慢性肾脏病患者脑定量易感性图的局部高铁沉积与认知能力下降相关

IF 2.4 3区 医学 Q2 NEUROIMAGING
Brain Imaging and Behavior Pub Date : 2025-04-01 Epub Date: 2025-02-11 DOI:10.1007/s11682-025-00976-0
Yuan Li, Yuhan Jiang, Bingbing Gao, Na Liu, Yukun Zhang, Huiling Zhou, Qingwei Song, Nan Wang, Yanwei Miao
{"title":"慢性肾脏病患者脑定量易感性图的局部高铁沉积与认知能力下降相关","authors":"Yuan Li, Yuhan Jiang, Bingbing Gao, Na Liu, Yukun Zhang, Huiling Zhou, Qingwei Song, Nan Wang, Yanwei Miao","doi":"10.1007/s11682-025-00976-0","DOIUrl":null,"url":null,"abstract":"<p><p>This study aimed to evaluate changes in gray matter nuclei iron deposition in chronic kidney disease (CKD) patients using the quantitative susceptibility mapping (QSM) threshold method, and analyze the relationship between brain iron levels and cognitive function. A total of fifty-three CKD patients were prospectively recruited, comprising 35 hemodialysis (HD, 57.54 ± 10.42 years, 21 males) and 18 non-hemodialysis (NHD, 55.06 ± 11.47 years, 10 males ), and were compared to 43 healthy controls (HC, 55.67 ± 7.79 years, 18 males). All participants underwent clinical assessments, neuropsychological tests, and QSM scans. The mean magnetic susceptibility value (MSV) and volume of the whole nuclei (MSV<sub>M</sub>, V<sub>M</sub>) and high iron region (MSV<sub>RII</sub>, V<sub>RII</sub>) were measured. Correlations between QSM data, neuropsychological scores, and clinical variables in HD group were analyzed. Linear regression analysis was performed to explore the effect of iron deposition on cognition and emotional well-being in HD group. A statistically significant P-value was set at 0.05. HD patients exhibited higher MSV<sub>M</sub> in the right red nucleus (RN) compared to HCs (P = 0.006). Additionally, significant differences in the MSV<sub>RII</sub> were observed in the left caudate nucleus (CN), bilateral putamen (Put), and right RN among the three groups (all P = 0.027, FDR-corrected). MSV<sub>RII</sub> of the left Put was positively correlated with creatinine and uric acid levels, while the MSV<sub>RII</sub> of the right Put was negatively correlated with mean corpuscular hemoglobin and mean corpuscular hemoglobin concentration. Regression analysis revealed that iron deposition in left CN was independently associated with depression, while iron deposition in left Put and right RN were independently positively associated with delayed recall performance. Conversely, iron deposition in bilateral Put and right RN were negatively associated with orientation ability, after controlling for age, sex, years of education and duration of dialysis. Brain iron deposition is often excessive and uneven in CKD patients, particularly those undergoing hemodialysis. Assessing regional high-iron deposition can provide valuable insights into the distribution of iron, which is associated with cognitive dysfunction and emotional disorders.</p>","PeriodicalId":9192,"journal":{"name":"Brain Imaging and Behavior","volume":" ","pages":"395-406"},"PeriodicalIF":2.4000,"publicationDate":"2025-04-01","publicationTypes":"Journal Article","fieldsOfStudy":null,"isOpenAccess":false,"openAccessPdf":"https://www.ncbi.nlm.nih.gov/pmc/articles/PMC11978685/pdf/","citationCount":"0","resultStr":"{\"title\":\"Regional high iron deposition on brain quantitative susceptibility mapping correlates with cognitive decline in chronic kidney disease patients.\",\"authors\":\"Yuan Li, Yuhan Jiang, Bingbing Gao, Na Liu, Yukun Zhang, Huiling Zhou, Qingwei Song, Nan Wang, Yanwei Miao\",\"doi\":\"10.1007/s11682-025-00976-0\",\"DOIUrl\":null,\"url\":null,\"abstract\":\"<p><p>This study aimed to evaluate changes in gray matter nuclei iron deposition in chronic kidney disease (CKD) patients using the quantitative susceptibility mapping (QSM) threshold method, and analyze the relationship between brain iron levels and cognitive function. A total of fifty-three CKD patients were prospectively recruited, comprising 35 hemodialysis (HD, 57.54 ± 10.42 years, 21 males) and 18 non-hemodialysis (NHD, 55.06 ± 11.47 years, 10 males ), and were compared to 43 healthy controls (HC, 55.67 ± 7.79 years, 18 males). All participants underwent clinical assessments, neuropsychological tests, and QSM scans. The mean magnetic susceptibility value (MSV) and volume of the whole nuclei (MSV<sub>M</sub>, V<sub>M</sub>) and high iron region (MSV<sub>RII</sub>, V<sub>RII</sub>) were measured. Correlations between QSM data, neuropsychological scores, and clinical variables in HD group were analyzed. Linear regression analysis was performed to explore the effect of iron deposition on cognition and emotional well-being in HD group. A statistically significant P-value was set at 0.05. HD patients exhibited higher MSV<sub>M</sub> in the right red nucleus (RN) compared to HCs (P = 0.006). Additionally, significant differences in the MSV<sub>RII</sub> were observed in the left caudate nucleus (CN), bilateral putamen (Put), and right RN among the three groups (all P = 0.027, FDR-corrected). MSV<sub>RII</sub> of the left Put was positively correlated with creatinine and uric acid levels, while the MSV<sub>RII</sub> of the right Put was negatively correlated with mean corpuscular hemoglobin and mean corpuscular hemoglobin concentration. Regression analysis revealed that iron deposition in left CN was independently associated with depression, while iron deposition in left Put and right RN were independently positively associated with delayed recall performance. Conversely, iron deposition in bilateral Put and right RN were negatively associated with orientation ability, after controlling for age, sex, years of education and duration of dialysis. Brain iron deposition is often excessive and uneven in CKD patients, particularly those undergoing hemodialysis. Assessing regional high-iron deposition can provide valuable insights into the distribution of iron, which is associated with cognitive dysfunction and emotional disorders.</p>\",\"PeriodicalId\":9192,\"journal\":{\"name\":\"Brain Imaging and Behavior\",\"volume\":\" \",\"pages\":\"395-406\"},\"PeriodicalIF\":2.4000,\"publicationDate\":\"2025-04-01\",\"publicationTypes\":\"Journal Article\",\"fieldsOfStudy\":null,\"isOpenAccess\":false,\"openAccessPdf\":\"https://www.ncbi.nlm.nih.gov/pmc/articles/PMC11978685/pdf/\",\"citationCount\":\"0\",\"resultStr\":null,\"platform\":\"Semanticscholar\",\"paperid\":null,\"PeriodicalName\":\"Brain Imaging and Behavior\",\"FirstCategoryId\":\"3\",\"ListUrlMain\":\"https://doi.org/10.1007/s11682-025-00976-0\",\"RegionNum\":3,\"RegionCategory\":\"医学\",\"ArticlePicture\":[],\"TitleCN\":null,\"AbstractTextCN\":null,\"PMCID\":null,\"EPubDate\":\"2025/2/11 0:00:00\",\"PubModel\":\"Epub\",\"JCR\":\"Q2\",\"JCRName\":\"NEUROIMAGING\",\"Score\":null,\"Total\":0}","platform":"Semanticscholar","paperid":null,"PeriodicalName":"Brain Imaging and Behavior","FirstCategoryId":"3","ListUrlMain":"https://doi.org/10.1007/s11682-025-00976-0","RegionNum":3,"RegionCategory":"医学","ArticlePicture":[],"TitleCN":null,"AbstractTextCN":null,"PMCID":null,"EPubDate":"2025/2/11 0:00:00","PubModel":"Epub","JCR":"Q2","JCRName":"NEUROIMAGING","Score":null,"Total":0}
引用次数: 0

摘要

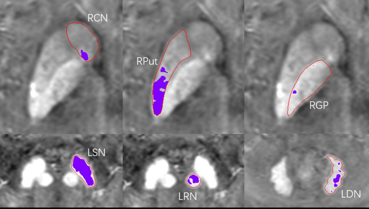
本研究旨在应用定量易感性制图(QSM)阈值法评估慢性肾脏疾病(CKD)患者灰质核铁沉积的变化,分析脑铁水平与认知功能的关系。前瞻性招募53例CKD患者,其中血液透析35例(HD, 57.54±10.42岁,男性21例),非血液透析18例(NHD, 55.06±11.47岁,男性10例),并与健康对照43例(HC, 55.67±7.79岁,男性18例)进行比较。所有参与者都进行了临床评估、神经心理测试和QSM扫描。测量了全核(MSVM、VM)和高铁区(MSVRII、VRII)的平均磁化率值(MSV)和体积。分析HD组QSM数据、神经心理评分与临床变量的相关性。采用线性回归分析探讨铁沉积对HD组认知和情绪幸福感的影响。p值为0.05,差异有统计学意义。HD患者右侧红核(RN)的MSVM高于hcc患者(P = 0.006)。此外,三组患者左尾状核(CN)、双侧壳核(Put)和右侧RN的MSVRII水平也存在显著差异(P = 0.027,经fdr校正)。左侧Put的MSVRII与肌酐、尿酸水平呈正相关,右侧Put的MSVRII与平均红细胞血红蛋白、平均红细胞血红蛋白浓度呈负相关。回归分析显示,左CN的铁沉积与抑郁独立相关,而左Put和右RN的铁沉积与延迟回忆表现独立正相关。相反,在控制了年龄、性别、受教育年限和透析时间后,双侧右侧和右侧RN的铁沉积与定向能力呈负相关。CKD患者的脑铁沉积通常过多且不均匀,特别是那些接受血液透析的患者。评估区域高铁沉积可以为铁的分布提供有价值的见解,这与认知功能障碍和情绪障碍有关。
本文章由计算机程序翻译,如有差异,请以英文原文为准。

Regional high iron deposition on brain quantitative susceptibility mapping correlates with cognitive decline in chronic kidney disease patients.

Regional high iron deposition on brain quantitative susceptibility mapping correlates with cognitive decline in chronic kidney disease patients.

Regional high iron deposition on brain quantitative susceptibility mapping correlates with cognitive decline in chronic kidney disease patients.

Regional high iron deposition on brain quantitative susceptibility mapping correlates with cognitive decline in chronic kidney disease patients.

This study aimed to evaluate changes in gray matter nuclei iron deposition in chronic kidney disease (CKD) patients using the quantitative susceptibility mapping (QSM) threshold method, and analyze the relationship between brain iron levels and cognitive function. A total of fifty-three CKD patients were prospectively recruited, comprising 35 hemodialysis (HD, 57.54 ± 10.42 years, 21 males) and 18 non-hemodialysis (NHD, 55.06 ± 11.47 years, 10 males ), and were compared to 43 healthy controls (HC, 55.67 ± 7.79 years, 18 males). All participants underwent clinical assessments, neuropsychological tests, and QSM scans. The mean magnetic susceptibility value (MSV) and volume of the whole nuclei (MSVM, VM) and high iron region (MSVRII, VRII) were measured. Correlations between QSM data, neuropsychological scores, and clinical variables in HD group were analyzed. Linear regression analysis was performed to explore the effect of iron deposition on cognition and emotional well-being in HD group. A statistically significant P-value was set at 0.05. HD patients exhibited higher MSVM in the right red nucleus (RN) compared to HCs (P = 0.006). Additionally, significant differences in the MSVRII were observed in the left caudate nucleus (CN), bilateral putamen (Put), and right RN among the three groups (all P = 0.027, FDR-corrected). MSVRII of the left Put was positively correlated with creatinine and uric acid levels, while the MSVRII of the right Put was negatively correlated with mean corpuscular hemoglobin and mean corpuscular hemoglobin concentration. Regression analysis revealed that iron deposition in left CN was independently associated with depression, while iron deposition in left Put and right RN were independently positively associated with delayed recall performance. Conversely, iron deposition in bilateral Put and right RN were negatively associated with orientation ability, after controlling for age, sex, years of education and duration of dialysis. Brain iron deposition is often excessive and uneven in CKD patients, particularly those undergoing hemodialysis. Assessing regional high-iron deposition can provide valuable insights into the distribution of iron, which is associated with cognitive dysfunction and emotional disorders.

求助全文
通过发布文献求助,成功后即可免费获取论文全文。 去求助
来源期刊
Brain Imaging and Behavior
Brain Imaging and Behavior 医学-神经成像
CiteScore
7.20
自引率
0.00%
发文量
154
审稿时长
3 months
期刊介绍: Brain Imaging and Behavior is a bi-monthly, peer-reviewed journal, that publishes clinically relevant research using neuroimaging approaches to enhance our understanding of disorders of higher brain function. The journal is targeted at clinicians and researchers in fields concerned with human brain-behavior relationships, such as neuropsychology, psychiatry, neurology, neurosurgery, rehabilitation, and cognitive neuroscience.
×
引用
GB/T 7714-2015
复制
MLA
复制
APA
复制
导出至
BibTeX EndNote RefMan NoteFirst NoteExpress
×
提示
您的信息不完整,为了账户安全,请先补充。
现在去补充
×
提示
您因"违规操作"
具体请查看互助需知
我知道了
×
提示
确定
请完成安全验证×
copy
已复制链接
快去分享给好友吧!
我知道了
右上角分享
点击右上角分享
0
联系我们:info@booksci.cn Book学术提供免费学术资源搜索服务,方便国内外学者检索中英文文献。致力于提供最便捷和优质的服务体验。 Copyright © 2023 布克学术 All rights reserved.
京ICP备2023020795号-1
ghs 京公网安备 11010802042870号
Book学术文献互助
Book学术文献互助群
群 号:604180095
Book学术官方微信