表现为息肉的宫颈浅肌纤维母细胞瘤:一种罕见的良性实体。

IF 1 Q3 OBSTETRICS & GYNECOLOGY
Journal of Mid-life Health Pub Date : 2024-10-01 Epub Date: 2025-01-02 DOI:10.4103/jmh.jmh_159_24
Smita Singh, Neha, Kiran Agarwal, Rushali Saxena
{"title":"表现为息肉的宫颈浅肌纤维母细胞瘤:一种罕见的良性实体。","authors":"Smita Singh, Neha, Kiran Agarwal, Rushali Saxena","doi":"10.4103/jmh.jmh_159_24","DOIUrl":null,"url":null,"abstract":"<p><p>Superficial myofibroblastoma of the lower female genital tract is a rare and recently identified benign mesenchymal tumor with only 57 cases reported till now. Majority of the cases are described in the vagina and few cases in the cervix and vulva. It may present as a polypoid or cystic mass, and few cases are detected incidentally. It has a unique morphology and immunohistochemical features. The entity may mimic other benign and malignant conditions of the female genital tract and hence pose a diagnostic challenge. Here, we describe a patient with cervical superficial myofibroblastoma who presented with bleeding per vaginum and polyp in the cervix. Morphology and immunohistochemical findings helped in the final diagnosis. Awareness of this rare benign entity can help us to differentiate superficial myofibroblastoma from many aggressive entities and thus prevent radical surgeries.</p>","PeriodicalId":37717,"journal":{"name":"Journal of Mid-life Health","volume":"15 4","pages":"306-308"},"PeriodicalIF":1.0000,"publicationDate":"2024-10-01","publicationTypes":"Journal Article","fieldsOfStudy":null,"isOpenAccess":false,"openAccessPdf":"https://www.ncbi.nlm.nih.gov/pmc/articles/PMC11824936/pdf/","citationCount":"0","resultStr":"{\"title\":\"Cervical Superficial Myofibroblastoma Presenting as a Polyp: A Rare Benign Entity.\",\"authors\":\"Smita Singh, Neha, Kiran Agarwal, Rushali Saxena\",\"doi\":\"10.4103/jmh.jmh_159_24\",\"DOIUrl\":null,\"url\":null,\"abstract\":\"<p><p>Superficial myofibroblastoma of the lower female genital tract is a rare and recently identified benign mesenchymal tumor with only 57 cases reported till now. Majority of the cases are described in the vagina and few cases in the cervix and vulva. It may present as a polypoid or cystic mass, and few cases are detected incidentally. It has a unique morphology and immunohistochemical features. The entity may mimic other benign and malignant conditions of the female genital tract and hence pose a diagnostic challenge. Here, we describe a patient with cervical superficial myofibroblastoma who presented with bleeding per vaginum and polyp in the cervix. Morphology and immunohistochemical findings helped in the final diagnosis. Awareness of this rare benign entity can help us to differentiate superficial myofibroblastoma from many aggressive entities and thus prevent radical surgeries.</p>\",\"PeriodicalId\":37717,\"journal\":{\"name\":\"Journal of Mid-life Health\",\"volume\":\"15 4\",\"pages\":\"306-308\"},\"PeriodicalIF\":1.0000,\"publicationDate\":\"2024-10-01\",\"publicationTypes\":\"Journal Article\",\"fieldsOfStudy\":null,\"isOpenAccess\":false,\"openAccessPdf\":\"https://www.ncbi.nlm.nih.gov/pmc/articles/PMC11824936/pdf/\",\"citationCount\":\"0\",\"resultStr\":null,\"platform\":\"Semanticscholar\",\"paperid\":null,\"PeriodicalName\":\"Journal of Mid-life Health\",\"FirstCategoryId\":\"1085\",\"ListUrlMain\":\"https://doi.org/10.4103/jmh.jmh_159_24\",\"RegionNum\":0,\"RegionCategory\":null,\"ArticlePicture\":[],\"TitleCN\":null,\"AbstractTextCN\":null,\"PMCID\":null,\"EPubDate\":\"2025/1/2 0:00:00\",\"PubModel\":\"Epub\",\"JCR\":\"Q3\",\"JCRName\":\"OBSTETRICS & GYNECOLOGY\",\"Score\":null,\"Total\":0}","platform":"Semanticscholar","paperid":null,"PeriodicalName":"Journal of Mid-life Health","FirstCategoryId":"1085","ListUrlMain":"https://doi.org/10.4103/jmh.jmh_159_24","RegionNum":0,"RegionCategory":null,"ArticlePicture":[],"TitleCN":null,"AbstractTextCN":null,"PMCID":null,"EPubDate":"2025/1/2 0:00:00","PubModel":"Epub","JCR":"Q3","JCRName":"OBSTETRICS & GYNECOLOGY","Score":null,"Total":0}
引用次数: 0

摘要

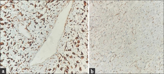
下女性生殖道浅表性肌纤维母细胞瘤是一种罕见的良性间充质肿瘤,近年来才被发现,目前仅报道57例。大多数病例发生在阴道,少数病例发生在宫颈和外阴。它可以表现为息肉样或囊性肿块,少数病例是偶然发现的。它具有独特的形态和免疫组织化学特征。该实体可能模仿女性生殖道的其他良性和恶性状况,因此构成诊断挑战。在这里,我们描述了一例宫颈浅表肌成纤维细胞瘤患者,其表现为阴道出血和宫颈息肉。形态学和免疫组织化学检查结果有助于最终诊断。意识到这种罕见的良性实体可以帮助我们将浅表肌成纤维细胞瘤与许多侵袭性实体区分开来,从而防止根治性手术。
本文章由计算机程序翻译,如有差异,请以英文原文为准。

Cervical Superficial Myofibroblastoma Presenting as a Polyp: A Rare Benign Entity.

Cervical Superficial Myofibroblastoma Presenting as a Polyp: A Rare Benign Entity.

Cervical Superficial Myofibroblastoma Presenting as a Polyp: A Rare Benign Entity.

Cervical Superficial Myofibroblastoma Presenting as a Polyp: A Rare Benign Entity.

Superficial myofibroblastoma of the lower female genital tract is a rare and recently identified benign mesenchymal tumor with only 57 cases reported till now. Majority of the cases are described in the vagina and few cases in the cervix and vulva. It may present as a polypoid or cystic mass, and few cases are detected incidentally. It has a unique morphology and immunohistochemical features. The entity may mimic other benign and malignant conditions of the female genital tract and hence pose a diagnostic challenge. Here, we describe a patient with cervical superficial myofibroblastoma who presented with bleeding per vaginum and polyp in the cervix. Morphology and immunohistochemical findings helped in the final diagnosis. Awareness of this rare benign entity can help us to differentiate superficial myofibroblastoma from many aggressive entities and thus prevent radical surgeries.

求助全文
通过发布文献求助,成功后即可免费获取论文全文。 去求助
来源期刊
Journal of Mid-life Health
Journal of Mid-life Health Social Sciences-Health (social science)
CiteScore
1.70
自引率
9.10%
发文量
39
审稿时长
43 weeks
期刊介绍: Journal of mid-life health is the official journal of the Indian Menopause society published Quarterly in January, April, July and October. It is peer reviewed, scientific journal of mid-life health and its problems. It includes all aspects of mid-life health, preventive as well as curative. The journal publishes on subjects such as gynecology, neurology, geriatrics, psychiatry, endocrinology, urology, andrology, psychology, healthy ageing, cardiovascular health, bone health, quality of life etc. as relevant of men and women in their midlife. The Journal provides a visible platform to the researchers as well as clinicians to publish their experiences in this area thereby helping in the promotion of mid-life health leading to healthy ageing, growing need due to increasing life expectancy. The Editorial team has maintained high standards and published original research papers, case reports and review articles from the best of the best contributors both national & international, consistently so that now, it has become a great tool in the hands of menopause practitioners.
×
引用
GB/T 7714-2015
复制
MLA
复制
APA
复制
导出至
BibTeX EndNote RefMan NoteFirst NoteExpress
×
提示
您的信息不完整,为了账户安全,请先补充。
现在去补充
×
提示
您因"违规操作"
具体请查看互助需知
我知道了
×
提示
确定
请完成安全验证×
copy
已复制链接
快去分享给好友吧!
我知道了
右上角分享
点击右上角分享
0
联系我们:info@booksci.cn Book学术提供免费学术资源搜索服务,方便国内外学者检索中英文文献。致力于提供最便捷和优质的服务体验。 Copyright © 2023 布克学术 All rights reserved.
京ICP备2023020795号-1
ghs 京公网安备 11010802042870号
Book学术文献互助
Book学术文献互助群
群 号:604180095
Book学术官方微信