根据最近WHO(2022)分类对牙源性肿瘤的综合分析:一项基于机构的回顾性研究。

Q3 Medicine
Piyush Asnani, Shireen Ali, Sima Odedra, Jayasankar Pillai, Namrata Jayasheel, Ranjit Jadeja
{"title":"根据最近WHO(2022)分类对牙源性肿瘤的综合分析:一项基于机构的回顾性研究。","authors":"Piyush Asnani, Shireen Ali, Sima Odedra, Jayasankar Pillai, Namrata Jayasheel, Ranjit Jadeja","doi":"10.4103/jomfp.jomfp_56_24","DOIUrl":null,"url":null,"abstract":"<p><strong>Background: </strong>Odontogenic tumors constitute a rare group of lesions with diverse characteristics originating from tooth-forming tissues, primarily within the maxillofacial region. Variations in incidence across populations in India and with changes incorporated in successive World Health Organization (WHO) classifications, necessitate continued research to understand their epidemiology.</p><p><strong>Objective: </strong>This retrospective study aims to provide an extensive analysis of Odontogenic tumors reported in a dental institute in Gujarat, India, using the 5<sup>th</sup> edition of the WHO classification. The study also seeks to compare the findings with data from other regions.</p><p><strong>Methods: </strong>A retrospective analysis was conducted on archived histopathological records from the Oral Pathology department of our institute, spanning from 1966 to 2023. This analysis focused on demographic details, tumor types, and their distribution. The data were reclassified according to the WHO 5<sup>th</sup> edition and subjected to descriptive statistical analysis.</p><p><strong>Results: </strong>Among 10,907 biopsies, 501 cases (4.6%) were diagnosed as Odontogenic tumors, with 97.6% being benign. Benign epithelial tumors, predominantly Ameloblastoma (68.9%) was most common. Supporting their rare occurrence malignant cases included Ameloblastic carcinoma (2.2%) and Clear Cell Odontogenic Carcinoma (0.2%). An overall male predominance (51.7%) was noted, with female dominance in Adenomatoid Odontogenic tumor (60%), Cemento-Ossifying Fibroma (62.5%), Odontogenic fibroma (91%), and Odontogenic Myxoma (66.7%). Most cases occurred in the third decade (27.1%), with a notable mandibular predominance (78%).</p><p><strong>Conclusion: </strong>The findings contribute to the understanding of Odontogenic tumors epidemiology, emphasizing the importance of further regional studies and adapting to evolving classifications for accurate assessments and cross-population comparisons.</p>","PeriodicalId":38846,"journal":{"name":"Journal of Oral and Maxillofacial Pathology","volume":"28 4","pages":"576-582"},"PeriodicalIF":0.0000,"publicationDate":"2024-10-01","publicationTypes":"Journal Article","fieldsOfStudy":null,"isOpenAccess":false,"openAccessPdf":"https://www.ncbi.nlm.nih.gov/pmc/articles/PMC11819634/pdf/","citationCount":"0","resultStr":"{\"title\":\"A comprehensive analysis of odontogenic tumors according to recent WHO (2022) classification: An institution-based retrospective study.\",\"authors\":\"Piyush Asnani, Shireen Ali, Sima Odedra, Jayasankar Pillai, Namrata Jayasheel, Ranjit Jadeja\",\"doi\":\"10.4103/jomfp.jomfp_56_24\",\"DOIUrl\":null,\"url\":null,\"abstract\":\"<p><strong>Background: </strong>Odontogenic tumors constitute a rare group of lesions with diverse characteristics originating from tooth-forming tissues, primarily within the maxillofacial region. Variations in incidence across populations in India and with changes incorporated in successive World Health Organization (WHO) classifications, necessitate continued research to understand their epidemiology.</p><p><strong>Objective: </strong>This retrospective study aims to provide an extensive analysis of Odontogenic tumors reported in a dental institute in Gujarat, India, using the 5<sup>th</sup> edition of the WHO classification. The study also seeks to compare the findings with data from other regions.</p><p><strong>Methods: </strong>A retrospective analysis was conducted on archived histopathological records from the Oral Pathology department of our institute, spanning from 1966 to 2023. This analysis focused on demographic details, tumor types, and their distribution. The data were reclassified according to the WHO 5<sup>th</sup> edition and subjected to descriptive statistical analysis.</p><p><strong>Results: </strong>Among 10,907 biopsies, 501 cases (4.6%) were diagnosed as Odontogenic tumors, with 97.6% being benign. Benign epithelial tumors, predominantly Ameloblastoma (68.9%) was most common. Supporting their rare occurrence malignant cases included Ameloblastic carcinoma (2.2%) and Clear Cell Odontogenic Carcinoma (0.2%). An overall male predominance (51.7%) was noted, with female dominance in Adenomatoid Odontogenic tumor (60%), Cemento-Ossifying Fibroma (62.5%), Odontogenic fibroma (91%), and Odontogenic Myxoma (66.7%). Most cases occurred in the third decade (27.1%), with a notable mandibular predominance (78%).</p><p><strong>Conclusion: </strong>The findings contribute to the understanding of Odontogenic tumors epidemiology, emphasizing the importance of further regional studies and adapting to evolving classifications for accurate assessments and cross-population comparisons.</p>\",\"PeriodicalId\":38846,\"journal\":{\"name\":\"Journal of Oral and Maxillofacial Pathology\",\"volume\":\"28 4\",\"pages\":\"576-582\"},\"PeriodicalIF\":0.0000,\"publicationDate\":\"2024-10-01\",\"publicationTypes\":\"Journal Article\",\"fieldsOfStudy\":null,\"isOpenAccess\":false,\"openAccessPdf\":\"https://www.ncbi.nlm.nih.gov/pmc/articles/PMC11819634/pdf/\",\"citationCount\":\"0\",\"resultStr\":null,\"platform\":\"Semanticscholar\",\"paperid\":null,\"PeriodicalName\":\"Journal of Oral and Maxillofacial Pathology\",\"FirstCategoryId\":\"1085\",\"ListUrlMain\":\"https://doi.org/10.4103/jomfp.jomfp_56_24\",\"RegionNum\":0,\"RegionCategory\":null,\"ArticlePicture\":[],\"TitleCN\":null,\"AbstractTextCN\":null,\"PMCID\":null,\"EPubDate\":\"2024/12/31 0:00:00\",\"PubModel\":\"Epub\",\"JCR\":\"Q3\",\"JCRName\":\"Medicine\",\"Score\":null,\"Total\":0}","platform":"Semanticscholar","paperid":null,"PeriodicalName":"Journal of Oral and Maxillofacial Pathology","FirstCategoryId":"1085","ListUrlMain":"https://doi.org/10.4103/jomfp.jomfp_56_24","RegionNum":0,"RegionCategory":null,"ArticlePicture":[],"TitleCN":null,"AbstractTextCN":null,"PMCID":null,"EPubDate":"2024/12/31 0:00:00","PubModel":"Epub","JCR":"Q3","JCRName":"Medicine","Score":null,"Total":0}
引用次数: 0

摘要

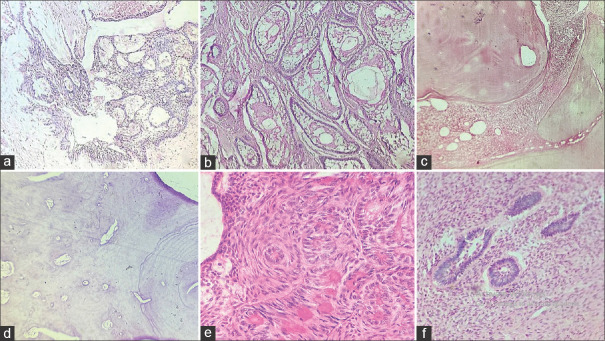
背景:牙源性肿瘤是一组罕见的病变,具有不同的特征,起源于牙齿形成组织,主要发生在颌面区域。印度各人群发病率的差异以及世界卫生组织(世卫组织)历次分类中纳入的变化,需要继续研究以了解其流行病学。目的:本回顾性研究旨在使用世界卫生组织第5版分类对印度古吉拉特邦一家牙科研究所报告的牙源性肿瘤进行广泛分析。该研究还试图将研究结果与其他地区的数据进行比较。方法:对我院口腔病理科1966年至2023年的组织病理档案进行回顾性分析。该分析侧重于人口统计学细节、肿瘤类型及其分布。根据世界卫生组织第5版对数据进行重新分类,并进行描述性统计分析。结果:10907例活检中,501例(4.6%)诊断为牙源性肿瘤,其中97.6%为良性肿瘤。良性上皮肿瘤,以成釉细胞瘤(68.9%)最为常见。支持其罕见的恶性病例包括成釉细胞癌(2.2%)和透明细胞牙源性癌(0.2%)。男性总体上占优势(51.7%),而女性在腺瘤样牙源性肿瘤(60%)、骨水泥骨化纤维瘤(62.5%)、牙源性纤维瘤(91%)和牙源性黏液瘤(66.7%)中占优势。大多数病例发生在第三十年(27.1%),以下颌为主(78%)。结论:这些发现有助于了解牙源性肿瘤的流行病学,强调进一步的区域研究和适应不断发展的分类对于准确评估和跨人群比较的重要性。
本文章由计算机程序翻译,如有差异,请以英文原文为准。

A comprehensive analysis of odontogenic tumors according to recent WHO (2022) classification: An institution-based retrospective study.

A comprehensive analysis of odontogenic tumors according to recent WHO (2022) classification: An institution-based retrospective study.

A comprehensive analysis of odontogenic tumors according to recent WHO (2022) classification: An institution-based retrospective study.

Background: Odontogenic tumors constitute a rare group of lesions with diverse characteristics originating from tooth-forming tissues, primarily within the maxillofacial region. Variations in incidence across populations in India and with changes incorporated in successive World Health Organization (WHO) classifications, necessitate continued research to understand their epidemiology.

Objective: This retrospective study aims to provide an extensive analysis of Odontogenic tumors reported in a dental institute in Gujarat, India, using the 5th edition of the WHO classification. The study also seeks to compare the findings with data from other regions.

Methods: A retrospective analysis was conducted on archived histopathological records from the Oral Pathology department of our institute, spanning from 1966 to 2023. This analysis focused on demographic details, tumor types, and their distribution. The data were reclassified according to the WHO 5th edition and subjected to descriptive statistical analysis.

Results: Among 10,907 biopsies, 501 cases (4.6%) were diagnosed as Odontogenic tumors, with 97.6% being benign. Benign epithelial tumors, predominantly Ameloblastoma (68.9%) was most common. Supporting their rare occurrence malignant cases included Ameloblastic carcinoma (2.2%) and Clear Cell Odontogenic Carcinoma (0.2%). An overall male predominance (51.7%) was noted, with female dominance in Adenomatoid Odontogenic tumor (60%), Cemento-Ossifying Fibroma (62.5%), Odontogenic fibroma (91%), and Odontogenic Myxoma (66.7%). Most cases occurred in the third decade (27.1%), with a notable mandibular predominance (78%).

Conclusion: The findings contribute to the understanding of Odontogenic tumors epidemiology, emphasizing the importance of further regional studies and adapting to evolving classifications for accurate assessments and cross-population comparisons.

求助全文
通过发布文献求助,成功后即可免费获取论文全文。 去求助
来源期刊
Journal of Oral and Maxillofacial Pathology
Journal of Oral and Maxillofacial Pathology Medicine-Otorhinolaryngology
CiteScore
1.40
自引率
0.00%
发文量
115
期刊介绍: The journal of Oral and Maxillofacial Pathology [ISSN:print-(0973-029X, online-1998-393X)] is a tri-annual journal published on behalf of “The Indian Association of Oral and Maxillofacial Pathologists” (IAOMP). The publication of JOMFP was started in the year 1993. The journal publishes papers on a wide spectrum of topics associated with the scope of Oral and Maxillofacial Pathology, also, ensuring scientific merit and quality. It is a comprehensive reading material for the professionals who want to upgrade their diagnostic skills in Oral Diseases; allows exposure to newer topics and methods of research in the Oral-facial Tissues and Pathology. New features allow an open minded thinking and approach to various pathologies. It also encourages authors to showcase quality work done by them and to compile relevant cases which are diagnostically challenging. The Journal takes pride in maintaining the quality of articles and photomicrographs.
×
引用
GB/T 7714-2015
复制
MLA
复制
APA
复制
导出至
BibTeX EndNote RefMan NoteFirst NoteExpress
×
提示
您的信息不完整,为了账户安全,请先补充。
现在去补充
×
提示
您因"违规操作"
具体请查看互助需知
我知道了
×
提示
确定
请完成安全验证×
copy
已复制链接
快去分享给好友吧!
我知道了
右上角分享
点击右上角分享
0
联系我们:info@booksci.cn Book学术提供免费学术资源搜索服务,方便国内外学者检索中英文文献。致力于提供最便捷和优质的服务体验。 Copyright © 2023 布克学术 All rights reserved.
京ICP备2023020795号-1
ghs 京公网安备 11010802042870号
Book学术文献互助
Book学术文献互助群
群 号:604180095
Book学术官方微信