超低分割新辅助放疗治疗腹膜后边缘高危肉瘤的可行性及安全性研究。

Radiation oncology journal Pub Date : 2025-03-01 Epub Date: 2025-01-15 DOI:10.3857/roj.2024.00297
Ru-Xin Wong, Valerie Shi Wen Yang, Clarame Shulyn Chia, Wen Shen Looi, Wen Long Nei, Chin-Ann Johnny Ong
{"title":"超低分割新辅助放疗治疗腹膜后边缘高危肉瘤的可行性及安全性研究。","authors":"Ru-Xin Wong, Valerie Shi Wen Yang, Clarame Shulyn Chia, Wen Shen Looi, Wen Long Nei, Chin-Ann Johnny Ong","doi":"10.3857/roj.2024.00297","DOIUrl":null,"url":null,"abstract":"<p><strong>Purpose: </strong>Retroperitoneal sarcomas (RPS) are rare tumors that present unique challenges, often due to late presentation, and the proximity of critical organs makes complete surgical resection challenging. This study aimed to assess the feasibility of neoadjuvant short-course radiotherapy (SCRT) targeting margins-at-risk and to assess its potential impact on outcomes.</p><p><strong>Materials and methods: </strong>This is a single-center, prospective, non-randomized feasibility study. SCRT was administered via image-guided volumetric modulated arc therapy, consisting of 5 fractions of daily radiotherapy followed by immediate surgery. As a starting dose, patients were prescribed 25 Gy in 5 fractions. For the escalation stage, patients were prescribed 30 Gy in 5 fractions. Only the presumed threatened surgical margins were delineated for large tumors.</p><p><strong>Results: </strong>Patients with either primary or recurrent RPS were recruited. Eight patients underwent SCRT but one patient did not have a resection as planned. Seven patients underwent surgical resection, of whom one passed away 3 months postoperative from a cardiac event. After a median follow-up of 20.5 months for the six postoperative survivors, there were no overt long-term toxicities and one patient relapsed out-of-radiotherapy-field.</p><p><strong>Conclusion: </strong>SCRT to RPS with a margin boost followed by immediate surgery is worth investigating. A starting dose of 30 Gy in 5 fractions is recommended for further studies. Longer-term follow-up is necessary.</p>","PeriodicalId":94184,"journal":{"name":"Radiation oncology journal","volume":" ","pages":"6-12"},"PeriodicalIF":0.0000,"publicationDate":"2025-03-01","publicationTypes":"Journal Article","fieldsOfStudy":null,"isOpenAccess":false,"openAccessPdf":"https://www.ncbi.nlm.nih.gov/pmc/articles/PMC12010885/pdf/","citationCount":"0","resultStr":"{\"title\":\"Feasibility and safety study of ultra-hypofractionated neoadjuvant radiotherapy to margins-at-risk in retroperitoneal sarcoma.\",\"authors\":\"Ru-Xin Wong, Valerie Shi Wen Yang, Clarame Shulyn Chia, Wen Shen Looi, Wen Long Nei, Chin-Ann Johnny Ong\",\"doi\":\"10.3857/roj.2024.00297\",\"DOIUrl\":null,\"url\":null,\"abstract\":\"<p><strong>Purpose: </strong>Retroperitoneal sarcomas (RPS) are rare tumors that present unique challenges, often due to late presentation, and the proximity of critical organs makes complete surgical resection challenging. This study aimed to assess the feasibility of neoadjuvant short-course radiotherapy (SCRT) targeting margins-at-risk and to assess its potential impact on outcomes.</p><p><strong>Materials and methods: </strong>This is a single-center, prospective, non-randomized feasibility study. SCRT was administered via image-guided volumetric modulated arc therapy, consisting of 5 fractions of daily radiotherapy followed by immediate surgery. As a starting dose, patients were prescribed 25 Gy in 5 fractions. For the escalation stage, patients were prescribed 30 Gy in 5 fractions. Only the presumed threatened surgical margins were delineated for large tumors.</p><p><strong>Results: </strong>Patients with either primary or recurrent RPS were recruited. Eight patients underwent SCRT but one patient did not have a resection as planned. Seven patients underwent surgical resection, of whom one passed away 3 months postoperative from a cardiac event. After a median follow-up of 20.5 months for the six postoperative survivors, there were no overt long-term toxicities and one patient relapsed out-of-radiotherapy-field.</p><p><strong>Conclusion: </strong>SCRT to RPS with a margin boost followed by immediate surgery is worth investigating. A starting dose of 30 Gy in 5 fractions is recommended for further studies. Longer-term follow-up is necessary.</p>\",\"PeriodicalId\":94184,\"journal\":{\"name\":\"Radiation oncology journal\",\"volume\":\" \",\"pages\":\"6-12\"},\"PeriodicalIF\":0.0000,\"publicationDate\":\"2025-03-01\",\"publicationTypes\":\"Journal Article\",\"fieldsOfStudy\":null,\"isOpenAccess\":false,\"openAccessPdf\":\"https://www.ncbi.nlm.nih.gov/pmc/articles/PMC12010885/pdf/\",\"citationCount\":\"0\",\"resultStr\":null,\"platform\":\"Semanticscholar\",\"paperid\":null,\"PeriodicalName\":\"Radiation oncology journal\",\"FirstCategoryId\":\"1085\",\"ListUrlMain\":\"https://doi.org/10.3857/roj.2024.00297\",\"RegionNum\":0,\"RegionCategory\":null,\"ArticlePicture\":[],\"TitleCN\":null,\"AbstractTextCN\":null,\"PMCID\":null,\"EPubDate\":\"2025/1/15 0:00:00\",\"PubModel\":\"Epub\",\"JCR\":\"\",\"JCRName\":\"\",\"Score\":null,\"Total\":0}","platform":"Semanticscholar","paperid":null,"PeriodicalName":"Radiation oncology journal","FirstCategoryId":"1085","ListUrlMain":"https://doi.org/10.3857/roj.2024.00297","RegionNum":0,"RegionCategory":null,"ArticlePicture":[],"TitleCN":null,"AbstractTextCN":null,"PMCID":null,"EPubDate":"2025/1/15 0:00:00","PubModel":"Epub","JCR":"","JCRName":"","Score":null,"Total":0}
引用次数: 0

摘要

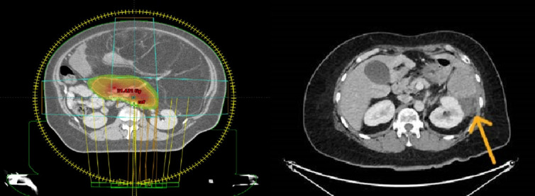
目的:腹膜后肉瘤(RPS)是一种罕见的肿瘤,通常由于出现较晚而具有独特的挑战,并且靠近关键器官使得完全手术切除具有挑战性。本研究旨在评估针对边缘高危人群的新辅助短程放疗(SCRT)的可行性,并评估其对预后的潜在影响。材料和方法:这是一项单中心、前瞻性、非随机的可行性研究。SCRT通过图像引导的体积调制弧线治疗进行,包括5次每日放疗,随后立即手术。起始剂量为25 Gy,分5次给药。在升级阶段,患者按5次给予30 Gy剂量。对于大的肿瘤,只划定了假定的威胁手术边缘。结果:招募了原发性或复发性RPS患者。8名患者接受了SCRT,但1名患者没有按计划切除。7例患者接受手术切除,其中1例术后3个月因心脏事件去世。6名术后幸存者中位随访20.5个月后,无明显的长期毒性,1名患者复发放射治疗场外。结论:SCRT到RPS加切缘提升后立即手术是值得研究的。建议在进一步的研究中,起始剂量为30戈瑞,分5份。长期随访是必要的。
本文章由计算机程序翻译,如有差异,请以英文原文为准。

Feasibility and safety study of ultra-hypofractionated neoadjuvant radiotherapy to margins-at-risk in retroperitoneal sarcoma.

Feasibility and safety study of ultra-hypofractionated neoadjuvant radiotherapy to margins-at-risk in retroperitoneal sarcoma.

Feasibility and safety study of ultra-hypofractionated neoadjuvant radiotherapy to margins-at-risk in retroperitoneal sarcoma.

Purpose: Retroperitoneal sarcomas (RPS) are rare tumors that present unique challenges, often due to late presentation, and the proximity of critical organs makes complete surgical resection challenging. This study aimed to assess the feasibility of neoadjuvant short-course radiotherapy (SCRT) targeting margins-at-risk and to assess its potential impact on outcomes.

Materials and methods: This is a single-center, prospective, non-randomized feasibility study. SCRT was administered via image-guided volumetric modulated arc therapy, consisting of 5 fractions of daily radiotherapy followed by immediate surgery. As a starting dose, patients were prescribed 25 Gy in 5 fractions. For the escalation stage, patients were prescribed 30 Gy in 5 fractions. Only the presumed threatened surgical margins were delineated for large tumors.

Results: Patients with either primary or recurrent RPS were recruited. Eight patients underwent SCRT but one patient did not have a resection as planned. Seven patients underwent surgical resection, of whom one passed away 3 months postoperative from a cardiac event. After a median follow-up of 20.5 months for the six postoperative survivors, there were no overt long-term toxicities and one patient relapsed out-of-radiotherapy-field.

Conclusion: SCRT to RPS with a margin boost followed by immediate surgery is worth investigating. A starting dose of 30 Gy in 5 fractions is recommended for further studies. Longer-term follow-up is necessary.

求助全文
通过发布文献求助,成功后即可免费获取论文全文。 去求助
来源期刊
CiteScore
3.80
自引率
0.00%
发文量
0
×
引用
GB/T 7714-2015
复制
MLA
复制
APA
复制
导出至
BibTeX EndNote RefMan NoteFirst NoteExpress
×
提示
您的信息不完整,为了账户安全,请先补充。
现在去补充
×
提示
您因"违规操作"
具体请查看互助需知
我知道了
×
提示
确定
请完成安全验证×
copy
已复制链接
快去分享给好友吧!
我知道了
右上角分享
点击右上角分享
0
联系我们:info@booksci.cn Book学术提供免费学术资源搜索服务,方便国内外学者检索中英文文献。致力于提供最便捷和优质的服务体验。 Copyright © 2023 布克学术 All rights reserved.
京ICP备2023020795号-1
ghs 京公网安备 11010802042870号
Book学术文献互助
Book学术文献互助群
群 号:604180095
Book学术官方微信