眶下缘骨软骨瘤1例报告。

Q2 Dentistry
Annals of Maxillofacial Surgery Pub Date : 2024-07-01 Epub Date: 2024-08-30 DOI:10.4103/ams.ams_199_23
R Mahesh Kumar, M S Sreelakshmi, Varsha Subramanyam, Yash Vyas Vipulkumar
{"title":"眶下缘骨软骨瘤1例报告。","authors":"R Mahesh Kumar, M S Sreelakshmi, Varsha Subramanyam, Yash Vyas Vipulkumar","doi":"10.4103/ams.ams_199_23","DOIUrl":null,"url":null,"abstract":"<p><strong>Rationale: </strong>Osteochondroma, a benign bony neoplasm that can develop in any part of the body, commonly appears in the ends of the long bones. It can also occur in the craniofacial region such as mandibular condyle and coronoid region. We describe the clinical presentation, diagnostic process, surgical management and post-operative outcomes in a 34-year-old male patient. Only few cases are reported in literature till now and often are mistaken as bony exostosis.</p><p><strong>Patient concerns: </strong>The patient sought medical attention due to the cosmetic concerns.</p><p><strong>Diagnosis: </strong>Through clinical palpation and radiological interpretation. Provisional diagnosis of bony exostosis was made, which was later confirmed as osteochondroma on histopathological examination.</p><p><strong>Treatment: </strong>Surgical removal of the bony growth was performed.</p><p><strong>Outcomes: </strong>Follow-up was uneventful with no evidence of recurrence.</p><p><strong>Take-away lessons: </strong>The report aims to raise awareness about this manifestation and to encourage further research to better understand aetiology, management and outcomes of osteochondroma in unusual locations.</p>","PeriodicalId":7972,"journal":{"name":"Annals of Maxillofacial Surgery","volume":"14 2","pages":"232-235"},"PeriodicalIF":0.0000,"publicationDate":"2024-07-01","publicationTypes":"Journal Article","fieldsOfStudy":null,"isOpenAccess":false,"openAccessPdf":"https://www.ncbi.nlm.nih.gov/pmc/articles/PMC11828045/pdf/","citationCount":"0","resultStr":"{\"title\":\"Osteochondroma below the Infraorbital Rim - A Case Report.\",\"authors\":\"R Mahesh Kumar, M S Sreelakshmi, Varsha Subramanyam, Yash Vyas Vipulkumar\",\"doi\":\"10.4103/ams.ams_199_23\",\"DOIUrl\":null,\"url\":null,\"abstract\":\"<p><strong>Rationale: </strong>Osteochondroma, a benign bony neoplasm that can develop in any part of the body, commonly appears in the ends of the long bones. It can also occur in the craniofacial region such as mandibular condyle and coronoid region. We describe the clinical presentation, diagnostic process, surgical management and post-operative outcomes in a 34-year-old male patient. Only few cases are reported in literature till now and often are mistaken as bony exostosis.</p><p><strong>Patient concerns: </strong>The patient sought medical attention due to the cosmetic concerns.</p><p><strong>Diagnosis: </strong>Through clinical palpation and radiological interpretation. Provisional diagnosis of bony exostosis was made, which was later confirmed as osteochondroma on histopathological examination.</p><p><strong>Treatment: </strong>Surgical removal of the bony growth was performed.</p><p><strong>Outcomes: </strong>Follow-up was uneventful with no evidence of recurrence.</p><p><strong>Take-away lessons: </strong>The report aims to raise awareness about this manifestation and to encourage further research to better understand aetiology, management and outcomes of osteochondroma in unusual locations.</p>\",\"PeriodicalId\":7972,\"journal\":{\"name\":\"Annals of Maxillofacial Surgery\",\"volume\":\"14 2\",\"pages\":\"232-235\"},\"PeriodicalIF\":0.0000,\"publicationDate\":\"2024-07-01\",\"publicationTypes\":\"Journal Article\",\"fieldsOfStudy\":null,\"isOpenAccess\":false,\"openAccessPdf\":\"https://www.ncbi.nlm.nih.gov/pmc/articles/PMC11828045/pdf/\",\"citationCount\":\"0\",\"resultStr\":null,\"platform\":\"Semanticscholar\",\"paperid\":null,\"PeriodicalName\":\"Annals of Maxillofacial Surgery\",\"FirstCategoryId\":\"1085\",\"ListUrlMain\":\"https://doi.org/10.4103/ams.ams_199_23\",\"RegionNum\":0,\"RegionCategory\":null,\"ArticlePicture\":[],\"TitleCN\":null,\"AbstractTextCN\":null,\"PMCID\":null,\"EPubDate\":\"2024/8/30 0:00:00\",\"PubModel\":\"Epub\",\"JCR\":\"Q2\",\"JCRName\":\"Dentistry\",\"Score\":null,\"Total\":0}","platform":"Semanticscholar","paperid":null,"PeriodicalName":"Annals of Maxillofacial Surgery","FirstCategoryId":"1085","ListUrlMain":"https://doi.org/10.4103/ams.ams_199_23","RegionNum":0,"RegionCategory":null,"ArticlePicture":[],"TitleCN":null,"AbstractTextCN":null,"PMCID":null,"EPubDate":"2024/8/30 0:00:00","PubModel":"Epub","JCR":"Q2","JCRName":"Dentistry","Score":null,"Total":0}
引用次数: 0

摘要

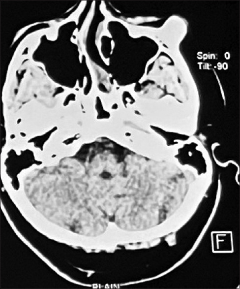
理由:骨软骨瘤是一种良性骨肿瘤,可发生在身体的任何部位,通常出现在长骨的末端。它也可发生在颅面区域,如下颌髁和冠状区。我们描述了一位34岁男性患者的临床表现、诊断过程、手术处理和术后结果。目前文献报道的病例很少,常被误认为是骨外植症。患者关注的问题:患者因美容问题寻求医疗护理。诊断:通过临床触诊和影像学解释。初步诊断为骨外生性增生,经组织病理学检查证实为骨软骨瘤。治疗:手术切除骨生长。结果:随访顺利,无复发迹象。要点:该报告旨在提高人们对这种表现的认识,并鼓励进一步研究,以更好地了解异常部位骨软骨瘤的病因、治疗和结果。
本文章由计算机程序翻译,如有差异,请以英文原文为准。

Osteochondroma below the Infraorbital Rim - A Case Report.

Osteochondroma below the Infraorbital Rim - A Case Report.

Osteochondroma below the Infraorbital Rim - A Case Report.

Osteochondroma below the Infraorbital Rim - A Case Report.

Rationale: Osteochondroma, a benign bony neoplasm that can develop in any part of the body, commonly appears in the ends of the long bones. It can also occur in the craniofacial region such as mandibular condyle and coronoid region. We describe the clinical presentation, diagnostic process, surgical management and post-operative outcomes in a 34-year-old male patient. Only few cases are reported in literature till now and often are mistaken as bony exostosis.

Patient concerns: The patient sought medical attention due to the cosmetic concerns.

Diagnosis: Through clinical palpation and radiological interpretation. Provisional diagnosis of bony exostosis was made, which was later confirmed as osteochondroma on histopathological examination.

Treatment: Surgical removal of the bony growth was performed.

Outcomes: Follow-up was uneventful with no evidence of recurrence.

Take-away lessons: The report aims to raise awareness about this manifestation and to encourage further research to better understand aetiology, management and outcomes of osteochondroma in unusual locations.

求助全文
通过发布文献求助,成功后即可免费获取论文全文。 去求助
来源期刊
CiteScore
1.20
自引率
0.00%
发文量
26
×
引用
GB/T 7714-2015
复制
MLA
复制
APA
复制
导出至
BibTeX EndNote RefMan NoteFirst NoteExpress
×
提示
您的信息不完整,为了账户安全,请先补充。
现在去补充
×
提示
您因"违规操作"
具体请查看互助需知
我知道了
×
提示
确定
请完成安全验证×
copy
已复制链接
快去分享给好友吧!
我知道了
右上角分享
点击右上角分享
0
联系我们:info@booksci.cn Book学术提供免费学术资源搜索服务,方便国内外学者检索中英文文献。致力于提供最便捷和优质的服务体验。 Copyright © 2023 布克学术 All rights reserved.
京ICP备2023020795号-1
ghs 京公网安备 11010802042870号
Book学术文献互助
Book学术文献互助群
群 号:604180095
Book学术官方微信