玫瑰可食用乙醇提取物通过抑制增殖-细胞信号传导-转移轴抑制结肠癌进展。

IF 1.5 4区 医学 Q3 NUTRITION & DIETETICS
Nutrition Research and Practice Pub Date : 2025-02-01 Epub Date: 2024-10-02 DOI:10.4162/nrp.2025.19.1.14
Hong-Man Kim, Daeun Lee, Jun-Hui Song, Hoon Kim, Sanghyun Lee, Sangah Shin, Sun-Dong Park, Young Woo Kim, Yung Hyun Choi, Wun-Jae Kim, Sung-Kwon Moon
{"title":"玫瑰可食用乙醇提取物通过抑制增殖-细胞信号传导-转移轴抑制结肠癌进展。","authors":"Hong-Man Kim, Daeun Lee, Jun-Hui Song, Hoon Kim, Sanghyun Lee, Sangah Shin, Sun-Dong Park, Young Woo Kim, Yung Hyun Choi, Wun-Jae Kim, Sung-Kwon Moon","doi":"10.4162/nrp.2025.19.1.14","DOIUrl":null,"url":null,"abstract":"<p><strong>Background/objectives: </strong><i>Rosa hybrida</i> has been demonstrated to exert biological effects on several cell types. This study investigated the efficacy of the edible ethanol extract of <i>R. hybrida</i> (EERH) against human colorectal carcinoma cell line (HCT116) cells.</p><p><strong>Materials/methods: </strong>HCT116 cells were cultured with different concentrations of EERH (0, 400, 600, 800, and 1,000 µg/mL) in Dulbecco's modified Eagle medium. Cell viability was measured using the 3-(4,5-dimethylthiazol-2-yl)-2,5 diphenyl tetrazolium bromide and viable cell counting assays. Cell cycle pattern was observed by flow cytometry analysis. The wound-healing migration assay, invasion assay, and zymography were used to determine the migratory and invasive level of HCT116 cells treated with EERH. The protein expression and binding ability level of HCT116 cells following EERH treatment were analyzed via immunoblotting and the electrophoretic mobility shift assay.</p><p><strong>Results: </strong>EERH suppressed HCT116 cell proliferation, thus arresting the G1-phase cell cycle. It also reduced cyclin-dependent kinases and cyclins, which are associated with p27KIP1 expression. Additionally, EERH differentially regulated the phosphorylation of extracellular signal-regulated kinase 1/2, c-Jun NH2-terminal kinase, p38, and protein kinase B. Moreover, EERH treatment inhibited the enzymatic activity of matrix metalloproteinase-9 (MMP-9) and MMP-2, resulting in HCT116 cell migration and invasion. The EERH-induced inhibition of MMP-9 and MMP-2 was attributed to the reduced transcriptional binding of activator protein-1, specificity protein-1, and nuclear factor-κB motifs in HCT116 cells. Kaempferol was identified as the main compound contributing to EERH's antitumor activity.</p><p><strong>Conclusion: </strong>EERH inhibits HCT116 cell proliferation and metastatic potential. Therefore, it is potentially useful as a preventive and curative nutraceutical agent against colorectal cancer.</p>","PeriodicalId":19232,"journal":{"name":"Nutrition Research and Practice","volume":"19 1","pages":"14-29"},"PeriodicalIF":1.5000,"publicationDate":"2025-02-01","publicationTypes":"Journal Article","fieldsOfStudy":null,"isOpenAccess":false,"openAccessPdf":"https://www.ncbi.nlm.nih.gov/pmc/articles/PMC11821778/pdf/","citationCount":"0","resultStr":"{\"title\":\"The edible ethanol extract of <i>Rosa hybrida</i> suppresses colon cancer progression by inhibiting the proliferation-cell signaling-metastasis axis.\",\"authors\":\"Hong-Man Kim, Daeun Lee, Jun-Hui Song, Hoon Kim, Sanghyun Lee, Sangah Shin, Sun-Dong Park, Young Woo Kim, Yung Hyun Choi, Wun-Jae Kim, Sung-Kwon Moon\",\"doi\":\"10.4162/nrp.2025.19.1.14\",\"DOIUrl\":null,\"url\":null,\"abstract\":\"<p><strong>Background/objectives: </strong><i>Rosa hybrida</i> has been demonstrated to exert biological effects on several cell types. This study investigated the efficacy of the edible ethanol extract of <i>R. hybrida</i> (EERH) against human colorectal carcinoma cell line (HCT116) cells.</p><p><strong>Materials/methods: </strong>HCT116 cells were cultured with different concentrations of EERH (0, 400, 600, 800, and 1,000 µg/mL) in Dulbecco's modified Eagle medium. Cell viability was measured using the 3-(4,5-dimethylthiazol-2-yl)-2,5 diphenyl tetrazolium bromide and viable cell counting assays. Cell cycle pattern was observed by flow cytometry analysis. The wound-healing migration assay, invasion assay, and zymography were used to determine the migratory and invasive level of HCT116 cells treated with EERH. The protein expression and binding ability level of HCT116 cells following EERH treatment were analyzed via immunoblotting and the electrophoretic mobility shift assay.</p><p><strong>Results: </strong>EERH suppressed HCT116 cell proliferation, thus arresting the G1-phase cell cycle. It also reduced cyclin-dependent kinases and cyclins, which are associated with p27KIP1 expression. Additionally, EERH differentially regulated the phosphorylation of extracellular signal-regulated kinase 1/2, c-Jun NH2-terminal kinase, p38, and protein kinase B. Moreover, EERH treatment inhibited the enzymatic activity of matrix metalloproteinase-9 (MMP-9) and MMP-2, resulting in HCT116 cell migration and invasion. The EERH-induced inhibition of MMP-9 and MMP-2 was attributed to the reduced transcriptional binding of activator protein-1, specificity protein-1, and nuclear factor-κB motifs in HCT116 cells. Kaempferol was identified as the main compound contributing to EERH's antitumor activity.</p><p><strong>Conclusion: </strong>EERH inhibits HCT116 cell proliferation and metastatic potential. Therefore, it is potentially useful as a preventive and curative nutraceutical agent against colorectal cancer.</p>\",\"PeriodicalId\":19232,\"journal\":{\"name\":\"Nutrition Research and Practice\",\"volume\":\"19 1\",\"pages\":\"14-29\"},\"PeriodicalIF\":1.5000,\"publicationDate\":\"2025-02-01\",\"publicationTypes\":\"Journal Article\",\"fieldsOfStudy\":null,\"isOpenAccess\":false,\"openAccessPdf\":\"https://www.ncbi.nlm.nih.gov/pmc/articles/PMC11821778/pdf/\",\"citationCount\":\"0\",\"resultStr\":null,\"platform\":\"Semanticscholar\",\"paperid\":null,\"PeriodicalName\":\"Nutrition Research and Practice\",\"FirstCategoryId\":\"3\",\"ListUrlMain\":\"https://doi.org/10.4162/nrp.2025.19.1.14\",\"RegionNum\":4,\"RegionCategory\":\"医学\",\"ArticlePicture\":[],\"TitleCN\":null,\"AbstractTextCN\":null,\"PMCID\":null,\"EPubDate\":\"2024/10/2 0:00:00\",\"PubModel\":\"Epub\",\"JCR\":\"Q3\",\"JCRName\":\"NUTRITION & DIETETICS\",\"Score\":null,\"Total\":0}","platform":"Semanticscholar","paperid":null,"PeriodicalName":"Nutrition Research and Practice","FirstCategoryId":"3","ListUrlMain":"https://doi.org/10.4162/nrp.2025.19.1.14","RegionNum":4,"RegionCategory":"医学","ArticlePicture":[],"TitleCN":null,"AbstractTextCN":null,"PMCID":null,"EPubDate":"2024/10/2 0:00:00","PubModel":"Epub","JCR":"Q3","JCRName":"NUTRITION & DIETETICS","Score":null,"Total":0}
引用次数: 0

摘要

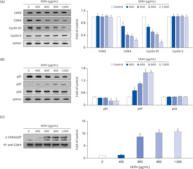
背景/目的:Rosa hybrida已被证明对几种细胞类型具有生物学效应。本实验研究了杂交草可食用乙醇提取物(EERH)对人大肠癌细胞系(HCT116)细胞的抑制作用。材料/方法:HCT116细胞在Dulbecco改良Eagle培养基中加入不同浓度的EERH(0、400、600、800和1000µg/mL)培养。采用3-(4,5-二甲基噻唑-2-基)-2,5二苯基溴化四氮唑和活细胞计数法测定细胞活力。流式细胞术观察细胞周期模式。采用伤口愈合迁移实验、侵袭实验和酶谱法测定EERH处理后HCT116细胞的迁移和侵袭水平。采用免疫印迹法和电泳迁移位移法分析EERH处理后HCT116细胞的蛋白表达和结合能力水平。结果:EERH抑制HCT116细胞增殖,阻滞g1期细胞周期。它还降低了与p27KIP1表达相关的周期蛋白依赖性激酶和周期蛋白。此外,EERH对细胞外信号调节激酶1/2、c-Jun nh2末端激酶、p38和蛋白激酶b的磷酸化有差异调节,EERH处理抑制基质金属蛋白酶-9 (MMP-9)和MMP-2的酶活性,导致HCT116细胞迁移和侵袭。eerh诱导的MMP-9和MMP-2的抑制是由于HCT116细胞中激活蛋白-1、特异性蛋白-1和核因子-κB基序的转录结合减少。山奈酚是EERH抗肿瘤活性的主要成分。结论:EERH抑制HCT116细胞增殖和转移潜能。因此,它是一种潜在的预防和治疗大肠癌的营养制剂。
本文章由计算机程序翻译,如有差异,请以英文原文为准。

The edible ethanol extract of <i>Rosa hybrida</i> suppresses colon cancer progression by inhibiting the proliferation-cell signaling-metastasis axis.

The edible ethanol extract of <i>Rosa hybrida</i> suppresses colon cancer progression by inhibiting the proliferation-cell signaling-metastasis axis.

The edible ethanol extract of <i>Rosa hybrida</i> suppresses colon cancer progression by inhibiting the proliferation-cell signaling-metastasis axis.

The edible ethanol extract of Rosa hybrida suppresses colon cancer progression by inhibiting the proliferation-cell signaling-metastasis axis.

Background/objectives: Rosa hybrida has been demonstrated to exert biological effects on several cell types. This study investigated the efficacy of the edible ethanol extract of R. hybrida (EERH) against human colorectal carcinoma cell line (HCT116) cells.

Materials/methods: HCT116 cells were cultured with different concentrations of EERH (0, 400, 600, 800, and 1,000 µg/mL) in Dulbecco's modified Eagle medium. Cell viability was measured using the 3-(4,5-dimethylthiazol-2-yl)-2,5 diphenyl tetrazolium bromide and viable cell counting assays. Cell cycle pattern was observed by flow cytometry analysis. The wound-healing migration assay, invasion assay, and zymography were used to determine the migratory and invasive level of HCT116 cells treated with EERH. The protein expression and binding ability level of HCT116 cells following EERH treatment were analyzed via immunoblotting and the electrophoretic mobility shift assay.

Results: EERH suppressed HCT116 cell proliferation, thus arresting the G1-phase cell cycle. It also reduced cyclin-dependent kinases and cyclins, which are associated with p27KIP1 expression. Additionally, EERH differentially regulated the phosphorylation of extracellular signal-regulated kinase 1/2, c-Jun NH2-terminal kinase, p38, and protein kinase B. Moreover, EERH treatment inhibited the enzymatic activity of matrix metalloproteinase-9 (MMP-9) and MMP-2, resulting in HCT116 cell migration and invasion. The EERH-induced inhibition of MMP-9 and MMP-2 was attributed to the reduced transcriptional binding of activator protein-1, specificity protein-1, and nuclear factor-κB motifs in HCT116 cells. Kaempferol was identified as the main compound contributing to EERH's antitumor activity.

Conclusion: EERH inhibits HCT116 cell proliferation and metastatic potential. Therefore, it is potentially useful as a preventive and curative nutraceutical agent against colorectal cancer.

求助全文
通过发布文献求助,成功后即可免费获取论文全文。 去求助
来源期刊
Nutrition Research and Practice
Nutrition Research and Practice NUTRITION & DIETETICS-
CiteScore
3.50
自引率
4.20%
发文量
62
审稿时长
6-12 weeks
期刊介绍: Nutrition Research and Practice (NRP) is an official journal, jointly published by the Korean Nutrition Society and the Korean Society of Community Nutrition since 2007. The journal had been published quarterly at the initial stage and has been published bimonthly since 2010. NRP aims to stimulate research and practice across diverse areas of human nutrition. The Journal publishes peer-reviewed original manuscripts on nutrition biochemistry and metabolism, community nutrition, nutrition and disease management, nutritional epidemiology, nutrition education, foodservice management in the following categories: Original Research Articles, Notes, Communications, and Reviews. Reviews will be received by the invitation of the editors only. Statements made and opinions expressed in the manuscripts published in this Journal represent the views of authors and do not necessarily reflect the opinion of the Societies.
×
引用
GB/T 7714-2015
复制
MLA
复制
APA
复制
导出至
BibTeX EndNote RefMan NoteFirst NoteExpress
×
提示
您的信息不完整,为了账户安全,请先补充。
现在去补充
×
提示
您因"违规操作"
具体请查看互助需知
我知道了
×
提示
确定
请完成安全验证×
copy
已复制链接
快去分享给好友吧!
我知道了
右上角分享
点击右上角分享
0
联系我们:info@booksci.cn Book学术提供免费学术资源搜索服务,方便国内外学者检索中英文文献。致力于提供最便捷和优质的服务体验。 Copyright © 2023 布克学术 All rights reserved.
京ICP备2023020795号-1
ghs 京公网安备 11010802042870号
Book学术文献互助
Book学术文献互助群
群 号:604180095
Book学术官方微信