杜氏肌营养不良伴极度消瘦1例及基于胱抑素c的eGFR与菊粉清除率的差异。

IF 1.1 4区 医学 Q3 MEDICINE, GENERAL & INTERNAL
Internal Medicine Pub Date : 2025-08-15 Epub Date: 2025-02-08 DOI:10.2169/internalmedicine.4920-24
Makiko Takeyasu, Naoki Sawa, Keiichi Sumida, Yuki Oba, Hiroki Mizuno, Shigekazu Kurihara, Noriko Inoue, Akinari Sekine, Kiho Tanaka, Masayuki Yamanouchi, Eiko Hasegawa, Tatsuya Suwabe, Takehiko Wada, Izumi Sugimoto, Yoshifumi Ubara
{"title":"杜氏肌营养不良伴极度消瘦1例及基于胱抑素c的eGFR与菊粉清除率的差异。","authors":"Makiko Takeyasu, Naoki Sawa, Keiichi Sumida, Yuki Oba, Hiroki Mizuno, Shigekazu Kurihara, Noriko Inoue, Akinari Sekine, Kiho Tanaka, Masayuki Yamanouchi, Eiko Hasegawa, Tatsuya Suwabe, Takehiko Wada, Izumi Sugimoto, Yoshifumi Ubara","doi":"10.2169/internalmedicine.4920-24","DOIUrl":null,"url":null,"abstract":"<p><p>We describe the case of a 25-year-old male with Duchenne muscular dystrophy and acute kidney injury who was receiving mechanical ventilation. The patient's estimated glomerular filtration rate (eGFR) was assessed using formulas based on creatinine, cystatin C, and inulin levels over time during the recovery of his renal function. The creatinine-based eGFR was extremely high throughout the study period. The cystatin C-based eGFR was also higher than the inulin clearance. These findings suggest that cystatin C-based eGFR may also exceed inulin clearance in patients with an extremely reduced fat mass, in addition to a reduced muscle mass.</p>","PeriodicalId":13719,"journal":{"name":"Internal Medicine","volume":" ","pages":"2462-2465"},"PeriodicalIF":1.1000,"publicationDate":"2025-08-15","publicationTypes":"Journal Article","fieldsOfStudy":null,"isOpenAccess":false,"openAccessPdf":"https://www.ncbi.nlm.nih.gov/pmc/articles/PMC12425571/pdf/","citationCount":"0","resultStr":"{\"title\":\"Duchenne Muscular Dystrophy with Extreme Emaciation and a Discrepancy between Cystatin C-based eGFR and Inulin Clearance.\",\"authors\":\"Makiko Takeyasu, Naoki Sawa, Keiichi Sumida, Yuki Oba, Hiroki Mizuno, Shigekazu Kurihara, Noriko Inoue, Akinari Sekine, Kiho Tanaka, Masayuki Yamanouchi, Eiko Hasegawa, Tatsuya Suwabe, Takehiko Wada, Izumi Sugimoto, Yoshifumi Ubara\",\"doi\":\"10.2169/internalmedicine.4920-24\",\"DOIUrl\":null,\"url\":null,\"abstract\":\"<p><p>We describe the case of a 25-year-old male with Duchenne muscular dystrophy and acute kidney injury who was receiving mechanical ventilation. The patient's estimated glomerular filtration rate (eGFR) was assessed using formulas based on creatinine, cystatin C, and inulin levels over time during the recovery of his renal function. The creatinine-based eGFR was extremely high throughout the study period. The cystatin C-based eGFR was also higher than the inulin clearance. These findings suggest that cystatin C-based eGFR may also exceed inulin clearance in patients with an extremely reduced fat mass, in addition to a reduced muscle mass.</p>\",\"PeriodicalId\":13719,\"journal\":{\"name\":\"Internal Medicine\",\"volume\":\" \",\"pages\":\"2462-2465\"},\"PeriodicalIF\":1.1000,\"publicationDate\":\"2025-08-15\",\"publicationTypes\":\"Journal Article\",\"fieldsOfStudy\":null,\"isOpenAccess\":false,\"openAccessPdf\":\"https://www.ncbi.nlm.nih.gov/pmc/articles/PMC12425571/pdf/\",\"citationCount\":\"0\",\"resultStr\":null,\"platform\":\"Semanticscholar\",\"paperid\":null,\"PeriodicalName\":\"Internal Medicine\",\"FirstCategoryId\":\"3\",\"ListUrlMain\":\"https://doi.org/10.2169/internalmedicine.4920-24\",\"RegionNum\":4,\"RegionCategory\":\"医学\",\"ArticlePicture\":[],\"TitleCN\":null,\"AbstractTextCN\":null,\"PMCID\":null,\"EPubDate\":\"2025/2/8 0:00:00\",\"PubModel\":\"Epub\",\"JCR\":\"Q3\",\"JCRName\":\"MEDICINE, GENERAL & INTERNAL\",\"Score\":null,\"Total\":0}","platform":"Semanticscholar","paperid":null,"PeriodicalName":"Internal Medicine","FirstCategoryId":"3","ListUrlMain":"https://doi.org/10.2169/internalmedicine.4920-24","RegionNum":4,"RegionCategory":"医学","ArticlePicture":[],"TitleCN":null,"AbstractTextCN":null,"PMCID":null,"EPubDate":"2025/2/8 0:00:00","PubModel":"Epub","JCR":"Q3","JCRName":"MEDICINE, GENERAL & INTERNAL","Score":null,"Total":0}
引用次数: 0

摘要

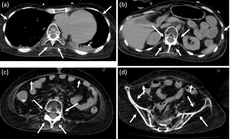
我们描述的情况下,25岁的男性杜氏肌营养不良症和急性肾损伤谁是接受机械通气。在肾功能恢复期间,使用基于肌酐、胱抑素C和菊粉水平的公式评估患者估计的肾小球滤过率(eGFR)。基于肌酐的eGFR在整个研究期间都非常高。基于胱抑素c的eGFR也高于菊粉清除率。这些发现表明,除了肌肉量减少外,在脂肪量极度减少的患者中,基于胱抑素c的eGFR也可能超过菊粉清除率。
本文章由计算机程序翻译,如有差异,请以英文原文为准。

Duchenne Muscular Dystrophy with Extreme Emaciation and a Discrepancy between Cystatin C-based eGFR and Inulin Clearance.

Duchenne Muscular Dystrophy with Extreme Emaciation and a Discrepancy between Cystatin C-based eGFR and Inulin Clearance.

Duchenne Muscular Dystrophy with Extreme Emaciation and a Discrepancy between Cystatin C-based eGFR and Inulin Clearance.

We describe the case of a 25-year-old male with Duchenne muscular dystrophy and acute kidney injury who was receiving mechanical ventilation. The patient's estimated glomerular filtration rate (eGFR) was assessed using formulas based on creatinine, cystatin C, and inulin levels over time during the recovery of his renal function. The creatinine-based eGFR was extremely high throughout the study period. The cystatin C-based eGFR was also higher than the inulin clearance. These findings suggest that cystatin C-based eGFR may also exceed inulin clearance in patients with an extremely reduced fat mass, in addition to a reduced muscle mass.

求助全文
通过发布文献求助,成功后即可免费获取论文全文。 去求助
来源期刊
Internal Medicine
Internal Medicine 医学-医学:内科
CiteScore
1.90
自引率
8.30%
发文量
0
审稿时长
2.2 months
期刊介绍: Internal Medicine is an open-access online only journal published monthly by the Japanese Society of Internal Medicine. Articles must be prepared in accordance with "The Uniform Requirements for Manuscripts Submitted to Biomedical Journals (see Annals of Internal Medicine 108: 258-265, 1988), must be contributed solely to the Internal Medicine, and become the property of the Japanese Society of Internal Medicine. Statements contained therein are the responsibility of the author(s). The Society reserves copyright and renewal on all published material and such material may not be reproduced in any form without the written permission of the Society.
×
引用
GB/T 7714-2015
复制
MLA
复制
APA
复制
导出至
BibTeX EndNote RefMan NoteFirst NoteExpress
×
提示
您的信息不完整,为了账户安全,请先补充。
现在去补充
×
提示
您因"违规操作"
具体请查看互助需知
我知道了
×
提示
确定
请完成安全验证×
copy
已复制链接
快去分享给好友吧!
我知道了
右上角分享
点击右上角分享
0
联系我们:info@booksci.cn Book学术提供免费学术资源搜索服务,方便国内外学者检索中英文文献。致力于提供最便捷和优质的服务体验。 Copyright © 2023 布克学术 All rights reserved.
京ICP备2023020795号-1
ghs 京公网安备 11010802042870号
Book学术文献互助
Book学术文献互助群
群 号:604180095
Book学术官方微信