羊水栓塞致心脏骤停2例临床报告

Q2 Medicine
Dung The Bui, Duyen Hanh Thi Bui, Thuy Thanh Thi Tran, Vu Hoang Vu, Thang Nhat Tran, Kiet Anh Huynh, Dinh Hoang Nguyen
{"title":"羊水栓塞致心脏骤停2例临床报告","authors":"Dung The Bui, Duyen Hanh Thi Bui, Thuy Thanh Thi Tran, Vu Hoang Vu, Thang Nhat Tran, Kiet Anh Huynh, Dinh Hoang Nguyen","doi":"10.5455/aim.2024.32.130-134","DOIUrl":null,"url":null,"abstract":"<p><strong>Background: </strong>Amniotic fluid embolism (AFE) is a rare and catastrophic obstetric complication that can lead to sudden cardiac arrest, respiratory distress, and disseminated intravascular coagulation. Recognizing and managing this condition promptly is crucial for improving maternal and neonatal outcomes.</p><p><strong>Objective: </strong>This report includes two case studies describing the timely detection, prompt delivery of medical treatment, and the interdisciplinary approach essential for achieving better outcomes for mothers and children confronting with this catastrophic condition.</p><p><strong>Case presentation: </strong>Case 1: A 39-year-old pregnant woman at 36 weeks and 5 days of gestation with central placenta previa was admitted due to antepartum hemorrhage. She developed convulsions and cardiac arrest during a cesarean section, requiring cardiopulmonary resuscitation. Laboratory tests revealed severe anemia, thrombocytopenia, coagulopathy, severe acidosis, and myocardial injury. Bedside echocardiography and CT scan identified high-risk pulmonary embolisms. Intensive care included VA-ECMO, CRRT, transcatheter arterial embolization, and mechanical thrombectomy. Histopathology confirmed amniotic fluid components making up the emboli. Case 2: A 31-year-old female was transferred following a cesarean section for central placenta previa complicated by severe hemorrhage, cardiac arrest, and pulmonary embolism. Laboratory results showed severe anemia, thrombocytopenia, significant coagulopathy, myocardial injury, and hepatic injury. Histopathology confirmed amniotic components in the embolism. Management involved extensive blood transfusions, and pulmonary thromboendarterectomy. She was discharged in improved condition.</p><p><strong>Conclusion: </strong>Early diagnosis and prompt intervention are crucial to optimizing outcomes for patients with amniotic fluid embolism, utilizing a comprehensive multidisciplinary approach.</p>","PeriodicalId":7074,"journal":{"name":"Acta Informatica Medica","volume":"32 2","pages":"130-134"},"PeriodicalIF":0.0000,"publicationDate":"2024-01-01","publicationTypes":"Journal Article","fieldsOfStudy":null,"isOpenAccess":false,"openAccessPdf":"https://www.ncbi.nlm.nih.gov/pmc/articles/PMC11821570/pdf/","citationCount":"0","resultStr":"{\"title\":\"Cardiac Arrest Caused by Amniotic Fluid Embolism: a Report of Two Clinical Cases.\",\"authors\":\"Dung The Bui, Duyen Hanh Thi Bui, Thuy Thanh Thi Tran, Vu Hoang Vu, Thang Nhat Tran, Kiet Anh Huynh, Dinh Hoang Nguyen\",\"doi\":\"10.5455/aim.2024.32.130-134\",\"DOIUrl\":null,\"url\":null,\"abstract\":\"<p><strong>Background: </strong>Amniotic fluid embolism (AFE) is a rare and catastrophic obstetric complication that can lead to sudden cardiac arrest, respiratory distress, and disseminated intravascular coagulation. Recognizing and managing this condition promptly is crucial for improving maternal and neonatal outcomes.</p><p><strong>Objective: </strong>This report includes two case studies describing the timely detection, prompt delivery of medical treatment, and the interdisciplinary approach essential for achieving better outcomes for mothers and children confronting with this catastrophic condition.</p><p><strong>Case presentation: </strong>Case 1: A 39-year-old pregnant woman at 36 weeks and 5 days of gestation with central placenta previa was admitted due to antepartum hemorrhage. She developed convulsions and cardiac arrest during a cesarean section, requiring cardiopulmonary resuscitation. Laboratory tests revealed severe anemia, thrombocytopenia, coagulopathy, severe acidosis, and myocardial injury. Bedside echocardiography and CT scan identified high-risk pulmonary embolisms. Intensive care included VA-ECMO, CRRT, transcatheter arterial embolization, and mechanical thrombectomy. Histopathology confirmed amniotic fluid components making up the emboli. Case 2: A 31-year-old female was transferred following a cesarean section for central placenta previa complicated by severe hemorrhage, cardiac arrest, and pulmonary embolism. Laboratory results showed severe anemia, thrombocytopenia, significant coagulopathy, myocardial injury, and hepatic injury. Histopathology confirmed amniotic components in the embolism. Management involved extensive blood transfusions, and pulmonary thromboendarterectomy. She was discharged in improved condition.</p><p><strong>Conclusion: </strong>Early diagnosis and prompt intervention are crucial to optimizing outcomes for patients with amniotic fluid embolism, utilizing a comprehensive multidisciplinary approach.</p>\",\"PeriodicalId\":7074,\"journal\":{\"name\":\"Acta Informatica Medica\",\"volume\":\"32 2\",\"pages\":\"130-134\"},\"PeriodicalIF\":0.0000,\"publicationDate\":\"2024-01-01\",\"publicationTypes\":\"Journal Article\",\"fieldsOfStudy\":null,\"isOpenAccess\":false,\"openAccessPdf\":\"https://www.ncbi.nlm.nih.gov/pmc/articles/PMC11821570/pdf/\",\"citationCount\":\"0\",\"resultStr\":null,\"platform\":\"Semanticscholar\",\"paperid\":null,\"PeriodicalName\":\"Acta Informatica Medica\",\"FirstCategoryId\":\"1085\",\"ListUrlMain\":\"https://doi.org/10.5455/aim.2024.32.130-134\",\"RegionNum\":0,\"RegionCategory\":null,\"ArticlePicture\":[],\"TitleCN\":null,\"AbstractTextCN\":null,\"PMCID\":null,\"EPubDate\":\"\",\"PubModel\":\"\",\"JCR\":\"Q2\",\"JCRName\":\"Medicine\",\"Score\":null,\"Total\":0}","platform":"Semanticscholar","paperid":null,"PeriodicalName":"Acta Informatica Medica","FirstCategoryId":"1085","ListUrlMain":"https://doi.org/10.5455/aim.2024.32.130-134","RegionNum":0,"RegionCategory":null,"ArticlePicture":[],"TitleCN":null,"AbstractTextCN":null,"PMCID":null,"EPubDate":"","PubModel":"","JCR":"Q2","JCRName":"Medicine","Score":null,"Total":0}
引用次数: 0

摘要

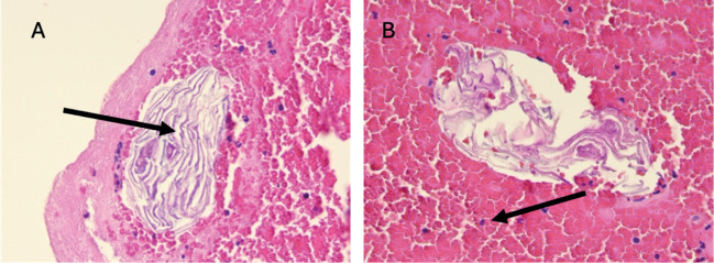
背景:羊水栓塞(AFE)是一种罕见的灾难性产科并发症,可导致心脏骤停、呼吸窘迫和弥散性血管内凝血。及时认识和处理这种情况对于改善孕产妇和新生儿结局至关重要。目的:本报告包括两个案例研究,描述了及时发现、迅速提供医疗以及跨学科方法,这些方法对于面对这种灾难性疾病的母亲和儿童取得更好的结果至关重要。病例介绍:病例1:一名39岁孕妇,孕36周5天,中央前置胎盘,因产前出血入院。她在剖宫产手术中出现抽搐和心脏骤停,需要心肺复苏。实验室检查显示严重贫血、血小板减少、凝血功能障碍、严重酸中毒和心肌损伤。床边超声心动图和CT扫描确定高危肺栓塞。重症监护包括VA-ECMO、CRRT、经导管动脉栓塞和机械取栓。组织病理学证实羊水成分构成了栓子。病例2:一名31岁女性因中央性前置胎盘并发严重出血、心脏骤停和肺栓塞而行剖宫产手术。实验室结果显示严重贫血、血小板减少、明显凝血功能障碍、心肌损伤和肝损伤。组织病理学证实了栓塞的羊膜成分。治疗包括大量输血和肺血栓动脉内膜切除术。她出院时情况有所好转。结论:早期诊断和及时干预是优化羊水栓塞患者预后的关键,采用综合多学科方法。
本文章由计算机程序翻译,如有差异,请以英文原文为准。

Cardiac Arrest Caused by Amniotic Fluid Embolism: a Report of Two Clinical Cases.

Cardiac Arrest Caused by Amniotic Fluid Embolism: a Report of Two Clinical Cases.

Cardiac Arrest Caused by Amniotic Fluid Embolism: a Report of Two Clinical Cases.

Cardiac Arrest Caused by Amniotic Fluid Embolism: a Report of Two Clinical Cases.

Background: Amniotic fluid embolism (AFE) is a rare and catastrophic obstetric complication that can lead to sudden cardiac arrest, respiratory distress, and disseminated intravascular coagulation. Recognizing and managing this condition promptly is crucial for improving maternal and neonatal outcomes.

Objective: This report includes two case studies describing the timely detection, prompt delivery of medical treatment, and the interdisciplinary approach essential for achieving better outcomes for mothers and children confronting with this catastrophic condition.

Case presentation: Case 1: A 39-year-old pregnant woman at 36 weeks and 5 days of gestation with central placenta previa was admitted due to antepartum hemorrhage. She developed convulsions and cardiac arrest during a cesarean section, requiring cardiopulmonary resuscitation. Laboratory tests revealed severe anemia, thrombocytopenia, coagulopathy, severe acidosis, and myocardial injury. Bedside echocardiography and CT scan identified high-risk pulmonary embolisms. Intensive care included VA-ECMO, CRRT, transcatheter arterial embolization, and mechanical thrombectomy. Histopathology confirmed amniotic fluid components making up the emboli. Case 2: A 31-year-old female was transferred following a cesarean section for central placenta previa complicated by severe hemorrhage, cardiac arrest, and pulmonary embolism. Laboratory results showed severe anemia, thrombocytopenia, significant coagulopathy, myocardial injury, and hepatic injury. Histopathology confirmed amniotic components in the embolism. Management involved extensive blood transfusions, and pulmonary thromboendarterectomy. She was discharged in improved condition.

Conclusion: Early diagnosis and prompt intervention are crucial to optimizing outcomes for patients with amniotic fluid embolism, utilizing a comprehensive multidisciplinary approach.

求助全文
通过发布文献求助,成功后即可免费获取论文全文。 去求助
来源期刊
Acta Informatica Medica
Acta Informatica Medica Medicine-Medicine (all)
CiteScore
2.90
自引率
0.00%
发文量
37
×
引用
GB/T 7714-2015
复制
MLA
复制
APA
复制
导出至
BibTeX EndNote RefMan NoteFirst NoteExpress
×
提示
您的信息不完整,为了账户安全,请先补充。
现在去补充
×
提示
您因"违规操作"
具体请查看互助需知
我知道了
×
提示
确定
请完成安全验证×
copy
已复制链接
快去分享给好友吧!
我知道了
右上角分享
点击右上角分享
0
联系我们:info@booksci.cn Book学术提供免费学术资源搜索服务,方便国内外学者检索中英文文献。致力于提供最便捷和优质的服务体验。 Copyright © 2023 布克学术 All rights reserved.
京ICP备2023020795号-1
ghs 京公网安备 11010802042870号
Book学术文献互助
Book学术文献互助群
群 号:604180095
Book学术官方微信