1例2岁儿童军旅结核病:来自低流行地区的病例报告。

Gianluca Dini, Sara Ceccarelli, Barbara Vecchi, Federica Celi
{"title":"1例2岁儿童军旅结核病:来自低流行地区的病例报告。","authors":"Gianluca Dini, Sara Ceccarelli, Barbara Vecchi, Federica Celi","doi":"10.5455/medarh.2024.78.247-249","DOIUrl":null,"url":null,"abstract":"<p><strong>Background: </strong>Tuberculosis (TB) remains the leading cause of death caused by a single infectious agent.</p><p><strong>Objective: </strong>We report a case of miliary TB in a 2-year-old child who presented with a history of constipation, weight loss, marked abdominal distension with hepatosplenomegaly.</p><p><strong>Case presentation: </strong>In children, TB often presents with a wide range of non-specific clinical and radiological manifestations, making diagnosis challenging, particularly in regions with low prevalence. We report the case of a two-year-old female with a history of constipation, weight loss, marked abdominal distension with hepatosplenomegaly, who was later diagnosed with miliary tuberculosis.</p><p><strong>Conclusion: </strong>This case highlights an unusual presentation of miliary TB in a very young child, a demographic in which it is infrequently observed. Miliary TB remains a severe and potentially fatal condition, particularly when diagnosis and treatment are delayed. The diagnosis is usually made based on the clinical presentation, supported by a classic miliary pattern on chest X-ray.</p>","PeriodicalId":94135,"journal":{"name":"Medical archives (Sarajevo, Bosnia and Herzegovina)","volume":"78 3","pages":"247-249"},"PeriodicalIF":0.0000,"publicationDate":"2024-01-01","publicationTypes":"Journal Article","fieldsOfStudy":null,"isOpenAccess":false,"openAccessPdf":"https://www.ncbi.nlm.nih.gov/pmc/articles/PMC11813211/pdf/","citationCount":"0","resultStr":"{\"title\":\"Miliary Tuberculosis in a Two-Year-Old Child: A Case Report from a Low-Prevalence Region.\",\"authors\":\"Gianluca Dini, Sara Ceccarelli, Barbara Vecchi, Federica Celi\",\"doi\":\"10.5455/medarh.2024.78.247-249\",\"DOIUrl\":null,\"url\":null,\"abstract\":\"<p><strong>Background: </strong>Tuberculosis (TB) remains the leading cause of death caused by a single infectious agent.</p><p><strong>Objective: </strong>We report a case of miliary TB in a 2-year-old child who presented with a history of constipation, weight loss, marked abdominal distension with hepatosplenomegaly.</p><p><strong>Case presentation: </strong>In children, TB often presents with a wide range of non-specific clinical and radiological manifestations, making diagnosis challenging, particularly in regions with low prevalence. We report the case of a two-year-old female with a history of constipation, weight loss, marked abdominal distension with hepatosplenomegaly, who was later diagnosed with miliary tuberculosis.</p><p><strong>Conclusion: </strong>This case highlights an unusual presentation of miliary TB in a very young child, a demographic in which it is infrequently observed. Miliary TB remains a severe and potentially fatal condition, particularly when diagnosis and treatment are delayed. The diagnosis is usually made based on the clinical presentation, supported by a classic miliary pattern on chest X-ray.</p>\",\"PeriodicalId\":94135,\"journal\":{\"name\":\"Medical archives (Sarajevo, Bosnia and Herzegovina)\",\"volume\":\"78 3\",\"pages\":\"247-249\"},\"PeriodicalIF\":0.0000,\"publicationDate\":\"2024-01-01\",\"publicationTypes\":\"Journal Article\",\"fieldsOfStudy\":null,\"isOpenAccess\":false,\"openAccessPdf\":\"https://www.ncbi.nlm.nih.gov/pmc/articles/PMC11813211/pdf/\",\"citationCount\":\"0\",\"resultStr\":null,\"platform\":\"Semanticscholar\",\"paperid\":null,\"PeriodicalName\":\"Medical archives (Sarajevo, Bosnia and Herzegovina)\",\"FirstCategoryId\":\"1085\",\"ListUrlMain\":\"https://doi.org/10.5455/medarh.2024.78.247-249\",\"RegionNum\":0,\"RegionCategory\":null,\"ArticlePicture\":[],\"TitleCN\":null,\"AbstractTextCN\":null,\"PMCID\":null,\"EPubDate\":\"\",\"PubModel\":\"\",\"JCR\":\"\",\"JCRName\":\"\",\"Score\":null,\"Total\":0}","platform":"Semanticscholar","paperid":null,"PeriodicalName":"Medical archives (Sarajevo, Bosnia and Herzegovina)","FirstCategoryId":"1085","ListUrlMain":"https://doi.org/10.5455/medarh.2024.78.247-249","RegionNum":0,"RegionCategory":null,"ArticlePicture":[],"TitleCN":null,"AbstractTextCN":null,"PMCID":null,"EPubDate":"","PubModel":"","JCR":"","JCRName":"","Score":null,"Total":0}
引用次数: 0

摘要

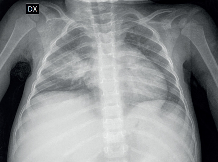
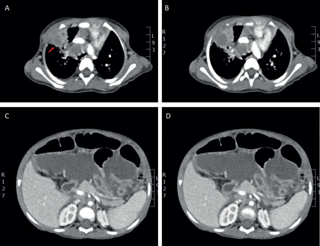
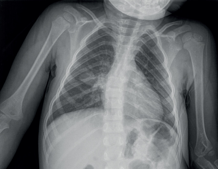
背景:结核病(TB)仍然是由单一传染病引起的主要死亡原因。目的:我们报告一个2岁儿童的军旅结核病例,他有便秘、体重减轻、明显腹胀和肝脾肿大的病史。病例表现:在儿童中,结核病通常表现为广泛的非特异性临床和放射学表现,使诊断具有挑战性,特别是在低患病率地区。我们报告的情况下,两岁的女性便秘,体重减轻,明显腹胀与肝脾肿大的历史,谁后来被诊断为军人结核。结论:这个病例突出了一个非常年幼的儿童的不寻常的军旅结核的表现,这是一个很少观察到的人口统计学。军人结核病仍然是一种严重和可能致命的疾病,特别是在诊断和治疗延误的情况下。诊断通常是基于临床表现,胸部x线片上的典型军型。
本文章由计算机程序翻译,如有差异,请以英文原文为准。

Miliary Tuberculosis in a Two-Year-Old Child: A Case Report from a Low-Prevalence Region.

Miliary Tuberculosis in a Two-Year-Old Child: A Case Report from a Low-Prevalence Region.

Miliary Tuberculosis in a Two-Year-Old Child: A Case Report from a Low-Prevalence Region.

Miliary Tuberculosis in a Two-Year-Old Child: A Case Report from a Low-Prevalence Region.

Background: Tuberculosis (TB) remains the leading cause of death caused by a single infectious agent.

Objective: We report a case of miliary TB in a 2-year-old child who presented with a history of constipation, weight loss, marked abdominal distension with hepatosplenomegaly.

Case presentation: In children, TB often presents with a wide range of non-specific clinical and radiological manifestations, making diagnosis challenging, particularly in regions with low prevalence. We report the case of a two-year-old female with a history of constipation, weight loss, marked abdominal distension with hepatosplenomegaly, who was later diagnosed with miliary tuberculosis.

Conclusion: This case highlights an unusual presentation of miliary TB in a very young child, a demographic in which it is infrequently observed. Miliary TB remains a severe and potentially fatal condition, particularly when diagnosis and treatment are delayed. The diagnosis is usually made based on the clinical presentation, supported by a classic miliary pattern on chest X-ray.

求助全文
通过发布文献求助,成功后即可免费获取论文全文。 去求助
来源期刊
自引率
0.00%
发文量
0
×
引用
GB/T 7714-2015
复制
MLA
复制
APA
复制
导出至
BibTeX EndNote RefMan NoteFirst NoteExpress
×
提示
您的信息不完整,为了账户安全,请先补充。
现在去补充
×
提示
您因"违规操作"
具体请查看互助需知
我知道了
×
提示
确定
请完成安全验证×
copy
已复制链接
快去分享给好友吧!
我知道了
右上角分享
点击右上角分享
0
联系我们:info@booksci.cn Book学术提供免费学术资源搜索服务,方便国内外学者检索中英文文献。致力于提供最便捷和优质的服务体验。 Copyright © 2023 布克学术 All rights reserved.
京ICP备2023020795号-1
ghs 京公网安备 11010802042870号
Book学术文献互助
Book学术文献互助群
群 号:604180095
Book学术官方微信