司马鲁肽患者门静脉血栓形成。

Q3 Medicine
Qatar Medical Journal Pub Date : 2024-12-31 eCollection Date: 2024-01-01 DOI:10.5339/qmj.2024.75
Mohammed F Farooqi, Maria Khan, Arshad M Muhammad, Adnan Agha
{"title":"司马鲁肽患者门静脉血栓形成。","authors":"Mohammed F Farooqi, Maria Khan, Arshad M Muhammad, Adnan Agha","doi":"10.5339/qmj.2024.75","DOIUrl":null,"url":null,"abstract":"<p><p><b>Background:</b> Obesity and type 2 diabetes mellitus (T2DM) are modern-day pandemics that have a significant impact on global healthcare. The glucagon-like peptide-1 receptor agonist (GLP1-RA) semaglutide is a novel treatment for both tbl2DM and obesity, but can be associated with an increased risk of venous thromboembolism. <b>Case presentation:</b> This case report describes a 59-year-old woman with tbl2DM who received semaglutide to manage glycemic levels, and also experienced the additional benefit of weight reduction. Within six months of initiating GLP1-RA, the patient experienced low back pain associated with nausea and poor oral intake. She had no known risk factors for venous thromboembolism or thrombophilia and had no history of significant illness in her family. Her physical examination revealed no significant findings. Only mild leukocytosis and neutrophilia were noted. She underwent an abdominal computed tomography scan, which revealed intrahepatic portal vein thrombosis without evidence of liver cirrhosis or abdominal malignancy. Her symptoms improved with oral anticoagulation (rivaroxaban). The result of thrombophilia examination was negative for inherited or acquired thrombophilia, except for a Janus kinase 2 mutation, which may increase the risk of thrombosis. <b>Conclusions:</b> The use of GLP1-RA is increasing due to the growing desire for weight loss medications. Therefore, it is important that physicians better understand the possible risks of thrombosis before initiating GLP1-RA treatment.</p>","PeriodicalId":53667,"journal":{"name":"Qatar Medical Journal","volume":"2024 4","pages":"75"},"PeriodicalIF":0.0000,"publicationDate":"2024-12-31","publicationTypes":"Journal Article","fieldsOfStudy":null,"isOpenAccess":false,"openAccessPdf":"https://www.ncbi.nlm.nih.gov/pmc/articles/PMC11806721/pdf/","citationCount":"0","resultStr":"{\"title\":\"Portal vein thrombosis in a patient on semaglutide.\",\"authors\":\"Mohammed F Farooqi, Maria Khan, Arshad M Muhammad, Adnan Agha\",\"doi\":\"10.5339/qmj.2024.75\",\"DOIUrl\":null,\"url\":null,\"abstract\":\"<p><p><b>Background:</b> Obesity and type 2 diabetes mellitus (T2DM) are modern-day pandemics that have a significant impact on global healthcare. The glucagon-like peptide-1 receptor agonist (GLP1-RA) semaglutide is a novel treatment for both tbl2DM and obesity, but can be associated with an increased risk of venous thromboembolism. <b>Case presentation:</b> This case report describes a 59-year-old woman with tbl2DM who received semaglutide to manage glycemic levels, and also experienced the additional benefit of weight reduction. Within six months of initiating GLP1-RA, the patient experienced low back pain associated with nausea and poor oral intake. She had no known risk factors for venous thromboembolism or thrombophilia and had no history of significant illness in her family. Her physical examination revealed no significant findings. Only mild leukocytosis and neutrophilia were noted. She underwent an abdominal computed tomography scan, which revealed intrahepatic portal vein thrombosis without evidence of liver cirrhosis or abdominal malignancy. Her symptoms improved with oral anticoagulation (rivaroxaban). The result of thrombophilia examination was negative for inherited or acquired thrombophilia, except for a Janus kinase 2 mutation, which may increase the risk of thrombosis. <b>Conclusions:</b> The use of GLP1-RA is increasing due to the growing desire for weight loss medications. Therefore, it is important that physicians better understand the possible risks of thrombosis before initiating GLP1-RA treatment.</p>\",\"PeriodicalId\":53667,\"journal\":{\"name\":\"Qatar Medical Journal\",\"volume\":\"2024 4\",\"pages\":\"75\"},\"PeriodicalIF\":0.0000,\"publicationDate\":\"2024-12-31\",\"publicationTypes\":\"Journal Article\",\"fieldsOfStudy\":null,\"isOpenAccess\":false,\"openAccessPdf\":\"https://www.ncbi.nlm.nih.gov/pmc/articles/PMC11806721/pdf/\",\"citationCount\":\"0\",\"resultStr\":null,\"platform\":\"Semanticscholar\",\"paperid\":null,\"PeriodicalName\":\"Qatar Medical Journal\",\"FirstCategoryId\":\"1085\",\"ListUrlMain\":\"https://doi.org/10.5339/qmj.2024.75\",\"RegionNum\":0,\"RegionCategory\":null,\"ArticlePicture\":[],\"TitleCN\":null,\"AbstractTextCN\":null,\"PMCID\":null,\"EPubDate\":\"2024/1/1 0:00:00\",\"PubModel\":\"eCollection\",\"JCR\":\"Q3\",\"JCRName\":\"Medicine\",\"Score\":null,\"Total\":0}","platform":"Semanticscholar","paperid":null,"PeriodicalName":"Qatar Medical Journal","FirstCategoryId":"1085","ListUrlMain":"https://doi.org/10.5339/qmj.2024.75","RegionNum":0,"RegionCategory":null,"ArticlePicture":[],"TitleCN":null,"AbstractTextCN":null,"PMCID":null,"EPubDate":"2024/1/1 0:00:00","PubModel":"eCollection","JCR":"Q3","JCRName":"Medicine","Score":null,"Total":0}
引用次数: 0

摘要

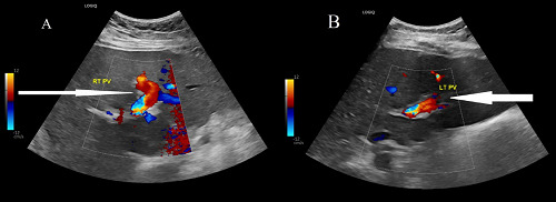
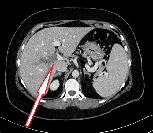
背景:肥胖和2型糖尿病(T2DM)是对全球医疗保健产生重大影响的现代流行病。胰高血糖素样肽-1受体激动剂(GLP1-RA) semaglutide是治疗tbl2DM和肥胖的一种新方法,但可能与静脉血栓栓塞的风险增加有关。病例介绍:本病例报告描述了一位59岁的tbl2DM女性患者,她接受了西马鲁肽来控制血糖水平,并经历了体重减轻的额外好处。在启动GLP1-RA的6个月内,患者出现腰痛,伴有恶心和口腔摄入不良。她没有已知的静脉血栓栓塞或血栓形成的危险因素,家族中也没有重大疾病史。她的体格检查未见明显发现。仅见轻度白细胞增多和嗜中性粒细胞增多。她接受了腹部计算机断层扫描,发现肝内门静脉血栓形成,但没有肝硬化或腹部恶性肿瘤的证据。口服抗凝药(利伐沙班)后症状得到改善。除Janus激酶2突变可能增加血栓形成的风险外,血栓检查结果为遗传性或获得性血栓形成阴性。结论:由于对减肥药的需求日益增长,GLP1-RA的使用正在增加。因此,医生在开始GLP1-RA治疗前更好地了解血栓形成的可能风险是很重要的。
本文章由计算机程序翻译,如有差异,请以英文原文为准。

Portal vein thrombosis in a patient on semaglutide.

Portal vein thrombosis in a patient on semaglutide.

Portal vein thrombosis in a patient on semaglutide.

Background: Obesity and type 2 diabetes mellitus (T2DM) are modern-day pandemics that have a significant impact on global healthcare. The glucagon-like peptide-1 receptor agonist (GLP1-RA) semaglutide is a novel treatment for both tbl2DM and obesity, but can be associated with an increased risk of venous thromboembolism. Case presentation: This case report describes a 59-year-old woman with tbl2DM who received semaglutide to manage glycemic levels, and also experienced the additional benefit of weight reduction. Within six months of initiating GLP1-RA, the patient experienced low back pain associated with nausea and poor oral intake. She had no known risk factors for venous thromboembolism or thrombophilia and had no history of significant illness in her family. Her physical examination revealed no significant findings. Only mild leukocytosis and neutrophilia were noted. She underwent an abdominal computed tomography scan, which revealed intrahepatic portal vein thrombosis without evidence of liver cirrhosis or abdominal malignancy. Her symptoms improved with oral anticoagulation (rivaroxaban). The result of thrombophilia examination was negative for inherited or acquired thrombophilia, except for a Janus kinase 2 mutation, which may increase the risk of thrombosis. Conclusions: The use of GLP1-RA is increasing due to the growing desire for weight loss medications. Therefore, it is important that physicians better understand the possible risks of thrombosis before initiating GLP1-RA treatment.

求助全文
通过发布文献求助,成功后即可免费获取论文全文。 去求助
来源期刊
Qatar Medical Journal
Qatar Medical Journal Medicine-Medicine (all)
CiteScore
1.80
自引率
0.00%
发文量
77
审稿时长
6 weeks
×
引用
GB/T 7714-2015
复制
MLA
复制
APA
复制
导出至
BibTeX EndNote RefMan NoteFirst NoteExpress
×
提示
您的信息不完整,为了账户安全,请先补充。
现在去补充
×
提示
您因"违规操作"
具体请查看互助需知
我知道了
×
提示
确定
请完成安全验证×
copy
已复制链接
快去分享给好友吧!
我知道了
右上角分享
点击右上角分享
0
联系我们:info@booksci.cn Book学术提供免费学术资源搜索服务,方便国内外学者检索中英文文献。致力于提供最便捷和优质的服务体验。 Copyright © 2023 布克学术 All rights reserved.
京ICP备2023020795号-1
ghs 京公网安备 11010802042870号
Book学术文献互助
Book学术文献互助群
群 号:604180095
Book学术官方微信