儿童非典型颌骨肿胀:朗格汉斯细胞组织细胞增多症的不寻常临床谱。

Q3 Medicine
K Sithara, Usha Balan, Pk Rajeesh Mohammed, Akhila S Stanly
{"title":"儿童非典型颌骨肿胀:朗格汉斯细胞组织细胞增多症的不寻常临床谱。","authors":"K Sithara, Usha Balan, Pk Rajeesh Mohammed, Akhila S Stanly","doi":"10.4103/jomfp.jomfp_102_24","DOIUrl":null,"url":null,"abstract":"<p><p>Langerhans cell histiocytosis (LCH), also called histiocytosis X or eosinophilic granuloma, is a local or systemic unusual clonal proliferative disorder of Langerhans cells. It has a wide spectrum of clinical presentations and can occur in any age group with predominance in children and young adults. This article presents a rare case of LCH in a 2-year-old girl child which was provisionally diagnosed as an infection of the jaw bone of unknown etiology. Correlating the clinical, radiologic, and histologic features with immunohistochemical analysis aided in arriving at a definitive diagnosis of LCH. Oral manifestations being the earliest presentation seen in around 5%-75% of LCH cases emphasize the role of a dentist in the early detection of this lesion. A myriad of clinical spectra due to pathologic infiltration of Langerhans cells into various systems necessitates oral diagnosis to be followed by a full body scan to detect any systemic involvement. Advanced targeted therapies can improve the survival rate and quality of life in patients with LCH.</p>","PeriodicalId":38846,"journal":{"name":"Journal of Oral and Maxillofacial Pathology","volume":"28 4","pages":"708-712"},"PeriodicalIF":0.0000,"publicationDate":"2024-10-01","publicationTypes":"Journal Article","fieldsOfStudy":null,"isOpenAccess":false,"openAccessPdf":"https://www.ncbi.nlm.nih.gov/pmc/articles/PMC11819628/pdf/","citationCount":"0","resultStr":"{\"title\":\"Atypical jaw swelling in children: An unusual clinical spectrum of Langerhans cell histiocytosis.\",\"authors\":\"K Sithara, Usha Balan, Pk Rajeesh Mohammed, Akhila S Stanly\",\"doi\":\"10.4103/jomfp.jomfp_102_24\",\"DOIUrl\":null,\"url\":null,\"abstract\":\"<p><p>Langerhans cell histiocytosis (LCH), also called histiocytosis X or eosinophilic granuloma, is a local or systemic unusual clonal proliferative disorder of Langerhans cells. It has a wide spectrum of clinical presentations and can occur in any age group with predominance in children and young adults. This article presents a rare case of LCH in a 2-year-old girl child which was provisionally diagnosed as an infection of the jaw bone of unknown etiology. Correlating the clinical, radiologic, and histologic features with immunohistochemical analysis aided in arriving at a definitive diagnosis of LCH. Oral manifestations being the earliest presentation seen in around 5%-75% of LCH cases emphasize the role of a dentist in the early detection of this lesion. A myriad of clinical spectra due to pathologic infiltration of Langerhans cells into various systems necessitates oral diagnosis to be followed by a full body scan to detect any systemic involvement. Advanced targeted therapies can improve the survival rate and quality of life in patients with LCH.</p>\",\"PeriodicalId\":38846,\"journal\":{\"name\":\"Journal of Oral and Maxillofacial Pathology\",\"volume\":\"28 4\",\"pages\":\"708-712\"},\"PeriodicalIF\":0.0000,\"publicationDate\":\"2024-10-01\",\"publicationTypes\":\"Journal Article\",\"fieldsOfStudy\":null,\"isOpenAccess\":false,\"openAccessPdf\":\"https://www.ncbi.nlm.nih.gov/pmc/articles/PMC11819628/pdf/\",\"citationCount\":\"0\",\"resultStr\":null,\"platform\":\"Semanticscholar\",\"paperid\":null,\"PeriodicalName\":\"Journal of Oral and Maxillofacial Pathology\",\"FirstCategoryId\":\"1085\",\"ListUrlMain\":\"https://doi.org/10.4103/jomfp.jomfp_102_24\",\"RegionNum\":0,\"RegionCategory\":null,\"ArticlePicture\":[],\"TitleCN\":null,\"AbstractTextCN\":null,\"PMCID\":null,\"EPubDate\":\"2024/12/31 0:00:00\",\"PubModel\":\"Epub\",\"JCR\":\"Q3\",\"JCRName\":\"Medicine\",\"Score\":null,\"Total\":0}","platform":"Semanticscholar","paperid":null,"PeriodicalName":"Journal of Oral and Maxillofacial Pathology","FirstCategoryId":"1085","ListUrlMain":"https://doi.org/10.4103/jomfp.jomfp_102_24","RegionNum":0,"RegionCategory":null,"ArticlePicture":[],"TitleCN":null,"AbstractTextCN":null,"PMCID":null,"EPubDate":"2024/12/31 0:00:00","PubModel":"Epub","JCR":"Q3","JCRName":"Medicine","Score":null,"Total":0}
引用次数: 0

摘要

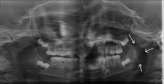
朗格汉斯细胞组织细胞增多症(LCH),也称为组织细胞增多症X或嗜酸性肉芽肿,是朗格汉斯细胞的一种局部或全身性异常克隆增殖性疾病。它具有广泛的临床表现,可发生在任何年龄组,以儿童和年轻人为主。这篇文章提出了一个罕见的病例LCH在一个2岁的女孩被暂时诊断为感染的颌骨不明病因。将临床、放射学和组织学特征与免疫组织化学分析相结合有助于得出LCH的明确诊断。口腔表现是大约5%-75% LCH病例中最早的表现,这强调了牙医在早期发现这种病变中的作用。由于朗格汉斯细胞病理浸润到各种系统,无数的临床光谱需要口腔诊断,然后进行全身扫描以检测任何系统累及。先进的靶向治疗可提高LCH患者的生存率和生活质量。
本文章由计算机程序翻译,如有差异,请以英文原文为准。

Atypical jaw swelling in children: An unusual clinical spectrum of Langerhans cell histiocytosis.

Atypical jaw swelling in children: An unusual clinical spectrum of Langerhans cell histiocytosis.

Atypical jaw swelling in children: An unusual clinical spectrum of Langerhans cell histiocytosis.

Atypical jaw swelling in children: An unusual clinical spectrum of Langerhans cell histiocytosis.

Langerhans cell histiocytosis (LCH), also called histiocytosis X or eosinophilic granuloma, is a local or systemic unusual clonal proliferative disorder of Langerhans cells. It has a wide spectrum of clinical presentations and can occur in any age group with predominance in children and young adults. This article presents a rare case of LCH in a 2-year-old girl child which was provisionally diagnosed as an infection of the jaw bone of unknown etiology. Correlating the clinical, radiologic, and histologic features with immunohistochemical analysis aided in arriving at a definitive diagnosis of LCH. Oral manifestations being the earliest presentation seen in around 5%-75% of LCH cases emphasize the role of a dentist in the early detection of this lesion. A myriad of clinical spectra due to pathologic infiltration of Langerhans cells into various systems necessitates oral diagnosis to be followed by a full body scan to detect any systemic involvement. Advanced targeted therapies can improve the survival rate and quality of life in patients with LCH.

求助全文
通过发布文献求助,成功后即可免费获取论文全文。 去求助
来源期刊
Journal of Oral and Maxillofacial Pathology
Journal of Oral and Maxillofacial Pathology Medicine-Otorhinolaryngology
CiteScore
1.40
自引率
0.00%
发文量
115
期刊介绍: The journal of Oral and Maxillofacial Pathology [ISSN:print-(0973-029X, online-1998-393X)] is a tri-annual journal published on behalf of “The Indian Association of Oral and Maxillofacial Pathologists” (IAOMP). The publication of JOMFP was started in the year 1993. The journal publishes papers on a wide spectrum of topics associated with the scope of Oral and Maxillofacial Pathology, also, ensuring scientific merit and quality. It is a comprehensive reading material for the professionals who want to upgrade their diagnostic skills in Oral Diseases; allows exposure to newer topics and methods of research in the Oral-facial Tissues and Pathology. New features allow an open minded thinking and approach to various pathologies. It also encourages authors to showcase quality work done by them and to compile relevant cases which are diagnostically challenging. The Journal takes pride in maintaining the quality of articles and photomicrographs.
×
引用
GB/T 7714-2015
复制
MLA
复制
APA
复制
导出至
BibTeX EndNote RefMan NoteFirst NoteExpress
×
提示
您的信息不完整,为了账户安全,请先补充。
现在去补充
×
提示
您因"违规操作"
具体请查看互助需知
我知道了
×
提示
确定
请完成安全验证×
copy
已复制链接
快去分享给好友吧!
我知道了
右上角分享
点击右上角分享
0
联系我们:info@booksci.cn Book学术提供免费学术资源搜索服务,方便国内外学者检索中英文文献。致力于提供最便捷和优质的服务体验。 Copyright © 2023 布克学术 All rights reserved.
京ICP备2023020795号-1
ghs 京公网安备 11010802042870号
Book学术文献互助
Book学术文献互助群
群 号:604180095
Book学术官方微信