepthy Balakrishnan, Ranjan K Patel, Tara Prasad Tripathy","doi":"10.4103/jmh.jmh_178_24","DOIUrl":null,"url":null,"abstract":"<p><p>Uterine arteriovenous malformation (UAVM) is an infrequent occurrence among postmenopausal women. Our review of the literature revealed only a few documented cases of UAVM in this demographic. Treatment options for these patients encompass uterine artery embolization (UAE), medical management, and hysterectomy. We encountered a case involving a 54-year-old woman, postmenopausal for 9 years, who presented with a history of postmenopausal bleeding over the preceding 3 months. Imaging studies confirmed the presence of UAVM. Despite an attempted UAE, the procedure proved unsuccessful, leading to the decision to perform a hysterectomy with meticulous attention to minimizing blood loss. Notably, UAE may not consistently achieve favorable outcomes in addressing UAVM in postmenopausal women, thereby underscoring the consideration of hysterectomy as a safe alternative - treatment option without any excessive intraoperative bleeding.</p>","PeriodicalId":37717,"journal":{"name":"Journal of Mid-life Health","volume":"15 4","pages":"309-312"},"PeriodicalIF":1.0000,"publicationDate":"2024-10-01","publicationTypes":"Journal Article","fieldsOfStudy":null,"isOpenAccess":false,"openAccessPdf":"https://www.ncbi.nlm.nih.gov/pmc/articles/PMC11824939/pdf/","citationCount":"0","resultStr":"{\"title\":\"Challenges in the Management of Postmenopausal Uterine Artery Venous Malformation.\",\"authors\":\"Pooja Sahu, Deepthy Balakrishnan, Ranjan K Patel, Tara Prasad Tripathy\",\"doi\":\"10.4103/jmh.jmh_178_24\",\"DOIUrl\":null,\"url\":null,\"abstract\":\"<p><p>Uterine arteriovenous malformation (UAVM) is an infrequent occurrence among postmenopausal women. Our review of the literature revealed only a few documented cases of UAVM in this demographic. Treatment options for these patients encompass uterine artery embolization (UAE), medical management, and hysterectomy. We encountered a case involving a 54-year-old woman, postmenopausal for 9 years, who presented with a history of postmenopausal bleeding over the preceding 3 months. Imaging studies confirmed the presence of UAVM. Despite an attempted UAE, the procedure proved unsuccessful, leading to the decision to perform a hysterectomy with meticulous attention to minimizing blood loss. Notably, UAE may not consistently achieve favorable outcomes in addressing UAVM in postmenopausal women, thereby underscoring the consideration of hysterectomy as a safe alternative - treatment option without any excessive intraoperative bleeding.</p>\",\"PeriodicalId\":37717,\"journal\":{\"name\":\"Journal of Mid-life Health\",\"volume\":\"15 4\",\"pages\":\"309-312\"},\"PeriodicalIF\":1.0000,\"publicationDate\":\"2024-10-01\",\"publicationTypes\":\"Journal Article\",\"fieldsOfStudy\":null,\"isOpenAccess\":false,\"openAccessPdf\":\"https://www.ncbi.nlm.nih.gov/pmc/articles/PMC11824939/pdf/\",\"citationCount\":\"0\",\"resultStr\":null,\"platform\":\"Semanticscholar\",\"paperid\":null,\"PeriodicalName\":\"Journal of Mid-life Health\",\"FirstCategoryId\":\"1085\",\"ListUrlMain\":\"https://doi.org/10.4103/jmh.jmh_178_24\",\"RegionNum\":0,\"RegionCategory\":null,\"ArticlePicture\":[],\"TitleCN\":null,\"AbstractTextCN\":null,\"PMCID\":null,\"EPubDate\":\"2025/1/2 0:00:00\",\"PubModel\":\"Epub\",\"JCR\":\"Q3\",\"JCRName\":\"OBSTETRICS & GYNECOLOGY\",\"Score\":null,\"Total\":0}","platform":"Semanticscholar","paperid":null,"PeriodicalName":"Journal of Mid-life Health","FirstCategoryId":"1085","ListUrlMain":"https://doi.org/10.4103/jmh.jmh_178_24","RegionNum":0,"RegionCategory":null,"ArticlePicture":[],"TitleCN":null,"AbstractTextCN":null,"PMCID":null,"EPubDate":"2025/1/2 0:00:00","PubModel":"Epub","JCR":"Q3","JCRName":"OBSTETRICS & GYNECOLOGY","Score":null,"Total":0}
引用次数: 0

摘要

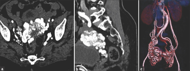
子宫动静脉畸形(UAVM)是一种罕见的发生在绝经后妇女。我们对文献的回顾显示,在这一人群中,只有少数记录在案的UAVM病例。这些患者的治疗选择包括子宫动脉栓塞(UAE)、医疗管理和子宫切除术。我们遇到了一个54岁的妇女,绝经9年,在绝经前3个月有出血史。影像学检查证实了UAVM的存在。尽管尝试了阿联酋手术,但手术失败了,因此决定进行子宫切除术,并一丝不苟地注意尽量减少失血。值得注意的是,在绝经后妇女中,子宫切除术可能并不总是能取得良好的结果,因此强调子宫切除术作为一种安全的替代治疗选择,没有任何术中过多出血。
本文章由计算机程序翻译,如有差异,请以英文原文为准。

Challenges in the Management of Postmenopausal Uterine Artery Venous Malformation.

Challenges in the Management of Postmenopausal Uterine Artery Venous Malformation.

Challenges in the Management of Postmenopausal Uterine Artery Venous Malformation.

Challenges in the Management of Postmenopausal Uterine Artery Venous Malformation.

Uterine arteriovenous malformation (UAVM) is an infrequent occurrence among postmenopausal women. Our review of the literature revealed only a few documented cases of UAVM in this demographic. Treatment options for these patients encompass uterine artery embolization (UAE), medical management, and hysterectomy. We encountered a case involving a 54-year-old woman, postmenopausal for 9 years, who presented with a history of postmenopausal bleeding over the preceding 3 months. Imaging studies confirmed the presence of UAVM. Despite an attempted UAE, the procedure proved unsuccessful, leading to the decision to perform a hysterectomy with meticulous attention to minimizing blood loss. Notably, UAE may not consistently achieve favorable outcomes in addressing UAVM in postmenopausal women, thereby underscoring the consideration of hysterectomy as a safe alternative - treatment option without any excessive intraoperative bleeding.

求助全文
通过发布文献求助,成功后即可免费获取论文全文。 去求助
来源期刊
Journal of Mid-life Health
Journal of Mid-life Health Social Sciences-Health (social science)
CiteScore
1.70
自引率
9.10%
发文量
39
审稿时长
43 weeks
期刊介绍: Journal of mid-life health is the official journal of the Indian Menopause society published Quarterly in January, April, July and October. It is peer reviewed, scientific journal of mid-life health and its problems. It includes all aspects of mid-life health, preventive as well as curative. The journal publishes on subjects such as gynecology, neurology, geriatrics, psychiatry, endocrinology, urology, andrology, psychology, healthy ageing, cardiovascular health, bone health, quality of life etc. as relevant of men and women in their midlife. The Journal provides a visible platform to the researchers as well as clinicians to publish their experiences in this area thereby helping in the promotion of mid-life health leading to healthy ageing, growing need due to increasing life expectancy. The Editorial team has maintained high standards and published original research papers, case reports and review articles from the best of the best contributors both national & international, consistently so that now, it has become a great tool in the hands of menopause practitioners.
×
引用
GB/T 7714-2015
复制
MLA
复制
APA
复制
导出至
BibTeX EndNote RefMan NoteFirst NoteExpress
×
提示
您的信息不完整,为了账户安全,请先补充。
现在去补充
×
提示
您因"违规操作"
具体请查看互助需知
我知道了
×
提示
确定
请完成安全验证×
copy
已复制链接
快去分享给好友吧!
我知道了
右上角分享
点击右上角分享
0
联系我们:info@booksci.cn Book学术提供免费学术资源搜索服务,方便国内外学者检索中英文文献。致力于提供最便捷和优质的服务体验。 Copyright © 2023 布克学术 All rights reserved.
京ICP备2023020795号-1
ghs 京公网安备 11010802042870号
Book学术文献互助
Book学术文献互助群
群 号:604180095
Book学术官方微信