镰状旁软骨瘤:一种不认识的实体——一例报告及文献复习。

Kavin Devani, Rangasamy Thiruvengadam Rajeswarie, Sathyakumar Rima, Archana Sharma
{"title":"镰状旁软骨瘤:一种不认识的实体——一例报告及文献复习。","authors":"Kavin Devani, Rangasamy Thiruvengadam Rajeswarie, Sathyakumar Rima, Archana Sharma","doi":"10.14791/btrt.2025.0001","DOIUrl":null,"url":null,"abstract":"<p><p>Intracranial chondroma is a benign tumor arising from the rests of embryonic cartilages in the dura or dural folds, choroid plexus or the brain parenchyma. It is rare intracranially, but when it does occur, it is predominantly located at the skull base. Among the cohort of intracranial chondroma, the para-falcine location is the rarest. We report a challenging diagnosis and successful management of this rare intracranial para-falcine chondroma in a 53-year-old female patient.</p>","PeriodicalId":72453,"journal":{"name":"Brain tumor research and treatment","volume":"13 1","pages":"29-33"},"PeriodicalIF":0.0000,"publicationDate":"2025-01-01","publicationTypes":"Journal Article","fieldsOfStudy":null,"isOpenAccess":false,"openAccessPdf":"https://www.ncbi.nlm.nih.gov/pmc/articles/PMC11813560/pdf/","citationCount":"0","resultStr":"{\"title\":\"Para-Falcine Chondroma: An Entity of Unacquaintance-A Case Report and Review of Literature.\",\"authors\":\"Kavin Devani, Rangasamy Thiruvengadam Rajeswarie, Sathyakumar Rima, Archana Sharma\",\"doi\":\"10.14791/btrt.2025.0001\",\"DOIUrl\":null,\"url\":null,\"abstract\":\"<p><p>Intracranial chondroma is a benign tumor arising from the rests of embryonic cartilages in the dura or dural folds, choroid plexus or the brain parenchyma. It is rare intracranially, but when it does occur, it is predominantly located at the skull base. Among the cohort of intracranial chondroma, the para-falcine location is the rarest. We report a challenging diagnosis and successful management of this rare intracranial para-falcine chondroma in a 53-year-old female patient.</p>\",\"PeriodicalId\":72453,\"journal\":{\"name\":\"Brain tumor research and treatment\",\"volume\":\"13 1\",\"pages\":\"29-33\"},\"PeriodicalIF\":0.0000,\"publicationDate\":\"2025-01-01\",\"publicationTypes\":\"Journal Article\",\"fieldsOfStudy\":null,\"isOpenAccess\":false,\"openAccessPdf\":\"https://www.ncbi.nlm.nih.gov/pmc/articles/PMC11813560/pdf/\",\"citationCount\":\"0\",\"resultStr\":null,\"platform\":\"Semanticscholar\",\"paperid\":null,\"PeriodicalName\":\"Brain tumor research and treatment\",\"FirstCategoryId\":\"1085\",\"ListUrlMain\":\"https://doi.org/10.14791/btrt.2025.0001\",\"RegionNum\":0,\"RegionCategory\":null,\"ArticlePicture\":[],\"TitleCN\":null,\"AbstractTextCN\":null,\"PMCID\":null,\"EPubDate\":\"\",\"PubModel\":\"\",\"JCR\":\"\",\"JCRName\":\"\",\"Score\":null,\"Total\":0}","platform":"Semanticscholar","paperid":null,"PeriodicalName":"Brain tumor research and treatment","FirstCategoryId":"1085","ListUrlMain":"https://doi.org/10.14791/btrt.2025.0001","RegionNum":0,"RegionCategory":null,"ArticlePicture":[],"TitleCN":null,"AbstractTextCN":null,"PMCID":null,"EPubDate":"","PubModel":"","JCR":"","JCRName":"","Score":null,"Total":0}
引用次数: 0

摘要

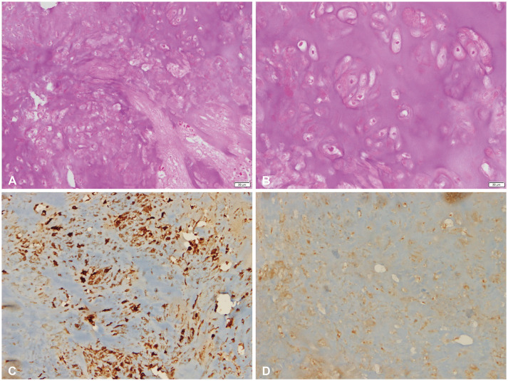
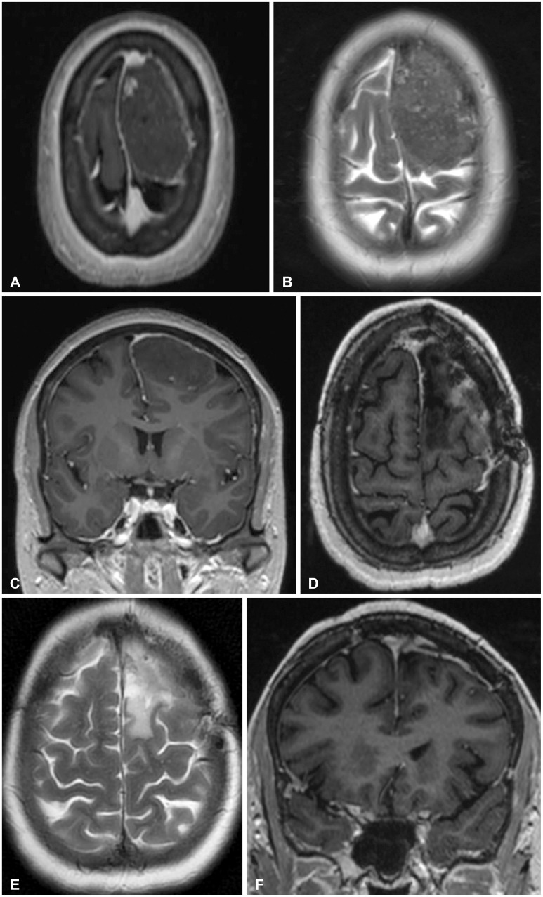
颅内软骨瘤是一种良性肿瘤,起源于硬脑膜或硬脑膜褶皱、脉络膜丛或脑实质的胚胎软骨。它是罕见的颅内,但当它确实发生时,它主要位于颅底。在颅内软骨瘤队列中,镰旁位置是最罕见的。我们报告一个具有挑战性的诊断和成功的管理这种罕见的颅内镰旁软骨瘤的53岁女性患者。
本文章由计算机程序翻译,如有差异,请以英文原文为准。

Para-Falcine Chondroma: An Entity of Unacquaintance-A Case Report and Review of Literature.

Para-Falcine Chondroma: An Entity of Unacquaintance-A Case Report and Review of Literature.

Para-Falcine Chondroma: An Entity of Unacquaintance-A Case Report and Review of Literature.

Para-Falcine Chondroma: An Entity of Unacquaintance-A Case Report and Review of Literature.

Intracranial chondroma is a benign tumor arising from the rests of embryonic cartilages in the dura or dural folds, choroid plexus or the brain parenchyma. It is rare intracranially, but when it does occur, it is predominantly located at the skull base. Among the cohort of intracranial chondroma, the para-falcine location is the rarest. We report a challenging diagnosis and successful management of this rare intracranial para-falcine chondroma in a 53-year-old female patient.

求助全文
通过发布文献求助,成功后即可免费获取论文全文。 去求助
来源期刊
自引率
0.00%
发文量
0
×
引用
GB/T 7714-2015
复制
MLA
复制
APA
复制
导出至
BibTeX EndNote RefMan NoteFirst NoteExpress
×
提示
您的信息不完整,为了账户安全,请先补充。
现在去补充
×
提示
您因"违规操作"
具体请查看互助需知
我知道了
×
提示
确定
请完成安全验证×
copy
已复制链接
快去分享给好友吧!
我知道了
右上角分享
点击右上角分享
0
联系我们:info@booksci.cn Book学术提供免费学术资源搜索服务,方便国内外学者检索中英文文献。致力于提供最便捷和优质的服务体验。 Copyright © 2023 布克学术 All rights reserved.
京ICP备2023020795号-1
ghs 京公网安备 11010802042870号
Book学术文献互助
Book学术文献互助群
群 号:604180095
Book学术官方微信