成釉细胞癌的梭形细胞变异:一个诊断挑战。

Q3 Medicine
Mamata S Kamat, Uma V Datar, Sanjay S Byakodi, Amit A Basannavar
{"title":"成釉细胞癌的梭形细胞变异:一个诊断挑战。","authors":"Mamata S Kamat, Uma V Datar, Sanjay S Byakodi, Amit A Basannavar","doi":"10.4103/jomfp.jomfp_272_24","DOIUrl":null,"url":null,"abstract":"<p><p>An 18-year-old male presented with a 3-week history of progressively enlarging nodular growth in the posterior right mandibular region. The patient denied the use of tobacco in any form or history of trauma, and his family history was unremarkable. Clinical examination revealed a 2 × 3 cm reddish-pink, firm lesion with palpable submandibular lymph nodes. Radiological imaging showed a well-defined radiolucency distal to tooth #47. An incisional biopsy revealed the proliferation of spindle cells and ameloblastomatous epithelium showing features like pleomorphism, cellular crowding, and mitotic figures. Immunohistochemical analysis confirmed odontogenic origin. Based on the above findings, the diagnosis of the spindle cell variant of ameloblastic carcinoma (AC) was rendered. AC, constituting less than 2% of odontogenic tumours, and the spindle cell variant, a rare subtype with fewer than 15 reported cases, pose diagnostic challenges, necessitating careful histopathological and immunohistochemical evaluation for accurate diagnosis and treatment planning.</p>","PeriodicalId":38846,"journal":{"name":"Journal of Oral and Maxillofacial Pathology","volume":"28 4","pages":"713-715"},"PeriodicalIF":0.0000,"publicationDate":"2024-10-01","publicationTypes":"Journal Article","fieldsOfStudy":null,"isOpenAccess":false,"openAccessPdf":"https://www.ncbi.nlm.nih.gov/pmc/articles/PMC11819649/pdf/","citationCount":"0","resultStr":"{\"title\":\"Spindle cell variant of ameloblastic carcinoma: A diagnostic challenge.\",\"authors\":\"Mamata S Kamat, Uma V Datar, Sanjay S Byakodi, Amit A Basannavar\",\"doi\":\"10.4103/jomfp.jomfp_272_24\",\"DOIUrl\":null,\"url\":null,\"abstract\":\"<p><p>An 18-year-old male presented with a 3-week history of progressively enlarging nodular growth in the posterior right mandibular region. The patient denied the use of tobacco in any form or history of trauma, and his family history was unremarkable. Clinical examination revealed a 2 × 3 cm reddish-pink, firm lesion with palpable submandibular lymph nodes. Radiological imaging showed a well-defined radiolucency distal to tooth #47. An incisional biopsy revealed the proliferation of spindle cells and ameloblastomatous epithelium showing features like pleomorphism, cellular crowding, and mitotic figures. Immunohistochemical analysis confirmed odontogenic origin. Based on the above findings, the diagnosis of the spindle cell variant of ameloblastic carcinoma (AC) was rendered. AC, constituting less than 2% of odontogenic tumours, and the spindle cell variant, a rare subtype with fewer than 15 reported cases, pose diagnostic challenges, necessitating careful histopathological and immunohistochemical evaluation for accurate diagnosis and treatment planning.</p>\",\"PeriodicalId\":38846,\"journal\":{\"name\":\"Journal of Oral and Maxillofacial Pathology\",\"volume\":\"28 4\",\"pages\":\"713-715\"},\"PeriodicalIF\":0.0000,\"publicationDate\":\"2024-10-01\",\"publicationTypes\":\"Journal Article\",\"fieldsOfStudy\":null,\"isOpenAccess\":false,\"openAccessPdf\":\"https://www.ncbi.nlm.nih.gov/pmc/articles/PMC11819649/pdf/\",\"citationCount\":\"0\",\"resultStr\":null,\"platform\":\"Semanticscholar\",\"paperid\":null,\"PeriodicalName\":\"Journal of Oral and Maxillofacial Pathology\",\"FirstCategoryId\":\"1085\",\"ListUrlMain\":\"https://doi.org/10.4103/jomfp.jomfp_272_24\",\"RegionNum\":0,\"RegionCategory\":null,\"ArticlePicture\":[],\"TitleCN\":null,\"AbstractTextCN\":null,\"PMCID\":null,\"EPubDate\":\"2024/12/31 0:00:00\",\"PubModel\":\"Epub\",\"JCR\":\"Q3\",\"JCRName\":\"Medicine\",\"Score\":null,\"Total\":0}","platform":"Semanticscholar","paperid":null,"PeriodicalName":"Journal of Oral and Maxillofacial Pathology","FirstCategoryId":"1085","ListUrlMain":"https://doi.org/10.4103/jomfp.jomfp_272_24","RegionNum":0,"RegionCategory":null,"ArticlePicture":[],"TitleCN":null,"AbstractTextCN":null,"PMCID":null,"EPubDate":"2024/12/31 0:00:00","PubModel":"Epub","JCR":"Q3","JCRName":"Medicine","Score":null,"Total":0}
引用次数: 0

摘要

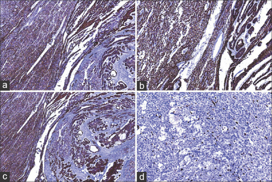
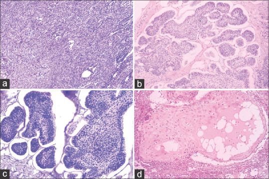
一个18岁的男性提出了3周的历史,逐渐扩大结节生长在右下颌骨区域。患者否认有任何形式的吸烟史或外伤史,家族史无显著差异。临床检查发现一个2 × 3厘米的红粉红色坚硬病变,可触及下颌下淋巴结。放射影像显示47号牙远端放射透光度清晰。切口活检显示梭形细胞和成釉细胞瘤上皮增生,表现为多形性、细胞拥挤和有丝分裂象。免疫组化分析证实牙源性。基于以上发现,诊断为成釉细胞癌(AC)的梭形细胞变异。AC占牙源性肿瘤的不到2%,而梭形细胞变异是一种罕见的亚型,报告病例不到15例,这给诊断带来了挑战,需要仔细的组织病理学和免疫组织化学评估,以准确诊断和治疗计划。
本文章由计算机程序翻译,如有差异,请以英文原文为准。

Spindle cell variant of ameloblastic carcinoma: A diagnostic challenge.

Spindle cell variant of ameloblastic carcinoma: A diagnostic challenge.

Spindle cell variant of ameloblastic carcinoma: A diagnostic challenge.

Spindle cell variant of ameloblastic carcinoma: A diagnostic challenge.

An 18-year-old male presented with a 3-week history of progressively enlarging nodular growth in the posterior right mandibular region. The patient denied the use of tobacco in any form or history of trauma, and his family history was unremarkable. Clinical examination revealed a 2 × 3 cm reddish-pink, firm lesion with palpable submandibular lymph nodes. Radiological imaging showed a well-defined radiolucency distal to tooth #47. An incisional biopsy revealed the proliferation of spindle cells and ameloblastomatous epithelium showing features like pleomorphism, cellular crowding, and mitotic figures. Immunohistochemical analysis confirmed odontogenic origin. Based on the above findings, the diagnosis of the spindle cell variant of ameloblastic carcinoma (AC) was rendered. AC, constituting less than 2% of odontogenic tumours, and the spindle cell variant, a rare subtype with fewer than 15 reported cases, pose diagnostic challenges, necessitating careful histopathological and immunohistochemical evaluation for accurate diagnosis and treatment planning.

求助全文
通过发布文献求助,成功后即可免费获取论文全文。 去求助
来源期刊
Journal of Oral and Maxillofacial Pathology
Journal of Oral and Maxillofacial Pathology Medicine-Otorhinolaryngology
CiteScore
1.40
自引率
0.00%
发文量
115
期刊介绍: The journal of Oral and Maxillofacial Pathology [ISSN:print-(0973-029X, online-1998-393X)] is a tri-annual journal published on behalf of “The Indian Association of Oral and Maxillofacial Pathologists” (IAOMP). The publication of JOMFP was started in the year 1993. The journal publishes papers on a wide spectrum of topics associated with the scope of Oral and Maxillofacial Pathology, also, ensuring scientific merit and quality. It is a comprehensive reading material for the professionals who want to upgrade their diagnostic skills in Oral Diseases; allows exposure to newer topics and methods of research in the Oral-facial Tissues and Pathology. New features allow an open minded thinking and approach to various pathologies. It also encourages authors to showcase quality work done by them and to compile relevant cases which are diagnostically challenging. The Journal takes pride in maintaining the quality of articles and photomicrographs.
×
引用
GB/T 7714-2015
复制
MLA
复制
APA
复制
导出至
BibTeX EndNote RefMan NoteFirst NoteExpress
×
提示
您的信息不完整,为了账户安全,请先补充。
现在去补充
×
提示
您因"违规操作"
具体请查看互助需知
我知道了
×
提示
确定
请完成安全验证×
copy
已复制链接
快去分享给好友吧!
我知道了
右上角分享
点击右上角分享
0
联系我们:info@booksci.cn Book学术提供免费学术资源搜索服务,方便国内外学者检索中英文文献。致力于提供最便捷和优质的服务体验。 Copyright © 2023 布克学术 All rights reserved.
京ICP备2023020795号-1
ghs 京公网安备 11010802042870号
Book学术文献互助
Book学术文献互助群
群 号:604180095
Book学术官方微信