病例报告:眼眶周围毛瘤:一种罕见的良性皮肤肿瘤,误诊为蜂窝织炎。

IF 0.9
Frontiers in ophthalmology Pub Date : 2025-01-23 eCollection Date: 2025-01-01 DOI:10.3389/fopht.2025.1503693
Rahul Kumar, Jane Z Spadaro, Alon Kahana
{"title":"病例报告:眼眶周围毛瘤:一种罕见的良性皮肤肿瘤,误诊为蜂窝织炎。","authors":"Rahul Kumar, Jane Z Spadaro, Alon Kahana","doi":"10.3389/fopht.2025.1503693","DOIUrl":null,"url":null,"abstract":"<p><strong>Purpose: </strong>We describe an unusual case of a rapidly progressive pilomatricoma along the left brow, which was initially misdiagnosed and treated as preseptal cellulitis. Although rare, pilomatricomas and other adnexal tumors should be considered in the differential diagnosis of a growing mass near the brow.</p><p><strong>Case presentation: </strong>A 29-year-old male presented to the emergency department with a progressively enlarging left brow lesion, initially noted 3 weeks prior. Exam revealed an erythematous left subbrow mass that measured 2.5 x 2 cm, with resultant mechanical ptosis. The lesion was initially misdiagnosed and treated as preseptal cellulitis, with concern for abscess. The patient ultimately underwent excisional biopsy of the lesion and pathology revealed pilomatricoma.</p><p><strong>Conclusions: </strong>Pilomatricoma has similarities to more common skin lesions. Lack of pain or tenderness are important clues against an infectious or inflammatory etiology. Complete surgical excision is therapeutic and allows for diagnostic confirmation. Histopathology is required to rule out pilomatrix carcinoma, a malignant variant.</p>","PeriodicalId":73096,"journal":{"name":"Frontiers in ophthalmology","volume":"5 ","pages":"1503693"},"PeriodicalIF":0.9000,"publicationDate":"2025-01-23","publicationTypes":"Journal Article","fieldsOfStudy":null,"isOpenAccess":false,"openAccessPdf":"https://www.ncbi.nlm.nih.gov/pmc/articles/PMC11798964/pdf/","citationCount":"0","resultStr":"{\"title\":\"Case report: Periorbital pilomatricoma: a rare benign skin tumor misdiagnosed as cellulitis.\",\"authors\":\"Rahul Kumar, Jane Z Spadaro, Alon Kahana\",\"doi\":\"10.3389/fopht.2025.1503693\",\"DOIUrl\":null,\"url\":null,\"abstract\":\"<p><strong>Purpose: </strong>We describe an unusual case of a rapidly progressive pilomatricoma along the left brow, which was initially misdiagnosed and treated as preseptal cellulitis. Although rare, pilomatricomas and other adnexal tumors should be considered in the differential diagnosis of a growing mass near the brow.</p><p><strong>Case presentation: </strong>A 29-year-old male presented to the emergency department with a progressively enlarging left brow lesion, initially noted 3 weeks prior. Exam revealed an erythematous left subbrow mass that measured 2.5 x 2 cm, with resultant mechanical ptosis. The lesion was initially misdiagnosed and treated as preseptal cellulitis, with concern for abscess. The patient ultimately underwent excisional biopsy of the lesion and pathology revealed pilomatricoma.</p><p><strong>Conclusions: </strong>Pilomatricoma has similarities to more common skin lesions. Lack of pain or tenderness are important clues against an infectious or inflammatory etiology. Complete surgical excision is therapeutic and allows for diagnostic confirmation. Histopathology is required to rule out pilomatrix carcinoma, a malignant variant.</p>\",\"PeriodicalId\":73096,\"journal\":{\"name\":\"Frontiers in ophthalmology\",\"volume\":\"5 \",\"pages\":\"1503693\"},\"PeriodicalIF\":0.9000,\"publicationDate\":\"2025-01-23\",\"publicationTypes\":\"Journal Article\",\"fieldsOfStudy\":null,\"isOpenAccess\":false,\"openAccessPdf\":\"https://www.ncbi.nlm.nih.gov/pmc/articles/PMC11798964/pdf/\",\"citationCount\":\"0\",\"resultStr\":null,\"platform\":\"Semanticscholar\",\"paperid\":null,\"PeriodicalName\":\"Frontiers in ophthalmology\",\"FirstCategoryId\":\"1085\",\"ListUrlMain\":\"https://doi.org/10.3389/fopht.2025.1503693\",\"RegionNum\":0,\"RegionCategory\":null,\"ArticlePicture\":[],\"TitleCN\":null,\"AbstractTextCN\":null,\"PMCID\":null,\"EPubDate\":\"2025/1/1 0:00:00\",\"PubModel\":\"eCollection\",\"JCR\":\"\",\"JCRName\":\"\",\"Score\":null,\"Total\":0}","platform":"Semanticscholar","paperid":null,"PeriodicalName":"Frontiers in ophthalmology","FirstCategoryId":"1085","ListUrlMain":"https://doi.org/10.3389/fopht.2025.1503693","RegionNum":0,"RegionCategory":null,"ArticlePicture":[],"TitleCN":null,"AbstractTextCN":null,"PMCID":null,"EPubDate":"2025/1/1 0:00:00","PubModel":"eCollection","JCR":"","JCRName":"","Score":null,"Total":0}
引用次数: 0

摘要

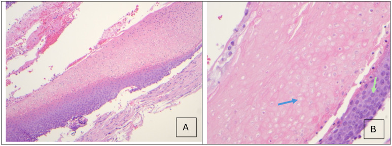
目的:我们描述了一个不寻常的病例快速进展毛囊基质瘤沿左眉,最初被误诊和治疗隔膜蜂窝织炎。虽然罕见,但在鉴别诊断靠近眉毛的生长肿块时,应考虑毛囊基质瘤和其他附件肿瘤。病例介绍:一名29岁男性,因左眉病变逐渐增大而就诊于急诊科,最初发现于3周前。检查显示左眉下红斑肿块,尺寸为2.5 x 2厘米,导致机械性上睑下垂。病变最初被误诊为隔膜前蜂窝织炎,并考虑到脓肿。患者最终接受了病变的切除活检,病理显示为毛瘤基质瘤。结论:毛瘤与更常见的皮肤病变有相似之处。缺乏疼痛或压痛是感染或炎症病因的重要线索。完全手术切除是治疗性的,并允许诊断确认。需要组织病理学来排除毛基质癌,一种恶性变异。
本文章由计算机程序翻译,如有差异,请以英文原文为准。

Case report: Periorbital pilomatricoma: a rare benign skin tumor misdiagnosed as cellulitis.

Case report: Periorbital pilomatricoma: a rare benign skin tumor misdiagnosed as cellulitis.

Case report: Periorbital pilomatricoma: a rare benign skin tumor misdiagnosed as cellulitis.

Purpose: We describe an unusual case of a rapidly progressive pilomatricoma along the left brow, which was initially misdiagnosed and treated as preseptal cellulitis. Although rare, pilomatricomas and other adnexal tumors should be considered in the differential diagnosis of a growing mass near the brow.

Case presentation: A 29-year-old male presented to the emergency department with a progressively enlarging left brow lesion, initially noted 3 weeks prior. Exam revealed an erythematous left subbrow mass that measured 2.5 x 2 cm, with resultant mechanical ptosis. The lesion was initially misdiagnosed and treated as preseptal cellulitis, with concern for abscess. The patient ultimately underwent excisional biopsy of the lesion and pathology revealed pilomatricoma.

Conclusions: Pilomatricoma has similarities to more common skin lesions. Lack of pain or tenderness are important clues against an infectious or inflammatory etiology. Complete surgical excision is therapeutic and allows for diagnostic confirmation. Histopathology is required to rule out pilomatrix carcinoma, a malignant variant.

求助全文
通过发布文献求助,成功后即可免费获取论文全文。 去求助
来源期刊
CiteScore
0.50
自引率
0.00%
发文量
0
×
引用
GB/T 7714-2015
复制
MLA
复制
APA
复制
导出至
BibTeX EndNote RefMan NoteFirst NoteExpress
×
提示
您的信息不完整,为了账户安全,请先补充。
现在去补充
×
提示
您因"违规操作"
具体请查看互助需知
我知道了
×
提示
确定
请完成安全验证×
copy
已复制链接
快去分享给好友吧!
我知道了
右上角分享
点击右上角分享
0
联系我们:info@booksci.cn Book学术提供免费学术资源搜索服务,方便国内外学者检索中英文文献。致力于提供最便捷和优质的服务体验。 Copyright © 2023 布克学术 All rights reserved.
京ICP备2023020795号-1
ghs 京公网安备 11010802042870号
Book学术文献互助
Book学术文献互助群
群 号:604180095
Book学术官方微信