肝硬化患者的spiegelian疝:何时以及如何修复?

Q2 Medicine
Nosibah Telmesani, Dhuha Boumarah, Naif Alkhaldi, Humood Alsadery, Saleh Busbait, Anas AlOthman, Faten Alaqeel
{"title":"肝硬化患者的spiegelian疝:何时以及如何修复?","authors":"Nosibah Telmesani, Dhuha Boumarah, Naif Alkhaldi, Humood Alsadery, Saleh Busbait, Anas AlOthman, Faten Alaqeel","doi":"10.5455/aim.2024.32.126-129","DOIUrl":null,"url":null,"abstract":"<p><strong>Background: </strong>Spigelian hernia, also known as spontaneous lateral ventral hernia, is defined as a protrusion of abdominal contents through an abdominal wall defect within the transversus aponeurosis. The entity was first reported in 1742 and named after Adrian van der Spieghel. It is recognized as a rare condition, accounting for 1 to 2% of all abdominal wall hernias. Cirrhotic patients, in particular, are more predisposed to hernias of all types. When Spigelian hernia is accompanied by hepatic cirrhosis, the decision to repair gets into a controversial aspect. Herein, we present the emergency management of an incarcerated spigelian hernia in a cirrhotic patient, highlighting the challenges in managing similar cases.</p><p><strong>Case presentation: </strong>A 65-year-old lady, presented to our emergency department complaining of a left lower quadrant (LLQ) abdominal pain associated with a painful swelling for 9 hours duration. Upon assessment, the patient was jaundiced and haemodynamically stable. Abdominal examination revealed a soft and lax but distended abdomen, with irreducible tender swelling over the LLQ, measuring around 3x2 cm. Laboratory investigations showed anemia, hypoalbuminemia, hyperbilirubinemia, lactic acidosis and prolonged coagulation profile. A contrast-enhanced computed tomography (CT) scan of the abdomen showed evidence of incarcerated left spigelian hernia. Moreover, advanced cirrhosis of the liver was detected with hypertrophy of the caudate lobe, extensive ascites and splenomegaly. After establishing the diagnosis of incarcerated spigelian hernia, with a picture of advanced liver cirrhosis, Child-Pugh-Turcotte (CPT) score of C and a Model for End-Stage Liver Disease (MELD) score of 19 and Mayo score for post-operative mortality of 16% in 7 days and 53% in 30 days. Given the patient's condition which necessitates urgent operative intervention beside the risk of decompensation of pre-existing liver disease and high mortality. Decision was made to proceed with laparoscopic hernia repair. Intraoperatively, ischemic small bowel segment was resected with creation of end ileostomy. Conventional anatomical repair of the hernia defect was performed. Postoperatively, the patient was managed and resuscitated in critical care unit and then discharged home in a satisfactory condition on post-operative day 15. She passed away prior to liver transplantation, thirty-two days post-operatively in a different institution.</p><p><strong>Conclusion: </strong>The surgical management of complicated hernias in an emergency setting comprise a notable number of cases encountered by surgeons. It always needs special attention. Moreover, cirrhotic patients with their predicted high morbidity and mortality require even further vigilance. Therefore, a patient-tailored approach is always recommended when managing similar cases to provide optimal outcomes.</p>","PeriodicalId":7074,"journal":{"name":"Acta Informatica Medica","volume":"32 2","pages":"126-129"},"PeriodicalIF":0.0000,"publicationDate":"2024-01-01","publicationTypes":"Journal Article","fieldsOfStudy":null,"isOpenAccess":false,"openAccessPdf":"https://www.ncbi.nlm.nih.gov/pmc/articles/PMC11821568/pdf/","citationCount":"0","resultStr":"{\"title\":\"Spigelian Hernia in Cirrhotic Patients: When and How to Repair?\",\"authors\":\"Nosibah Telmesani, Dhuha Boumarah, Naif Alkhaldi, Humood Alsadery, Saleh Busbait, Anas AlOthman, Faten Alaqeel\",\"doi\":\"10.5455/aim.2024.32.126-129\",\"DOIUrl\":null,\"url\":null,\"abstract\":\"<p><strong>Background: </strong>Spigelian hernia, also known as spontaneous lateral ventral hernia, is defined as a protrusion of abdominal contents through an abdominal wall defect within the transversus aponeurosis. The entity was first reported in 1742 and named after Adrian van der Spieghel. It is recognized as a rare condition, accounting for 1 to 2% of all abdominal wall hernias. Cirrhotic patients, in particular, are more predisposed to hernias of all types. When Spigelian hernia is accompanied by hepatic cirrhosis, the decision to repair gets into a controversial aspect. Herein, we present the emergency management of an incarcerated spigelian hernia in a cirrhotic patient, highlighting the challenges in managing similar cases.</p><p><strong>Case presentation: </strong>A 65-year-old lady, presented to our emergency department complaining of a left lower quadrant (LLQ) abdominal pain associated with a painful swelling for 9 hours duration. Upon assessment, the patient was jaundiced and haemodynamically stable. Abdominal examination revealed a soft and lax but distended abdomen, with irreducible tender swelling over the LLQ, measuring around 3x2 cm. Laboratory investigations showed anemia, hypoalbuminemia, hyperbilirubinemia, lactic acidosis and prolonged coagulation profile. A contrast-enhanced computed tomography (CT) scan of the abdomen showed evidence of incarcerated left spigelian hernia. Moreover, advanced cirrhosis of the liver was detected with hypertrophy of the caudate lobe, extensive ascites and splenomegaly. After establishing the diagnosis of incarcerated spigelian hernia, with a picture of advanced liver cirrhosis, Child-Pugh-Turcotte (CPT) score of C and a Model for End-Stage Liver Disease (MELD) score of 19 and Mayo score for post-operative mortality of 16% in 7 days and 53% in 30 days. Given the patient's condition which necessitates urgent operative intervention beside the risk of decompensation of pre-existing liver disease and high mortality. Decision was made to proceed with laparoscopic hernia repair. Intraoperatively, ischemic small bowel segment was resected with creation of end ileostomy. Conventional anatomical repair of the hernia defect was performed. Postoperatively, the patient was managed and resuscitated in critical care unit and then discharged home in a satisfactory condition on post-operative day 15. She passed away prior to liver transplantation, thirty-two days post-operatively in a different institution.</p><p><strong>Conclusion: </strong>The surgical management of complicated hernias in an emergency setting comprise a notable number of cases encountered by surgeons. It always needs special attention. Moreover, cirrhotic patients with their predicted high morbidity and mortality require even further vigilance. Therefore, a patient-tailored approach is always recommended when managing similar cases to provide optimal outcomes.</p>\",\"PeriodicalId\":7074,\"journal\":{\"name\":\"Acta Informatica Medica\",\"volume\":\"32 2\",\"pages\":\"126-129\"},\"PeriodicalIF\":0.0000,\"publicationDate\":\"2024-01-01\",\"publicationTypes\":\"Journal Article\",\"fieldsOfStudy\":null,\"isOpenAccess\":false,\"openAccessPdf\":\"https://www.ncbi.nlm.nih.gov/pmc/articles/PMC11821568/pdf/\",\"citationCount\":\"0\",\"resultStr\":null,\"platform\":\"Semanticscholar\",\"paperid\":null,\"PeriodicalName\":\"Acta Informatica Medica\",\"FirstCategoryId\":\"1085\",\"ListUrlMain\":\"https://doi.org/10.5455/aim.2024.32.126-129\",\"RegionNum\":0,\"RegionCategory\":null,\"ArticlePicture\":[],\"TitleCN\":null,\"AbstractTextCN\":null,\"PMCID\":null,\"EPubDate\":\"\",\"PubModel\":\"\",\"JCR\":\"Q2\",\"JCRName\":\"Medicine\",\"Score\":null,\"Total\":0}","platform":"Semanticscholar","paperid":null,"PeriodicalName":"Acta Informatica Medica","FirstCategoryId":"1085","ListUrlMain":"https://doi.org/10.5455/aim.2024.32.126-129","RegionNum":0,"RegionCategory":null,"ArticlePicture":[],"TitleCN":null,"AbstractTextCN":null,"PMCID":null,"EPubDate":"","PubModel":"","JCR":"Q2","JCRName":"Medicine","Score":null,"Total":0}
引用次数: 0

摘要

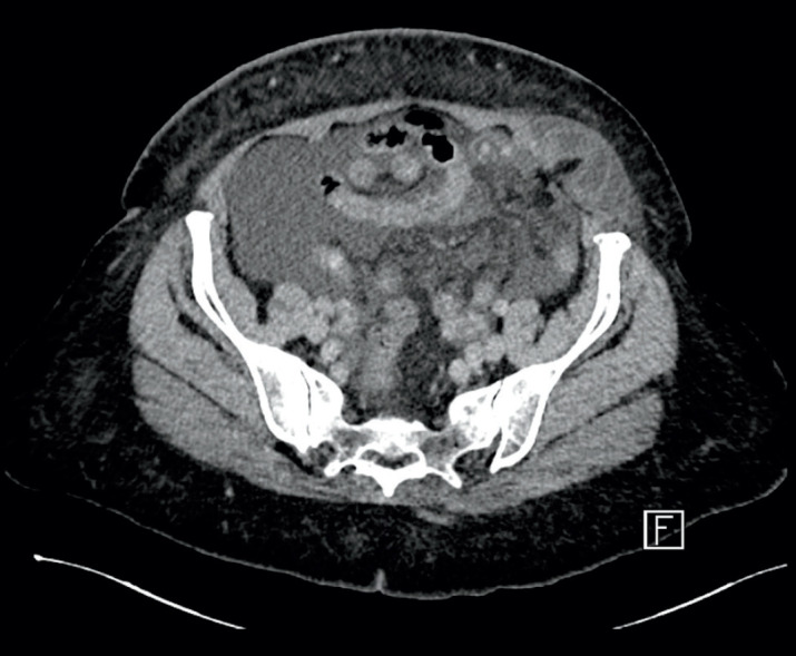
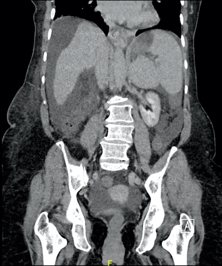
背景:Spigelian疝,也被称为自发性腹侧疝,被定义为腹内容物通过横贯腱膜内腹壁缺损突出。该实体最早于1742年被报道,并以阿德里安·范德·斯皮格尔的名字命名。它被认为是一种罕见的疾病,占所有腹壁疝的1%至2%。特别是肝硬化患者,更容易患各种类型的疝。当Spigelian疝合并肝硬化时,修复的决定成为一个有争议的方面。在此,我们介绍了肝硬化患者嵌顿性spiegelian疝的紧急处理,强调了管理类似病例的挑战。病例介绍:一位65岁的女士,来到我们的急诊科,主诉左下腹(LLQ)腹痛并伴有疼痛肿胀持续9小时。经评估,患者有黄疸,血流动力学稳定。腹部检查显示腹部柔软松弛,但肿胀,在LLQ上有无法缩小的压痛肿胀,约3x2 cm。实验室检查显示贫血、低白蛋白血症、高胆红素血症、乳酸酸中毒和凝血谱延长。腹部增强计算机断层扫描(CT)显示有嵌顿性左螺旋疝的证据。此外,晚期肝硬化伴尾状叶肥大、广泛腹水和脾肿大。在确定嵌顿性spiegelian疝的诊断并伴有晚期肝硬化的图片后,Child-Pugh-Turcotte (CPT)评分为C,终末期肝病模型(MELD)评分为19,Mayo评分为术后7天死亡率为16%,30天死亡率为53%。考虑到患者的病情需要紧急手术干预,以及已有肝脏疾病代偿失代偿的风险和高死亡率。我们决定进行腹腔镜疝修补术。术中,切除局部缺血的小肠,建立回肠末端造口术。对疝缺损进行常规解剖修复。术后,患者在重症监护病房接受治疗和复苏,并于术后第15天出院。她在肝移植前去世,手术后32天在另一个机构。结论:复杂疝的外科治疗在急诊中占外科医生所遇到病例的显著比例。它总是需要特别的注意。此外,肝硬化患者的高发病率和死亡率需要进一步警惕。因此,在处理类似病例时,总是建议采用适合患者的方法以提供最佳结果。
本文章由计算机程序翻译,如有差异,请以英文原文为准。

Spigelian Hernia in Cirrhotic Patients: When and How to Repair?

Spigelian Hernia in Cirrhotic Patients: When and How to Repair?

Spigelian Hernia in Cirrhotic Patients: When and How to Repair?

Spigelian Hernia in Cirrhotic Patients: When and How to Repair?

Background: Spigelian hernia, also known as spontaneous lateral ventral hernia, is defined as a protrusion of abdominal contents through an abdominal wall defect within the transversus aponeurosis. The entity was first reported in 1742 and named after Adrian van der Spieghel. It is recognized as a rare condition, accounting for 1 to 2% of all abdominal wall hernias. Cirrhotic patients, in particular, are more predisposed to hernias of all types. When Spigelian hernia is accompanied by hepatic cirrhosis, the decision to repair gets into a controversial aspect. Herein, we present the emergency management of an incarcerated spigelian hernia in a cirrhotic patient, highlighting the challenges in managing similar cases.

Case presentation: A 65-year-old lady, presented to our emergency department complaining of a left lower quadrant (LLQ) abdominal pain associated with a painful swelling for 9 hours duration. Upon assessment, the patient was jaundiced and haemodynamically stable. Abdominal examination revealed a soft and lax but distended abdomen, with irreducible tender swelling over the LLQ, measuring around 3x2 cm. Laboratory investigations showed anemia, hypoalbuminemia, hyperbilirubinemia, lactic acidosis and prolonged coagulation profile. A contrast-enhanced computed tomography (CT) scan of the abdomen showed evidence of incarcerated left spigelian hernia. Moreover, advanced cirrhosis of the liver was detected with hypertrophy of the caudate lobe, extensive ascites and splenomegaly. After establishing the diagnosis of incarcerated spigelian hernia, with a picture of advanced liver cirrhosis, Child-Pugh-Turcotte (CPT) score of C and a Model for End-Stage Liver Disease (MELD) score of 19 and Mayo score for post-operative mortality of 16% in 7 days and 53% in 30 days. Given the patient's condition which necessitates urgent operative intervention beside the risk of decompensation of pre-existing liver disease and high mortality. Decision was made to proceed with laparoscopic hernia repair. Intraoperatively, ischemic small bowel segment was resected with creation of end ileostomy. Conventional anatomical repair of the hernia defect was performed. Postoperatively, the patient was managed and resuscitated in critical care unit and then discharged home in a satisfactory condition on post-operative day 15. She passed away prior to liver transplantation, thirty-two days post-operatively in a different institution.

Conclusion: The surgical management of complicated hernias in an emergency setting comprise a notable number of cases encountered by surgeons. It always needs special attention. Moreover, cirrhotic patients with their predicted high morbidity and mortality require even further vigilance. Therefore, a patient-tailored approach is always recommended when managing similar cases to provide optimal outcomes.

求助全文
通过发布文献求助,成功后即可免费获取论文全文。 去求助
来源期刊
Acta Informatica Medica
Acta Informatica Medica Medicine-Medicine (all)
CiteScore
2.90
自引率
0.00%
发文量
37
×
引用
GB/T 7714-2015
复制
MLA
复制
APA
复制
导出至
BibTeX EndNote RefMan NoteFirst NoteExpress
×
提示
您的信息不完整,为了账户安全,请先补充。
现在去补充
×
提示
您因"违规操作"
具体请查看互助需知
我知道了
×
提示
确定
请完成安全验证×
copy
已复制链接
快去分享给好友吧!
我知道了
右上角分享
点击右上角分享
0
联系我们:info@booksci.cn Book学术提供免费学术资源搜索服务,方便国内外学者检索中英文文献。致力于提供最便捷和优质的服务体验。 Copyright © 2023 布克学术 All rights reserved.
京ICP备2023020795号-1
ghs 京公网安备 11010802042870号
Book学术文献互助
Book学术文献互助群
群 号:604180095
Book学术官方微信