遗传性球形红细胞增多症患儿的去铁霉素药物性肝损伤1例报告。

JPGN reports Pub Date : 2024-12-16 eCollection Date: 2025-02-01 DOI:10.1002/jpr3.12155
Siddhant Talwar, Blake Rosenthal, Madhav Vissa, Kayla Cort, Joshua Byers, Sabina Ali
{"title":"遗传性球形红细胞增多症患儿的去铁霉素药物性肝损伤1例报告。","authors":"Siddhant Talwar, Blake Rosenthal, Madhav Vissa, Kayla Cort, Joshua Byers, Sabina Ali","doi":"10.1002/jpr3.12155","DOIUrl":null,"url":null,"abstract":"<p><p>Patients with hereditary spherocytosis (HS) often require red blood cell transfusions for the treatment of hemolytic anemia. Iron overload is a known complication of frequent transfusions. Deferasirox, an oral iron chelator, can cause transient elevations in serum aminotransferase levels. There have been a few cases demonstrating Deferasirox-associated liver injury in patients with sickle cell anemia and thalassemia. In this case report, we present a 13-year-old male with transfusion-dependent HS treated with Deferasirox who presented with jaundice and was found to have evidence of acute hepatocellular injury.</p>","PeriodicalId":501015,"journal":{"name":"JPGN reports","volume":"6 1","pages":"56-59"},"PeriodicalIF":0.0000,"publicationDate":"2024-12-16","publicationTypes":"Journal Article","fieldsOfStudy":null,"isOpenAccess":false,"openAccessPdf":"https://www.ncbi.nlm.nih.gov/pmc/articles/PMC11810811/pdf/","citationCount":"0","resultStr":"{\"title\":\"Drug-induced liver injury from Deferasirox in a pediatric patient with hereditary spherocytosis: A case report.\",\"authors\":\"Siddhant Talwar, Blake Rosenthal, Madhav Vissa, Kayla Cort, Joshua Byers, Sabina Ali\",\"doi\":\"10.1002/jpr3.12155\",\"DOIUrl\":null,\"url\":null,\"abstract\":\"<p><p>Patients with hereditary spherocytosis (HS) often require red blood cell transfusions for the treatment of hemolytic anemia. Iron overload is a known complication of frequent transfusions. Deferasirox, an oral iron chelator, can cause transient elevations in serum aminotransferase levels. There have been a few cases demonstrating Deferasirox-associated liver injury in patients with sickle cell anemia and thalassemia. In this case report, we present a 13-year-old male with transfusion-dependent HS treated with Deferasirox who presented with jaundice and was found to have evidence of acute hepatocellular injury.</p>\",\"PeriodicalId\":501015,\"journal\":{\"name\":\"JPGN reports\",\"volume\":\"6 1\",\"pages\":\"56-59\"},\"PeriodicalIF\":0.0000,\"publicationDate\":\"2024-12-16\",\"publicationTypes\":\"Journal Article\",\"fieldsOfStudy\":null,\"isOpenAccess\":false,\"openAccessPdf\":\"https://www.ncbi.nlm.nih.gov/pmc/articles/PMC11810811/pdf/\",\"citationCount\":\"0\",\"resultStr\":null,\"platform\":\"Semanticscholar\",\"paperid\":null,\"PeriodicalName\":\"JPGN reports\",\"FirstCategoryId\":\"1085\",\"ListUrlMain\":\"https://doi.org/10.1002/jpr3.12155\",\"RegionNum\":0,\"RegionCategory\":null,\"ArticlePicture\":[],\"TitleCN\":null,\"AbstractTextCN\":null,\"PMCID\":null,\"EPubDate\":\"2025/2/1 0:00:00\",\"PubModel\":\"eCollection\",\"JCR\":\"\",\"JCRName\":\"\",\"Score\":null,\"Total\":0}","platform":"Semanticscholar","paperid":null,"PeriodicalName":"JPGN reports","FirstCategoryId":"1085","ListUrlMain":"https://doi.org/10.1002/jpr3.12155","RegionNum":0,"RegionCategory":null,"ArticlePicture":[],"TitleCN":null,"AbstractTextCN":null,"PMCID":null,"EPubDate":"2025/2/1 0:00:00","PubModel":"eCollection","JCR":"","JCRName":"","Score":null,"Total":0}
引用次数: 0

摘要

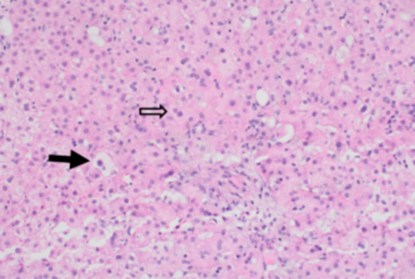
遗传性球形红细胞增多症(HS)患者通常需要红细胞输注治疗溶血性贫血。铁超载是一种已知的频繁输血并发症。一种口服铁螯合剂去铁铁可引起血清转氨酶水平的短暂升高。有一些病例显示镰状细胞性贫血和地中海贫血患者的去铁霉素相关肝损伤。在这个病例报告中,我们提出了一个13岁的男性与输注依赖的HS与去铁宁治疗谁提出了黄疸,并被发现有急性肝细胞损伤的证据。
本文章由计算机程序翻译,如有差异,请以英文原文为准。

Drug-induced liver injury from Deferasirox in a pediatric patient with hereditary spherocytosis: A case report.

Drug-induced liver injury from Deferasirox in a pediatric patient with hereditary spherocytosis: A case report.

Drug-induced liver injury from Deferasirox in a pediatric patient with hereditary spherocytosis: A case report.

Drug-induced liver injury from Deferasirox in a pediatric patient with hereditary spherocytosis: A case report.

Patients with hereditary spherocytosis (HS) often require red blood cell transfusions for the treatment of hemolytic anemia. Iron overload is a known complication of frequent transfusions. Deferasirox, an oral iron chelator, can cause transient elevations in serum aminotransferase levels. There have been a few cases demonstrating Deferasirox-associated liver injury in patients with sickle cell anemia and thalassemia. In this case report, we present a 13-year-old male with transfusion-dependent HS treated with Deferasirox who presented with jaundice and was found to have evidence of acute hepatocellular injury.

求助全文
通过发布文献求助,成功后即可免费获取论文全文。 去求助
来源期刊
自引率
0.00%
发文量
0
×
引用
GB/T 7714-2015
复制
MLA
复制
APA
复制
导出至
BibTeX EndNote RefMan NoteFirst NoteExpress
×
提示
您的信息不完整,为了账户安全,请先补充。
现在去补充
×
提示
您因"违规操作"
具体请查看互助需知
我知道了
×
提示
确定
请完成安全验证×
copy
已复制链接
快去分享给好友吧!
我知道了
右上角分享
点击右上角分享
0
联系我们:info@booksci.cn Book学术提供免费学术资源搜索服务,方便国内外学者检索中英文文献。致力于提供最便捷和优质的服务体验。 Copyright © 2023 布克学术 All rights reserved.
京ICP备2023020795号-1
ghs 京公网安备 11010802042870号
Book学术文献互助
Book学术文献互助群
群 号:604180095
Book学术官方微信