先天性膈疝患儿左门脉高压及脾功能亢进一例罕见病例报告。

Q2 Medicine
Tran Thanh Tri, Luu-Nguyen An Thuan, Phan Tuan Kiet, Au Nhat Huy, Trinh-Nguyen Ha Vi
{"title":"先天性膈疝患儿左门脉高压及脾功能亢进一例罕见病例报告。","authors":"Tran Thanh Tri, Luu-Nguyen An Thuan, Phan Tuan Kiet, Au Nhat Huy, Trinh-Nguyen Ha Vi","doi":"10.5455/aim.2024.32.135-138","DOIUrl":null,"url":null,"abstract":"<p><strong>Background: </strong>T Congenital diaphragmatic hernia (Bochdalek hernia), which occurs in 1/2,200 live births, is typically diagnosed in the prenatal or immediate postnatal period. Diaphragmatic hernia is rare in older children and adults and can be presented with acute respiratory failure, incarcerated hernia, acute pancreatitis, or rare conditions such as left portal hypertension and hypersplenism.</p><p><strong>Objective: </strong>The aim of this case report was to present 15-year-old male with vomiting and mild upper abdominal pain who had mild epigastric tenderness with no guard and an IV grade splenomegaly caused by Congenital Diaphragmatic Hernia. Case presentation: We report a case of left portal hypertension and hypersplenism in an adolescent with congenital diaphragmatic hernia. Typical clinical presentations include abdominal pain, respiratory symptoms, or intestinal obstruction in incarcerated diaphragmatic hernia. Additionally, some uncommon symptoms reported in literature include gastrointestinal bleeding as a result of portal hypertension, thrombocytopenia due to hypersplenism, and acute pancreatitis.</p><p><strong>Conclusion: </strong>The treatment has released the obstruction in the splenic vein and reduce returned collateral gastric blood flow. Splenectomy should be considered based on many factors, such as anatomic anomalies or the degree of hypersplenism and portal hypertension. This is a rare clinical entity with only a few cases that have been reported in the literature.</p>","PeriodicalId":7074,"journal":{"name":"Acta Informatica Medica","volume":"32 2","pages":"135-138"},"PeriodicalIF":0.0000,"publicationDate":"2024-01-01","publicationTypes":"Journal Article","fieldsOfStudy":null,"isOpenAccess":false,"openAccessPdf":"https://www.ncbi.nlm.nih.gov/pmc/articles/PMC11821566/pdf/","citationCount":"0","resultStr":"{\"title\":\"Left Portal Hypertension and Hypersplenism in a Child With Congenital Diaphragmatic Hernia: A Rare Case Report.\",\"authors\":\"Tran Thanh Tri, Luu-Nguyen An Thuan, Phan Tuan Kiet, Au Nhat Huy, Trinh-Nguyen Ha Vi\",\"doi\":\"10.5455/aim.2024.32.135-138\",\"DOIUrl\":null,\"url\":null,\"abstract\":\"<p><strong>Background: </strong>T Congenital diaphragmatic hernia (Bochdalek hernia), which occurs in 1/2,200 live births, is typically diagnosed in the prenatal or immediate postnatal period. Diaphragmatic hernia is rare in older children and adults and can be presented with acute respiratory failure, incarcerated hernia, acute pancreatitis, or rare conditions such as left portal hypertension and hypersplenism.</p><p><strong>Objective: </strong>The aim of this case report was to present 15-year-old male with vomiting and mild upper abdominal pain who had mild epigastric tenderness with no guard and an IV grade splenomegaly caused by Congenital Diaphragmatic Hernia. Case presentation: We report a case of left portal hypertension and hypersplenism in an adolescent with congenital diaphragmatic hernia. Typical clinical presentations include abdominal pain, respiratory symptoms, or intestinal obstruction in incarcerated diaphragmatic hernia. Additionally, some uncommon symptoms reported in literature include gastrointestinal bleeding as a result of portal hypertension, thrombocytopenia due to hypersplenism, and acute pancreatitis.</p><p><strong>Conclusion: </strong>The treatment has released the obstruction in the splenic vein and reduce returned collateral gastric blood flow. Splenectomy should be considered based on many factors, such as anatomic anomalies or the degree of hypersplenism and portal hypertension. This is a rare clinical entity with only a few cases that have been reported in the literature.</p>\",\"PeriodicalId\":7074,\"journal\":{\"name\":\"Acta Informatica Medica\",\"volume\":\"32 2\",\"pages\":\"135-138\"},\"PeriodicalIF\":0.0000,\"publicationDate\":\"2024-01-01\",\"publicationTypes\":\"Journal Article\",\"fieldsOfStudy\":null,\"isOpenAccess\":false,\"openAccessPdf\":\"https://www.ncbi.nlm.nih.gov/pmc/articles/PMC11821566/pdf/\",\"citationCount\":\"0\",\"resultStr\":null,\"platform\":\"Semanticscholar\",\"paperid\":null,\"PeriodicalName\":\"Acta Informatica Medica\",\"FirstCategoryId\":\"1085\",\"ListUrlMain\":\"https://doi.org/10.5455/aim.2024.32.135-138\",\"RegionNum\":0,\"RegionCategory\":null,\"ArticlePicture\":[],\"TitleCN\":null,\"AbstractTextCN\":null,\"PMCID\":null,\"EPubDate\":\"\",\"PubModel\":\"\",\"JCR\":\"Q2\",\"JCRName\":\"Medicine\",\"Score\":null,\"Total\":0}","platform":"Semanticscholar","paperid":null,"PeriodicalName":"Acta Informatica Medica","FirstCategoryId":"1085","ListUrlMain":"https://doi.org/10.5455/aim.2024.32.135-138","RegionNum":0,"RegionCategory":null,"ArticlePicture":[],"TitleCN":null,"AbstractTextCN":null,"PMCID":null,"EPubDate":"","PubModel":"","JCR":"Q2","JCRName":"Medicine","Score":null,"Total":0}
引用次数: 0

摘要

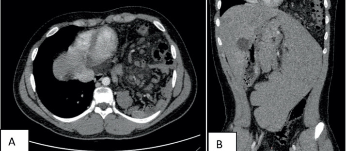
背景:先天性膈疝(Bochdalek hernia)发生率为1/ 2200活产婴儿,通常在产前或产后诊断。膈疝在年龄较大的儿童和成人中很少见,可表现为急性呼吸衰竭、嵌顿疝、急性胰腺炎或罕见的情况,如左门静脉高压和脾功能亢进。目的:本病例报告的目的是提出一个15岁的男性呕吐和轻微的上腹部疼痛,有轻微的上腹部压痛,没有保护和IV级脾大先天性膈疝引起的。病例介绍:我们报告一例左门静脉高压和脾功能亢进的青少年先天性膈疝。嵌顿性膈疝的典型临床表现包括腹痛、呼吸症状或肠梗阻。此外,文献报道的一些不常见症状包括门静脉高压引起的胃肠道出血、脾功能亢进引起的血小板减少症和急性胰腺炎。结论:该治疗解除了脾静脉阻塞,减少了胃侧支血流量。脾切除术应考虑多种因素,如解剖异常或脾功能亢进和门静脉高压症的程度。这是一种罕见的临床实体,只有少数病例在文献中报道过。
本文章由计算机程序翻译,如有差异,请以英文原文为准。

Left Portal Hypertension and Hypersplenism in a Child With Congenital Diaphragmatic Hernia: A Rare Case Report.

Left Portal Hypertension and Hypersplenism in a Child With Congenital Diaphragmatic Hernia: A Rare Case Report.

Left Portal Hypertension and Hypersplenism in a Child With Congenital Diaphragmatic Hernia: A Rare Case Report.

Background: T Congenital diaphragmatic hernia (Bochdalek hernia), which occurs in 1/2,200 live births, is typically diagnosed in the prenatal or immediate postnatal period. Diaphragmatic hernia is rare in older children and adults and can be presented with acute respiratory failure, incarcerated hernia, acute pancreatitis, or rare conditions such as left portal hypertension and hypersplenism.

Objective: The aim of this case report was to present 15-year-old male with vomiting and mild upper abdominal pain who had mild epigastric tenderness with no guard and an IV grade splenomegaly caused by Congenital Diaphragmatic Hernia. Case presentation: We report a case of left portal hypertension and hypersplenism in an adolescent with congenital diaphragmatic hernia. Typical clinical presentations include abdominal pain, respiratory symptoms, or intestinal obstruction in incarcerated diaphragmatic hernia. Additionally, some uncommon symptoms reported in literature include gastrointestinal bleeding as a result of portal hypertension, thrombocytopenia due to hypersplenism, and acute pancreatitis.

Conclusion: The treatment has released the obstruction in the splenic vein and reduce returned collateral gastric blood flow. Splenectomy should be considered based on many factors, such as anatomic anomalies or the degree of hypersplenism and portal hypertension. This is a rare clinical entity with only a few cases that have been reported in the literature.

求助全文
通过发布文献求助,成功后即可免费获取论文全文。 去求助
来源期刊
Acta Informatica Medica
Acta Informatica Medica Medicine-Medicine (all)
CiteScore
2.90
自引率
0.00%
发文量
37
×
引用
GB/T 7714-2015
复制
MLA
复制
APA
复制
导出至
BibTeX EndNote RefMan NoteFirst NoteExpress
×
提示
您的信息不完整,为了账户安全,请先补充。
现在去补充
×
提示
您因"违规操作"
具体请查看互助需知
我知道了
×
提示
确定
请完成安全验证×
copy
已复制链接
快去分享给好友吧!
我知道了
右上角分享
点击右上角分享
0
联系我们:info@booksci.cn Book学术提供免费学术资源搜索服务,方便国内外学者检索中英文文献。致力于提供最便捷和优质的服务体验。 Copyright © 2023 布克学术 All rights reserved.
京ICP备2023020795号-1
ghs 京公网安备 11010802042870号
Book学术文献互助
Book学术文献互助群
群 号:604180095
Book学术官方微信