未成熟上颌中切牙IIIa型牙槽内陷的非手术治疗1例。

Q3 Dentistry
Fatemeh Rezaei, Mahta Fazlyab
{"title":"未成熟上颌中切牙IIIa型牙槽内陷的非手术治疗1例。","authors":"Fatemeh Rezaei, Mahta Fazlyab","doi":"10.22037/iej.v20i1.46440","DOIUrl":null,"url":null,"abstract":"<p><p>Dens invaginatus is a developmental anomaly resulting from the infolding of enamel and dentin into the dental pulp. Oehlers' Type IIIa dens invaginatus poses significant challenges due to its intricate anatomy and frequent association with immature teeth. This case report outlines the nonsurgical management of a nonvital immature maxillary central incisor with Type IIIa dens invaginatus, presenting with a chronic apical abscess and a history of trauma to the associated primary incisor. Treatment involved thorough chemomechanical debridement followed by bio-obturation using calcium-enriched mixture cement. Regular follow-ups revealed complete resolution of the periapical lesion. This case underscores the importance of precise diagnosis, individualized treatment planning, and the application of advanced biomaterials in addressing complex presentations of dens invaginatus. The successful outcome emphasizes the efficacy of nonsurgical techniques in preserving immature teeth while restoring function and aesthetics.</p>","PeriodicalId":14534,"journal":{"name":"Iranian Endodontic Journal","volume":"20 1","pages":"e9"},"PeriodicalIF":0.0000,"publicationDate":"2025-01-01","publicationTypes":"Journal Article","fieldsOfStudy":null,"isOpenAccess":false,"openAccessPdf":"https://www.ncbi.nlm.nih.gov/pmc/articles/PMC11808325/pdf/","citationCount":"0","resultStr":"{\"title\":\"Nonsurgical Endodontic Treatment of Type IIIa Dens Invaginatus in an Immature Maxillary Central Incisor: A Case Report.\",\"authors\":\"Fatemeh Rezaei, Mahta Fazlyab\",\"doi\":\"10.22037/iej.v20i1.46440\",\"DOIUrl\":null,\"url\":null,\"abstract\":\"<p><p>Dens invaginatus is a developmental anomaly resulting from the infolding of enamel and dentin into the dental pulp. Oehlers' Type IIIa dens invaginatus poses significant challenges due to its intricate anatomy and frequent association with immature teeth. This case report outlines the nonsurgical management of a nonvital immature maxillary central incisor with Type IIIa dens invaginatus, presenting with a chronic apical abscess and a history of trauma to the associated primary incisor. Treatment involved thorough chemomechanical debridement followed by bio-obturation using calcium-enriched mixture cement. Regular follow-ups revealed complete resolution of the periapical lesion. This case underscores the importance of precise diagnosis, individualized treatment planning, and the application of advanced biomaterials in addressing complex presentations of dens invaginatus. The successful outcome emphasizes the efficacy of nonsurgical techniques in preserving immature teeth while restoring function and aesthetics.</p>\",\"PeriodicalId\":14534,\"journal\":{\"name\":\"Iranian Endodontic Journal\",\"volume\":\"20 1\",\"pages\":\"e9\"},\"PeriodicalIF\":0.0000,\"publicationDate\":\"2025-01-01\",\"publicationTypes\":\"Journal Article\",\"fieldsOfStudy\":null,\"isOpenAccess\":false,\"openAccessPdf\":\"https://www.ncbi.nlm.nih.gov/pmc/articles/PMC11808325/pdf/\",\"citationCount\":\"0\",\"resultStr\":null,\"platform\":\"Semanticscholar\",\"paperid\":null,\"PeriodicalName\":\"Iranian Endodontic Journal\",\"FirstCategoryId\":\"1085\",\"ListUrlMain\":\"https://doi.org/10.22037/iej.v20i1.46440\",\"RegionNum\":0,\"RegionCategory\":null,\"ArticlePicture\":[],\"TitleCN\":null,\"AbstractTextCN\":null,\"PMCID\":null,\"EPubDate\":\"\",\"PubModel\":\"\",\"JCR\":\"Q3\",\"JCRName\":\"Dentistry\",\"Score\":null,\"Total\":0}","platform":"Semanticscholar","paperid":null,"PeriodicalName":"Iranian Endodontic Journal","FirstCategoryId":"1085","ListUrlMain":"https://doi.org/10.22037/iej.v20i1.46440","RegionNum":0,"RegionCategory":null,"ArticlePicture":[],"TitleCN":null,"AbstractTextCN":null,"PMCID":null,"EPubDate":"","PubModel":"","JCR":"Q3","JCRName":"Dentistry","Score":null,"Total":0}
引用次数: 0

摘要

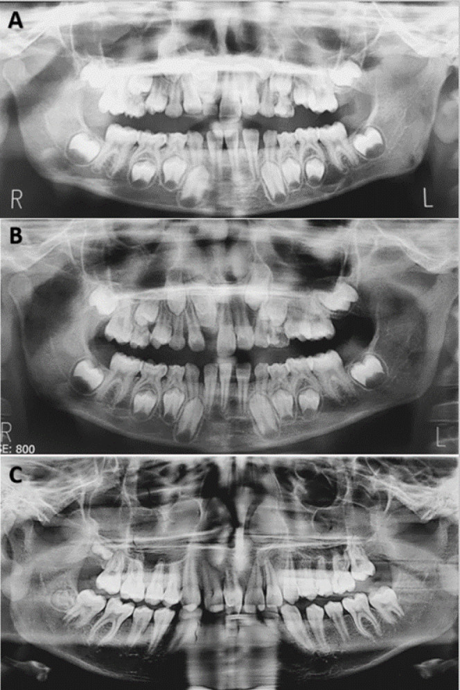
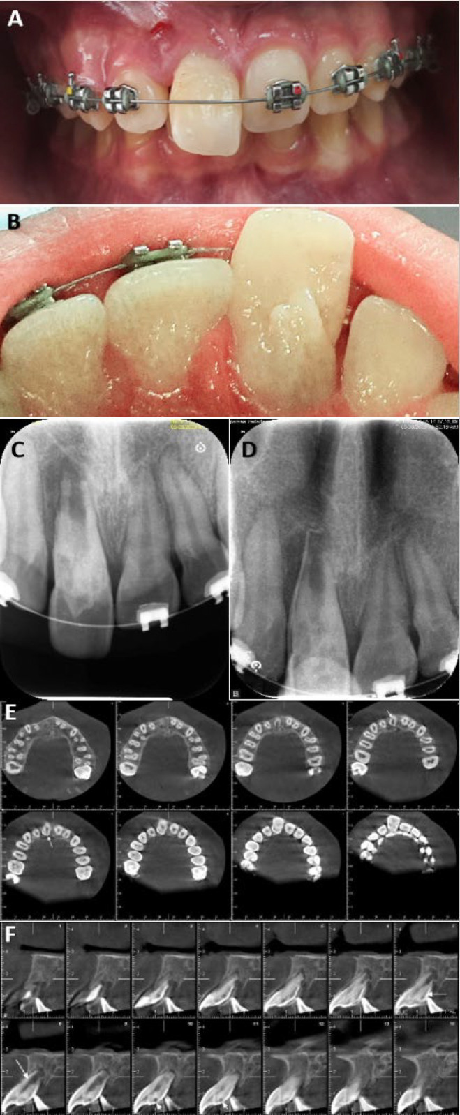
内凹牙是由于牙釉质和牙本质向牙髓内折叠而引起的发育异常。Oehlers的IIIa型牙槽内陷由于其复杂的解剖结构和经常与未成熟牙齿相关而面临重大挑战。本病例报告概述了一个非重要的未成熟上颌中切牙IIIa型牙槽内陷的非手术治疗,表现为慢性根尖脓肿和相关的上切牙创伤史。治疗包括彻底的化学机械清创,然后使用富钙混合水泥进行生物封闭。定期随访发现根尖周围病变完全消退。这个病例强调了精确诊断、个体化治疗计划和应用先进生物材料在解决复杂凹牙表现的重要性。成功的结果强调了非手术技术在保留未成熟牙齿的同时恢复功能和美观的有效性。
本文章由计算机程序翻译,如有差异,请以英文原文为准。

Nonsurgical Endodontic Treatment of Type IIIa Dens Invaginatus in an Immature Maxillary Central Incisor: A Case Report.

Nonsurgical Endodontic Treatment of Type IIIa Dens Invaginatus in an Immature Maxillary Central Incisor: A Case Report.

Nonsurgical Endodontic Treatment of Type IIIa Dens Invaginatus in an Immature Maxillary Central Incisor: A Case Report.

Nonsurgical Endodontic Treatment of Type IIIa Dens Invaginatus in an Immature Maxillary Central Incisor: A Case Report.

Dens invaginatus is a developmental anomaly resulting from the infolding of enamel and dentin into the dental pulp. Oehlers' Type IIIa dens invaginatus poses significant challenges due to its intricate anatomy and frequent association with immature teeth. This case report outlines the nonsurgical management of a nonvital immature maxillary central incisor with Type IIIa dens invaginatus, presenting with a chronic apical abscess and a history of trauma to the associated primary incisor. Treatment involved thorough chemomechanical debridement followed by bio-obturation using calcium-enriched mixture cement. Regular follow-ups revealed complete resolution of the periapical lesion. This case underscores the importance of precise diagnosis, individualized treatment planning, and the application of advanced biomaterials in addressing complex presentations of dens invaginatus. The successful outcome emphasizes the efficacy of nonsurgical techniques in preserving immature teeth while restoring function and aesthetics.

求助全文
通过发布文献求助,成功后即可免费获取论文全文。 去求助
来源期刊
Iranian Endodontic Journal
Iranian Endodontic Journal Dentistry-Dentistry (all)
CiteScore
1.30
自引率
0.00%
发文量
0
审稿时长
12 weeks
期刊介绍: The Iranian Endodontic Journal (IEJ) is an international peer-reviewed biomedical publication, the aim of which is to provide a scientific medium of communication for researchers throughout the globe. IEJ aims to publish the highest quality articles, both clinical and scientific, on all aspects of Endodontics. The journal is an official Journal of the Iranian Center for Endodontic Research (ICER) and the Iranian Association of Endodontists (IAE). The Journal welcomes articles related to the scientific or applied aspects of endodontics e.g. original researches, systematic reviews, meta-analyses, review articles, clinical trials, case series/reports, hypotheses, letters to the editor, etc. From the beginning (i.e. since 2006), the IEJ was the first open access endodontic journal in the world, which gave readers free and instant access to published articles and enabling them faster discovery of the latest endodontic research.
×
引用
GB/T 7714-2015
复制
MLA
复制
APA
复制
导出至
BibTeX EndNote RefMan NoteFirst NoteExpress
×
提示
您的信息不完整,为了账户安全,请先补充。
现在去补充
×
提示
您因"违规操作"
具体请查看互助需知
我知道了
×
提示
确定
请完成安全验证×
copy
已复制链接
快去分享给好友吧!
我知道了
右上角分享
点击右上角分享
0
联系我们:info@booksci.cn Book学术提供免费学术资源搜索服务,方便国内外学者检索中英文文献。致力于提供最便捷和优质的服务体验。 Copyright © 2023 布克学术 All rights reserved.
京ICP备2023020795号-1
ghs 京公网安备 11010802042870号
Book学术文献互助
Book学术文献互助群
群 号:604180095
Book学术官方微信