原发性肺脂肪肉瘤1例报告。

IF 1.1 Q4 RADIOLOGY, NUCLEAR MEDICINE & MEDICAL IMAGING
Huimin Li, Zhehao Lyu
{"title":"原发性肺脂肪肉瘤1例报告。","authors":"Huimin Li, Zhehao Lyu","doi":"10.4274/mirt.galenos.2024.48264","DOIUrl":null,"url":null,"abstract":"<p><p>Primary liposarcoma of the lung is extremely rare. To date, only 24 cases have been reported in the English literature. Herein, we present a case of well-differentiated pulmonary liposarcoma that was misdiagnosed as teratoma on positron emission tomography/computed tomography (CT) and contrast-enhanced CT. Radical surgery with left superior lobectomy and mediastinal lymph node dissection were performed. The patient experienced recurrence and distant metastases 33 months after surgery. He was alive at the time of writing this report (36 months postoperatively). To our knowledge, this is the first case report of pulmonary well-differentiated liposarcoma.</p>","PeriodicalId":44681,"journal":{"name":"Molecular Imaging and Radionuclide Therapy","volume":"34 1","pages":"73-75"},"PeriodicalIF":1.1000,"publicationDate":"2025-02-07","publicationTypes":"Journal Article","fieldsOfStudy":null,"isOpenAccess":false,"openAccessPdf":"https://www.ncbi.nlm.nih.gov/pmc/articles/PMC11827523/pdf/","citationCount":"0","resultStr":"{\"title\":\"Primary Pulmonary Liposarcoma: A Case Report.\",\"authors\":\"Huimin Li, Zhehao Lyu\",\"doi\":\"10.4274/mirt.galenos.2024.48264\",\"DOIUrl\":null,\"url\":null,\"abstract\":\"<p><p>Primary liposarcoma of the lung is extremely rare. To date, only 24 cases have been reported in the English literature. Herein, we present a case of well-differentiated pulmonary liposarcoma that was misdiagnosed as teratoma on positron emission tomography/computed tomography (CT) and contrast-enhanced CT. Radical surgery with left superior lobectomy and mediastinal lymph node dissection were performed. The patient experienced recurrence and distant metastases 33 months after surgery. He was alive at the time of writing this report (36 months postoperatively). To our knowledge, this is the first case report of pulmonary well-differentiated liposarcoma.</p>\",\"PeriodicalId\":44681,\"journal\":{\"name\":\"Molecular Imaging and Radionuclide Therapy\",\"volume\":\"34 1\",\"pages\":\"73-75\"},\"PeriodicalIF\":1.1000,\"publicationDate\":\"2025-02-07\",\"publicationTypes\":\"Journal Article\",\"fieldsOfStudy\":null,\"isOpenAccess\":false,\"openAccessPdf\":\"https://www.ncbi.nlm.nih.gov/pmc/articles/PMC11827523/pdf/\",\"citationCount\":\"0\",\"resultStr\":null,\"platform\":\"Semanticscholar\",\"paperid\":null,\"PeriodicalName\":\"Molecular Imaging and Radionuclide Therapy\",\"FirstCategoryId\":\"1085\",\"ListUrlMain\":\"https://doi.org/10.4274/mirt.galenos.2024.48264\",\"RegionNum\":0,\"RegionCategory\":null,\"ArticlePicture\":[],\"TitleCN\":null,\"AbstractTextCN\":null,\"PMCID\":null,\"EPubDate\":\"\",\"PubModel\":\"\",\"JCR\":\"Q4\",\"JCRName\":\"RADIOLOGY, NUCLEAR MEDICINE & MEDICAL IMAGING\",\"Score\":null,\"Total\":0}","platform":"Semanticscholar","paperid":null,"PeriodicalName":"Molecular Imaging and Radionuclide Therapy","FirstCategoryId":"1085","ListUrlMain":"https://doi.org/10.4274/mirt.galenos.2024.48264","RegionNum":0,"RegionCategory":null,"ArticlePicture":[],"TitleCN":null,"AbstractTextCN":null,"PMCID":null,"EPubDate":"","PubModel":"","JCR":"Q4","JCRName":"RADIOLOGY, NUCLEAR MEDICINE & MEDICAL IMAGING","Score":null,"Total":0}
引用次数: 0

摘要

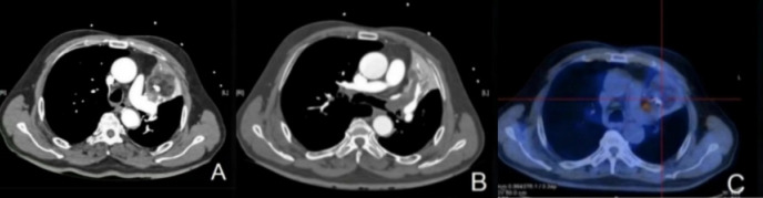
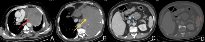
原发性肺脂肪肉瘤极为罕见。迄今为止,在英国文献中仅报道了24例。在此,我们报告一例高分化肺脂肪肉瘤,在正电子发射断层扫描/计算机断层扫描(CT)和增强CT上被误诊为畸胎瘤。行根治性手术,左上肺叶切除及纵隔淋巴结清扫。患者术后33个月出现复发和远处转移。在撰写本报告时,患者还活着(术后36个月)。据我们所知,这是第一例肺高分化脂肪肉瘤的报告。
本文章由计算机程序翻译,如有差异,请以英文原文为准。

Primary Pulmonary Liposarcoma: A Case Report.

Primary Pulmonary Liposarcoma: A Case Report.

Primary Pulmonary Liposarcoma: A Case Report.

Primary Pulmonary Liposarcoma: A Case Report.

Primary liposarcoma of the lung is extremely rare. To date, only 24 cases have been reported in the English literature. Herein, we present a case of well-differentiated pulmonary liposarcoma that was misdiagnosed as teratoma on positron emission tomography/computed tomography (CT) and contrast-enhanced CT. Radical surgery with left superior lobectomy and mediastinal lymph node dissection were performed. The patient experienced recurrence and distant metastases 33 months after surgery. He was alive at the time of writing this report (36 months postoperatively). To our knowledge, this is the first case report of pulmonary well-differentiated liposarcoma.

求助全文
通过发布文献求助,成功后即可免费获取论文全文。 去求助
来源期刊
Molecular Imaging and Radionuclide Therapy
Molecular Imaging and Radionuclide Therapy RADIOLOGY, NUCLEAR MEDICINE & MEDICAL IMAGING-
CiteScore
1.30
自引率
0.00%
发文量
50
期刊介绍: Molecular Imaging and Radionuclide Therapy (Mol Imaging Radionucl Ther, MIRT) is publishes original research articles, invited reviews, editorials, short communications, letters, consensus statements, guidelines and case reports with a literature review on the topic, in the field of molecular imaging, multimodality imaging, nuclear medicine, radionuclide therapy, radiopharmacy, medical physics, dosimetry and radiobiology.
×
引用
GB/T 7714-2015
复制
MLA
复制
APA
复制
导出至
BibTeX EndNote RefMan NoteFirst NoteExpress
×
提示
您的信息不完整,为了账户安全,请先补充。
现在去补充
×
提示
您因"违规操作"
具体请查看互助需知
我知道了
×
提示
确定
请完成安全验证×
copy
已复制链接
快去分享给好友吧!
我知道了
右上角分享
点击右上角分享
0
联系我们:info@booksci.cn Book学术提供免费学术资源搜索服务,方便国内外学者检索中英文文献。致力于提供最便捷和优质的服务体验。 Copyright © 2023 布克学术 All rights reserved.
京ICP备2023020795号-1
ghs 京公网安备 11010802042870号
Book学术文献互助
Book学术文献互助群
群 号:604180095
Book学术官方微信