青年人继发性高血压1例。

Q3 Medicine
Qatar Medical Journal Pub Date : 2024-12-24 eCollection Date: 2024-01-01 DOI:10.5339/qmj.2024.53
Rishabh Baskara Salian, Nidhi Raj, Basavaprabhu Achappa, Suraj Pai, Arfath Ahmed, Svetanshu Sajwan
{"title":"青年人继发性高血压1例。","authors":"Rishabh Baskara Salian, Nidhi Raj, Basavaprabhu Achappa, Suraj Pai, Arfath Ahmed, Svetanshu Sajwan","doi":"10.5339/qmj.2024.53","DOIUrl":null,"url":null,"abstract":"<p><strong>Background: </strong>Secondary hypertension is characterized by an elevated blood pressure greater than 140/90 mmHg, which occurs as a consequence of other diseases. The common etiologies of secondary hypertension include renal parenchymal causes, endocrine disorders, and vascular pathologies like coarctation of the aorta (CoA).</p><p><strong>Case presentation: </strong>A 20-year-old patient was admitted to our hospital as he complained of headache and palpitations since one week. On examination, the blood pressure in his right upper limb was 180/100 mmHg. The volume of the femoral and the dorsalis pedis pulses was found to be reduced bilaterally. The patient was started on antihypertensive medication labetalol 10 mg injection intravenously immediately. After clinical suspicion and a series of investigations, the patient was diagnosed with severe CoA, distal to the origin of the left subclavian artery via computed tomography (CT) aortogram. The patient was managed by coarctoplasty with stenting.</p><p><strong>Discussion: </strong>The most striking examination findings indicative of CoA include decreased lower limb pulses and a blood pressure difference of >20 mmHg across both the lower and upper extremities. It is important to evaluate the blood pressure in both upper and lower limbs to diagnose obstructive vascular diseases.</p><p><strong>Conclusion: </strong>The presence of multiple well-developed collaterals can often mask symptoms and delay the detection of hypertension in patients with CoA. Patients with CoA require regular follow-up to monitor left ventricular outflow tract obstruction, and patients with severe CoA should be treated interventionally to prevent complications including aortic aneurysm and dissection.The patient was managed by coarctoplasty with stenting and recovered well post-surgery.</p>","PeriodicalId":53667,"journal":{"name":"Qatar Medical Journal","volume":"2024 4","pages":"53"},"PeriodicalIF":0.0000,"publicationDate":"2024-12-24","publicationTypes":"Journal Article","fieldsOfStudy":null,"isOpenAccess":false,"openAccessPdf":"https://www.ncbi.nlm.nih.gov/pmc/articles/PMC11814626/pdf/","citationCount":"0","resultStr":"{\"title\":\"A case of a young man with secondary hypertension.\",\"authors\":\"Rishabh Baskara Salian, Nidhi Raj, Basavaprabhu Achappa, Suraj Pai, Arfath Ahmed, Svetanshu Sajwan\",\"doi\":\"10.5339/qmj.2024.53\",\"DOIUrl\":null,\"url\":null,\"abstract\":\"<p><strong>Background: </strong>Secondary hypertension is characterized by an elevated blood pressure greater than 140/90 mmHg, which occurs as a consequence of other diseases. The common etiologies of secondary hypertension include renal parenchymal causes, endocrine disorders, and vascular pathologies like coarctation of the aorta (CoA).</p><p><strong>Case presentation: </strong>A 20-year-old patient was admitted to our hospital as he complained of headache and palpitations since one week. On examination, the blood pressure in his right upper limb was 180/100 mmHg. The volume of the femoral and the dorsalis pedis pulses was found to be reduced bilaterally. The patient was started on antihypertensive medication labetalol 10 mg injection intravenously immediately. After clinical suspicion and a series of investigations, the patient was diagnosed with severe CoA, distal to the origin of the left subclavian artery via computed tomography (CT) aortogram. The patient was managed by coarctoplasty with stenting.</p><p><strong>Discussion: </strong>The most striking examination findings indicative of CoA include decreased lower limb pulses and a blood pressure difference of >20 mmHg across both the lower and upper extremities. It is important to evaluate the blood pressure in both upper and lower limbs to diagnose obstructive vascular diseases.</p><p><strong>Conclusion: </strong>The presence of multiple well-developed collaterals can often mask symptoms and delay the detection of hypertension in patients with CoA. Patients with CoA require regular follow-up to monitor left ventricular outflow tract obstruction, and patients with severe CoA should be treated interventionally to prevent complications including aortic aneurysm and dissection.The patient was managed by coarctoplasty with stenting and recovered well post-surgery.</p>\",\"PeriodicalId\":53667,\"journal\":{\"name\":\"Qatar Medical Journal\",\"volume\":\"2024 4\",\"pages\":\"53\"},\"PeriodicalIF\":0.0000,\"publicationDate\":\"2024-12-24\",\"publicationTypes\":\"Journal Article\",\"fieldsOfStudy\":null,\"isOpenAccess\":false,\"openAccessPdf\":\"https://www.ncbi.nlm.nih.gov/pmc/articles/PMC11814626/pdf/\",\"citationCount\":\"0\",\"resultStr\":null,\"platform\":\"Semanticscholar\",\"paperid\":null,\"PeriodicalName\":\"Qatar Medical Journal\",\"FirstCategoryId\":\"1085\",\"ListUrlMain\":\"https://doi.org/10.5339/qmj.2024.53\",\"RegionNum\":0,\"RegionCategory\":null,\"ArticlePicture\":[],\"TitleCN\":null,\"AbstractTextCN\":null,\"PMCID\":null,\"EPubDate\":\"2024/1/1 0:00:00\",\"PubModel\":\"eCollection\",\"JCR\":\"Q3\",\"JCRName\":\"Medicine\",\"Score\":null,\"Total\":0}","platform":"Semanticscholar","paperid":null,"PeriodicalName":"Qatar Medical Journal","FirstCategoryId":"1085","ListUrlMain":"https://doi.org/10.5339/qmj.2024.53","RegionNum":0,"RegionCategory":null,"ArticlePicture":[],"TitleCN":null,"AbstractTextCN":null,"PMCID":null,"EPubDate":"2024/1/1 0:00:00","PubModel":"eCollection","JCR":"Q3","JCRName":"Medicine","Score":null,"Total":0}
引用次数: 0

摘要

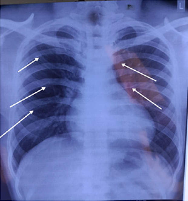
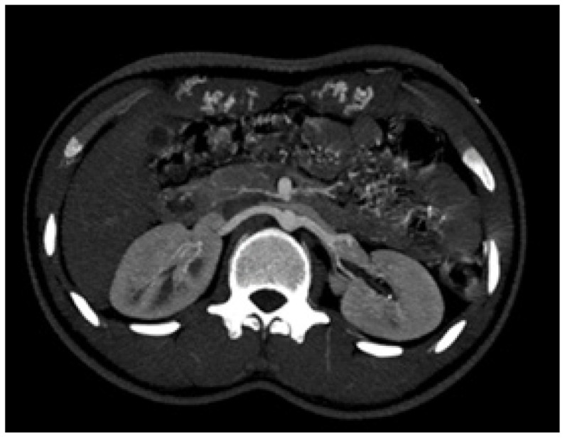
背景:继发性高血压的特征是血压升高超过 140/90 mmHg,它是由其他疾病引起的。继发性高血压的常见病因包括肾实质病因、内分泌失调和血管病变,如主动脉粥样硬化(CoA):一名 20 岁的患者因主诉头痛和心悸一周以来一直未愈而被送入我院。经检查,他的右上肢血压为 180/100 mmHg。双侧股骨搏动和足背搏动均减弱。患者立即开始静脉注射降压药拉贝洛尔 10 毫克。经过临床怀疑和一系列检查后,患者通过计算机断层扫描(CT)主动脉造影被诊断为左锁骨下动脉远端起源严重的CoA。患者接受了支架置入的共动脉成形术:讨论:提示 CoA 的最显著检查结果包括下肢搏动减弱,上下肢血压差>20 mmHg。评估上下肢血压对诊断阻塞性血管疾病非常重要:结论:多条发育良好的瓣膜往往会掩盖 CoA 患者的症状,延误高血压的发现。CoA患者需要定期随访以监测左心室流出道阻塞情况,严重CoA患者应接受介入治疗,以预防主动脉瘤和夹层等并发症。
本文章由计算机程序翻译,如有差异,请以英文原文为准。

A case of a young man with secondary hypertension.

A case of a young man with secondary hypertension.

A case of a young man with secondary hypertension.

A case of a young man with secondary hypertension.

Background: Secondary hypertension is characterized by an elevated blood pressure greater than 140/90 mmHg, which occurs as a consequence of other diseases. The common etiologies of secondary hypertension include renal parenchymal causes, endocrine disorders, and vascular pathologies like coarctation of the aorta (CoA).

Case presentation: A 20-year-old patient was admitted to our hospital as he complained of headache and palpitations since one week. On examination, the blood pressure in his right upper limb was 180/100 mmHg. The volume of the femoral and the dorsalis pedis pulses was found to be reduced bilaterally. The patient was started on antihypertensive medication labetalol 10 mg injection intravenously immediately. After clinical suspicion and a series of investigations, the patient was diagnosed with severe CoA, distal to the origin of the left subclavian artery via computed tomography (CT) aortogram. The patient was managed by coarctoplasty with stenting.

Discussion: The most striking examination findings indicative of CoA include decreased lower limb pulses and a blood pressure difference of >20 mmHg across both the lower and upper extremities. It is important to evaluate the blood pressure in both upper and lower limbs to diagnose obstructive vascular diseases.

Conclusion: The presence of multiple well-developed collaterals can often mask symptoms and delay the detection of hypertension in patients with CoA. Patients with CoA require regular follow-up to monitor left ventricular outflow tract obstruction, and patients with severe CoA should be treated interventionally to prevent complications including aortic aneurysm and dissection.The patient was managed by coarctoplasty with stenting and recovered well post-surgery.

求助全文
通过发布文献求助,成功后即可免费获取论文全文。 去求助
来源期刊
Qatar Medical Journal
Qatar Medical Journal Medicine-Medicine (all)
CiteScore
1.80
自引率
0.00%
发文量
77
审稿时长
6 weeks
×
引用
GB/T 7714-2015
复制
MLA
复制
APA
复制
导出至
BibTeX EndNote RefMan NoteFirst NoteExpress
×
提示
您的信息不完整,为了账户安全,请先补充。
现在去补充
×
提示
您因"违规操作"
具体请查看互助需知
我知道了
×
提示
确定
请完成安全验证×
copy
已复制链接
快去分享给好友吧!
我知道了
右上角分享
点击右上角分享
0
联系我们:info@booksci.cn Book学术提供免费学术资源搜索服务,方便国内外学者检索中英文文献。致力于提供最便捷和优质的服务体验。 Copyright © 2023 布克学术 All rights reserved.
京ICP备2023020795号-1
ghs 京公网安备 11010802042870号
Book学术文献互助
Book学术文献互助群
群 号:604180095
Book学术官方微信