急性根尖脓肿的处理表现为牙齿的快速挤压:1例报告。

Q3 Dentistry
Masoud Parirokh, Hamed Manochehrifar, Alireza Sarhadi
{"title":"急性根尖脓肿的处理表现为牙齿的快速挤压:1例报告。","authors":"Masoud Parirokh, Hamed Manochehrifar, Alireza Sarhadi","doi":"10.22037/iej.v20i1.46653","DOIUrl":null,"url":null,"abstract":"<p><p>An acute apical abscess (AAA) is a rapid-onset inflammatory condition characterized by spontaneous pain, pus formation, and swelling, often resulting from pulp necrosis. Complications may include systemic manifestations and severe outcomes, such as tooth extrusion. This case report describes a rare instance of AAA causing rapid extrusion of a maxillary central incisor in a 17-year-old female. The patient presented with spontaneous pain and mobility of the extruded tooth, accompanied by localized swelling. Clinical and radiographic evaluations revealed pulp necrosis, an AAA, and apical bone rarefaction. Emergency treatment was initiated, including intracanal medication with calcium hydroxide and temporary splinting of the tooth. Subsequent treatment involved obturation with gutta-percha and sealer, followed by permanent restoration. Radiographic and clinical recalls up to 5 years demonstrated complete periapical healing, normal tooth mobility, and no recurrence of symptoms. Effective management, including timely root canal therapy and splinting, led to successful long-term outcomes. This case underscores the importance of prompt diagnosis and immediate, tailored treatment to manage AAA and prevent severe complications.</p>","PeriodicalId":14534,"journal":{"name":"Iranian Endodontic Journal","volume":"20 1","pages":"e8"},"PeriodicalIF":0.0000,"publicationDate":"2025-01-01","publicationTypes":"Journal Article","fieldsOfStudy":null,"isOpenAccess":false,"openAccessPdf":"https://www.ncbi.nlm.nih.gov/pmc/articles/PMC11808328/pdf/","citationCount":"0","resultStr":"{\"title\":\"Management of Acute Apical Abscess Presenting with Rapid Extrusion of a Tooth: A Case Report.\",\"authors\":\"Masoud Parirokh, Hamed Manochehrifar, Alireza Sarhadi\",\"doi\":\"10.22037/iej.v20i1.46653\",\"DOIUrl\":null,\"url\":null,\"abstract\":\"<p><p>An acute apical abscess (AAA) is a rapid-onset inflammatory condition characterized by spontaneous pain, pus formation, and swelling, often resulting from pulp necrosis. Complications may include systemic manifestations and severe outcomes, such as tooth extrusion. This case report describes a rare instance of AAA causing rapid extrusion of a maxillary central incisor in a 17-year-old female. The patient presented with spontaneous pain and mobility of the extruded tooth, accompanied by localized swelling. Clinical and radiographic evaluations revealed pulp necrosis, an AAA, and apical bone rarefaction. Emergency treatment was initiated, including intracanal medication with calcium hydroxide and temporary splinting of the tooth. Subsequent treatment involved obturation with gutta-percha and sealer, followed by permanent restoration. Radiographic and clinical recalls up to 5 years demonstrated complete periapical healing, normal tooth mobility, and no recurrence of symptoms. Effective management, including timely root canal therapy and splinting, led to successful long-term outcomes. This case underscores the importance of prompt diagnosis and immediate, tailored treatment to manage AAA and prevent severe complications.</p>\",\"PeriodicalId\":14534,\"journal\":{\"name\":\"Iranian Endodontic Journal\",\"volume\":\"20 1\",\"pages\":\"e8\"},\"PeriodicalIF\":0.0000,\"publicationDate\":\"2025-01-01\",\"publicationTypes\":\"Journal Article\",\"fieldsOfStudy\":null,\"isOpenAccess\":false,\"openAccessPdf\":\"https://www.ncbi.nlm.nih.gov/pmc/articles/PMC11808328/pdf/\",\"citationCount\":\"0\",\"resultStr\":null,\"platform\":\"Semanticscholar\",\"paperid\":null,\"PeriodicalName\":\"Iranian Endodontic Journal\",\"FirstCategoryId\":\"1085\",\"ListUrlMain\":\"https://doi.org/10.22037/iej.v20i1.46653\",\"RegionNum\":0,\"RegionCategory\":null,\"ArticlePicture\":[],\"TitleCN\":null,\"AbstractTextCN\":null,\"PMCID\":null,\"EPubDate\":\"\",\"PubModel\":\"\",\"JCR\":\"Q3\",\"JCRName\":\"Dentistry\",\"Score\":null,\"Total\":0}","platform":"Semanticscholar","paperid":null,"PeriodicalName":"Iranian Endodontic Journal","FirstCategoryId":"1085","ListUrlMain":"https://doi.org/10.22037/iej.v20i1.46653","RegionNum":0,"RegionCategory":null,"ArticlePicture":[],"TitleCN":null,"AbstractTextCN":null,"PMCID":null,"EPubDate":"","PubModel":"","JCR":"Q3","JCRName":"Dentistry","Score":null,"Total":0}
引用次数: 0

摘要

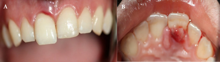
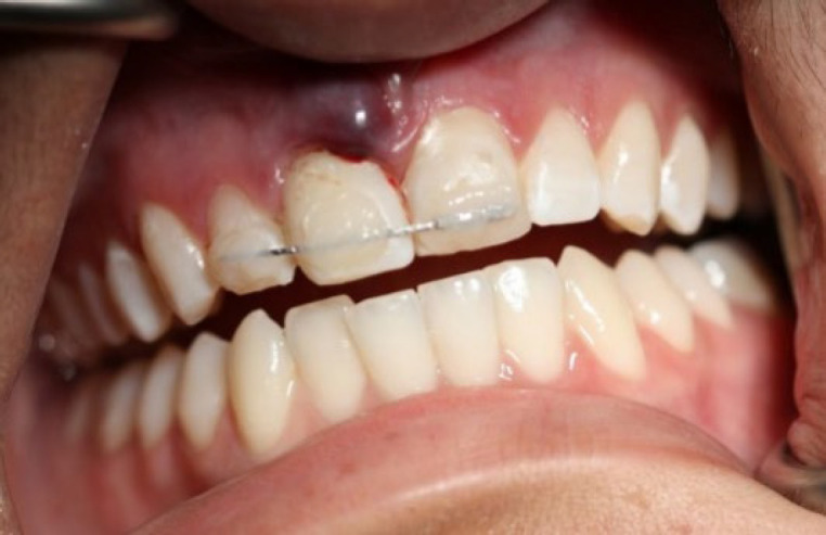
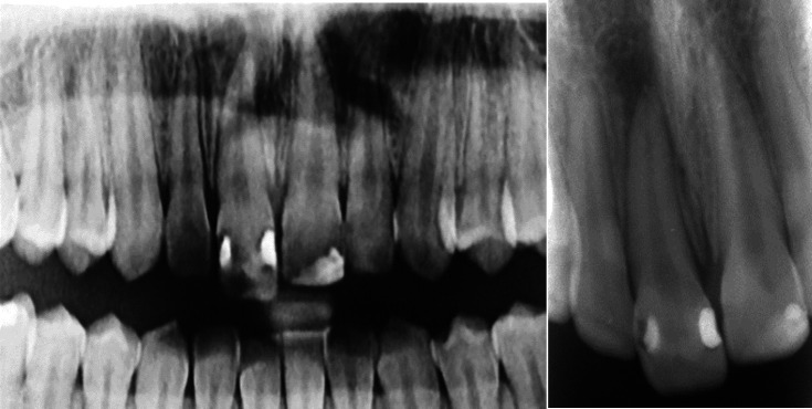
急性根尖脓肿(AAA)是一种以自发疼痛、脓形成和肿胀为特征的快速发作的炎症性疾病,通常由牙髓坏死引起。并发症可能包括全身性表现和严重的后果,如牙齿挤压。本病例报告描述了一例罕见的AAA引起上颌中切牙快速挤压的17岁女性病例。患者表现为自发的疼痛和牙齿的活动,并伴有局部肿胀。临床和影像学评估显示牙髓坏死、AAA级和根尖骨稀疏。紧急治疗开始了,包括用氢氧化钙进行管内药物治疗和暂时的牙齿夹板。随后的治疗包括用杜仲胶和密封剂进行封闭,然后进行永久性修复。5年的影像学和临床资料显示根尖周围完全愈合,牙齿活动正常,无症状复发。有效的管理,包括及时的根管治疗和夹板,导致了成功的长期结果。该病例强调了及时诊断和及时定制治疗的重要性,以管理AAA和预防严重并发症。
本文章由计算机程序翻译,如有差异,请以英文原文为准。

Management of Acute Apical Abscess Presenting with Rapid Extrusion of a Tooth: A Case Report.

Management of Acute Apical Abscess Presenting with Rapid Extrusion of a Tooth: A Case Report.

Management of Acute Apical Abscess Presenting with Rapid Extrusion of a Tooth: A Case Report.

Management of Acute Apical Abscess Presenting with Rapid Extrusion of a Tooth: A Case Report.

An acute apical abscess (AAA) is a rapid-onset inflammatory condition characterized by spontaneous pain, pus formation, and swelling, often resulting from pulp necrosis. Complications may include systemic manifestations and severe outcomes, such as tooth extrusion. This case report describes a rare instance of AAA causing rapid extrusion of a maxillary central incisor in a 17-year-old female. The patient presented with spontaneous pain and mobility of the extruded tooth, accompanied by localized swelling. Clinical and radiographic evaluations revealed pulp necrosis, an AAA, and apical bone rarefaction. Emergency treatment was initiated, including intracanal medication with calcium hydroxide and temporary splinting of the tooth. Subsequent treatment involved obturation with gutta-percha and sealer, followed by permanent restoration. Radiographic and clinical recalls up to 5 years demonstrated complete periapical healing, normal tooth mobility, and no recurrence of symptoms. Effective management, including timely root canal therapy and splinting, led to successful long-term outcomes. This case underscores the importance of prompt diagnosis and immediate, tailored treatment to manage AAA and prevent severe complications.

求助全文
通过发布文献求助,成功后即可免费获取论文全文。 去求助
来源期刊
Iranian Endodontic Journal
Iranian Endodontic Journal Dentistry-Dentistry (all)
CiteScore
1.30
自引率
0.00%
发文量
0
审稿时长
12 weeks
期刊介绍: The Iranian Endodontic Journal (IEJ) is an international peer-reviewed biomedical publication, the aim of which is to provide a scientific medium of communication for researchers throughout the globe. IEJ aims to publish the highest quality articles, both clinical and scientific, on all aspects of Endodontics. The journal is an official Journal of the Iranian Center for Endodontic Research (ICER) and the Iranian Association of Endodontists (IAE). The Journal welcomes articles related to the scientific or applied aspects of endodontics e.g. original researches, systematic reviews, meta-analyses, review articles, clinical trials, case series/reports, hypotheses, letters to the editor, etc. From the beginning (i.e. since 2006), the IEJ was the first open access endodontic journal in the world, which gave readers free and instant access to published articles and enabling them faster discovery of the latest endodontic research.
×
引用
GB/T 7714-2015
复制
MLA
复制
APA
复制
导出至
BibTeX EndNote RefMan NoteFirst NoteExpress
×
提示
您的信息不完整,为了账户安全,请先补充。
现在去补充
×
提示
您因"违规操作"
具体请查看互助需知
我知道了
×
提示
确定
请完成安全验证×
copy
已复制链接
快去分享给好友吧!
我知道了
右上角分享
点击右上角分享
0
联系我们:info@booksci.cn Book学术提供免费学术资源搜索服务,方便国内外学者检索中英文文献。致力于提供最便捷和优质的服务体验。 Copyright © 2023 布克学术 All rights reserved.
京ICP备2023020795号-1
ghs 京公网安备 11010802042870号
Book学术文献互助
Book学术文献互助群
群 号:604180095
Book学术官方微信