揭开谜团:上颌结外罗塞-多夫曼病的导航——一个青少年的旅程。

Q3 Medicine
B Premalatha, K Barath Raj, P D Balamurali, M Arulvizhi
{"title":"揭开谜团:上颌结外罗塞-多夫曼病的导航——一个青少年的旅程。","authors":"B Premalatha, K Barath Raj, P D Balamurali, M Arulvizhi","doi":"10.4103/jomfp.jomfp_61_24","DOIUrl":null,"url":null,"abstract":"<p><p>Rosai-Dorfman disease (RDD), a rare histiocytic disorder, typically manifests as widespread lymphadenopathy. We present a unique case of extranodal RDD in a 14-year-old with a solitary maxillary lesion and mild bilateral submandibular lymphadenopathy. Clinical, radiological, and histopathological assessments confirmed RDD, highlighting the importance of a comprehensive approach. Immunohistochemistry, including CD68, CD45, CD 1a, and S100, played a crucial role in diagnosis. Differential diagnoses encompassed Langerhans cell histiocytosis, Erdheim-Chester disease, lymphomas, and histiocytic sarcoma, necessitating meticulous evaluation. Surgical excision was performed due to bone involvement, leading to successful healing in six months. Our case underscores the significance of a multidisciplinary and scientific approach for accurate RDD diagnosis and management, especially in atypical intraoral presentations.</p>","PeriodicalId":38846,"journal":{"name":"Journal of Oral and Maxillofacial Pathology","volume":"28 4","pages":"677-682"},"PeriodicalIF":0.0000,"publicationDate":"2024-10-01","publicationTypes":"Journal Article","fieldsOfStudy":null,"isOpenAccess":false,"openAccessPdf":"https://www.ncbi.nlm.nih.gov/pmc/articles/PMC11819635/pdf/","citationCount":"0","resultStr":"{\"title\":\"Unveiling the enigma: Navigating extranodal Rosai-Dorfman disease in the maxilla - A teen's journey.\",\"authors\":\"B Premalatha, K Barath Raj, P D Balamurali, M Arulvizhi\",\"doi\":\"10.4103/jomfp.jomfp_61_24\",\"DOIUrl\":null,\"url\":null,\"abstract\":\"<p><p>Rosai-Dorfman disease (RDD), a rare histiocytic disorder, typically manifests as widespread lymphadenopathy. We present a unique case of extranodal RDD in a 14-year-old with a solitary maxillary lesion and mild bilateral submandibular lymphadenopathy. Clinical, radiological, and histopathological assessments confirmed RDD, highlighting the importance of a comprehensive approach. Immunohistochemistry, including CD68, CD45, CD 1a, and S100, played a crucial role in diagnosis. Differential diagnoses encompassed Langerhans cell histiocytosis, Erdheim-Chester disease, lymphomas, and histiocytic sarcoma, necessitating meticulous evaluation. Surgical excision was performed due to bone involvement, leading to successful healing in six months. Our case underscores the significance of a multidisciplinary and scientific approach for accurate RDD diagnosis and management, especially in atypical intraoral presentations.</p>\",\"PeriodicalId\":38846,\"journal\":{\"name\":\"Journal of Oral and Maxillofacial Pathology\",\"volume\":\"28 4\",\"pages\":\"677-682\"},\"PeriodicalIF\":0.0000,\"publicationDate\":\"2024-10-01\",\"publicationTypes\":\"Journal Article\",\"fieldsOfStudy\":null,\"isOpenAccess\":false,\"openAccessPdf\":\"https://www.ncbi.nlm.nih.gov/pmc/articles/PMC11819635/pdf/\",\"citationCount\":\"0\",\"resultStr\":null,\"platform\":\"Semanticscholar\",\"paperid\":null,\"PeriodicalName\":\"Journal of Oral and Maxillofacial Pathology\",\"FirstCategoryId\":\"1085\",\"ListUrlMain\":\"https://doi.org/10.4103/jomfp.jomfp_61_24\",\"RegionNum\":0,\"RegionCategory\":null,\"ArticlePicture\":[],\"TitleCN\":null,\"AbstractTextCN\":null,\"PMCID\":null,\"EPubDate\":\"2024/12/31 0:00:00\",\"PubModel\":\"Epub\",\"JCR\":\"Q3\",\"JCRName\":\"Medicine\",\"Score\":null,\"Total\":0}","platform":"Semanticscholar","paperid":null,"PeriodicalName":"Journal of Oral and Maxillofacial Pathology","FirstCategoryId":"1085","ListUrlMain":"https://doi.org/10.4103/jomfp.jomfp_61_24","RegionNum":0,"RegionCategory":null,"ArticlePicture":[],"TitleCN":null,"AbstractTextCN":null,"PMCID":null,"EPubDate":"2024/12/31 0:00:00","PubModel":"Epub","JCR":"Q3","JCRName":"Medicine","Score":null,"Total":0}
引用次数: 0

摘要

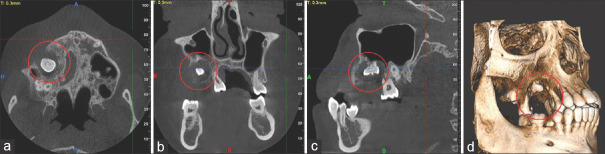
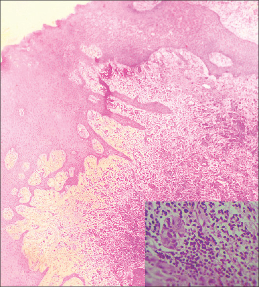
Rosai-Dorfman病(RDD)是一种罕见的组织细胞疾病,典型表现为广泛的淋巴结病变。我们提出一个独特的病例结外RDD在一个14岁的单发上颌病变和轻度双侧下颌下淋巴结病。临床、放射学和组织病理学评估证实了RDD,强调了综合治疗的重要性。免疫组织化学,包括CD68、CD45、cd1a和S100,在诊断中起着至关重要的作用。鉴别诊断包括朗格汉斯细胞组织细胞增多症、厄德海姆-切斯特病、淋巴瘤和组织细胞肉瘤,需要仔细的评估。由于骨受累,手术切除,6个月后成功愈合。我们的病例强调了多学科和科学方法对准确诊断和管理RDD的重要性,特别是在非典型口腔内表现。
本文章由计算机程序翻译,如有差异,请以英文原文为准。

Unveiling the enigma: Navigating extranodal Rosai-Dorfman disease in the maxilla - A teen's journey.

Unveiling the enigma: Navigating extranodal Rosai-Dorfman disease in the maxilla - A teen's journey.

Unveiling the enigma: Navigating extranodal Rosai-Dorfman disease in the maxilla - A teen's journey.

Unveiling the enigma: Navigating extranodal Rosai-Dorfman disease in the maxilla - A teen's journey.

Rosai-Dorfman disease (RDD), a rare histiocytic disorder, typically manifests as widespread lymphadenopathy. We present a unique case of extranodal RDD in a 14-year-old with a solitary maxillary lesion and mild bilateral submandibular lymphadenopathy. Clinical, radiological, and histopathological assessments confirmed RDD, highlighting the importance of a comprehensive approach. Immunohistochemistry, including CD68, CD45, CD 1a, and S100, played a crucial role in diagnosis. Differential diagnoses encompassed Langerhans cell histiocytosis, Erdheim-Chester disease, lymphomas, and histiocytic sarcoma, necessitating meticulous evaluation. Surgical excision was performed due to bone involvement, leading to successful healing in six months. Our case underscores the significance of a multidisciplinary and scientific approach for accurate RDD diagnosis and management, especially in atypical intraoral presentations.

求助全文
通过发布文献求助,成功后即可免费获取论文全文。 去求助
来源期刊
Journal of Oral and Maxillofacial Pathology
Journal of Oral and Maxillofacial Pathology Medicine-Otorhinolaryngology
CiteScore
1.40
自引率
0.00%
发文量
115
期刊介绍: The journal of Oral and Maxillofacial Pathology [ISSN:print-(0973-029X, online-1998-393X)] is a tri-annual journal published on behalf of “The Indian Association of Oral and Maxillofacial Pathologists” (IAOMP). The publication of JOMFP was started in the year 1993. The journal publishes papers on a wide spectrum of topics associated with the scope of Oral and Maxillofacial Pathology, also, ensuring scientific merit and quality. It is a comprehensive reading material for the professionals who want to upgrade their diagnostic skills in Oral Diseases; allows exposure to newer topics and methods of research in the Oral-facial Tissues and Pathology. New features allow an open minded thinking and approach to various pathologies. It also encourages authors to showcase quality work done by them and to compile relevant cases which are diagnostically challenging. The Journal takes pride in maintaining the quality of articles and photomicrographs.
×
引用
GB/T 7714-2015
复制
MLA
复制
APA
复制
导出至
BibTeX EndNote RefMan NoteFirst NoteExpress
×
提示
您的信息不完整,为了账户安全,请先补充。
现在去补充
×
提示
您因"违规操作"
具体请查看互助需知
我知道了
×
提示
确定
请完成安全验证×
copy
已复制链接
快去分享给好友吧!
我知道了
右上角分享
点击右上角分享
0
联系我们:info@booksci.cn Book学术提供免费学术资源搜索服务,方便国内外学者检索中英文文献。致力于提供最便捷和优质的服务体验。 Copyright © 2023 布克学术 All rights reserved.
京ICP备2023020795号-1
ghs 京公网安备 11010802042870号
Book学术文献互助
Book学术文献互助群
群 号:604180095
Book学术官方微信