阴部扁平苔藓外阴HSIL和阴茎瘤变的风险:一项病例对照研究。

IF 2.1 4区 医学 Q2 OBSTETRICS & GYNECOLOGY
Journal of Lower Genital Tract Disease Pub Date : 2025-07-01 Epub Date: 2025-02-14 DOI:10.1097/LGT.0000000000000879
Niina K Hieta, Lotta Tapana, Jenni M Söderlund, Jutta K Huvila, Lauri A I Talve, Marjut A M Haataja
{"title":"阴部扁平苔藓外阴HSIL和阴茎瘤变的风险:一项病例对照研究。","authors":"Niina K Hieta, Lotta Tapana, Jenni M Söderlund, Jutta K Huvila, Lauri A I Talve, Marjut A M Haataja","doi":"10.1097/LGT.0000000000000879","DOIUrl":null,"url":null,"abstract":"<p><strong>Objective: </strong>Lichen planus (LP) is a chronic inflammatory skin disease that may affect the skin, scalp, nails, and mucosa. The aim of this study was to investigate the risk of genital premalignant and malignant conditions in patients with anogenital LP (agLP).</p><p><strong>Methods: </strong>The authors identified 60 male and 56 female patients with agLP by searching the biobank archives for a genital or perianal skin biopsy showing LP between 2004 and 2020. They also included 10 randomly selected age- and sex-matched controls for each patient. The risks of genital cancers and their precursors were evaluated.</p><p><strong>Results: </strong>The incidence of agLP was 1.54 per 100,000 men and 1.36 per 100,000 women. There was no statistical difference between male and female incidence ( p = .5721). The odds ratio (OR) for high-grade squamous intraepithelial lesion (HSIL) of the vulva was 31.2 (95% CI = 2.46-1645.00; p = .01). The OR for penile neoplasias could not be calculated because control patients had no neoplasias, but the difference was suggestive of statistical significance (95% CI = 1.90-infinite; p = .008). The mean age at the time of diagnosis of agLP was 59.9 years (median 62 years) in female patients and 40.8 years (median 33 years) in male patients. The difference in the mean ages of female and male patients was statistically significant (95% CI = 11.92-26.13; p < .001).</p><p><strong>Conclusions: </strong>Patients with agLP may have an increased risk for vulvar HSIL and penile neoplasia.</p>","PeriodicalId":50160,"journal":{"name":"Journal of Lower Genital Tract Disease","volume":" ","pages":"288-292"},"PeriodicalIF":2.1000,"publicationDate":"2025-07-01","publicationTypes":"Journal Article","fieldsOfStudy":null,"isOpenAccess":false,"openAccessPdf":"https://www.ncbi.nlm.nih.gov/pmc/articles/PMC12188817/pdf/","citationCount":"0","resultStr":"{\"title\":\"Risk of Vulvar HSIL and Penile Neoplasias in Anogenital Lichen Planus: A Case-Control Study.\",\"authors\":\"Niina K Hieta, Lotta Tapana, Jenni M Söderlund, Jutta K Huvila, Lauri A I Talve, Marjut A M Haataja\",\"doi\":\"10.1097/LGT.0000000000000879\",\"DOIUrl\":null,\"url\":null,\"abstract\":\"<p><strong>Objective: </strong>Lichen planus (LP) is a chronic inflammatory skin disease that may affect the skin, scalp, nails, and mucosa. The aim of this study was to investigate the risk of genital premalignant and malignant conditions in patients with anogenital LP (agLP).</p><p><strong>Methods: </strong>The authors identified 60 male and 56 female patients with agLP by searching the biobank archives for a genital or perianal skin biopsy showing LP between 2004 and 2020. They also included 10 randomly selected age- and sex-matched controls for each patient. The risks of genital cancers and their precursors were evaluated.</p><p><strong>Results: </strong>The incidence of agLP was 1.54 per 100,000 men and 1.36 per 100,000 women. There was no statistical difference between male and female incidence ( p = .5721). The odds ratio (OR) for high-grade squamous intraepithelial lesion (HSIL) of the vulva was 31.2 (95% CI = 2.46-1645.00; p = .01). The OR for penile neoplasias could not be calculated because control patients had no neoplasias, but the difference was suggestive of statistical significance (95% CI = 1.90-infinite; p = .008). The mean age at the time of diagnosis of agLP was 59.9 years (median 62 years) in female patients and 40.8 years (median 33 years) in male patients. The difference in the mean ages of female and male patients was statistically significant (95% CI = 11.92-26.13; p < .001).</p><p><strong>Conclusions: </strong>Patients with agLP may have an increased risk for vulvar HSIL and penile neoplasia.</p>\",\"PeriodicalId\":50160,\"journal\":{\"name\":\"Journal of Lower Genital Tract Disease\",\"volume\":\" \",\"pages\":\"288-292\"},\"PeriodicalIF\":2.1000,\"publicationDate\":\"2025-07-01\",\"publicationTypes\":\"Journal Article\",\"fieldsOfStudy\":null,\"isOpenAccess\":false,\"openAccessPdf\":\"https://www.ncbi.nlm.nih.gov/pmc/articles/PMC12188817/pdf/\",\"citationCount\":\"0\",\"resultStr\":null,\"platform\":\"Semanticscholar\",\"paperid\":null,\"PeriodicalName\":\"Journal of Lower Genital Tract Disease\",\"FirstCategoryId\":\"3\",\"ListUrlMain\":\"https://doi.org/10.1097/LGT.0000000000000879\",\"RegionNum\":4,\"RegionCategory\":\"医学\",\"ArticlePicture\":[],\"TitleCN\":null,\"AbstractTextCN\":null,\"PMCID\":null,\"EPubDate\":\"2025/2/14 0:00:00\",\"PubModel\":\"Epub\",\"JCR\":\"Q2\",\"JCRName\":\"OBSTETRICS & GYNECOLOGY\",\"Score\":null,\"Total\":0}","platform":"Semanticscholar","paperid":null,"PeriodicalName":"Journal of Lower Genital Tract Disease","FirstCategoryId":"3","ListUrlMain":"https://doi.org/10.1097/LGT.0000000000000879","RegionNum":4,"RegionCategory":"医学","ArticlePicture":[],"TitleCN":null,"AbstractTextCN":null,"PMCID":null,"EPubDate":"2025/2/14 0:00:00","PubModel":"Epub","JCR":"Q2","JCRName":"OBSTETRICS & GYNECOLOGY","Score":null,"Total":0}
引用次数: 0

摘要

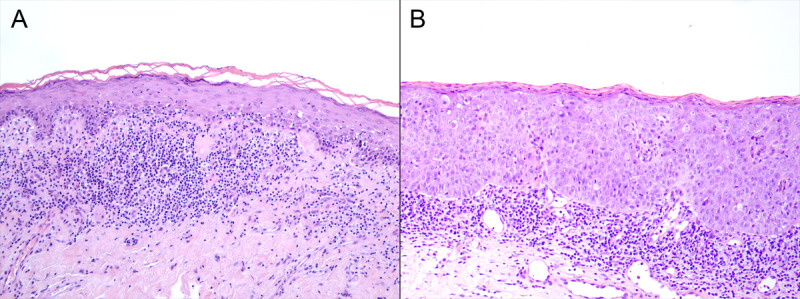
目的:扁平苔藓(LP)是一种慢性炎症性皮肤病,可影响皮肤、头皮、指甲和粘膜。本研究的目的是调查肛门生殖器LP (agLP)患者的生殖器癌前病变和恶性病变的风险。方法:我们通过检索2004年至2020年间显示LP的生殖器或肛周皮肤活检的生物库档案,确定了60名男性和56名女性agLP患者。我们还为每位患者随机选择了10名年龄和性别匹配的对照组。评估了生殖器癌及其前体的风险。结果:男性agLP发病率为1.54 / 10万,女性为1.36 / 10万。男女发病率无统计学差异(p = .5721)。外阴高度鳞状上皮内病变(HSIL)的优势比(OR)为31.2 (95% CI = 2.46-1645.00;P = 0.01)。由于对照组患者未发生阴茎肿瘤,故无法计算阴茎肿瘤的OR,但差异具有统计学意义(95% CI = 1.90-infinite;P = .008)。女性患者诊断为agLP时的平均年龄为59.9岁(中位62岁),男性患者为40.8岁(中位33岁)。男女患者的平均年龄差异有统计学意义(95% CI = 11.92 ~ 26.13;P < 0.001)。结论:agLP患者发生外阴HSIL和阴茎肿瘤的风险增加。
本文章由计算机程序翻译,如有差异,请以英文原文为准。

Risk of Vulvar HSIL and Penile Neoplasias in Anogenital Lichen Planus: A Case-Control Study.

Risk of Vulvar HSIL and Penile Neoplasias in Anogenital Lichen Planus: A Case-Control Study.

Risk of Vulvar HSIL and Penile Neoplasias in Anogenital Lichen Planus: A Case-Control Study.

Objective: Lichen planus (LP) is a chronic inflammatory skin disease that may affect the skin, scalp, nails, and mucosa. The aim of this study was to investigate the risk of genital premalignant and malignant conditions in patients with anogenital LP (agLP).

Methods: The authors identified 60 male and 56 female patients with agLP by searching the biobank archives for a genital or perianal skin biopsy showing LP between 2004 and 2020. They also included 10 randomly selected age- and sex-matched controls for each patient. The risks of genital cancers and their precursors were evaluated.

Results: The incidence of agLP was 1.54 per 100,000 men and 1.36 per 100,000 women. There was no statistical difference between male and female incidence ( p = .5721). The odds ratio (OR) for high-grade squamous intraepithelial lesion (HSIL) of the vulva was 31.2 (95% CI = 2.46-1645.00; p = .01). The OR for penile neoplasias could not be calculated because control patients had no neoplasias, but the difference was suggestive of statistical significance (95% CI = 1.90-infinite; p = .008). The mean age at the time of diagnosis of agLP was 59.9 years (median 62 years) in female patients and 40.8 years (median 33 years) in male patients. The difference in the mean ages of female and male patients was statistically significant (95% CI = 11.92-26.13; p < .001).

Conclusions: Patients with agLP may have an increased risk for vulvar HSIL and penile neoplasia.

求助全文
通过发布文献求助,成功后即可免费获取论文全文。 去求助
来源期刊
Journal of Lower Genital Tract Disease
Journal of Lower Genital Tract Disease OBSTETRICS & GYNECOLOGY-
CiteScore
6.80
自引率
8.10%
发文量
158
审稿时长
6-12 weeks
期刊介绍: The Journal of Lower Genital Tract Disease is the source for the latest science about benign and malignant conditions of the cervix, vagina, vulva, and anus. The Journal publishes peer-reviewed original research original research that addresses prevalence, causes, mechanisms, diagnosis, course, treatment, and prevention of lower genital tract disease. We publish clinical guidelines, position papers, cost-effectiveness analyses, narrative reviews, and systematic reviews, including meta-analyses. We also publish papers about research and reporting methods, opinions about controversial medical issues. Of particular note, we encourage material in any of the above mentioned categories that is related to improving patient care, avoiding medical errors, and comparative effectiveness research. We encourage publication of evidence-based guidelines, diagnostic and therapeutic algorithms, and decision aids. Original research and reviews may be sub-classified according to topic: cervix and HPV, vulva and vagina, perianal and anal, basic science, and education and learning. The scope and readership of the journal extend to several disciplines: gynecology, internal medicine, family practice, dermatology, physical therapy, pathology, sociology, psychology, anthropology, sex therapy, and pharmacology. The Journal of Lower Genital Tract Disease highlights needs for future research, and enhances health care. The Journal of Lower Genital Tract Disease is the official journal of the American Society for Colposcopy and Cervical Pathology, the International Society for the Study of Vulvovaginal Disease, and the International Federation of Cervical Pathology and Colposcopy, and sponsored by the Australian Society for Colposcopy and Cervical Pathology and the Society of Canadian Colposcopists.
×
引用
GB/T 7714-2015
复制
MLA
复制
APA
复制
导出至
BibTeX EndNote RefMan NoteFirst NoteExpress
×
提示
您的信息不完整,为了账户安全,请先补充。
现在去补充
×
提示
您因"违规操作"
具体请查看互助需知
我知道了
×
提示
确定
请完成安全验证×
copy
已复制链接
快去分享给好友吧!
我知道了
右上角分享
点击右上角分享
0
联系我们:info@booksci.cn Book学术提供免费学术资源搜索服务,方便国内外学者检索中英文文献。致力于提供最便捷和优质的服务体验。 Copyright © 2023 布克学术 All rights reserved.
京ICP备2023020795号-1
ghs 京公网安备 11010802042870号
Book学术文献互助
Book学术文献互助群
群 号:604180095
Book学术官方微信