颈部硬膜样癌的临床病理诊断:一种罕见的肺癌表现。

IF 2.3 3区 医学 Q2 PATHOLOGY
Yue Lin, Shulan Zhou, Wei He
{"title":"颈部硬膜样癌的临床病理诊断:一种罕见的肺癌表现。","authors":"Yue Lin, Shulan Zhou, Wei He","doi":"10.1186/s13000-025-01611-8","DOIUrl":null,"url":null,"abstract":"<p><strong>Background: </strong>Carcinoma en cuirasse is mostly reported in breast cancer. It rarely originates from other visceral tumors such as lung cancer. In this report, we highlight the importance of skin biopsy not to make a misdiagnosis or missed diagnosis.</p><p><strong>Case presentation: </strong>We report a 51-year-old male, diagnosed with lung adenocarcinoma 2 years ago, presenting as swelling and hardening of the face and neck. The patient was diagnosed with carcinoma en cuirasse from lung cancer and was transferred to the oncology department for further management. Unfortunately, the patient gave up treatment after 3 months and died after 1 year of follow-up.</p><p><strong>Conclusion: </strong>In patients with tumors that present as swelling and hardening of the skin, the possibility of skin metastases should be considered, and the necessity of early skin biopsy should be taken into account.</p>","PeriodicalId":11237,"journal":{"name":"Diagnostic Pathology","volume":"20 1","pages":"16"},"PeriodicalIF":2.3000,"publicationDate":"2025-02-11","publicationTypes":"Journal Article","fieldsOfStudy":null,"isOpenAccess":false,"openAccessPdf":"https://www.ncbi.nlm.nih.gov/pmc/articles/PMC11817298/pdf/","citationCount":"0","resultStr":"{\"title\":\"Clinicopathological diagnosis of morphea-like carcinoma en cuirasse in the neck: a rare presentation of lung cancer.\",\"authors\":\"Yue Lin, Shulan Zhou, Wei He\",\"doi\":\"10.1186/s13000-025-01611-8\",\"DOIUrl\":null,\"url\":null,\"abstract\":\"<p><strong>Background: </strong>Carcinoma en cuirasse is mostly reported in breast cancer. It rarely originates from other visceral tumors such as lung cancer. In this report, we highlight the importance of skin biopsy not to make a misdiagnosis or missed diagnosis.</p><p><strong>Case presentation: </strong>We report a 51-year-old male, diagnosed with lung adenocarcinoma 2 years ago, presenting as swelling and hardening of the face and neck. The patient was diagnosed with carcinoma en cuirasse from lung cancer and was transferred to the oncology department for further management. Unfortunately, the patient gave up treatment after 3 months and died after 1 year of follow-up.</p><p><strong>Conclusion: </strong>In patients with tumors that present as swelling and hardening of the skin, the possibility of skin metastases should be considered, and the necessity of early skin biopsy should be taken into account.</p>\",\"PeriodicalId\":11237,\"journal\":{\"name\":\"Diagnostic Pathology\",\"volume\":\"20 1\",\"pages\":\"16\"},\"PeriodicalIF\":2.3000,\"publicationDate\":\"2025-02-11\",\"publicationTypes\":\"Journal Article\",\"fieldsOfStudy\":null,\"isOpenAccess\":false,\"openAccessPdf\":\"https://www.ncbi.nlm.nih.gov/pmc/articles/PMC11817298/pdf/\",\"citationCount\":\"0\",\"resultStr\":null,\"platform\":\"Semanticscholar\",\"paperid\":null,\"PeriodicalName\":\"Diagnostic Pathology\",\"FirstCategoryId\":\"3\",\"ListUrlMain\":\"https://doi.org/10.1186/s13000-025-01611-8\",\"RegionNum\":3,\"RegionCategory\":\"医学\",\"ArticlePicture\":[],\"TitleCN\":null,\"AbstractTextCN\":null,\"PMCID\":null,\"EPubDate\":\"\",\"PubModel\":\"\",\"JCR\":\"Q2\",\"JCRName\":\"PATHOLOGY\",\"Score\":null,\"Total\":0}","platform":"Semanticscholar","paperid":null,"PeriodicalName":"Diagnostic Pathology","FirstCategoryId":"3","ListUrlMain":"https://doi.org/10.1186/s13000-025-01611-8","RegionNum":3,"RegionCategory":"医学","ArticlePicture":[],"TitleCN":null,"AbstractTextCN":null,"PMCID":null,"EPubDate":"","PubModel":"","JCR":"Q2","JCRName":"PATHOLOGY","Score":null,"Total":0}
引用次数: 0

摘要

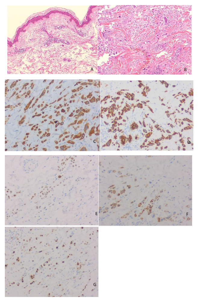
背景:胸膜癌多见于乳腺癌。它很少起源于其他内脏肿瘤,如肺癌。在本报告中,我们强调皮肤活检的重要性,以免误诊或漏诊。病例介绍:我们报告一位51岁男性,2年前诊断为肺腺癌,表现为面部和颈部肿胀和硬化。该患者被诊断为肺癌的腹膜癌,并被转移到肿瘤科进一步治疗。不幸的是,患者3个月后放弃治疗,随访1年后死亡。结论:肿瘤表现为皮肤肿胀硬化的患者,应考虑皮肤转移的可能性,并考虑早期皮肤活检的必要性。
本文章由计算机程序翻译,如有差异,请以英文原文为准。

Clinicopathological diagnosis of morphea-like carcinoma en cuirasse in the neck: a rare presentation of lung cancer.

Clinicopathological diagnosis of morphea-like carcinoma en cuirasse in the neck: a rare presentation of lung cancer.

Clinicopathological diagnosis of morphea-like carcinoma en cuirasse in the neck: a rare presentation of lung cancer.

Clinicopathological diagnosis of morphea-like carcinoma en cuirasse in the neck: a rare presentation of lung cancer.

Background: Carcinoma en cuirasse is mostly reported in breast cancer. It rarely originates from other visceral tumors such as lung cancer. In this report, we highlight the importance of skin biopsy not to make a misdiagnosis or missed diagnosis.

Case presentation: We report a 51-year-old male, diagnosed with lung adenocarcinoma 2 years ago, presenting as swelling and hardening of the face and neck. The patient was diagnosed with carcinoma en cuirasse from lung cancer and was transferred to the oncology department for further management. Unfortunately, the patient gave up treatment after 3 months and died after 1 year of follow-up.

Conclusion: In patients with tumors that present as swelling and hardening of the skin, the possibility of skin metastases should be considered, and the necessity of early skin biopsy should be taken into account.

求助全文
通过发布文献求助,成功后即可免费获取论文全文。 去求助
来源期刊
Diagnostic Pathology
Diagnostic Pathology 医学-病理学
CiteScore
4.60
自引率
0.00%
发文量
93
审稿时长
1 months
期刊介绍: Diagnostic Pathology is an open access, peer-reviewed, online journal that considers research in surgical and clinical pathology, immunology, and biology, with a special focus on cutting-edge approaches in diagnostic pathology and tissue-based therapy. The journal covers all aspects of surgical pathology, including classic diagnostic pathology, prognosis-related diagnosis (tumor stages, prognosis markers, such as MIB-percentage, hormone receptors, etc.), and therapy-related findings. The journal also focuses on the technological aspects of pathology, including molecular biology techniques, morphometry aspects (stereology, DNA analysis, syntactic structure analysis), communication aspects (telecommunication, virtual microscopy, virtual pathology institutions, etc.), and electronic education and quality assurance (for example interactive publication, on-line references with automated updating, etc.).
×
引用
GB/T 7714-2015
复制
MLA
复制
APA
复制
导出至
BibTeX EndNote RefMan NoteFirst NoteExpress
×
提示
您的信息不完整,为了账户安全,请先补充。
现在去补充
×
提示
您因"违规操作"
具体请查看互助需知
我知道了
×
提示
确定
请完成安全验证×
copy
已复制链接
快去分享给好友吧!
我知道了
右上角分享
点击右上角分享
0
联系我们:info@booksci.cn Book学术提供免费学术资源搜索服务,方便国内外学者检索中英文文献。致力于提供最便捷和优质的服务体验。 Copyright © 2023 布克学术 All rights reserved.
京ICP备2023020795号-1
ghs 京公网安备 11010802042870号
Book学术文献互助
Book学术文献互助群
群 号:604180095
Book学术官方微信