具有组织细胞特征的孤立中枢神经系统肿瘤1例。

Yoonsoo Choi, Yujin Lee, Young Il Kim, Seung Ho Yang
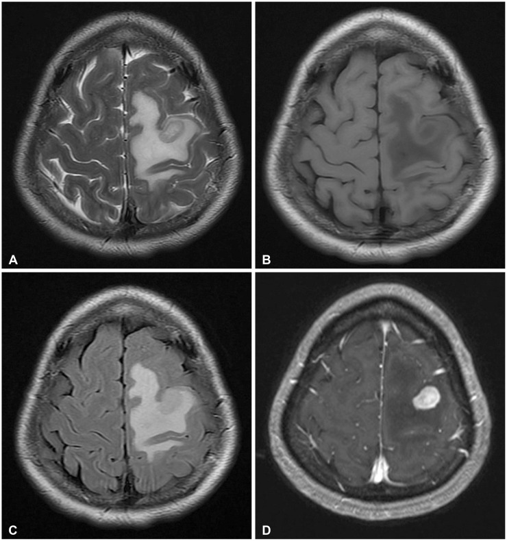
{"title":"具有组织细胞特征的孤立中枢神经系统肿瘤1例。","authors":"Yoonsoo Choi, Yujin Lee, Young Il Kim, Seung Ho Yang","doi":"10.14791/btrt.2024.0042","DOIUrl":null,"url":null,"abstract":"<p><p>This paper discusses a rare case of a 49-year-old female diagnosed with a central nervous system-isolated neoplasm with histiocytic features, classified as histiocytic neoplasm, not otherwise specified (NOS). Despite comprehensive histopathological and genetic studies, accurately diagnosing the case proved challenging. Initial surgical findings and frozen biopsy suggested a low-grade glioma; however, subsequent immunohistochemistry and genetic analysis excluded known histiocytic subtypes such as ALK-positive histiocytosis and Erdheim-Chester disease. The patient's condition improved following occupational rehabilitation therapy for right upper motor weakness, as well as anticonvulsant and radiation therapy, and her neurological condition remains stable. This case underscores the diagnostic challenges of Histiocytic Neoplasms and the necessity for interdisciplinary collaboration and sophisticated diagnostic techniques.</p>","PeriodicalId":72453,"journal":{"name":"Brain tumor research and treatment","volume":"13 1","pages":"23-28"},"PeriodicalIF":0.0000,"publicationDate":"2025-01-01","publicationTypes":"Journal Article","fieldsOfStudy":null,"isOpenAccess":false,"openAccessPdf":"https://www.ncbi.nlm.nih.gov/pmc/articles/PMC11813563/pdf/","citationCount":"0","resultStr":"{\"title\":\"A Rare Case of Isolated Central Nervous System Neoplasm With Histiocytic Features.\",\"authors\":\"Yoonsoo Choi, Yujin Lee, Young Il Kim, Seung Ho Yang\",\"doi\":\"10.14791/btrt.2024.0042\",\"DOIUrl\":null,\"url\":null,\"abstract\":\"<p><p>This paper discusses a rare case of a 49-year-old female diagnosed with a central nervous system-isolated neoplasm with histiocytic features, classified as histiocytic neoplasm, not otherwise specified (NOS). Despite comprehensive histopathological and genetic studies, accurately diagnosing the case proved challenging. Initial surgical findings and frozen biopsy suggested a low-grade glioma; however, subsequent immunohistochemistry and genetic analysis excluded known histiocytic subtypes such as ALK-positive histiocytosis and Erdheim-Chester disease. The patient's condition improved following occupational rehabilitation therapy for right upper motor weakness, as well as anticonvulsant and radiation therapy, and her neurological condition remains stable. This case underscores the diagnostic challenges of Histiocytic Neoplasms and the necessity for interdisciplinary collaboration and sophisticated diagnostic techniques.</p>\",\"PeriodicalId\":72453,\"journal\":{\"name\":\"Brain tumor research and treatment\",\"volume\":\"13 1\",\"pages\":\"23-28\"},\"PeriodicalIF\":0.0000,\"publicationDate\":\"2025-01-01\",\"publicationTypes\":\"Journal Article\",\"fieldsOfStudy\":null,\"isOpenAccess\":false,\"openAccessPdf\":\"https://www.ncbi.nlm.nih.gov/pmc/articles/PMC11813563/pdf/\",\"citationCount\":\"0\",\"resultStr\":null,\"platform\":\"Semanticscholar\",\"paperid\":null,\"PeriodicalName\":\"Brain tumor research and treatment\",\"FirstCategoryId\":\"1085\",\"ListUrlMain\":\"https://doi.org/10.14791/btrt.2024.0042\",\"RegionNum\":0,\"RegionCategory\":null,\"ArticlePicture\":[],\"TitleCN\":null,\"AbstractTextCN\":null,\"PMCID\":null,\"EPubDate\":\"\",\"PubModel\":\"\",\"JCR\":\"\",\"JCRName\":\"\",\"Score\":null,\"Total\":0}","platform":"Semanticscholar","paperid":null,"PeriodicalName":"Brain tumor research and treatment","FirstCategoryId":"1085","ListUrlMain":"https://doi.org/10.14791/btrt.2024.0042","RegionNum":0,"RegionCategory":null,"ArticlePicture":[],"TitleCN":null,"AbstractTextCN":null,"PMCID":null,"EPubDate":"","PubModel":"","JCR":"","JCRName":"","Score":null,"Total":0}
引用次数: 0

摘要

本文讨论了一例罕见的49岁女性诊断为具有组织细胞特征的中枢神经系统分离性肿瘤,归类为组织细胞性肿瘤,未另行说明(NOS)。尽管进行了全面的组织病理学和遗传学研究,但准确诊断该病例仍具有挑战性。最初的手术结果和冷冻活检提示为低级别胶质瘤;然而,随后的免疫组织化学和遗传分析排除了已知的组织细胞亚型,如alk阳性组织细胞增多症和Erdheim-Chester病。患者接受右上运动无力的职业康复治疗、抗惊厥药和放射治疗后病情好转,神经系统状况稳定。这个病例强调了组织细胞肿瘤的诊断挑战,以及跨学科合作和复杂诊断技术的必要性。
本文章由计算机程序翻译,如有差异,请以英文原文为准。

A Rare Case of Isolated Central Nervous System Neoplasm With Histiocytic Features.

A Rare Case of Isolated Central Nervous System Neoplasm With Histiocytic Features.

A Rare Case of Isolated Central Nervous System Neoplasm With Histiocytic Features.

A Rare Case of Isolated Central Nervous System Neoplasm With Histiocytic Features.

This paper discusses a rare case of a 49-year-old female diagnosed with a central nervous system-isolated neoplasm with histiocytic features, classified as histiocytic neoplasm, not otherwise specified (NOS). Despite comprehensive histopathological and genetic studies, accurately diagnosing the case proved challenging. Initial surgical findings and frozen biopsy suggested a low-grade glioma; however, subsequent immunohistochemistry and genetic analysis excluded known histiocytic subtypes such as ALK-positive histiocytosis and Erdheim-Chester disease. The patient's condition improved following occupational rehabilitation therapy for right upper motor weakness, as well as anticonvulsant and radiation therapy, and her neurological condition remains stable. This case underscores the diagnostic challenges of Histiocytic Neoplasms and the necessity for interdisciplinary collaboration and sophisticated diagnostic techniques.

求助全文
通过发布文献求助,成功后即可免费获取论文全文。 去求助
来源期刊
自引率
0.00%
发文量
0
×
引用
GB/T 7714-2015
复制
MLA
复制
APA
复制
导出至
BibTeX EndNote RefMan NoteFirst NoteExpress
×
提示
您的信息不完整,为了账户安全,请先补充。
现在去补充
×
提示
您因"违规操作"
具体请查看互助需知
我知道了
×
提示
确定
请完成安全验证×
copy
已复制链接
快去分享给好友吧!
我知道了
右上角分享
点击右上角分享
0
联系我们:info@booksci.cn Book学术提供免费学术资源搜索服务,方便国内外学者检索中英文文献。致力于提供最便捷和优质的服务体验。 Copyright © 2023 布克学术 All rights reserved.
京ICP备2023020795号-1
ghs 京公网安备 11010802042870号
Book学术文献互助
Book学术文献互助群
群 号:604180095
Book学术官方微信