多形性腺瘤伴广泛的鳞状皮化生和角化囊肿:诊断和临床陷阱-两例报告并文献复习。

Q3 Medicine
Mahadevi B Hosur, Rudrayya S Puranik, Satyajit G Dandagi, Vivekanand M Patil
{"title":"多形性腺瘤伴广泛的鳞状皮化生和角化囊肿:诊断和临床陷阱-两例报告并文献复习。","authors":"Mahadevi B Hosur, Rudrayya S Puranik, Satyajit G Dandagi, Vivekanand M Patil","doi":"10.4103/jomfp.jomfp_151_24","DOIUrl":null,"url":null,"abstract":"<p><p>Pleomorphic adenoma is the most common benign tumour of major or minor salivary glands. Histological diversity is the hallmark of pleomorphic adenoma. Extensive squamous metaplasia with keratin-filled cysts is rarely reported. Here we present two cases of pleomorphic adenoma with exuberant squamous metaplasia and keratin filled cysts formation in a minor salivary gland and discuss its potential diagnostic pitfalls.</p>","PeriodicalId":38846,"journal":{"name":"Journal of Oral and Maxillofacial Pathology","volume":"28 4","pages":"689-693"},"PeriodicalIF":0.0000,"publicationDate":"2024-10-01","publicationTypes":"Journal Article","fieldsOfStudy":null,"isOpenAccess":false,"openAccessPdf":"https://www.ncbi.nlm.nih.gov/pmc/articles/PMC11819618/pdf/","citationCount":"0","resultStr":"{\"title\":\"Pleomorphic adenoma with extensive squamous metaplasia and keratinizing cysts: Diagnostic and clinical pitfalls - A report of two cases and review of literature.\",\"authors\":\"Mahadevi B Hosur, Rudrayya S Puranik, Satyajit G Dandagi, Vivekanand M Patil\",\"doi\":\"10.4103/jomfp.jomfp_151_24\",\"DOIUrl\":null,\"url\":null,\"abstract\":\"<p><p>Pleomorphic adenoma is the most common benign tumour of major or minor salivary glands. Histological diversity is the hallmark of pleomorphic adenoma. Extensive squamous metaplasia with keratin-filled cysts is rarely reported. Here we present two cases of pleomorphic adenoma with exuberant squamous metaplasia and keratin filled cysts formation in a minor salivary gland and discuss its potential diagnostic pitfalls.</p>\",\"PeriodicalId\":38846,\"journal\":{\"name\":\"Journal of Oral and Maxillofacial Pathology\",\"volume\":\"28 4\",\"pages\":\"689-693\"},\"PeriodicalIF\":0.0000,\"publicationDate\":\"2024-10-01\",\"publicationTypes\":\"Journal Article\",\"fieldsOfStudy\":null,\"isOpenAccess\":false,\"openAccessPdf\":\"https://www.ncbi.nlm.nih.gov/pmc/articles/PMC11819618/pdf/\",\"citationCount\":\"0\",\"resultStr\":null,\"platform\":\"Semanticscholar\",\"paperid\":null,\"PeriodicalName\":\"Journal of Oral and Maxillofacial Pathology\",\"FirstCategoryId\":\"1085\",\"ListUrlMain\":\"https://doi.org/10.4103/jomfp.jomfp_151_24\",\"RegionNum\":0,\"RegionCategory\":null,\"ArticlePicture\":[],\"TitleCN\":null,\"AbstractTextCN\":null,\"PMCID\":null,\"EPubDate\":\"2024/12/31 0:00:00\",\"PubModel\":\"Epub\",\"JCR\":\"Q3\",\"JCRName\":\"Medicine\",\"Score\":null,\"Total\":0}","platform":"Semanticscholar","paperid":null,"PeriodicalName":"Journal of Oral and Maxillofacial Pathology","FirstCategoryId":"1085","ListUrlMain":"https://doi.org/10.4103/jomfp.jomfp_151_24","RegionNum":0,"RegionCategory":null,"ArticlePicture":[],"TitleCN":null,"AbstractTextCN":null,"PMCID":null,"EPubDate":"2024/12/31 0:00:00","PubModel":"Epub","JCR":"Q3","JCRName":"Medicine","Score":null,"Total":0}
引用次数: 0

摘要

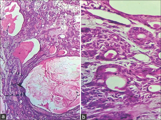
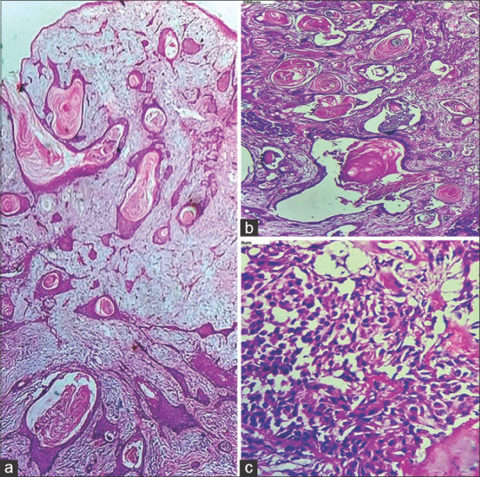
多形性腺瘤是大、小唾液腺最常见的良性肿瘤。组织学多样性是多形性腺瘤的特征。广泛的鳞状皮化生伴角蛋白填充的囊肿很少报道。我们在此报告两例涎腺多形性腺瘤伴增生鳞状化生及角蛋白填充囊肿的病例,并讨论其潜在的诊断缺陷。
本文章由计算机程序翻译,如有差异,请以英文原文为准。

Pleomorphic adenoma with extensive squamous metaplasia and keratinizing cysts: Diagnostic and clinical pitfalls - A report of two cases and review of literature.

Pleomorphic adenoma with extensive squamous metaplasia and keratinizing cysts: Diagnostic and clinical pitfalls - A report of two cases and review of literature.

Pleomorphic adenoma with extensive squamous metaplasia and keratinizing cysts: Diagnostic and clinical pitfalls - A report of two cases and review of literature.

Pleomorphic adenoma with extensive squamous metaplasia and keratinizing cysts: Diagnostic and clinical pitfalls - A report of two cases and review of literature.

Pleomorphic adenoma is the most common benign tumour of major or minor salivary glands. Histological diversity is the hallmark of pleomorphic adenoma. Extensive squamous metaplasia with keratin-filled cysts is rarely reported. Here we present two cases of pleomorphic adenoma with exuberant squamous metaplasia and keratin filled cysts formation in a minor salivary gland and discuss its potential diagnostic pitfalls.

求助全文
通过发布文献求助,成功后即可免费获取论文全文。 去求助
来源期刊
Journal of Oral and Maxillofacial Pathology
Journal of Oral and Maxillofacial Pathology Medicine-Otorhinolaryngology
CiteScore
1.40
自引率
0.00%
发文量
115
期刊介绍: The journal of Oral and Maxillofacial Pathology [ISSN:print-(0973-029X, online-1998-393X)] is a tri-annual journal published on behalf of “The Indian Association of Oral and Maxillofacial Pathologists” (IAOMP). The publication of JOMFP was started in the year 1993. The journal publishes papers on a wide spectrum of topics associated with the scope of Oral and Maxillofacial Pathology, also, ensuring scientific merit and quality. It is a comprehensive reading material for the professionals who want to upgrade their diagnostic skills in Oral Diseases; allows exposure to newer topics and methods of research in the Oral-facial Tissues and Pathology. New features allow an open minded thinking and approach to various pathologies. It also encourages authors to showcase quality work done by them and to compile relevant cases which are diagnostically challenging. The Journal takes pride in maintaining the quality of articles and photomicrographs.
×
引用
GB/T 7714-2015
复制
MLA
复制
APA
复制
导出至
BibTeX EndNote RefMan NoteFirst NoteExpress
×
提示
您的信息不完整,为了账户安全,请先补充。
现在去补充
×
提示
您因"违规操作"
具体请查看互助需知
我知道了
×
提示
确定
请完成安全验证×
copy
已复制链接
快去分享给好友吧!
我知道了
右上角分享
点击右上角分享
0
联系我们:info@booksci.cn Book学术提供免费学术资源搜索服务,方便国内外学者检索中英文文献。致力于提供最便捷和优质的服务体验。 Copyright © 2023 布克学术 All rights reserved.
京ICP备2023020795号-1
ghs 京公网安备 11010802042870号
Book学术文献互助
Book学术文献互助群
群 号:604180095
Book学术官方微信