婴儿左侧胆囊和奇莱蒂综合征。

JPGN reports Pub Date : 2024-12-16 eCollection Date: 2025-02-01 DOI:10.1002/jpr3.12153
Laura J Bradstreet, Teresa Chapman, Jonathan O Swanson, Katryn N Furuya
{"title":"婴儿左侧胆囊和奇莱蒂综合征。","authors":"Laura J Bradstreet, Teresa Chapman, Jonathan O Swanson, Katryn N Furuya","doi":"10.1002/jpr3.12153","DOIUrl":null,"url":null,"abstract":"<p><p>Congenital hepatic anomalies may be associated with important intestinal abnormalities, vascular anomalies, or may be asymptomatic and discovered incidentally. Uncommon and rare anatomic liver and biliary disorders include left-sided gallbladder, wandering liver, malrotation of the liver, and hepato-diaphragmatic interposition of the bowel (Chilaiditi syndrome). This report describes an infant with incidentally discovered malpositioning of the gallbladder to the superior surface of the left hepatic lobe, coupled with Chilaiditi syndrome, a configuration that has not been described in the literature. Management considerations are discussed.</p>","PeriodicalId":501015,"journal":{"name":"JPGN reports","volume":"6 1","pages":"52-55"},"PeriodicalIF":0.0000,"publicationDate":"2024-12-16","publicationTypes":"Journal Article","fieldsOfStudy":null,"isOpenAccess":false,"openAccessPdf":"https://www.ncbi.nlm.nih.gov/pmc/articles/PMC11810806/pdf/","citationCount":"0","resultStr":"{\"title\":\"Left-sided gallbladder and Chilaiditi syndrome in an infant.\",\"authors\":\"Laura J Bradstreet, Teresa Chapman, Jonathan O Swanson, Katryn N Furuya\",\"doi\":\"10.1002/jpr3.12153\",\"DOIUrl\":null,\"url\":null,\"abstract\":\"<p><p>Congenital hepatic anomalies may be associated with important intestinal abnormalities, vascular anomalies, or may be asymptomatic and discovered incidentally. Uncommon and rare anatomic liver and biliary disorders include left-sided gallbladder, wandering liver, malrotation of the liver, and hepato-diaphragmatic interposition of the bowel (Chilaiditi syndrome). This report describes an infant with incidentally discovered malpositioning of the gallbladder to the superior surface of the left hepatic lobe, coupled with Chilaiditi syndrome, a configuration that has not been described in the literature. Management considerations are discussed.</p>\",\"PeriodicalId\":501015,\"journal\":{\"name\":\"JPGN reports\",\"volume\":\"6 1\",\"pages\":\"52-55\"},\"PeriodicalIF\":0.0000,\"publicationDate\":\"2024-12-16\",\"publicationTypes\":\"Journal Article\",\"fieldsOfStudy\":null,\"isOpenAccess\":false,\"openAccessPdf\":\"https://www.ncbi.nlm.nih.gov/pmc/articles/PMC11810806/pdf/\",\"citationCount\":\"0\",\"resultStr\":null,\"platform\":\"Semanticscholar\",\"paperid\":null,\"PeriodicalName\":\"JPGN reports\",\"FirstCategoryId\":\"1085\",\"ListUrlMain\":\"https://doi.org/10.1002/jpr3.12153\",\"RegionNum\":0,\"RegionCategory\":null,\"ArticlePicture\":[],\"TitleCN\":null,\"AbstractTextCN\":null,\"PMCID\":null,\"EPubDate\":\"2025/2/1 0:00:00\",\"PubModel\":\"eCollection\",\"JCR\":\"\",\"JCRName\":\"\",\"Score\":null,\"Total\":0}","platform":"Semanticscholar","paperid":null,"PeriodicalName":"JPGN reports","FirstCategoryId":"1085","ListUrlMain":"https://doi.org/10.1002/jpr3.12153","RegionNum":0,"RegionCategory":null,"ArticlePicture":[],"TitleCN":null,"AbstractTextCN":null,"PMCID":null,"EPubDate":"2025/2/1 0:00:00","PubModel":"eCollection","JCR":"","JCRName":"","Score":null,"Total":0}
引用次数: 0

摘要

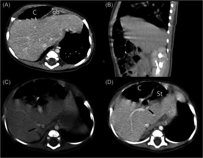
先天性肝脏异常可能与重要的肠道异常、血管异常有关,也可能是无症状的偶然发现的。不常见和罕见的解剖性肝脏和胆道疾病包括左侧胆囊、游离肝、肝脏旋转不良和肝-膈肠介入(Chilaiditi综合征)。本报告描述了一个偶然发现胆囊错位到左肝叶上表面的婴儿,并伴有Chilaiditi综合征,一种未在文献中描述的配置。讨论了管理方面的考虑。
本文章由计算机程序翻译,如有差异,请以英文原文为准。

Left-sided gallbladder and Chilaiditi syndrome in an infant.

Left-sided gallbladder and Chilaiditi syndrome in an infant.

Left-sided gallbladder and Chilaiditi syndrome in an infant.

Congenital hepatic anomalies may be associated with important intestinal abnormalities, vascular anomalies, or may be asymptomatic and discovered incidentally. Uncommon and rare anatomic liver and biliary disorders include left-sided gallbladder, wandering liver, malrotation of the liver, and hepato-diaphragmatic interposition of the bowel (Chilaiditi syndrome). This report describes an infant with incidentally discovered malpositioning of the gallbladder to the superior surface of the left hepatic lobe, coupled with Chilaiditi syndrome, a configuration that has not been described in the literature. Management considerations are discussed.

求助全文
通过发布文献求助,成功后即可免费获取论文全文。 去求助
来源期刊
自引率
0.00%
发文量
0
×
引用
GB/T 7714-2015
复制
MLA
复制
APA
复制
导出至
BibTeX EndNote RefMan NoteFirst NoteExpress
×
提示
您的信息不完整,为了账户安全,请先补充。
现在去补充
×
提示
您因"违规操作"
具体请查看互助需知
我知道了
×
提示
确定
请完成安全验证×
copy
已复制链接
快去分享给好友吧!
我知道了
右上角分享
点击右上角分享
0
联系我们:info@booksci.cn Book学术提供免费学术资源搜索服务,方便国内外学者检索中英文文献。致力于提供最便捷和优质的服务体验。 Copyright © 2023 布克学术 All rights reserved.
京ICP备2023020795号-1
ghs 京公网安备 11010802042870号
Book学术文献互助
Book学术文献互助群
群 号:604180095
Book学术官方微信