异位CRH/ acth共分泌神经内分泌肿瘤导致库欣病1例报告及文献复习

IF 2.8 2区 医学 Q2 ENDOCRINOLOGY & METABOLISM
Neuroendocrinology Pub Date : 2025-01-01 Epub Date: 2025-02-14 DOI:10.1159/000544727
Jasmin Ewert, Maximilian Seidl, Jann Achim Hommen, Matthias Schott, Norbert Gattermann
{"title":"异位CRH/ acth共分泌神经内分泌肿瘤导致库欣病1例报告及文献复习","authors":"Jasmin Ewert, Maximilian Seidl, Jann Achim Hommen, Matthias Schott, Norbert Gattermann","doi":"10.1159/000544727","DOIUrl":null,"url":null,"abstract":"<p><strong>Background: </strong>Adrenocorticotropic hormone (ACTH) and corticotropin-releasing hormone (CRH) are essential regulators of cortisol production within the hypothalamic-pituitary-adrenal (HPA) axis. Elevated cortisol levels, resulting from excessive ACTH, can lead to Cushing's syndrome, a condition associated with significant morbidity. Neuroendocrine tumors (NETs) can ectopically produce both ACTH and CRH, a rare phenomenon that further contributes to this syndrome.</p><p><strong>Summary: </strong>This review discusses the pathophysiology, types, clinical presentation, diagnosis, and management of NETs that ectopically secrete CRH and ACTH. Particular emphasis is placed on the importance of identifying dual CRH/ACTH secretion, which complicates diagnosis and treatment. Furthermore, the review highlights the prognosis, common complications, and future directions for research in this area. We further report the case of a 53-year-old female patient who presented with severe Cushing's syndrome and was diagnosed with ectopic ACTH syndrome. Despite initial findings suggesting pituitary-dependent hypercortisolism, further investigations revealed the presence of a highly differentiated, atypically located tumor in the lung. Immunohistochemistry of the tumor tissue demonstrated not only ACTH but also CRH and CRH-R1 expression. The simultaneous expression of these molecules supports the hypothesis of a positive endocrine feedback loop within the NET, in which the release of CRH stimulates ACTH expression via binding to CRH-R1.</p><p><strong>Key messages: </strong>This case report highlights the challenges in diagnosing and managing ectopic ACTH syndrome, emphasizing the importance of a comprehensive diagnostic approach to identify secondary factors influencing cortisol production, such as CRH secretion and other contributing neuroendocrine mechanisms. Recognizing the dual secretion of CRH and ACTH in NETs is crucial for accurate diagnosis and optimizing patient management.</p>","PeriodicalId":19117,"journal":{"name":"Neuroendocrinology","volume":" ","pages":"576-588"},"PeriodicalIF":2.8000,"publicationDate":"2025-01-01","publicationTypes":"Journal Article","fieldsOfStudy":null,"isOpenAccess":false,"openAccessPdf":"https://www.ncbi.nlm.nih.gov/pmc/articles/PMC12227190/pdf/","citationCount":"0","resultStr":"{\"title\":\"Ectopic Corticotropin-Releasing Hormone/Adrenocorticotropic Hormone-Co-Secreting Neuroendocrine Tumors Leading to Cushing's Disease: A Case Presentation and Literature Review.\",\"authors\":\"Jasmin Ewert, Maximilian Seidl, Jann Achim Hommen, Matthias Schott, Norbert Gattermann\",\"doi\":\"10.1159/000544727\",\"DOIUrl\":null,\"url\":null,\"abstract\":\"<p><strong>Background: </strong>Adrenocorticotropic hormone (ACTH) and corticotropin-releasing hormone (CRH) are essential regulators of cortisol production within the hypothalamic-pituitary-adrenal (HPA) axis. Elevated cortisol levels, resulting from excessive ACTH, can lead to Cushing's syndrome, a condition associated with significant morbidity. Neuroendocrine tumors (NETs) can ectopically produce both ACTH and CRH, a rare phenomenon that further contributes to this syndrome.</p><p><strong>Summary: </strong>This review discusses the pathophysiology, types, clinical presentation, diagnosis, and management of NETs that ectopically secrete CRH and ACTH. Particular emphasis is placed on the importance of identifying dual CRH/ACTH secretion, which complicates diagnosis and treatment. Furthermore, the review highlights the prognosis, common complications, and future directions for research in this area. We further report the case of a 53-year-old female patient who presented with severe Cushing's syndrome and was diagnosed with ectopic ACTH syndrome. Despite initial findings suggesting pituitary-dependent hypercortisolism, further investigations revealed the presence of a highly differentiated, atypically located tumor in the lung. Immunohistochemistry of the tumor tissue demonstrated not only ACTH but also CRH and CRH-R1 expression. The simultaneous expression of these molecules supports the hypothesis of a positive endocrine feedback loop within the NET, in which the release of CRH stimulates ACTH expression via binding to CRH-R1.</p><p><strong>Key messages: </strong>This case report highlights the challenges in diagnosing and managing ectopic ACTH syndrome, emphasizing the importance of a comprehensive diagnostic approach to identify secondary factors influencing cortisol production, such as CRH secretion and other contributing neuroendocrine mechanisms. Recognizing the dual secretion of CRH and ACTH in NETs is crucial for accurate diagnosis and optimizing patient management.</p>\",\"PeriodicalId\":19117,\"journal\":{\"name\":\"Neuroendocrinology\",\"volume\":\" \",\"pages\":\"576-588\"},\"PeriodicalIF\":2.8000,\"publicationDate\":\"2025-01-01\",\"publicationTypes\":\"Journal Article\",\"fieldsOfStudy\":null,\"isOpenAccess\":false,\"openAccessPdf\":\"https://www.ncbi.nlm.nih.gov/pmc/articles/PMC12227190/pdf/\",\"citationCount\":\"0\",\"resultStr\":null,\"platform\":\"Semanticscholar\",\"paperid\":null,\"PeriodicalName\":\"Neuroendocrinology\",\"FirstCategoryId\":\"3\",\"ListUrlMain\":\"https://doi.org/10.1159/000544727\",\"RegionNum\":2,\"RegionCategory\":\"医学\",\"ArticlePicture\":[],\"TitleCN\":null,\"AbstractTextCN\":null,\"PMCID\":null,\"EPubDate\":\"2025/2/14 0:00:00\",\"PubModel\":\"Epub\",\"JCR\":\"Q2\",\"JCRName\":\"ENDOCRINOLOGY & METABOLISM\",\"Score\":null,\"Total\":0}","platform":"Semanticscholar","paperid":null,"PeriodicalName":"Neuroendocrinology","FirstCategoryId":"3","ListUrlMain":"https://doi.org/10.1159/000544727","RegionNum":2,"RegionCategory":"医学","ArticlePicture":[],"TitleCN":null,"AbstractTextCN":null,"PMCID":null,"EPubDate":"2025/2/14 0:00:00","PubModel":"Epub","JCR":"Q2","JCRName":"ENDOCRINOLOGY & METABOLISM","Score":null,"Total":0}
引用次数: 0

摘要

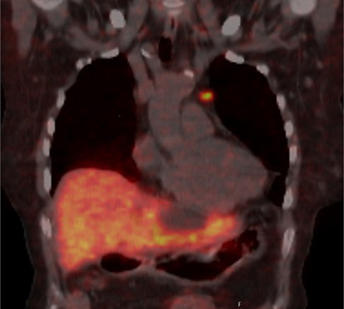
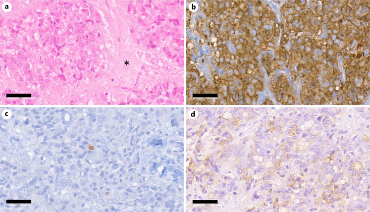
促肾上腺皮质激素(ACTH)和促肾上腺皮质激素释放激素(CRH)是下丘脑-垂体-肾上腺(HPA)轴中皮质醇分泌的重要调节因子。过多的促肾上腺皮质激素会导致皮质醇水平升高,从而引发库欣综合征,这是一种发病率很高的疾病。神经内分泌肿瘤(NET)可异位产生促肾上腺皮质激素(ACTH)和促肾上腺皮质激素(CRH),从而导致该综合征。本综述讨论了这些肿瘤的病理生理学、类型、临床表现、诊断和治疗。重点强调了识别 CRH/ACTH 双重分泌的重要性,这将使诊断变得复杂,并需要量身定制的治疗策略。此外,综述还强调了预后、常见并发症以及该领域未来的研究方向。我们报告了一例 53 岁女性患者的病例,她出现了严重的库欣综合征,并被诊断为异位 ACTH 综合征。尽管最初的迹象表明患者患有垂体依赖性皮质醇增多症,但进一步的检查发现,患者左肺上叶与纵隔相邻的位置存在一个高度分化的非典型肿瘤。肿瘤组织的免疫组化不仅显示了促肾上腺皮质激素,还显示了 CRH 和 CRH-R1 的表达。这些分子的同时表达支持了 NET 内存在内分泌正反馈回路的假设,即 CRH 的释放通过与 CRH-R1 结合刺激 ACTH 的表达。本病例报告凸显了诊断和处理异位 ACTH 综合征所面临的挑战,强调了综合诊断方法的重要性,以确定影响皮质醇分泌的次要因素,如 CRH 的分泌和其他神经内分泌机制。
本文章由计算机程序翻译,如有差异,请以英文原文为准。

Ectopic Corticotropin-Releasing Hormone/Adrenocorticotropic Hormone-Co-Secreting Neuroendocrine Tumors Leading to Cushing's Disease: A Case Presentation and Literature Review.

Ectopic Corticotropin-Releasing Hormone/Adrenocorticotropic Hormone-Co-Secreting Neuroendocrine Tumors Leading to Cushing's Disease: A Case Presentation and Literature Review.

Ectopic Corticotropin-Releasing Hormone/Adrenocorticotropic Hormone-Co-Secreting Neuroendocrine Tumors Leading to Cushing's Disease: A Case Presentation and Literature Review.

Ectopic Corticotropin-Releasing Hormone/Adrenocorticotropic Hormone-Co-Secreting Neuroendocrine Tumors Leading to Cushing's Disease: A Case Presentation and Literature Review.

Background: Adrenocorticotropic hormone (ACTH) and corticotropin-releasing hormone (CRH) are essential regulators of cortisol production within the hypothalamic-pituitary-adrenal (HPA) axis. Elevated cortisol levels, resulting from excessive ACTH, can lead to Cushing's syndrome, a condition associated with significant morbidity. Neuroendocrine tumors (NETs) can ectopically produce both ACTH and CRH, a rare phenomenon that further contributes to this syndrome.

Summary: This review discusses the pathophysiology, types, clinical presentation, diagnosis, and management of NETs that ectopically secrete CRH and ACTH. Particular emphasis is placed on the importance of identifying dual CRH/ACTH secretion, which complicates diagnosis and treatment. Furthermore, the review highlights the prognosis, common complications, and future directions for research in this area. We further report the case of a 53-year-old female patient who presented with severe Cushing's syndrome and was diagnosed with ectopic ACTH syndrome. Despite initial findings suggesting pituitary-dependent hypercortisolism, further investigations revealed the presence of a highly differentiated, atypically located tumor in the lung. Immunohistochemistry of the tumor tissue demonstrated not only ACTH but also CRH and CRH-R1 expression. The simultaneous expression of these molecules supports the hypothesis of a positive endocrine feedback loop within the NET, in which the release of CRH stimulates ACTH expression via binding to CRH-R1.

Key messages: This case report highlights the challenges in diagnosing and managing ectopic ACTH syndrome, emphasizing the importance of a comprehensive diagnostic approach to identify secondary factors influencing cortisol production, such as CRH secretion and other contributing neuroendocrine mechanisms. Recognizing the dual secretion of CRH and ACTH in NETs is crucial for accurate diagnosis and optimizing patient management.

求助全文
通过发布文献求助,成功后即可免费获取论文全文。 去求助
来源期刊
Neuroendocrinology
Neuroendocrinology 医学-内分泌学与代谢
CiteScore
8.30
自引率
2.40%
发文量
50
审稿时长
6-12 weeks
期刊介绍: ''Neuroendocrinology'' publishes papers reporting original research in basic and clinical neuroendocrinology. The journal explores the complex interactions between neuronal networks and endocrine glands (in some instances also immunecells) in both central and peripheral nervous systems. Original contributions cover all aspects of the field, from molecular and cellular neuroendocrinology, physiology, pharmacology, and the neuroanatomy of neuroendocrine systems to neuroendocrine correlates of behaviour, clinical neuroendocrinology and neuroendocrine cancers. Readers also benefit from reviews by noted experts, which highlight especially active areas of current research, and special focus editions of topical interest.
×
引用
GB/T 7714-2015
复制
MLA
复制
APA
复制
导出至
BibTeX EndNote RefMan NoteFirst NoteExpress
×
提示
您的信息不完整,为了账户安全,请先补充。
现在去补充
×
提示
您因"违规操作"
具体请查看互助需知
我知道了
×
提示
确定
请完成安全验证×
copy
已复制链接
快去分享给好友吧!
我知道了
右上角分享
点击右上角分享
0
联系我们:info@booksci.cn Book学术提供免费学术资源搜索服务,方便国内外学者检索中英文文献。致力于提供最便捷和优质的服务体验。 Copyright © 2023 布克学术 All rights reserved.
京ICP备2023020795号-1
ghs 京公网安备 11010802042870号
Book学术文献互助
Book学术文献互助群
群 号:604180095
Book学术官方微信