前下颌骨骨软骨瘤:一例罕见病例报告及文献复习。

Q3 Medicine
Devendra H Palve, Akshay A Dhobley, Dipak D Ghatage, Ashwini G Kendre
{"title":"前下颌骨骨软骨瘤:一例罕见病例报告及文献复习。","authors":"Devendra H Palve, Akshay A Dhobley, Dipak D Ghatage, Ashwini G Kendre","doi":"10.4103/jomfp.jomfp_37_24","DOIUrl":null,"url":null,"abstract":"<p><p>Osteochondroma (OC) is the most common benign tumour of the axial skeleton which often occurs from the metaphysis of the long bones but rarely occurs in the craniofacial region (<1% of cases). Literature shows that cases occur more in the mandibular condylar region. To date, only six cases of this incredibly rare OC in the mandibular front region have been documented in the last 30 years. In addition to reviewing the literature on OCs of the mandibular front region, this case report describes a case of OC involving the mandibular symphysis and left para-symphysis in a 67-year-old male patient. Histopathological examination revealed chondroid and osteoid tissue with sparse fibrous tissue patches and columns of chondrocytes with single tiny nuclei within the cartilaginous cap, and all these features were strongly suggestive of OC diagnosis.</p>","PeriodicalId":38846,"journal":{"name":"Journal of Oral and Maxillofacial Pathology","volume":"28 4","pages":"672-676"},"PeriodicalIF":0.0000,"publicationDate":"2024-10-01","publicationTypes":"Journal Article","fieldsOfStudy":null,"isOpenAccess":false,"openAccessPdf":"https://www.ncbi.nlm.nih.gov/pmc/articles/PMC11819633/pdf/","citationCount":"0","resultStr":"{\"title\":\"Osteochondroma of the anterior mandible: A rare case report and review of the literature.\",\"authors\":\"Devendra H Palve, Akshay A Dhobley, Dipak D Ghatage, Ashwini G Kendre\",\"doi\":\"10.4103/jomfp.jomfp_37_24\",\"DOIUrl\":null,\"url\":null,\"abstract\":\"<p><p>Osteochondroma (OC) is the most common benign tumour of the axial skeleton which often occurs from the metaphysis of the long bones but rarely occurs in the craniofacial region (<1% of cases). Literature shows that cases occur more in the mandibular condylar region. To date, only six cases of this incredibly rare OC in the mandibular front region have been documented in the last 30 years. In addition to reviewing the literature on OCs of the mandibular front region, this case report describes a case of OC involving the mandibular symphysis and left para-symphysis in a 67-year-old male patient. Histopathological examination revealed chondroid and osteoid tissue with sparse fibrous tissue patches and columns of chondrocytes with single tiny nuclei within the cartilaginous cap, and all these features were strongly suggestive of OC diagnosis.</p>\",\"PeriodicalId\":38846,\"journal\":{\"name\":\"Journal of Oral and Maxillofacial Pathology\",\"volume\":\"28 4\",\"pages\":\"672-676\"},\"PeriodicalIF\":0.0000,\"publicationDate\":\"2024-10-01\",\"publicationTypes\":\"Journal Article\",\"fieldsOfStudy\":null,\"isOpenAccess\":false,\"openAccessPdf\":\"https://www.ncbi.nlm.nih.gov/pmc/articles/PMC11819633/pdf/\",\"citationCount\":\"0\",\"resultStr\":null,\"platform\":\"Semanticscholar\",\"paperid\":null,\"PeriodicalName\":\"Journal of Oral and Maxillofacial Pathology\",\"FirstCategoryId\":\"1085\",\"ListUrlMain\":\"https://doi.org/10.4103/jomfp.jomfp_37_24\",\"RegionNum\":0,\"RegionCategory\":null,\"ArticlePicture\":[],\"TitleCN\":null,\"AbstractTextCN\":null,\"PMCID\":null,\"EPubDate\":\"2024/12/31 0:00:00\",\"PubModel\":\"Epub\",\"JCR\":\"Q3\",\"JCRName\":\"Medicine\",\"Score\":null,\"Total\":0}","platform":"Semanticscholar","paperid":null,"PeriodicalName":"Journal of Oral and Maxillofacial Pathology","FirstCategoryId":"1085","ListUrlMain":"https://doi.org/10.4103/jomfp.jomfp_37_24","RegionNum":0,"RegionCategory":null,"ArticlePicture":[],"TitleCN":null,"AbstractTextCN":null,"PMCID":null,"EPubDate":"2024/12/31 0:00:00","PubModel":"Epub","JCR":"Q3","JCRName":"Medicine","Score":null,"Total":0}
引用次数: 0

摘要

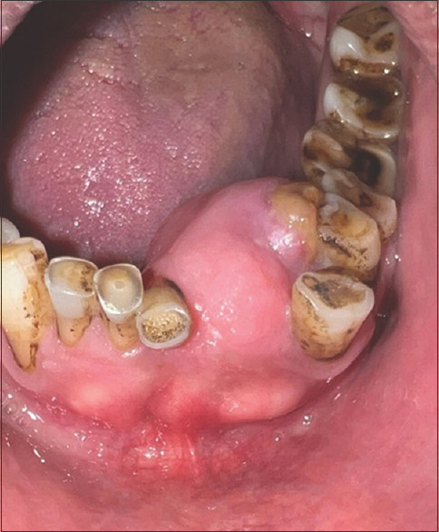
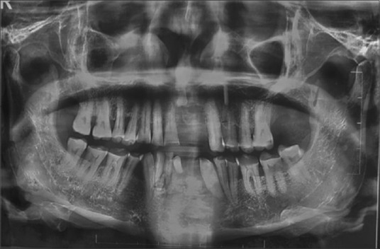
骨软骨瘤(OC)是最常见的中轴骨骼良性肿瘤,常发生于长骨干骺端,但很少发生于颅面区(
本文章由计算机程序翻译,如有差异,请以英文原文为准。

Osteochondroma of the anterior mandible: A rare case report and review of the literature.

Osteochondroma of the anterior mandible: A rare case report and review of the literature.

Osteochondroma of the anterior mandible: A rare case report and review of the literature.

Osteochondroma of the anterior mandible: A rare case report and review of the literature.

Osteochondroma (OC) is the most common benign tumour of the axial skeleton which often occurs from the metaphysis of the long bones but rarely occurs in the craniofacial region (<1% of cases). Literature shows that cases occur more in the mandibular condylar region. To date, only six cases of this incredibly rare OC in the mandibular front region have been documented in the last 30 years. In addition to reviewing the literature on OCs of the mandibular front region, this case report describes a case of OC involving the mandibular symphysis and left para-symphysis in a 67-year-old male patient. Histopathological examination revealed chondroid and osteoid tissue with sparse fibrous tissue patches and columns of chondrocytes with single tiny nuclei within the cartilaginous cap, and all these features were strongly suggestive of OC diagnosis.

求助全文
通过发布文献求助,成功后即可免费获取论文全文。 去求助
来源期刊
Journal of Oral and Maxillofacial Pathology
Journal of Oral and Maxillofacial Pathology Medicine-Otorhinolaryngology
CiteScore
1.40
自引率
0.00%
发文量
115
期刊介绍: The journal of Oral and Maxillofacial Pathology [ISSN:print-(0973-029X, online-1998-393X)] is a tri-annual journal published on behalf of “The Indian Association of Oral and Maxillofacial Pathologists” (IAOMP). The publication of JOMFP was started in the year 1993. The journal publishes papers on a wide spectrum of topics associated with the scope of Oral and Maxillofacial Pathology, also, ensuring scientific merit and quality. It is a comprehensive reading material for the professionals who want to upgrade their diagnostic skills in Oral Diseases; allows exposure to newer topics and methods of research in the Oral-facial Tissues and Pathology. New features allow an open minded thinking and approach to various pathologies. It also encourages authors to showcase quality work done by them and to compile relevant cases which are diagnostically challenging. The Journal takes pride in maintaining the quality of articles and photomicrographs.
×
引用
GB/T 7714-2015
复制
MLA
复制
APA
复制
导出至
BibTeX EndNote RefMan NoteFirst NoteExpress
×
提示
您的信息不完整,为了账户安全,请先补充。
现在去补充
×
提示
您因"违规操作"
具体请查看互助需知
我知道了
×
提示
确定
请完成安全验证×
copy
已复制链接
快去分享给好友吧!
我知道了
右上角分享
点击右上角分享
0
联系我们:info@booksci.cn Book学术提供免费学术资源搜索服务,方便国内外学者检索中英文文献。致力于提供最便捷和优质的服务体验。 Copyright © 2023 布克学术 All rights reserved.
京ICP备2023020795号-1
ghs 京公网安备 11010802042870号
Book学术文献互助
Book学术文献互助群
群 号:604180095
Book学术官方微信