有丝分裂--预测OSCC原发肿瘤和转移淋巴结的表现及其他--一项试验性研究。

Q3 Medicine
Soumya Makarla, Radhika M Bavle, Satyajit Topajiche
{"title":"有丝分裂--预测OSCC原发肿瘤和转移淋巴结的表现及其他--一项试验性研究。","authors":"Soumya Makarla, Radhika M Bavle, Satyajit Topajiche","doi":"10.4103/jomfp.jomfp_292_24","DOIUrl":null,"url":null,"abstract":"<p><strong>Background and objectives: </strong>In the evaluation of oral cancer, mitotic index/mitotic figures are of paramount importance in histopathology. The number of mitoses in tumour cells is directly proportional to the activity of the tumour cells. In this novel study, we evaluated the status of the mitotic figures found in the metastatic deposit of the lymph nodes in addition to the primary tumour. A great deal of significance is given to this parameter in the evaluation of progress of the primary tumours in a state of distant metastasis. Therefore, we propose to analyse the lymph node mitotic index (LMI) in metastatic deposits and its relation to the primary tumour by assessing the relation between primary: LN mitosis ratio (PLMR). This also can provide an insight into the concept of understanding the dynamic state of lymph node deposits in oral squamous cell carcinoma (OSCC).</p><p><strong>Materials and methods: </strong>A total of 510 lymph nodes from 17 cases of surgically treated OSCC were analysed, of which 40 lymph nodes were found to be positive. These 40 lymph nodes were examined histopathologically for the presence of mitotic figures in ten randomly selected fields (x400) and compared to the mitotic activity of the primary tumour by two observers independently, along with other histopathological features. LMI and PLMR were further determined for these cases.</p><p><strong>Observations and results: </strong>The mitotic index was significantly higher in the metastatic deposits than in the primary tumour (<i>P</i> = 0.004). A higher percentage of abnormal mitoses was observed in metastatic lymph nodes, but no statistical significance (<i>P</i> = 0.27) was found when compared with primary tumour. Statistically significant correlation (<i>P</i> = 0.001) was observed between abnormal mitoses (%) and presence of ECS as well as size of the metastatic deposits. The LMI ratio showed a high mitotic rate in close to 80% of the cases. PLMR showed 58-60% cases with mitotically more active lymph nodes.</p><p><strong>Interpretation and conclusion: </strong>This study is the first of its kind, which examines a level further than the nature of the primary tumour. Mitotic index/numbers in lymph nodes (LMI) might be considered an important parameter to evaluate the disease spread, revealing the nature of transiently indolent and mitotically active metastatic lymph nodes. The PLMR adds a further dimension on the lymph node's dynamic status in the progression of the disease.</p>","PeriodicalId":38846,"journal":{"name":"Journal of Oral and Maxillofacial Pathology","volume":"28 4","pages":"602-611"},"PeriodicalIF":0.0000,"publicationDate":"2024-10-01","publicationTypes":"Journal Article","fieldsOfStudy":null,"isOpenAccess":false,"openAccessPdf":"https://www.ncbi.nlm.nih.gov/pmc/articles/PMC11819642/pdf/","citationCount":"0","resultStr":"{\"title\":\"Mitosis - predicting primary tumour and metastatic lymph node behaviour and beyond in OSCC - A pilot study.\",\"authors\":\"Soumya Makarla, Radhika M Bavle, Satyajit Topajiche\",\"doi\":\"10.4103/jomfp.jomfp_292_24\",\"DOIUrl\":null,\"url\":null,\"abstract\":\"<p><strong>Background and objectives: </strong>In the evaluation of oral cancer, mitotic index/mitotic figures are of paramount importance in histopathology. The number of mitoses in tumour cells is directly proportional to the activity of the tumour cells. In this novel study, we evaluated the status of the mitotic figures found in the metastatic deposit of the lymph nodes in addition to the primary tumour. A great deal of significance is given to this parameter in the evaluation of progress of the primary tumours in a state of distant metastasis. Therefore, we propose to analyse the lymph node mitotic index (LMI) in metastatic deposits and its relation to the primary tumour by assessing the relation between primary: LN mitosis ratio (PLMR). This also can provide an insight into the concept of understanding the dynamic state of lymph node deposits in oral squamous cell carcinoma (OSCC).</p><p><strong>Materials and methods: </strong>A total of 510 lymph nodes from 17 cases of surgically treated OSCC were analysed, of which 40 lymph nodes were found to be positive. These 40 lymph nodes were examined histopathologically for the presence of mitotic figures in ten randomly selected fields (x400) and compared to the mitotic activity of the primary tumour by two observers independently, along with other histopathological features. LMI and PLMR were further determined for these cases.</p><p><strong>Observations and results: </strong>The mitotic index was significantly higher in the metastatic deposits than in the primary tumour (<i>P</i> = 0.004). A higher percentage of abnormal mitoses was observed in metastatic lymph nodes, but no statistical significance (<i>P</i> = 0.27) was found when compared with primary tumour. Statistically significant correlation (<i>P</i> = 0.001) was observed between abnormal mitoses (%) and presence of ECS as well as size of the metastatic deposits. The LMI ratio showed a high mitotic rate in close to 80% of the cases. PLMR showed 58-60% cases with mitotically more active lymph nodes.</p><p><strong>Interpretation and conclusion: </strong>This study is the first of its kind, which examines a level further than the nature of the primary tumour. Mitotic index/numbers in lymph nodes (LMI) might be considered an important parameter to evaluate the disease spread, revealing the nature of transiently indolent and mitotically active metastatic lymph nodes. The PLMR adds a further dimension on the lymph node's dynamic status in the progression of the disease.</p>\",\"PeriodicalId\":38846,\"journal\":{\"name\":\"Journal of Oral and Maxillofacial Pathology\",\"volume\":\"28 4\",\"pages\":\"602-611\"},\"PeriodicalIF\":0.0000,\"publicationDate\":\"2024-10-01\",\"publicationTypes\":\"Journal Article\",\"fieldsOfStudy\":null,\"isOpenAccess\":false,\"openAccessPdf\":\"https://www.ncbi.nlm.nih.gov/pmc/articles/PMC11819642/pdf/\",\"citationCount\":\"0\",\"resultStr\":null,\"platform\":\"Semanticscholar\",\"paperid\":null,\"PeriodicalName\":\"Journal of Oral and Maxillofacial Pathology\",\"FirstCategoryId\":\"1085\",\"ListUrlMain\":\"https://doi.org/10.4103/jomfp.jomfp_292_24\",\"RegionNum\":0,\"RegionCategory\":null,\"ArticlePicture\":[],\"TitleCN\":null,\"AbstractTextCN\":null,\"PMCID\":null,\"EPubDate\":\"2024/12/31 0:00:00\",\"PubModel\":\"Epub\",\"JCR\":\"Q3\",\"JCRName\":\"Medicine\",\"Score\":null,\"Total\":0}","platform":"Semanticscholar","paperid":null,"PeriodicalName":"Journal of Oral and Maxillofacial Pathology","FirstCategoryId":"1085","ListUrlMain":"https://doi.org/10.4103/jomfp.jomfp_292_24","RegionNum":0,"RegionCategory":null,"ArticlePicture":[],"TitleCN":null,"AbstractTextCN":null,"PMCID":null,"EPubDate":"2024/12/31 0:00:00","PubModel":"Epub","JCR":"Q3","JCRName":"Medicine","Score":null,"Total":0}
引用次数: 0

摘要

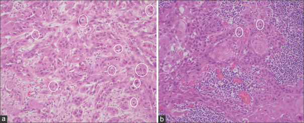
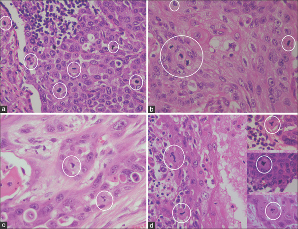
背景和目的:在口腔癌的评估中,有丝分裂指数/有丝分裂数字在组织病理学中是至关重要的。肿瘤细胞中有丝分裂的数量与肿瘤细胞的活性成正比。在这项新的研究中,我们评估了除原发肿瘤外淋巴结转移沉积中发现的有丝分裂图的状态。在评价原发肿瘤远处转移状态的进展时,这一参数具有重要意义。因此,我们建议通过评估原发性:淋巴结有丝分裂比率(PLMR)的关系来分析转移沉积物的淋巴结有丝分裂指数(LMI)及其与原发肿瘤的关系。这也可以为理解口腔鳞状细胞癌(OSCC)淋巴结沉积动态的概念提供一个见解。材料与方法:对17例手术治疗的OSCC 510个淋巴结进行分析,其中40个淋巴结呈阳性。这40个淋巴结在10个随机选择的区域(x400)进行了组织病理学检查,以确定是否存在有丝分裂象,并由两名独立观察者与原发肿瘤的有丝分裂活性以及其他组织病理学特征进行了比较。进一步测定这些病例的LMI和PLMR。观察与结果:转移性肿瘤的有丝分裂指数明显高于原发肿瘤(P = 0.004)。转移性淋巴结有丝分裂异常比例较高,但与原发肿瘤比较无统计学意义(P = 0.27)。有丝分裂异常(%)与ECS的存在以及转移沉积物的大小之间存在统计学意义上的相关性(P = 0.001)。LMI比值显示近80%的病例有丝分裂率高。PLMR显示58-60%患者有丝分裂性更活跃的淋巴结。解释和结论:这项研究是同类研究中的第一个,它检查了比原发肿瘤的性质更深入的水平。淋巴结有丝分裂指数/数目(LMI)可以被认为是评估疾病扩散的重要参数,揭示了短暂惰性和有丝分裂活跃的转移性淋巴结的性质。PLMR增加了淋巴结在疾病进展中的动态状态的进一步维度。
本文章由计算机程序翻译,如有差异,请以英文原文为准。

Mitosis - predicting primary tumour and metastatic lymph node behaviour and beyond in OSCC - A pilot study.

Mitosis - predicting primary tumour and metastatic lymph node behaviour and beyond in OSCC - A pilot study.

Mitosis - predicting primary tumour and metastatic lymph node behaviour and beyond in OSCC - A pilot study.

Mitosis - predicting primary tumour and metastatic lymph node behaviour and beyond in OSCC - A pilot study.

Background and objectives: In the evaluation of oral cancer, mitotic index/mitotic figures are of paramount importance in histopathology. The number of mitoses in tumour cells is directly proportional to the activity of the tumour cells. In this novel study, we evaluated the status of the mitotic figures found in the metastatic deposit of the lymph nodes in addition to the primary tumour. A great deal of significance is given to this parameter in the evaluation of progress of the primary tumours in a state of distant metastasis. Therefore, we propose to analyse the lymph node mitotic index (LMI) in metastatic deposits and its relation to the primary tumour by assessing the relation between primary: LN mitosis ratio (PLMR). This also can provide an insight into the concept of understanding the dynamic state of lymph node deposits in oral squamous cell carcinoma (OSCC).

Materials and methods: A total of 510 lymph nodes from 17 cases of surgically treated OSCC were analysed, of which 40 lymph nodes were found to be positive. These 40 lymph nodes were examined histopathologically for the presence of mitotic figures in ten randomly selected fields (x400) and compared to the mitotic activity of the primary tumour by two observers independently, along with other histopathological features. LMI and PLMR were further determined for these cases.

Observations and results: The mitotic index was significantly higher in the metastatic deposits than in the primary tumour (P = 0.004). A higher percentage of abnormal mitoses was observed in metastatic lymph nodes, but no statistical significance (P = 0.27) was found when compared with primary tumour. Statistically significant correlation (P = 0.001) was observed between abnormal mitoses (%) and presence of ECS as well as size of the metastatic deposits. The LMI ratio showed a high mitotic rate in close to 80% of the cases. PLMR showed 58-60% cases with mitotically more active lymph nodes.

Interpretation and conclusion: This study is the first of its kind, which examines a level further than the nature of the primary tumour. Mitotic index/numbers in lymph nodes (LMI) might be considered an important parameter to evaluate the disease spread, revealing the nature of transiently indolent and mitotically active metastatic lymph nodes. The PLMR adds a further dimension on the lymph node's dynamic status in the progression of the disease.

求助全文
通过发布文献求助,成功后即可免费获取论文全文。 去求助
来源期刊
Journal of Oral and Maxillofacial Pathology
Journal of Oral and Maxillofacial Pathology Medicine-Otorhinolaryngology
CiteScore
1.40
自引率
0.00%
发文量
115
期刊介绍: The journal of Oral and Maxillofacial Pathology [ISSN:print-(0973-029X, online-1998-393X)] is a tri-annual journal published on behalf of “The Indian Association of Oral and Maxillofacial Pathologists” (IAOMP). The publication of JOMFP was started in the year 1993. The journal publishes papers on a wide spectrum of topics associated with the scope of Oral and Maxillofacial Pathology, also, ensuring scientific merit and quality. It is a comprehensive reading material for the professionals who want to upgrade their diagnostic skills in Oral Diseases; allows exposure to newer topics and methods of research in the Oral-facial Tissues and Pathology. New features allow an open minded thinking and approach to various pathologies. It also encourages authors to showcase quality work done by them and to compile relevant cases which are diagnostically challenging. The Journal takes pride in maintaining the quality of articles and photomicrographs.
×
引用
GB/T 7714-2015
复制
MLA
复制
APA
复制
导出至
BibTeX EndNote RefMan NoteFirst NoteExpress
×
提示
您的信息不完整,为了账户安全,请先补充。
现在去补充
×
提示
您因"违规操作"
具体请查看互助需知
我知道了
×
提示
确定
请完成安全验证×
copy
已复制链接
快去分享给好友吧!
我知道了
右上角分享
点击右上角分享
0
联系我们:info@booksci.cn Book学术提供免费学术资源搜索服务,方便国内外学者检索中英文文献。致力于提供最便捷和优质的服务体验。 Copyright © 2023 布克学术 All rights reserved.
京ICP备2023020795号-1
ghs 京公网安备 11010802042870号
Book学术文献互助
Book学术文献互助群
群 号:604180095
Book学术官方微信