淋巴结外NK/T细胞淋巴瘤Epstein-Barr病毒潜伏膜蛋白1 30bp缺失和蛋白表达的检测及其临床病理意义

IF 2.3 3区 医学 Q2 PATHOLOGY
Xingmei Lu, Qingsong Han, Peng Li, Kate Huang, Xiuhuan Ji, Suidan Chen, Rixu Lin, Xiaoyu Wang
{"title":"淋巴结外NK/T细胞淋巴瘤Epstein-Barr病毒潜伏膜蛋白1 30bp缺失和蛋白表达的检测及其临床病理意义","authors":"Xingmei Lu, Qingsong Han, Peng Li, Kate Huang, Xiuhuan Ji, Suidan Chen, Rixu Lin, Xiaoyu Wang","doi":"10.1186/s13000-025-01607-4","DOIUrl":null,"url":null,"abstract":"<p><strong>Background: </strong>Extranodal natural killer/T-cell lymphoma (ENKTCL) is strongly associated with Epstein-Barr virus (EBV) infection. A 30-base-pair deletion in latent membrane protein 1 (del-LMP1) represents the most common variant in the EBV genome, but its clinicopathological significance in ENKTCL remains poorly elucidated. Some scholars suggested that the LMP1 protein product carrying the deletion gene reduced immunogenicity, allowed it to escape immune surveillance in immunocompetent hosts and confer a survival advantage. Therefore, simultaneous assessment of del-LMP1 and LMP1 protein expression may provide deeper insights into the potential role of LMP1 in ENKTCL tumorigenesis and progression. This study aimed to investigate the impact of del-LMP1 and LMP1 protein expression on the clinicopathological manifestations and prognosis of ENKTCL patients in Wenzhou.</p><p><strong>Methods: </strong>The clinical and histological characteristics of 42 ENKTCL cases were retrospectively evaluated. Del-LMP1 was detected using a nested polymerase chain reaction and Sanger sequencing, while LMP1 protein expression was assessed via immunohistochemistry. Overall survival (OS) was analyzed.</p><p><strong>Results: </strong>The LMP1 gene was identified in 37/42 ENKTCL cases, including 2 wild-type (wt-LMP1), 35 del-LMP1 cases. LMP1 protein expression was positive in 21/42 cases. In the control group, the LMP1 gene was detected in 6/10 cases, all of which were del-LMP1, and the LMP1 protein was positive in 4/10 cases. Fisher's exact test revealed no significant differences between the two groups in the LMP1 gene, del-LMP1, or LMP1 protein expression. Additionally, there was no significant correlation between del-LMP1 and LMP1 protein expression and clinical characteristics such as age, gender, or vascular invasion. However, LMP1 protein expression was significantly higher in necrotic tissues (p = 0.030) and younger patients with del-LMP1 (p = 0.004). Survival analysis showed no significant difference in OS between wt-LMP1 and del-LMP1 patients (p = 0.331) or between LMP1-positive and -negative cases (p = 0.592).</p><p><strong>Conclusion: </strong>In this retrospective cohort, we demonstrated that del-LMP1 might be the predominant variant rather than a phenotype-associated polymorphism in ENKTCL from a molecular epidemiological perspective. Moreover, LMP1 protein expression was associated with necrotic tissue and younger patients with del-LMP1, possibly due to the enhanced pathogenic effect of the mutated LMP1 isolate protein.</p>","PeriodicalId":11237,"journal":{"name":"Diagnostic Pathology","volume":"20 1","pages":"18"},"PeriodicalIF":2.3000,"publicationDate":"2025-02-13","publicationTypes":"Journal Article","fieldsOfStudy":null,"isOpenAccess":false,"openAccessPdf":"https://www.ncbi.nlm.nih.gov/pmc/articles/PMC11823043/pdf/","citationCount":"0","resultStr":"{\"title\":\"Detection of the 30-bp deletion and protein expression of Epstein-Barr virus latent membrane protein 1 in extranodal NK/T cell lymphoma and its clinicopathological significance.\",\"authors\":\"Xingmei Lu, Qingsong Han, Peng Li, Kate Huang, Xiuhuan Ji, Suidan Chen, Rixu Lin, Xiaoyu Wang\",\"doi\":\"10.1186/s13000-025-01607-4\",\"DOIUrl\":null,\"url\":null,\"abstract\":\"<p><strong>Background: </strong>Extranodal natural killer/T-cell lymphoma (ENKTCL) is strongly associated with Epstein-Barr virus (EBV) infection. A 30-base-pair deletion in latent membrane protein 1 (del-LMP1) represents the most common variant in the EBV genome, but its clinicopathological significance in ENKTCL remains poorly elucidated. Some scholars suggested that the LMP1 protein product carrying the deletion gene reduced immunogenicity, allowed it to escape immune surveillance in immunocompetent hosts and confer a survival advantage. Therefore, simultaneous assessment of del-LMP1 and LMP1 protein expression may provide deeper insights into the potential role of LMP1 in ENKTCL tumorigenesis and progression. This study aimed to investigate the impact of del-LMP1 and LMP1 protein expression on the clinicopathological manifestations and prognosis of ENKTCL patients in Wenzhou.</p><p><strong>Methods: </strong>The clinical and histological characteristics of 42 ENKTCL cases were retrospectively evaluated. Del-LMP1 was detected using a nested polymerase chain reaction and Sanger sequencing, while LMP1 protein expression was assessed via immunohistochemistry. Overall survival (OS) was analyzed.</p><p><strong>Results: </strong>The LMP1 gene was identified in 37/42 ENKTCL cases, including 2 wild-type (wt-LMP1), 35 del-LMP1 cases. LMP1 protein expression was positive in 21/42 cases. In the control group, the LMP1 gene was detected in 6/10 cases, all of which were del-LMP1, and the LMP1 protein was positive in 4/10 cases. Fisher's exact test revealed no significant differences between the two groups in the LMP1 gene, del-LMP1, or LMP1 protein expression. Additionally, there was no significant correlation between del-LMP1 and LMP1 protein expression and clinical characteristics such as age, gender, or vascular invasion. However, LMP1 protein expression was significantly higher in necrotic tissues (p = 0.030) and younger patients with del-LMP1 (p = 0.004). Survival analysis showed no significant difference in OS between wt-LMP1 and del-LMP1 patients (p = 0.331) or between LMP1-positive and -negative cases (p = 0.592).</p><p><strong>Conclusion: </strong>In this retrospective cohort, we demonstrated that del-LMP1 might be the predominant variant rather than a phenotype-associated polymorphism in ENKTCL from a molecular epidemiological perspective. Moreover, LMP1 protein expression was associated with necrotic tissue and younger patients with del-LMP1, possibly due to the enhanced pathogenic effect of the mutated LMP1 isolate protein.</p>\",\"PeriodicalId\":11237,\"journal\":{\"name\":\"Diagnostic Pathology\",\"volume\":\"20 1\",\"pages\":\"18\"},\"PeriodicalIF\":2.3000,\"publicationDate\":\"2025-02-13\",\"publicationTypes\":\"Journal Article\",\"fieldsOfStudy\":null,\"isOpenAccess\":false,\"openAccessPdf\":\"https://www.ncbi.nlm.nih.gov/pmc/articles/PMC11823043/pdf/\",\"citationCount\":\"0\",\"resultStr\":null,\"platform\":\"Semanticscholar\",\"paperid\":null,\"PeriodicalName\":\"Diagnostic Pathology\",\"FirstCategoryId\":\"3\",\"ListUrlMain\":\"https://doi.org/10.1186/s13000-025-01607-4\",\"RegionNum\":3,\"RegionCategory\":\"医学\",\"ArticlePicture\":[],\"TitleCN\":null,\"AbstractTextCN\":null,\"PMCID\":null,\"EPubDate\":\"\",\"PubModel\":\"\",\"JCR\":\"Q2\",\"JCRName\":\"PATHOLOGY\",\"Score\":null,\"Total\":0}","platform":"Semanticscholar","paperid":null,"PeriodicalName":"Diagnostic Pathology","FirstCategoryId":"3","ListUrlMain":"https://doi.org/10.1186/s13000-025-01607-4","RegionNum":3,"RegionCategory":"医学","ArticlePicture":[],"TitleCN":null,"AbstractTextCN":null,"PMCID":null,"EPubDate":"","PubModel":"","JCR":"Q2","JCRName":"PATHOLOGY","Score":null,"Total":0}
引用次数: 0

摘要

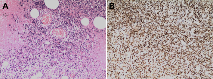
背景:结外自然杀伤/ t细胞淋巴瘤(ENKTCL)与eb病毒(EBV)感染密切相关。潜伏膜蛋白1 (del-LMP1)的30个碱基对缺失是EBV基因组中最常见的变异,但其在ENKTCL中的临床病理意义尚不清楚。一些学者认为,携带缺失基因的LMP1蛋白产物降低了免疫原性,使其能够在免疫能力强的宿主中逃脱免疫监视,从而获得生存优势。因此,同时评估del-LMP1和LMP1蛋白的表达可以更深入地了解LMP1在ENKTCL肿瘤发生和进展中的潜在作用。本研究旨在探讨del-LMP1及LMP1蛋白表达对温州地区ENKTCL患者临床病理表现及预后的影响。方法:回顾性分析42例ENKTCL的临床和组织学特征。采用巢式聚合酶链反应和Sanger测序检测Del-LMP1,免疫组织化学检测LMP1蛋白表达。分析总生存期(OS)。结果:37/42例ENKTCL中检测到LMP1基因,其中野生型(wt-LMP1) 2例,del-LMP1 35例。21/42例LMP1蛋白表达阳性。对照组6/10例检测到LMP1基因,均为del-LMP1, 4/10例检测到LMP1蛋白阳性。Fisher精确检测显示两组在LMP1基因、del-LMP1或LMP1蛋白表达上没有显著差异。此外,del-LMP1和LMP1蛋白表达与临床特征(如年龄、性别或血管侵犯)无显著相关性。然而,LMP1蛋白在坏死组织(p = 0.030)和年轻dell -LMP1患者(p = 0.004)中的表达明显较高。生存分析显示wt-LMP1与del-LMP1患者的OS无显著差异(p = 0.331), lmp1阳性与阴性患者的OS无显著差异(p = 0.592)。结论:在这个回顾性队列中,我们从分子流行病学的角度证明了del-LMP1可能是ENKTCL的主要变异,而不是表型相关多态性。此外,LMP1蛋白表达与坏死组织和del-LMP1年轻患者相关,这可能是由于突变的LMP1分离蛋白的致病作用增强。
本文章由计算机程序翻译,如有差异,请以英文原文为准。

Detection of the 30-bp deletion and protein expression of Epstein-Barr virus latent membrane protein 1 in extranodal NK/T cell lymphoma and its clinicopathological significance.

Detection of the 30-bp deletion and protein expression of Epstein-Barr virus latent membrane protein 1 in extranodal NK/T cell lymphoma and its clinicopathological significance.

Detection of the 30-bp deletion and protein expression of Epstein-Barr virus latent membrane protein 1 in extranodal NK/T cell lymphoma and its clinicopathological significance.

Detection of the 30-bp deletion and protein expression of Epstein-Barr virus latent membrane protein 1 in extranodal NK/T cell lymphoma and its clinicopathological significance.

Background: Extranodal natural killer/T-cell lymphoma (ENKTCL) is strongly associated with Epstein-Barr virus (EBV) infection. A 30-base-pair deletion in latent membrane protein 1 (del-LMP1) represents the most common variant in the EBV genome, but its clinicopathological significance in ENKTCL remains poorly elucidated. Some scholars suggested that the LMP1 protein product carrying the deletion gene reduced immunogenicity, allowed it to escape immune surveillance in immunocompetent hosts and confer a survival advantage. Therefore, simultaneous assessment of del-LMP1 and LMP1 protein expression may provide deeper insights into the potential role of LMP1 in ENKTCL tumorigenesis and progression. This study aimed to investigate the impact of del-LMP1 and LMP1 protein expression on the clinicopathological manifestations and prognosis of ENKTCL patients in Wenzhou.

Methods: The clinical and histological characteristics of 42 ENKTCL cases were retrospectively evaluated. Del-LMP1 was detected using a nested polymerase chain reaction and Sanger sequencing, while LMP1 protein expression was assessed via immunohistochemistry. Overall survival (OS) was analyzed.

Results: The LMP1 gene was identified in 37/42 ENKTCL cases, including 2 wild-type (wt-LMP1), 35 del-LMP1 cases. LMP1 protein expression was positive in 21/42 cases. In the control group, the LMP1 gene was detected in 6/10 cases, all of which were del-LMP1, and the LMP1 protein was positive in 4/10 cases. Fisher's exact test revealed no significant differences between the two groups in the LMP1 gene, del-LMP1, or LMP1 protein expression. Additionally, there was no significant correlation between del-LMP1 and LMP1 protein expression and clinical characteristics such as age, gender, or vascular invasion. However, LMP1 protein expression was significantly higher in necrotic tissues (p = 0.030) and younger patients with del-LMP1 (p = 0.004). Survival analysis showed no significant difference in OS between wt-LMP1 and del-LMP1 patients (p = 0.331) or between LMP1-positive and -negative cases (p = 0.592).

Conclusion: In this retrospective cohort, we demonstrated that del-LMP1 might be the predominant variant rather than a phenotype-associated polymorphism in ENKTCL from a molecular epidemiological perspective. Moreover, LMP1 protein expression was associated with necrotic tissue and younger patients with del-LMP1, possibly due to the enhanced pathogenic effect of the mutated LMP1 isolate protein.

求助全文
通过发布文献求助,成功后即可免费获取论文全文。 去求助
来源期刊
Diagnostic Pathology
Diagnostic Pathology 医学-病理学
CiteScore
4.60
自引率
0.00%
发文量
93
审稿时长
1 months
期刊介绍: Diagnostic Pathology is an open access, peer-reviewed, online journal that considers research in surgical and clinical pathology, immunology, and biology, with a special focus on cutting-edge approaches in diagnostic pathology and tissue-based therapy. The journal covers all aspects of surgical pathology, including classic diagnostic pathology, prognosis-related diagnosis (tumor stages, prognosis markers, such as MIB-percentage, hormone receptors, etc.), and therapy-related findings. The journal also focuses on the technological aspects of pathology, including molecular biology techniques, morphometry aspects (stereology, DNA analysis, syntactic structure analysis), communication aspects (telecommunication, virtual microscopy, virtual pathology institutions, etc.), and electronic education and quality assurance (for example interactive publication, on-line references with automated updating, etc.).
×
引用
GB/T 7714-2015
复制
MLA
复制
APA
复制
导出至
BibTeX EndNote RefMan NoteFirst NoteExpress
×
提示
您的信息不完整,为了账户安全,请先补充。
现在去补充
×
提示
您因"违规操作"
具体请查看互助需知
我知道了
×
提示
确定
请完成安全验证×
copy
已复制链接
快去分享给好友吧!
我知道了
右上角分享
点击右上角分享
0
联系我们:info@booksci.cn Book学术提供免费学术资源搜索服务,方便国内外学者检索中英文文献。致力于提供最便捷和优质的服务体验。 Copyright © 2023 布克学术 All rights reserved.
京ICP备2023020795号-1
ghs 京公网安备 11010802042870号
Book学术文献互助
Book学术文献互助群
群 号:604180095
Book学术官方微信