富含柚皮苷和橙皮苷的柑桔皮乙醇提取物的体外和体内抗肥胖作用。

IF 1.5 4区 医学 Q3 NUTRITION & DIETETICS
Nutrition Research and Practice Pub Date : 2025-02-01 Epub Date: 2024-10-17 DOI:10.4162/nrp.2025.19.1.1
Yu-Jin Heo, Mi-Kyung Lee, Ju-Hye Im, Bo Seop Kim, Hae-In Lee
{"title":"富含柚皮苷和橙皮苷的柑桔皮乙醇提取物的体外和体内抗肥胖作用。","authors":"Yu-Jin Heo, Mi-Kyung Lee, Ju-Hye Im, Bo Seop Kim, Hae-In Lee","doi":"10.4162/nrp.2025.19.1.1","DOIUrl":null,"url":null,"abstract":"<p><strong>Background/objectives: </strong>Green <i>Citrus junos</i> (yuja) peel extract has higher naringin and hesperidin contents and antioxidant activity than yellow yuja peel extract, but its anti-obesity effects are unclear. This study examined the anti-obesity properties of green yuja peel ethanol extract (GYE) in 3T3-L1 cells and high-fat diet (HFD)-induced obese mice.</p><p><strong>Materials/methods: </strong>The effects of GYE on adipocyte differentiation were assessed by measuring Oil red O staining, mRNA and protein expression. The beneficial effects of GYE on HFD-induced obese mice were evaluated using the body weight, body composition, visceral fat size, and biochemical analysis.</p><p><strong>Results: </strong>GYE inhibited adipocyte differentiation and lipid accumulation compared to the control cells, as evidenced by Oil red O staining and the triglyceride level, respectively. GYE down-regulated the adipogenic genes CCAAT/enhancer binding protein α (<i>C/EBPα</i>) and peroxisome proliferator-activated receptor γ (<i>PPARγ</i>), and lipogenic gene diacylglycerol O-acyltransferase 2 (<i>DGAT2</i>). GYE at 100 μg/mL downregulated the phosphorylation levels of phosphoinositide 3-kinase (PI3K) and protein kinase B (Akt), and their downstream targets PPARγ and sterol regulatory element-binding protein-1 (SREBP-1c) compared to the control group. In obese mice, GYE (100 mg/kg/day) reduced the body weight, body weight gain, and serum lipid level compared to the control group. Analysis using dual-energy X-ray absorptiometry showed that GYE decreased the fat percentage, fat in tissue, and abdominal circumference, while it increased the lean percentage compared to control group. Furthermore, GYE significantly reduced the visceral fat weight and size compared to the control group.</p><p><strong>Conclusion: </strong>GYE suppressed adipocyte differentiation by inhibiting the PI3K-Akt pathway <i>in vitro</i> and reduced the body fat mass and visceral adiposity in HFD-induced obese mice. These findings suggest that GYE is a viable natural option for combating obesity.</p>","PeriodicalId":19232,"journal":{"name":"Nutrition Research and Practice","volume":"19 1","pages":"1-13"},"PeriodicalIF":1.5000,"publicationDate":"2025-02-01","publicationTypes":"Journal Article","fieldsOfStudy":null,"isOpenAccess":false,"openAccessPdf":"https://www.ncbi.nlm.nih.gov/pmc/articles/PMC11821779/pdf/","citationCount":"0","resultStr":"{\"title\":\"Anti-obesity effects of ethanol extract of green <i>Citrus junos</i> peel enriched in naringin and hesperidin <i>in vitro</i> and <i>in vivo</i>.\",\"authors\":\"Yu-Jin Heo, Mi-Kyung Lee, Ju-Hye Im, Bo Seop Kim, Hae-In Lee\",\"doi\":\"10.4162/nrp.2025.19.1.1\",\"DOIUrl\":null,\"url\":null,\"abstract\":\"<p><strong>Background/objectives: </strong>Green <i>Citrus junos</i> (yuja) peel extract has higher naringin and hesperidin contents and antioxidant activity than yellow yuja peel extract, but its anti-obesity effects are unclear. This study examined the anti-obesity properties of green yuja peel ethanol extract (GYE) in 3T3-L1 cells and high-fat diet (HFD)-induced obese mice.</p><p><strong>Materials/methods: </strong>The effects of GYE on adipocyte differentiation were assessed by measuring Oil red O staining, mRNA and protein expression. The beneficial effects of GYE on HFD-induced obese mice were evaluated using the body weight, body composition, visceral fat size, and biochemical analysis.</p><p><strong>Results: </strong>GYE inhibited adipocyte differentiation and lipid accumulation compared to the control cells, as evidenced by Oil red O staining and the triglyceride level, respectively. GYE down-regulated the adipogenic genes CCAAT/enhancer binding protein α (<i>C/EBPα</i>) and peroxisome proliferator-activated receptor γ (<i>PPARγ</i>), and lipogenic gene diacylglycerol O-acyltransferase 2 (<i>DGAT2</i>). GYE at 100 μg/mL downregulated the phosphorylation levels of phosphoinositide 3-kinase (PI3K) and protein kinase B (Akt), and their downstream targets PPARγ and sterol regulatory element-binding protein-1 (SREBP-1c) compared to the control group. In obese mice, GYE (100 mg/kg/day) reduced the body weight, body weight gain, and serum lipid level compared to the control group. Analysis using dual-energy X-ray absorptiometry showed that GYE decreased the fat percentage, fat in tissue, and abdominal circumference, while it increased the lean percentage compared to control group. Furthermore, GYE significantly reduced the visceral fat weight and size compared to the control group.</p><p><strong>Conclusion: </strong>GYE suppressed adipocyte differentiation by inhibiting the PI3K-Akt pathway <i>in vitro</i> and reduced the body fat mass and visceral adiposity in HFD-induced obese mice. These findings suggest that GYE is a viable natural option for combating obesity.</p>\",\"PeriodicalId\":19232,\"journal\":{\"name\":\"Nutrition Research and Practice\",\"volume\":\"19 1\",\"pages\":\"1-13\"},\"PeriodicalIF\":1.5000,\"publicationDate\":\"2025-02-01\",\"publicationTypes\":\"Journal Article\",\"fieldsOfStudy\":null,\"isOpenAccess\":false,\"openAccessPdf\":\"https://www.ncbi.nlm.nih.gov/pmc/articles/PMC11821779/pdf/\",\"citationCount\":\"0\",\"resultStr\":null,\"platform\":\"Semanticscholar\",\"paperid\":null,\"PeriodicalName\":\"Nutrition Research and Practice\",\"FirstCategoryId\":\"3\",\"ListUrlMain\":\"https://doi.org/10.4162/nrp.2025.19.1.1\",\"RegionNum\":4,\"RegionCategory\":\"医学\",\"ArticlePicture\":[],\"TitleCN\":null,\"AbstractTextCN\":null,\"PMCID\":null,\"EPubDate\":\"2024/10/17 0:00:00\",\"PubModel\":\"Epub\",\"JCR\":\"Q3\",\"JCRName\":\"NUTRITION & DIETETICS\",\"Score\":null,\"Total\":0}","platform":"Semanticscholar","paperid":null,"PeriodicalName":"Nutrition Research and Practice","FirstCategoryId":"3","ListUrlMain":"https://doi.org/10.4162/nrp.2025.19.1.1","RegionNum":4,"RegionCategory":"医学","ArticlePicture":[],"TitleCN":null,"AbstractTextCN":null,"PMCID":null,"EPubDate":"2024/10/17 0:00:00","PubModel":"Epub","JCR":"Q3","JCRName":"NUTRITION & DIETETICS","Score":null,"Total":0}
引用次数: 0

摘要

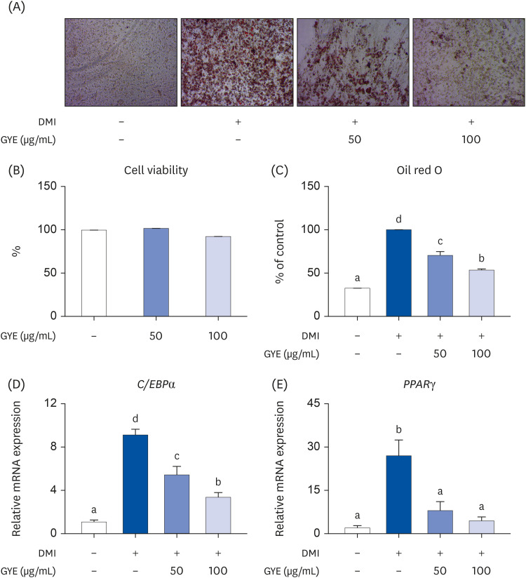
背景/目的:青柚皮提取物的柚皮苷、橙皮苷含量和抗氧化活性均高于黄柚皮提取物,但其抗肥胖作用尚不清楚。研究了绿玉子皮乙醇提取物(GYE)对3T3-L1细胞和高脂饮食(HFD)诱导的肥胖小鼠的抗肥胖作用。材料/方法:通过测定油红O染色、mRNA和蛋白表达,观察GYE对脂肪细胞分化的影响。通过体重、体成分、内脏脂肪大小和生化分析来评估GYE对hffd诱导的肥胖小鼠的有益作用。结果:与对照细胞相比,GYE抑制脂肪细胞分化和脂质积累,分别通过油红O染色和甘油三酯水平证明。GYE下调脂肪生成基因CCAAT/增强子结合蛋白α (C/EBPα)和过氧化物酶体增殖物激活受体γ (PPARγ),以及脂肪生成基因二酰基甘油o -酰基转移酶2 (DGAT2)。与对照组相比,100 μg/mL GYE下调了磷酸肌苷3激酶(PI3K)和蛋白激酶B (Akt)及其下游靶点PPARγ和甾醇调节元件结合蛋白-1 (SREBP-1c)的磷酸化水平。与对照组相比,GYE (100 mg/kg/天)降低了肥胖小鼠的体重、体重增加和血脂水平。双能x线吸收仪分析显示,与对照组相比,GYE降低了脂肪百分比、组织脂肪和腹围,同时增加了瘦肉百分比。此外,与对照组相比,GYE显著降低了内脏脂肪的重量和大小。结论:GYE在体外通过抑制PI3K-Akt通路抑制脂肪细胞分化,降低hfd诱导的肥胖小鼠体脂量和内脏脂肪。这些发现表明,GYE是对抗肥胖的一种可行的自然选择。
本文章由计算机程序翻译,如有差异,请以英文原文为准。

Anti-obesity effects of ethanol extract of green <i>Citrus junos</i> peel enriched in naringin and hesperidin <i>in vitro</i> and <i>in vivo</i>.

Anti-obesity effects of ethanol extract of green <i>Citrus junos</i> peel enriched in naringin and hesperidin <i>in vitro</i> and <i>in vivo</i>.

Anti-obesity effects of ethanol extract of green <i>Citrus junos</i> peel enriched in naringin and hesperidin <i>in vitro</i> and <i>in vivo</i>.

Anti-obesity effects of ethanol extract of green Citrus junos peel enriched in naringin and hesperidin in vitro and in vivo.

Background/objectives: Green Citrus junos (yuja) peel extract has higher naringin and hesperidin contents and antioxidant activity than yellow yuja peel extract, but its anti-obesity effects are unclear. This study examined the anti-obesity properties of green yuja peel ethanol extract (GYE) in 3T3-L1 cells and high-fat diet (HFD)-induced obese mice.

Materials/methods: The effects of GYE on adipocyte differentiation were assessed by measuring Oil red O staining, mRNA and protein expression. The beneficial effects of GYE on HFD-induced obese mice were evaluated using the body weight, body composition, visceral fat size, and biochemical analysis.

Results: GYE inhibited adipocyte differentiation and lipid accumulation compared to the control cells, as evidenced by Oil red O staining and the triglyceride level, respectively. GYE down-regulated the adipogenic genes CCAAT/enhancer binding protein α (C/EBPα) and peroxisome proliferator-activated receptor γ (PPARγ), and lipogenic gene diacylglycerol O-acyltransferase 2 (DGAT2). GYE at 100 μg/mL downregulated the phosphorylation levels of phosphoinositide 3-kinase (PI3K) and protein kinase B (Akt), and their downstream targets PPARγ and sterol regulatory element-binding protein-1 (SREBP-1c) compared to the control group. In obese mice, GYE (100 mg/kg/day) reduced the body weight, body weight gain, and serum lipid level compared to the control group. Analysis using dual-energy X-ray absorptiometry showed that GYE decreased the fat percentage, fat in tissue, and abdominal circumference, while it increased the lean percentage compared to control group. Furthermore, GYE significantly reduced the visceral fat weight and size compared to the control group.

Conclusion: GYE suppressed adipocyte differentiation by inhibiting the PI3K-Akt pathway in vitro and reduced the body fat mass and visceral adiposity in HFD-induced obese mice. These findings suggest that GYE is a viable natural option for combating obesity.

求助全文
通过发布文献求助,成功后即可免费获取论文全文。 去求助
来源期刊
Nutrition Research and Practice
Nutrition Research and Practice NUTRITION & DIETETICS-
CiteScore
3.50
自引率
4.20%
发文量
62
审稿时长
6-12 weeks
期刊介绍: Nutrition Research and Practice (NRP) is an official journal, jointly published by the Korean Nutrition Society and the Korean Society of Community Nutrition since 2007. The journal had been published quarterly at the initial stage and has been published bimonthly since 2010. NRP aims to stimulate research and practice across diverse areas of human nutrition. The Journal publishes peer-reviewed original manuscripts on nutrition biochemistry and metabolism, community nutrition, nutrition and disease management, nutritional epidemiology, nutrition education, foodservice management in the following categories: Original Research Articles, Notes, Communications, and Reviews. Reviews will be received by the invitation of the editors only. Statements made and opinions expressed in the manuscripts published in this Journal represent the views of authors and do not necessarily reflect the opinion of the Societies.
×
引用
GB/T 7714-2015
复制
MLA
复制
APA
复制
导出至
BibTeX EndNote RefMan NoteFirst NoteExpress
×
提示
您的信息不完整,为了账户安全,请先补充。
现在去补充
×
提示
您因"违规操作"
具体请查看互助需知
我知道了
×
提示
确定
请完成安全验证×
copy
已复制链接
快去分享给好友吧!
我知道了
右上角分享
点击右上角分享
0
联系我们:info@booksci.cn Book学术提供免费学术资源搜索服务,方便国内外学者检索中英文文献。致力于提供最便捷和优质的服务体验。 Copyright © 2023 布克学术 All rights reserved.
京ICP备2023020795号-1
ghs 京公网安备 11010802042870号
Book学术文献互助
Book学术文献互助群
群 号:604180095
Book学术官方微信