杨森氏病:软骨发育不良以外的骨骼异常。

IF 5.1 2区 医学 Q1 ENDOCRINOLOGY & METABOLISM
Renata C Pereira, Anne M Delany, Monica Reyes, Barbara Gales, Harald Jüppner, Isidro B Salusky
{"title":"杨森氏病:软骨发育不良以外的骨骼异常。","authors":"Renata C Pereira, Anne M Delany, Monica Reyes, Barbara Gales, Harald Jüppner, Isidro B Salusky","doi":"10.1210/clinem/dgaf097","DOIUrl":null,"url":null,"abstract":"<p><strong>Context: </strong>Jansen metaphyseal chondrodysplasia (JMC) is an ultra-rare autosomal dominant disease that is caused by heterozygous, activating PTH1R mutations resulting in PTH- and PTHrP-independent hypercalcemia and hypercalciuria, leading to nephrocalcinosis and impaired renal function later in life. The activated PTH1R plays critical roles in mineral ion homeostasis and bone lengthening, as well as bone formation and resorption. Currently, little is known about bone turnover markers and bone histomorphometric changes in JMC patients.</p><p><strong>Objective: </strong>This study aimed to assess changes in bone microarchitecture, bone formation, and bone protein expression in 2 pediatric patients with JMC harboring the H223R-PTHR1 mutation.</p><p><strong>Methods: </strong>Bone histomorphometry, immunohistochemistry, and histologic analyses were conducted on iliac crest biopsy samples from 2 male siblings affected by JMC (ages 6 and 8 years) and 9 healthy control males of similar age, with normal kidney function.</p><p><strong>Results: </strong>Both patients with JMC displayed irregular bone architecture, increased osteoid, and a prolonged osteoid maturation process. While trabecular volume remained normal, immunohistochemical analysis demonstrated increased in PTH1R expression in both osteoblasts and fibroblastic cells on the bone surface. Cortical bone displayed areas of intense osteoclast activity and scattered marrow fibrosis. Remarkably, osteocytes in samples from patients with JMC had osteoid buildup within their lacunae and canaliculi that were both shorter and less abundant. DMP1 immunohistochemistry highlighted the abnormal canalicular network in patients. FGF23 staining in osteocytes was enhanced while sclerostin was diminished.</p><p><strong>Conclusion: </strong>The H223R-PTH1R mutation in patients with JMC leads to bone structural irregularities, hypomineralization, abnormal osteocyte morphology, and altered expression of osteocyte-derived proteins. These findings underscore the multifaceted impact of the mutant PTH1R on bone physiology and focus attention on the osteocyte as a cellular target for therapeutic intervention. Whether normalizing gene expression in osteocytes is possible and can improve bone health in patients with JMC remains to be seen. Assessment of osteocyte morphology and function may provide novel diagnostic endpoints for future clinical trials with JMC therapeutics.</p>","PeriodicalId":50238,"journal":{"name":"Journal of Clinical Endocrinology & Metabolism","volume":" ","pages":"2729-2740"},"PeriodicalIF":5.1000,"publicationDate":"2025-09-16","publicationTypes":"Journal Article","fieldsOfStudy":null,"isOpenAccess":false,"openAccessPdf":"https://www.ncbi.nlm.nih.gov/pmc/articles/PMC12448618/pdf/","citationCount":"0","resultStr":"{\"title\":\"Jansen's Disease: Bone Abnormalities Beyond Chondrodysplasia.\",\"authors\":\"Renata C Pereira, Anne M Delany, Monica Reyes, Barbara Gales, Harald Jüppner, Isidro B Salusky\",\"doi\":\"10.1210/clinem/dgaf097\",\"DOIUrl\":null,\"url\":null,\"abstract\":\"<p><strong>Context: </strong>Jansen metaphyseal chondrodysplasia (JMC) is an ultra-rare autosomal dominant disease that is caused by heterozygous, activating PTH1R mutations resulting in PTH- and PTHrP-independent hypercalcemia and hypercalciuria, leading to nephrocalcinosis and impaired renal function later in life. The activated PTH1R plays critical roles in mineral ion homeostasis and bone lengthening, as well as bone formation and resorption. Currently, little is known about bone turnover markers and bone histomorphometric changes in JMC patients.</p><p><strong>Objective: </strong>This study aimed to assess changes in bone microarchitecture, bone formation, and bone protein expression in 2 pediatric patients with JMC harboring the H223R-PTHR1 mutation.</p><p><strong>Methods: </strong>Bone histomorphometry, immunohistochemistry, and histologic analyses were conducted on iliac crest biopsy samples from 2 male siblings affected by JMC (ages 6 and 8 years) and 9 healthy control males of similar age, with normal kidney function.</p><p><strong>Results: </strong>Both patients with JMC displayed irregular bone architecture, increased osteoid, and a prolonged osteoid maturation process. While trabecular volume remained normal, immunohistochemical analysis demonstrated increased in PTH1R expression in both osteoblasts and fibroblastic cells on the bone surface. Cortical bone displayed areas of intense osteoclast activity and scattered marrow fibrosis. Remarkably, osteocytes in samples from patients with JMC had osteoid buildup within their lacunae and canaliculi that were both shorter and less abundant. DMP1 immunohistochemistry highlighted the abnormal canalicular network in patients. FGF23 staining in osteocytes was enhanced while sclerostin was diminished.</p><p><strong>Conclusion: </strong>The H223R-PTH1R mutation in patients with JMC leads to bone structural irregularities, hypomineralization, abnormal osteocyte morphology, and altered expression of osteocyte-derived proteins. These findings underscore the multifaceted impact of the mutant PTH1R on bone physiology and focus attention on the osteocyte as a cellular target for therapeutic intervention. Whether normalizing gene expression in osteocytes is possible and can improve bone health in patients with JMC remains to be seen. Assessment of osteocyte morphology and function may provide novel diagnostic endpoints for future clinical trials with JMC therapeutics.</p>\",\"PeriodicalId\":50238,\"journal\":{\"name\":\"Journal of Clinical Endocrinology & Metabolism\",\"volume\":\" \",\"pages\":\"2729-2740\"},\"PeriodicalIF\":5.1000,\"publicationDate\":\"2025-09-16\",\"publicationTypes\":\"Journal Article\",\"fieldsOfStudy\":null,\"isOpenAccess\":false,\"openAccessPdf\":\"https://www.ncbi.nlm.nih.gov/pmc/articles/PMC12448618/pdf/\",\"citationCount\":\"0\",\"resultStr\":null,\"platform\":\"Semanticscholar\",\"paperid\":null,\"PeriodicalName\":\"Journal of Clinical Endocrinology & Metabolism\",\"FirstCategoryId\":\"3\",\"ListUrlMain\":\"https://doi.org/10.1210/clinem/dgaf097\",\"RegionNum\":2,\"RegionCategory\":\"医学\",\"ArticlePicture\":[],\"TitleCN\":null,\"AbstractTextCN\":null,\"PMCID\":null,\"EPubDate\":\"\",\"PubModel\":\"\",\"JCR\":\"Q1\",\"JCRName\":\"ENDOCRINOLOGY & METABOLISM\",\"Score\":null,\"Total\":0}","platform":"Semanticscholar","paperid":null,"PeriodicalName":"Journal of Clinical Endocrinology & Metabolism","FirstCategoryId":"3","ListUrlMain":"https://doi.org/10.1210/clinem/dgaf097","RegionNum":2,"RegionCategory":"医学","ArticlePicture":[],"TitleCN":null,"AbstractTextCN":null,"PMCID":null,"EPubDate":"","PubModel":"","JCR":"Q1","JCRName":"ENDOCRINOLOGY & METABOLISM","Score":null,"Total":0}
引用次数: 0

摘要

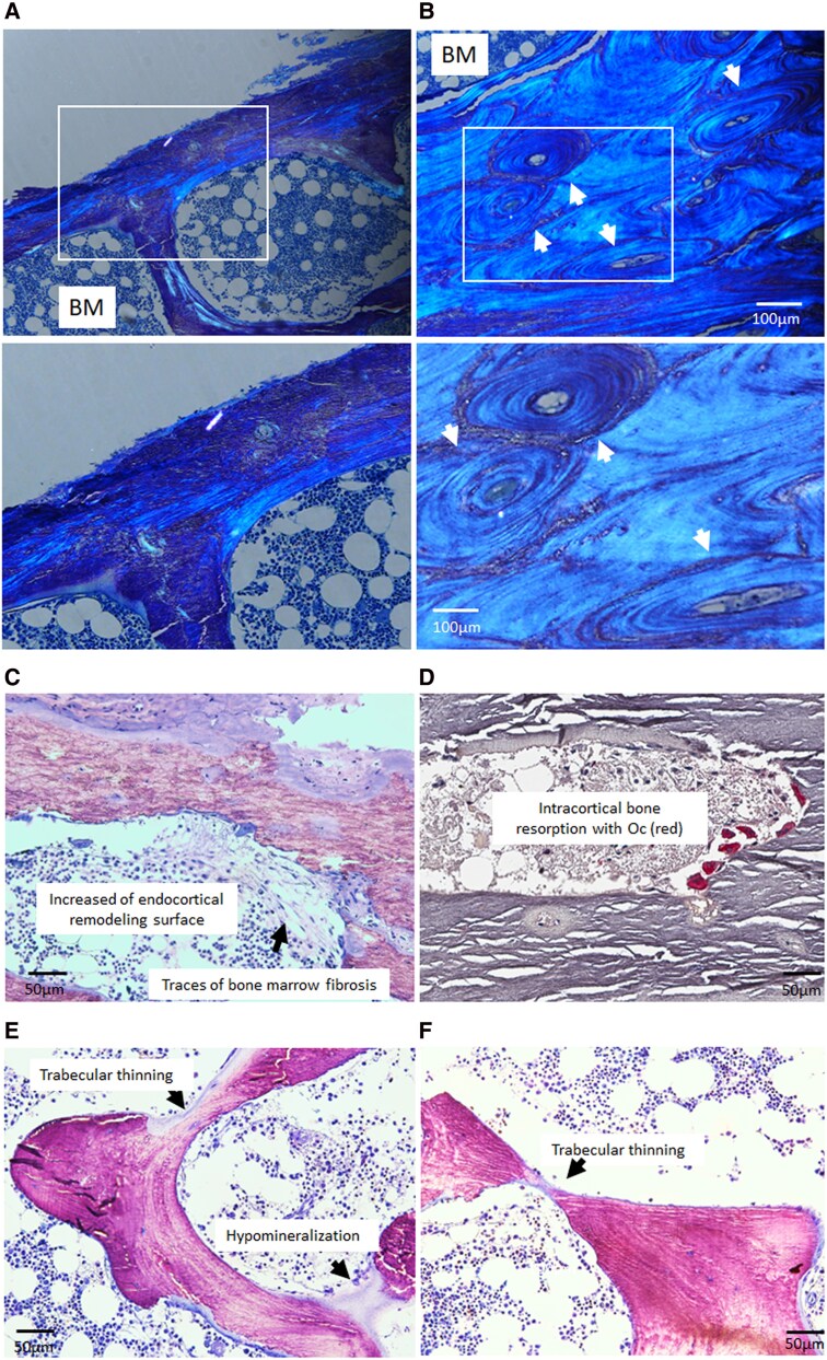
目的:本研究旨在评估2例携带H223R-PTHR1突变的Jansen干骺端软骨发育不良(JMC)儿童患者骨微结构、骨形成和骨蛋白表达的变化。方法:对2例6岁和8岁患JMC的男性兄弟姐妹和9例年龄相近、肾功能正常的健康对照的髂嵴活检标本进行骨组织形态学、免疫组织化学和组织学分析。结果:两例JMC患者均表现为骨结构不规则,类骨增加,类骨成熟过程延长。虽然小梁体积保持正常,但免疫组织化学分析显示骨表面的成骨细胞和成纤维细胞中PTH1R表达增加。皮质骨显示强烈的破骨细胞活动区域和分散的骨髓纤维化。值得注意的是,JMC患者样本中的骨细胞在其腔隙和小管内具有较短且较少的类骨细胞。DMP1免疫组化显示患者神经管网络异常。骨细胞FGF23染色增强,硬化蛋白染色减弱。结论:JMC患者的H223R-PTH1R突变导致骨结构异常、低矿化、骨细胞形态异常和骨细胞源性蛋白表达改变。这些发现强调了PTH1R突变体对骨生理的多方面影响,并将注意力集中在骨细胞作为治疗干预的细胞靶点上。骨细胞中基因表达的正常化是否可能并能改善JMC患者的骨健康还有待观察。骨细胞形态和功能的评估可能为未来JMC治疗的临床试验提供新的诊断终点。
本文章由计算机程序翻译,如有差异,请以英文原文为准。

Jansen's Disease: Bone Abnormalities Beyond Chondrodysplasia.

Jansen's Disease: Bone Abnormalities Beyond Chondrodysplasia.

Jansen's Disease: Bone Abnormalities Beyond Chondrodysplasia.

Jansen's Disease: Bone Abnormalities Beyond Chondrodysplasia.

Context: Jansen metaphyseal chondrodysplasia (JMC) is an ultra-rare autosomal dominant disease that is caused by heterozygous, activating PTH1R mutations resulting in PTH- and PTHrP-independent hypercalcemia and hypercalciuria, leading to nephrocalcinosis and impaired renal function later in life. The activated PTH1R plays critical roles in mineral ion homeostasis and bone lengthening, as well as bone formation and resorption. Currently, little is known about bone turnover markers and bone histomorphometric changes in JMC patients.

Objective: This study aimed to assess changes in bone microarchitecture, bone formation, and bone protein expression in 2 pediatric patients with JMC harboring the H223R-PTHR1 mutation.

Methods: Bone histomorphometry, immunohistochemistry, and histologic analyses were conducted on iliac crest biopsy samples from 2 male siblings affected by JMC (ages 6 and 8 years) and 9 healthy control males of similar age, with normal kidney function.

Results: Both patients with JMC displayed irregular bone architecture, increased osteoid, and a prolonged osteoid maturation process. While trabecular volume remained normal, immunohistochemical analysis demonstrated increased in PTH1R expression in both osteoblasts and fibroblastic cells on the bone surface. Cortical bone displayed areas of intense osteoclast activity and scattered marrow fibrosis. Remarkably, osteocytes in samples from patients with JMC had osteoid buildup within their lacunae and canaliculi that were both shorter and less abundant. DMP1 immunohistochemistry highlighted the abnormal canalicular network in patients. FGF23 staining in osteocytes was enhanced while sclerostin was diminished.

Conclusion: The H223R-PTH1R mutation in patients with JMC leads to bone structural irregularities, hypomineralization, abnormal osteocyte morphology, and altered expression of osteocyte-derived proteins. These findings underscore the multifaceted impact of the mutant PTH1R on bone physiology and focus attention on the osteocyte as a cellular target for therapeutic intervention. Whether normalizing gene expression in osteocytes is possible and can improve bone health in patients with JMC remains to be seen. Assessment of osteocyte morphology and function may provide novel diagnostic endpoints for future clinical trials with JMC therapeutics.

求助全文
通过发布文献求助,成功后即可免费获取论文全文。 去求助
来源期刊
Journal of Clinical Endocrinology & Metabolism
Journal of Clinical Endocrinology & Metabolism 医学-内分泌学与代谢
CiteScore
11.40
自引率
5.20%
发文量
673
审稿时长
1 months
期刊介绍: The Journal of Clinical Endocrinology & Metabolism is the world"s leading peer-reviewed journal for endocrine clinical research and cutting edge clinical practice reviews. Each issue provides the latest in-depth coverage of new developments enhancing our understanding, diagnosis and treatment of endocrine and metabolic disorders. Regular features of special interest to endocrine consultants include clinical trials, clinical reviews, clinical practice guidelines, case seminars, and controversies in clinical endocrinology, as well as original reports of the most important advances in patient-oriented endocrine and metabolic research. According to the latest Thomson Reuters Journal Citation Report, JCE&M articles were cited 64,185 times in 2008.
×
引用
GB/T 7714-2015
复制
MLA
复制
APA
复制
导出至
BibTeX EndNote RefMan NoteFirst NoteExpress
×
提示
您的信息不完整,为了账户安全,请先补充。
现在去补充
×
提示
您因"违规操作"
具体请查看互助需知
我知道了
×
提示
确定
请完成安全验证×
copy
已复制链接
快去分享给好友吧!
我知道了
右上角分享
点击右上角分享
0
联系我们:info@booksci.cn Book学术提供免费学术资源搜索服务,方便国内外学者检索中英文文献。致力于提供最便捷和优质的服务体验。 Copyright © 2023 布克学术 All rights reserved.
京ICP备2023020795号-1
ghs 京公网安备 11010802042870号
Book学术文献互助
Book学术文献互助群
群 号:604180095
Book学术官方微信