有丝分裂后神经元中膜锚定LC3A/B选择性去脂剂的开发。

IF 2.9 3区 医学 Q2 NEUROSCIENCES
Haneul Choi, Sang-Won Park, Deok-Jin Jang, Jin-A Lee
{"title":"有丝分裂后神经元中膜锚定LC3A/B选择性去脂剂的开发。","authors":"Haneul Choi, Sang-Won Park, Deok-Jin Jang, Jin-A Lee","doi":"10.1186/s13041-025-01184-z","DOIUrl":null,"url":null,"abstract":"<p><p>Neuronal autophagy is essential for maintaining protein and organelle turnover, thereby safeguarding neuronal health. LC3, a central autophagy protein, exists in lipidated (LC3-II) and non-lipidated (LC3-I) forms, both critical for neurons due to their sensitivity to metabolic and proteostatic stress. To elucidate the specific roles of membrane-anchored LC3A/B in post-mitotic neurons, we engineered deconjugases with enhanced selectivity for lipidated LC3. By modifying LC3-interacting regions (LIRs) at the deconjugase termini, we significantly improved targeting specificity toward LC3A/B. Deconjugases with N-terminal LIR modifications reduced LC3A/B-associated autophagosomes, highlighting the importance of LIR positioning for specificity. Sequential N-terminal LIR arrangements further refined LC3A/B targeting without affecting GABARAP-associated autophagosomes. Moreover, reducing the hydrophobicity of the α3 helix to limit membrane residence time further improved selectivity. These targeted modifications demonstrate the potential of customized deconjugases to dissect and modulate specific autophagic pathways in neurons, paving the way for novel therapeutic strategies against neurodegenerative diseases associated with autophagy dysregulation.</p>","PeriodicalId":18851,"journal":{"name":"Molecular Brain","volume":"18 1","pages":"11"},"PeriodicalIF":2.9000,"publicationDate":"2025-02-12","publicationTypes":"Journal Article","fieldsOfStudy":null,"isOpenAccess":false,"openAccessPdf":"https://www.ncbi.nlm.nih.gov/pmc/articles/PMC11823225/pdf/","citationCount":"0","resultStr":"{\"title\":\"Development of selective deconjugases for membrane-anchored LC3A/B in post-mitotic neurons.\",\"authors\":\"Haneul Choi, Sang-Won Park, Deok-Jin Jang, Jin-A Lee\",\"doi\":\"10.1186/s13041-025-01184-z\",\"DOIUrl\":null,\"url\":null,\"abstract\":\"<p><p>Neuronal autophagy is essential for maintaining protein and organelle turnover, thereby safeguarding neuronal health. LC3, a central autophagy protein, exists in lipidated (LC3-II) and non-lipidated (LC3-I) forms, both critical for neurons due to their sensitivity to metabolic and proteostatic stress. To elucidate the specific roles of membrane-anchored LC3A/B in post-mitotic neurons, we engineered deconjugases with enhanced selectivity for lipidated LC3. By modifying LC3-interacting regions (LIRs) at the deconjugase termini, we significantly improved targeting specificity toward LC3A/B. Deconjugases with N-terminal LIR modifications reduced LC3A/B-associated autophagosomes, highlighting the importance of LIR positioning for specificity. Sequential N-terminal LIR arrangements further refined LC3A/B targeting without affecting GABARAP-associated autophagosomes. Moreover, reducing the hydrophobicity of the α3 helix to limit membrane residence time further improved selectivity. These targeted modifications demonstrate the potential of customized deconjugases to dissect and modulate specific autophagic pathways in neurons, paving the way for novel therapeutic strategies against neurodegenerative diseases associated with autophagy dysregulation.</p>\",\"PeriodicalId\":18851,\"journal\":{\"name\":\"Molecular Brain\",\"volume\":\"18 1\",\"pages\":\"11\"},\"PeriodicalIF\":2.9000,\"publicationDate\":\"2025-02-12\",\"publicationTypes\":\"Journal Article\",\"fieldsOfStudy\":null,\"isOpenAccess\":false,\"openAccessPdf\":\"https://www.ncbi.nlm.nih.gov/pmc/articles/PMC11823225/pdf/\",\"citationCount\":\"0\",\"resultStr\":null,\"platform\":\"Semanticscholar\",\"paperid\":null,\"PeriodicalName\":\"Molecular Brain\",\"FirstCategoryId\":\"3\",\"ListUrlMain\":\"https://doi.org/10.1186/s13041-025-01184-z\",\"RegionNum\":3,\"RegionCategory\":\"医学\",\"ArticlePicture\":[],\"TitleCN\":null,\"AbstractTextCN\":null,\"PMCID\":null,\"EPubDate\":\"\",\"PubModel\":\"\",\"JCR\":\"Q2\",\"JCRName\":\"NEUROSCIENCES\",\"Score\":null,\"Total\":0}","platform":"Semanticscholar","paperid":null,"PeriodicalName":"Molecular Brain","FirstCategoryId":"3","ListUrlMain":"https://doi.org/10.1186/s13041-025-01184-z","RegionNum":3,"RegionCategory":"医学","ArticlePicture":[],"TitleCN":null,"AbstractTextCN":null,"PMCID":null,"EPubDate":"","PubModel":"","JCR":"Q2","JCRName":"NEUROSCIENCES","Score":null,"Total":0}
引用次数: 0

摘要

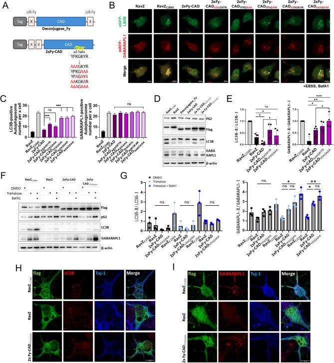
神经元自噬对维持蛋白质和细胞器的更新至关重要,从而保护神经元的健康。LC3是一种中枢自噬蛋白,以脂化(LC3- ii)和非脂化(LC3- i)形式存在,由于它们对代谢和蛋白质静止应激的敏感性,两者对神经元都至关重要。为了阐明膜锚定LC3A/B在有丝分裂后神经元中的具体作用,我们设计了对脂化LC3选择性增强的去脂化剂。通过修饰解配酶末端的lc3相互作用区(LIRs),我们显著提高了对LC3A/B的靶向特异性。n端LIR修饰的去jujugas减少了LC3A/ b相关的自噬体,突出了LIR定位特异性的重要性。顺序的n端LIR排列进一步完善了LC3A/B靶向,而不影响gabarap相关的自噬体。此外,通过降低α3螺旋的疏水性来限制膜的停留时间,进一步提高了选择性。这些有针对性的修饰表明,定制化去jujugas具有解剖和调节神经元中特定自噬通路的潜力,为针对与自噬失调相关的神经退行性疾病的新治疗策略铺平了道路。
本文章由计算机程序翻译,如有差异,请以英文原文为准。

Development of selective deconjugases for membrane-anchored LC3A/B in post-mitotic neurons.

Development of selective deconjugases for membrane-anchored LC3A/B in post-mitotic neurons.

Neuronal autophagy is essential for maintaining protein and organelle turnover, thereby safeguarding neuronal health. LC3, a central autophagy protein, exists in lipidated (LC3-II) and non-lipidated (LC3-I) forms, both critical for neurons due to their sensitivity to metabolic and proteostatic stress. To elucidate the specific roles of membrane-anchored LC3A/B in post-mitotic neurons, we engineered deconjugases with enhanced selectivity for lipidated LC3. By modifying LC3-interacting regions (LIRs) at the deconjugase termini, we significantly improved targeting specificity toward LC3A/B. Deconjugases with N-terminal LIR modifications reduced LC3A/B-associated autophagosomes, highlighting the importance of LIR positioning for specificity. Sequential N-terminal LIR arrangements further refined LC3A/B targeting without affecting GABARAP-associated autophagosomes. Moreover, reducing the hydrophobicity of the α3 helix to limit membrane residence time further improved selectivity. These targeted modifications demonstrate the potential of customized deconjugases to dissect and modulate specific autophagic pathways in neurons, paving the way for novel therapeutic strategies against neurodegenerative diseases associated with autophagy dysregulation.

求助全文
通过发布文献求助,成功后即可免费获取论文全文。 去求助
来源期刊
Molecular Brain
Molecular Brain NEUROSCIENCES-
CiteScore
7.30
自引率
0.00%
发文量
97
审稿时长
>12 weeks
期刊介绍: Molecular Brain is an open access, peer-reviewed journal that considers manuscripts on all aspects of studies on the nervous system at the molecular, cellular, and systems level providing a forum for scientists to communicate their findings. Molecular brain research is a rapidly expanding research field in which integrative approaches at the genetic, molecular, cellular and synaptic levels yield key information about the physiological and pathological brain. These studies involve the use of a wide range of modern techniques in molecular biology, genomics, proteomics, imaging and electrophysiology.
×
引用
GB/T 7714-2015
复制
MLA
复制
APA
复制
导出至
BibTeX EndNote RefMan NoteFirst NoteExpress
×
提示
您的信息不完整,为了账户安全,请先补充。
现在去补充
×
提示
您因"违规操作"
具体请查看互助需知
我知道了
×
提示
确定
请完成安全验证×
copy
已复制链接
快去分享给好友吧!
我知道了
右上角分享
点击右上角分享
0
联系我们:info@booksci.cn Book学术提供免费学术资源搜索服务,方便国内外学者检索中英文文献。致力于提供最便捷和优质的服务体验。 Copyright © 2023 布克学术 All rights reserved.
京ICP备2023020795号-1
ghs 京公网安备 11010802042870号
Book学术文献互助
Book学术文献互助群
群 号:604180095
Book学术官方微信