小儿结节性硬化症患者TSC2基因的新内含子杂合突变。

Q2 Medicine
Rijad Konjhodzic, Lana Salihefendic, Naida Mulahuseinovic, Ivana Ceko, Selma Durgut, Nejira Handzic, Sadzida Orucevic, Sajra Uzicanin
{"title":"小儿结节性硬化症患者TSC2基因的新内含子杂合突变。","authors":"Rijad Konjhodzic, Lana Salihefendic, Naida Mulahuseinovic, Ivana Ceko, Selma Durgut, Nejira Handzic, Sadzida Orucevic, Sajra Uzicanin","doi":"10.5455/aim.2024.32.122-125","DOIUrl":null,"url":null,"abstract":"<p><strong>Background: </strong>Tuberous Sclerosis Complex (TSC) is an autosomal dominant genetic disorder and involves multiple organs, intellectual disability and epilepsy. Mutations in TSC1 and TSC2 genes are responsible for the molecular disease mechanism.</p><p><strong>Objective: </strong>The aim is to determine molecular background of a patient with a suspicion of TSC.</p><p><strong>Case presentation: </strong>In this case report, we describe a seven year old patient with the clinical manifestation of TSC that includes supratentorial changes, subependymal hamartomas and angifibromas in the facial area. Besides the brain and skin changes, no other TSC characteristics were observed. The patient was referred to molecular genetic testing using Next Generation Sequencing (NGS). Results: Clinical exome sequencing revealed intronic TSC2 c.4849+2T>G variant. The variant was confirmed using Sanger sequencing on the subject. However, the variant was not detected in the parents, which indicated that it arose de-novo. The RegSNP-intron, Mutation Taster and Human Splicing Finder were used as a bioinformatic tools to predict the possible effect on protein. Using bioinformatic tools, it was determined that the variant is possibly damaging to protein.</p><p><strong>Conclusion: </strong>This data suggest that observed splicing intronic variant could be the cause of TSC in this pediatric patient.</p>","PeriodicalId":7074,"journal":{"name":"Acta Informatica Medica","volume":"32 2","pages":"122-125"},"PeriodicalIF":0.0000,"publicationDate":"2024-01-01","publicationTypes":"Journal Article","fieldsOfStudy":null,"isOpenAccess":false,"openAccessPdf":"https://www.ncbi.nlm.nih.gov/pmc/articles/PMC11821562/pdf/","citationCount":"0","resultStr":"{\"title\":\"Novel Intronic Heterozygous Mutation in TSC2 Gene in Pediatric Patient with Tuberous Sclerosis Complex.\",\"authors\":\"Rijad Konjhodzic, Lana Salihefendic, Naida Mulahuseinovic, Ivana Ceko, Selma Durgut, Nejira Handzic, Sadzida Orucevic, Sajra Uzicanin\",\"doi\":\"10.5455/aim.2024.32.122-125\",\"DOIUrl\":null,\"url\":null,\"abstract\":\"<p><strong>Background: </strong>Tuberous Sclerosis Complex (TSC) is an autosomal dominant genetic disorder and involves multiple organs, intellectual disability and epilepsy. Mutations in TSC1 and TSC2 genes are responsible for the molecular disease mechanism.</p><p><strong>Objective: </strong>The aim is to determine molecular background of a patient with a suspicion of TSC.</p><p><strong>Case presentation: </strong>In this case report, we describe a seven year old patient with the clinical manifestation of TSC that includes supratentorial changes, subependymal hamartomas and angifibromas in the facial area. Besides the brain and skin changes, no other TSC characteristics were observed. The patient was referred to molecular genetic testing using Next Generation Sequencing (NGS). Results: Clinical exome sequencing revealed intronic TSC2 c.4849+2T>G variant. The variant was confirmed using Sanger sequencing on the subject. However, the variant was not detected in the parents, which indicated that it arose de-novo. The RegSNP-intron, Mutation Taster and Human Splicing Finder were used as a bioinformatic tools to predict the possible effect on protein. Using bioinformatic tools, it was determined that the variant is possibly damaging to protein.</p><p><strong>Conclusion: </strong>This data suggest that observed splicing intronic variant could be the cause of TSC in this pediatric patient.</p>\",\"PeriodicalId\":7074,\"journal\":{\"name\":\"Acta Informatica Medica\",\"volume\":\"32 2\",\"pages\":\"122-125\"},\"PeriodicalIF\":0.0000,\"publicationDate\":\"2024-01-01\",\"publicationTypes\":\"Journal Article\",\"fieldsOfStudy\":null,\"isOpenAccess\":false,\"openAccessPdf\":\"https://www.ncbi.nlm.nih.gov/pmc/articles/PMC11821562/pdf/\",\"citationCount\":\"0\",\"resultStr\":null,\"platform\":\"Semanticscholar\",\"paperid\":null,\"PeriodicalName\":\"Acta Informatica Medica\",\"FirstCategoryId\":\"1085\",\"ListUrlMain\":\"https://doi.org/10.5455/aim.2024.32.122-125\",\"RegionNum\":0,\"RegionCategory\":null,\"ArticlePicture\":[],\"TitleCN\":null,\"AbstractTextCN\":null,\"PMCID\":null,\"EPubDate\":\"\",\"PubModel\":\"\",\"JCR\":\"Q2\",\"JCRName\":\"Medicine\",\"Score\":null,\"Total\":0}","platform":"Semanticscholar","paperid":null,"PeriodicalName":"Acta Informatica Medica","FirstCategoryId":"1085","ListUrlMain":"https://doi.org/10.5455/aim.2024.32.122-125","RegionNum":0,"RegionCategory":null,"ArticlePicture":[],"TitleCN":null,"AbstractTextCN":null,"PMCID":null,"EPubDate":"","PubModel":"","JCR":"Q2","JCRName":"Medicine","Score":null,"Total":0}
引用次数: 0

摘要

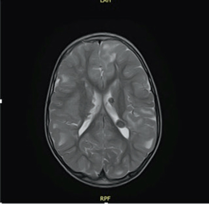
背景:结节性硬化症(TSC)是一种常染色体显性遗传病,累及多器官、智力残疾和癫痫。TSC1和TSC2基因的突变与分子疾病机制有关。目的:目的是确定可疑的TSC患者的分子背景。病例介绍:在这个病例报告中,我们描述了一个7岁的患者,其临床表现包括幕上改变,室管膜下错构瘤和面部血管纤维瘤。除脑和皮肤变化外,未观察到其他TSC特征。患者被转介到使用下一代测序(NGS)进行分子基因检测。结果:临床外显子组测序显示内含子TSC2 c.4849+2T>G变异。通过对受试者进行桑格测序,这种变异得到了证实。然而,在父母中没有检测到这种变异,这表明它是从头开始的。regsnp内含子、Mutation Taster和Human Splicing Finder作为生物信息学工具来预测可能对蛋白质的影响。利用生物信息学工具,确定这种变异可能对蛋白质有害。结论:该数据提示剪接内含子变异可能是该患儿TSC的病因。
本文章由计算机程序翻译,如有差异,请以英文原文为准。

Novel Intronic Heterozygous Mutation in TSC2 Gene in Pediatric Patient with Tuberous Sclerosis Complex.

Novel Intronic Heterozygous Mutation in TSC2 Gene in Pediatric Patient with Tuberous Sclerosis Complex.

Novel Intronic Heterozygous Mutation in TSC2 Gene in Pediatric Patient with Tuberous Sclerosis Complex.

Novel Intronic Heterozygous Mutation in TSC2 Gene in Pediatric Patient with Tuberous Sclerosis Complex.

Background: Tuberous Sclerosis Complex (TSC) is an autosomal dominant genetic disorder and involves multiple organs, intellectual disability and epilepsy. Mutations in TSC1 and TSC2 genes are responsible for the molecular disease mechanism.

Objective: The aim is to determine molecular background of a patient with a suspicion of TSC.

Case presentation: In this case report, we describe a seven year old patient with the clinical manifestation of TSC that includes supratentorial changes, subependymal hamartomas and angifibromas in the facial area. Besides the brain and skin changes, no other TSC characteristics were observed. The patient was referred to molecular genetic testing using Next Generation Sequencing (NGS). Results: Clinical exome sequencing revealed intronic TSC2 c.4849+2T>G variant. The variant was confirmed using Sanger sequencing on the subject. However, the variant was not detected in the parents, which indicated that it arose de-novo. The RegSNP-intron, Mutation Taster and Human Splicing Finder were used as a bioinformatic tools to predict the possible effect on protein. Using bioinformatic tools, it was determined that the variant is possibly damaging to protein.

Conclusion: This data suggest that observed splicing intronic variant could be the cause of TSC in this pediatric patient.

求助全文
通过发布文献求助,成功后即可免费获取论文全文。 去求助
来源期刊
Acta Informatica Medica
Acta Informatica Medica Medicine-Medicine (all)
CiteScore
2.90
自引率
0.00%
发文量
37
×
引用
GB/T 7714-2015
复制
MLA
复制
APA
复制
导出至
BibTeX EndNote RefMan NoteFirst NoteExpress
×
提示
您的信息不完整,为了账户安全,请先补充。
现在去补充
×
提示
您因"违规操作"
具体请查看互助需知
我知道了
×
提示
确定
请完成安全验证×
copy
已复制链接
快去分享给好友吧!
我知道了
右上角分享
点击右上角分享
0
联系我们:info@booksci.cn Book学术提供免费学术资源搜索服务,方便国内外学者检索中英文文献。致力于提供最便捷和优质的服务体验。 Copyright © 2023 布克学术 All rights reserved.
京ICP备2023020795号-1
ghs 京公网安备 11010802042870号
Book学术文献互助
Book学术文献互助群
群 号:604180095
Book学术官方微信