使用光学相干断层成像逆转小梁切除术后杯盘比:一个病例系列。

IF 1.2 Q4 OPHTHALMOLOGY
Saudi Journal of Ophthalmology Pub Date : 2024-12-02 eCollection Date: 2024-10-01 DOI:10.4103/sjopt.sjopt_165_24
Anneleen H J Verhelst, Vincent L E Walgrave, Jan V Eijgen, Sophie Lemmens
{"title":"使用光学相干断层成像逆转小梁切除术后杯盘比:一个病例系列。","authors":"Anneleen H J Verhelst, Vincent L E Walgrave, Jan V Eijgen, Sophie Lemmens","doi":"10.4103/sjopt.sjopt_165_24","DOIUrl":null,"url":null,"abstract":"<p><p>In this case series, we report the reversal of optic disc cupping in three adults following trabeculectomy. Two patients experienced asymptomatic low intraocular pressure (IOP) postoperatively, while the third patient had intermittently elevated IOP for a month. The reversal of cupping, a rare occurrence in adults, was confirmed through optic disc photography and the use of spectral domain-optical coherence tomography (SD-OCT) imaging, which enhances the objectivity of these findings. Despite these changes in cup-to-disc ratio (C/D), there were no significant changes in visual field indices in any of the patients. This series is SD-OCT documented cases of cupping reversal in adults up to 2 years postoperatively.</p>","PeriodicalId":46810,"journal":{"name":"Saudi Journal of Ophthalmology","volume":"38 4","pages":"391-395"},"PeriodicalIF":1.2000,"publicationDate":"2024-12-02","publicationTypes":"Journal Article","fieldsOfStudy":null,"isOpenAccess":false,"openAccessPdf":"https://www.ncbi.nlm.nih.gov/pmc/articles/PMC11811408/pdf/","citationCount":"0","resultStr":"{\"title\":\"Reversal of cup-to-disc ratio following trabeculectomy using optical coherence tomography imaging: A case series.\",\"authors\":\"Anneleen H J Verhelst, Vincent L E Walgrave, Jan V Eijgen, Sophie Lemmens\",\"doi\":\"10.4103/sjopt.sjopt_165_24\",\"DOIUrl\":null,\"url\":null,\"abstract\":\"<p><p>In this case series, we report the reversal of optic disc cupping in three adults following trabeculectomy. Two patients experienced asymptomatic low intraocular pressure (IOP) postoperatively, while the third patient had intermittently elevated IOP for a month. The reversal of cupping, a rare occurrence in adults, was confirmed through optic disc photography and the use of spectral domain-optical coherence tomography (SD-OCT) imaging, which enhances the objectivity of these findings. Despite these changes in cup-to-disc ratio (C/D), there were no significant changes in visual field indices in any of the patients. This series is SD-OCT documented cases of cupping reversal in adults up to 2 years postoperatively.</p>\",\"PeriodicalId\":46810,\"journal\":{\"name\":\"Saudi Journal of Ophthalmology\",\"volume\":\"38 4\",\"pages\":\"391-395\"},\"PeriodicalIF\":1.2000,\"publicationDate\":\"2024-12-02\",\"publicationTypes\":\"Journal Article\",\"fieldsOfStudy\":null,\"isOpenAccess\":false,\"openAccessPdf\":\"https://www.ncbi.nlm.nih.gov/pmc/articles/PMC11811408/pdf/\",\"citationCount\":\"0\",\"resultStr\":null,\"platform\":\"Semanticscholar\",\"paperid\":null,\"PeriodicalName\":\"Saudi Journal of Ophthalmology\",\"FirstCategoryId\":\"1085\",\"ListUrlMain\":\"https://doi.org/10.4103/sjopt.sjopt_165_24\",\"RegionNum\":0,\"RegionCategory\":null,\"ArticlePicture\":[],\"TitleCN\":null,\"AbstractTextCN\":null,\"PMCID\":null,\"EPubDate\":\"2024/10/1 0:00:00\",\"PubModel\":\"eCollection\",\"JCR\":\"Q4\",\"JCRName\":\"OPHTHALMOLOGY\",\"Score\":null,\"Total\":0}","platform":"Semanticscholar","paperid":null,"PeriodicalName":"Saudi Journal of Ophthalmology","FirstCategoryId":"1085","ListUrlMain":"https://doi.org/10.4103/sjopt.sjopt_165_24","RegionNum":0,"RegionCategory":null,"ArticlePicture":[],"TitleCN":null,"AbstractTextCN":null,"PMCID":null,"EPubDate":"2024/10/1 0:00:00","PubModel":"eCollection","JCR":"Q4","JCRName":"OPHTHALMOLOGY","Score":null,"Total":0}
引用次数: 0

摘要

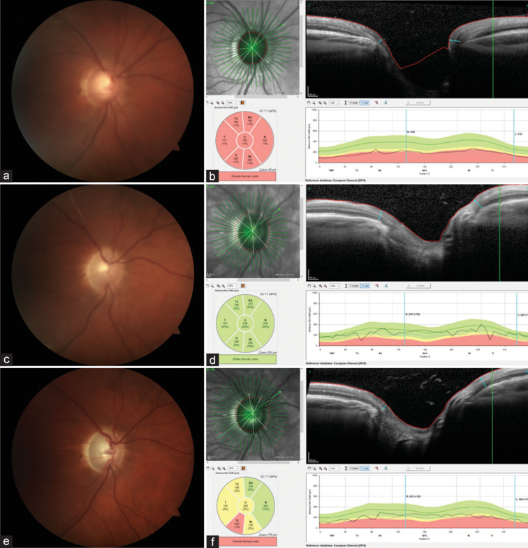
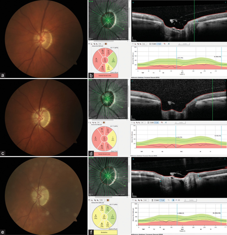
在这个病例系列中,我们报告了三个成人小梁切除术后视盘拔罐的逆转。2例患者术后出现无症状的低眼压(IOP),而第三例患者的间歇性IOP升高持续了一个月。通过视盘摄影和光谱域光学相干断层扫描(SD-OCT)成像证实了拔火罐的逆转,这在成人中很少见,增强了这些发现的客观性。尽管杯盘比(C/D)发生了这些变化,但所有患者的视野指数没有明显变化。这一系列是SD-OCT记录的成年人术后2年拔罐逆转的病例。
本文章由计算机程序翻译,如有差异,请以英文原文为准。

Reversal of cup-to-disc ratio following trabeculectomy using optical coherence tomography imaging: A case series.

Reversal of cup-to-disc ratio following trabeculectomy using optical coherence tomography imaging: A case series.

Reversal of cup-to-disc ratio following trabeculectomy using optical coherence tomography imaging: A case series.

Reversal of cup-to-disc ratio following trabeculectomy using optical coherence tomography imaging: A case series.

In this case series, we report the reversal of optic disc cupping in three adults following trabeculectomy. Two patients experienced asymptomatic low intraocular pressure (IOP) postoperatively, while the third patient had intermittently elevated IOP for a month. The reversal of cupping, a rare occurrence in adults, was confirmed through optic disc photography and the use of spectral domain-optical coherence tomography (SD-OCT) imaging, which enhances the objectivity of these findings. Despite these changes in cup-to-disc ratio (C/D), there were no significant changes in visual field indices in any of the patients. This series is SD-OCT documented cases of cupping reversal in adults up to 2 years postoperatively.

求助全文
通过发布文献求助,成功后即可免费获取论文全文。 去求助
来源期刊
CiteScore
0.90
自引率
0.00%
发文量
79
审稿时长
13 weeks
期刊介绍: Saudi Journal of Ophthalmology is an English language, peer-reviewed scholarly publication in the area of ophthalmology. Saudi Journal of Ophthalmology publishes original papers, clinical studies, reviews and case reports. Saudi Journal of Ophthalmology is the official publication of the Saudi Ophthalmological Society and is published by King Saud University in collaboration with Elsevier and is edited by an international group of eminent researchers.
×
引用
GB/T 7714-2015
复制
MLA
复制
APA
复制
导出至
BibTeX EndNote RefMan NoteFirst NoteExpress
×
提示
您的信息不完整,为了账户安全,请先补充。
现在去补充
×
提示
您因"违规操作"
具体请查看互助需知
我知道了
×
提示
确定
请完成安全验证×
copy
已复制链接
快去分享给好友吧!
我知道了
右上角分享
点击右上角分享
0
联系我们:info@booksci.cn Book学术提供免费学术资源搜索服务,方便国内外学者检索中英文文献。致力于提供最便捷和优质的服务体验。 Copyright © 2023 布克学术 All rights reserved.
京ICP备2023020795号-1
ghs 京公网安备 11010802042870号
Book学术文献互助
Book学术文献互助群
群 号:604180095
Book学术官方微信