3T弥散加权MRI和18F-FDG-PET/CT在肝转移中的相关性:SUV vs ADC。

IF 1.1 Q4 RADIOLOGY, NUCLEAR MEDICINE & MEDICAL IMAGING
Ahmet Tanyeri, Rıdvan Akbulut, Emir Hüseyin Nevai, Yakup Yürekli
{"title":"3T弥散加权MRI和18F-FDG-PET/CT在肝转移中的相关性:SUV vs ADC。","authors":"Ahmet Tanyeri, Rıdvan Akbulut, Emir Hüseyin Nevai, Yakup Yürekli","doi":"10.4274/mirt.galenos.2024.37431","DOIUrl":null,"url":null,"abstract":"<p><strong>Objectives: </strong>Positron emission tomography/computed tomography (PET/CT) and magnetic resonance imaging (MRI) are widely used in the diagnosis and follow-up of liver metastases. Both modalities provide anatomical and functional information and have advantages and disadvantages. The objective of this study was to investigate the correlation between apparent diffusion coefficient (ADC) and standardized uptake value (SUV) values in metastatic liver lesions.</p><p><strong>Methods: </strong>Abdominal magnetic resonance (MR) scans performed between April 2021 and 2024 using the 3T MR scanner were retrospectively evaluated. Thirty-three patients with liver metastases, less than one month between magnetic resonance imaging (MRI) and PET/CT, no treatment during this period, and lesions larger than 1 cm were included in the study. In each MRI scan, an index lesion was selected for ADC measurement. The radiologist and nuclear medicine specialist measured the same index lesion without the patient being informed of the results.</p><p><strong>Results: </strong>The mean age of the 33 patients was 59±12 years, with 17 (51%) men and 16 (49%) women. The mean size of the index lesions was 27±9 mm. In MRI, mean ADC<sub>min</sub>: (0.54±0.2) ×10<sup>-3</sup>mm<sup>2</sup>/s; ADC<sub>mean</sub>: (1.02±0.2) ×10<sup>-3</sup>mm<sup>2</sup>/s; ADC<sub>max</sub>: (1.48±0.44) ×10<sup>-3</sup>mm<sup>2</sup>/s; and region of interest area was calculated as 6±4.6 cm<sup>2</sup>. In PET/CT, mean SUV<sub>mean</sub>: 5.8±3.3; SUV<sub>peak</sub>: 6.8±4.3; SUV<sub>max</sub>: 10.7±5.6; and metabolic tumor volume: 12.1 (7.4-20.7) cm<sup>3</sup>. No statistically significant correlation was found between ADC and SUV values.</p><p><strong>Conclusion: </strong>There was no correlation between ADC and SUV values in liver metastases. Prospective studies with a large patient group are needed.</p>","PeriodicalId":44681,"journal":{"name":"Molecular Imaging and Radionuclide Therapy","volume":"34 1","pages":"48-54"},"PeriodicalIF":1.1000,"publicationDate":"2025-02-07","publicationTypes":"Journal Article","fieldsOfStudy":null,"isOpenAccess":false,"openAccessPdf":"https://www.ncbi.nlm.nih.gov/pmc/articles/PMC11827527/pdf/","citationCount":"0","resultStr":"{\"title\":\"Correlation of 3T Diffusion-weighted MRI and <sup>18</sup>F-FDG-PET/CT in Liver Metastases: SUV Versus ADC.\",\"authors\":\"Ahmet Tanyeri, Rıdvan Akbulut, Emir Hüseyin Nevai, Yakup Yürekli\",\"doi\":\"10.4274/mirt.galenos.2024.37431\",\"DOIUrl\":null,\"url\":null,\"abstract\":\"<p><strong>Objectives: </strong>Positron emission tomography/computed tomography (PET/CT) and magnetic resonance imaging (MRI) are widely used in the diagnosis and follow-up of liver metastases. Both modalities provide anatomical and functional information and have advantages and disadvantages. The objective of this study was to investigate the correlation between apparent diffusion coefficient (ADC) and standardized uptake value (SUV) values in metastatic liver lesions.</p><p><strong>Methods: </strong>Abdominal magnetic resonance (MR) scans performed between April 2021 and 2024 using the 3T MR scanner were retrospectively evaluated. Thirty-three patients with liver metastases, less than one month between magnetic resonance imaging (MRI) and PET/CT, no treatment during this period, and lesions larger than 1 cm were included in the study. In each MRI scan, an index lesion was selected for ADC measurement. The radiologist and nuclear medicine specialist measured the same index lesion without the patient being informed of the results.</p><p><strong>Results: </strong>The mean age of the 33 patients was 59±12 years, with 17 (51%) men and 16 (49%) women. The mean size of the index lesions was 27±9 mm. In MRI, mean ADC<sub>min</sub>: (0.54±0.2) ×10<sup>-3</sup>mm<sup>2</sup>/s; ADC<sub>mean</sub>: (1.02±0.2) ×10<sup>-3</sup>mm<sup>2</sup>/s; ADC<sub>max</sub>: (1.48±0.44) ×10<sup>-3</sup>mm<sup>2</sup>/s; and region of interest area was calculated as 6±4.6 cm<sup>2</sup>. In PET/CT, mean SUV<sub>mean</sub>: 5.8±3.3; SUV<sub>peak</sub>: 6.8±4.3; SUV<sub>max</sub>: 10.7±5.6; and metabolic tumor volume: 12.1 (7.4-20.7) cm<sup>3</sup>. No statistically significant correlation was found between ADC and SUV values.</p><p><strong>Conclusion: </strong>There was no correlation between ADC and SUV values in liver metastases. Prospective studies with a large patient group are needed.</p>\",\"PeriodicalId\":44681,\"journal\":{\"name\":\"Molecular Imaging and Radionuclide Therapy\",\"volume\":\"34 1\",\"pages\":\"48-54\"},\"PeriodicalIF\":1.1000,\"publicationDate\":\"2025-02-07\",\"publicationTypes\":\"Journal Article\",\"fieldsOfStudy\":null,\"isOpenAccess\":false,\"openAccessPdf\":\"https://www.ncbi.nlm.nih.gov/pmc/articles/PMC11827527/pdf/\",\"citationCount\":\"0\",\"resultStr\":null,\"platform\":\"Semanticscholar\",\"paperid\":null,\"PeriodicalName\":\"Molecular Imaging and Radionuclide Therapy\",\"FirstCategoryId\":\"1085\",\"ListUrlMain\":\"https://doi.org/10.4274/mirt.galenos.2024.37431\",\"RegionNum\":0,\"RegionCategory\":null,\"ArticlePicture\":[],\"TitleCN\":null,\"AbstractTextCN\":null,\"PMCID\":null,\"EPubDate\":\"\",\"PubModel\":\"\",\"JCR\":\"Q4\",\"JCRName\":\"RADIOLOGY, NUCLEAR MEDICINE & MEDICAL IMAGING\",\"Score\":null,\"Total\":0}","platform":"Semanticscholar","paperid":null,"PeriodicalName":"Molecular Imaging and Radionuclide Therapy","FirstCategoryId":"1085","ListUrlMain":"https://doi.org/10.4274/mirt.galenos.2024.37431","RegionNum":0,"RegionCategory":null,"ArticlePicture":[],"TitleCN":null,"AbstractTextCN":null,"PMCID":null,"EPubDate":"","PubModel":"","JCR":"Q4","JCRName":"RADIOLOGY, NUCLEAR MEDICINE & MEDICAL IMAGING","Score":null,"Total":0}
引用次数: 0

摘要

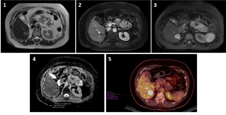
目的:正电子发射断层扫描/计算机断层扫描(PET/CT)和磁共振成像(MRI)在肝转移的诊断和随访中应用广泛。两种方式都提供解剖和功能信息,各有优缺点。本研究的目的是探讨转移性肝病变中表观扩散系数(ADC)和标准化摄取值(SUV)值之间的相关性。方法:回顾性评估2021年4月至2024年4月使用3T磁共振扫描仪进行的腹部磁共振(MR)扫描。本研究纳入33例肝转移患者,磁共振成像(MRI)与PET/CT间隔小于1个月,在此期间未接受治疗,病变大于1 cm。在每次MRI扫描中,选择一个指数病变进行ADC测量。放射科医生和核医学专家在不告知患者结果的情况下测量了相同的指数病变。结果:33例患者平均年龄59±12岁,其中男性17例(51%),女性16例(49%)。指数病变的平均大小为27±9 mm。MRI平均ADCmin:(0.54±0.2)×10-3mm2/s;ADCmean:(1.02±0.2)×10-3mm2/s;ADCmax:(1.48±0.44)×10-3mm2/s;感兴趣区域面积计算为6±4.6 cm2。PET/CT平均suv均值:5.8±3.3;SUVpeak: 6.8±4.3;SUVmax: 10.7±5.6;代谢性肿瘤体积:12.1 (7.4-20.7)cm3。ADC与SUV值之间无统计学意义相关。结论:肝转移灶的ADC值与SUV值无相关性。需要对大量患者进行前瞻性研究。
本文章由计算机程序翻译,如有差异,请以英文原文为准。

Correlation of 3T Diffusion-weighted MRI and <sup>18</sup>F-FDG-PET/CT in Liver Metastases: SUV Versus ADC.

Correlation of 3T Diffusion-weighted MRI and <sup>18</sup>F-FDG-PET/CT in Liver Metastases: SUV Versus ADC.

Correlation of 3T Diffusion-weighted MRI and <sup>18</sup>F-FDG-PET/CT in Liver Metastases: SUV Versus ADC.

Correlation of 3T Diffusion-weighted MRI and 18F-FDG-PET/CT in Liver Metastases: SUV Versus ADC.

Objectives: Positron emission tomography/computed tomography (PET/CT) and magnetic resonance imaging (MRI) are widely used in the diagnosis and follow-up of liver metastases. Both modalities provide anatomical and functional information and have advantages and disadvantages. The objective of this study was to investigate the correlation between apparent diffusion coefficient (ADC) and standardized uptake value (SUV) values in metastatic liver lesions.

Methods: Abdominal magnetic resonance (MR) scans performed between April 2021 and 2024 using the 3T MR scanner were retrospectively evaluated. Thirty-three patients with liver metastases, less than one month between magnetic resonance imaging (MRI) and PET/CT, no treatment during this period, and lesions larger than 1 cm were included in the study. In each MRI scan, an index lesion was selected for ADC measurement. The radiologist and nuclear medicine specialist measured the same index lesion without the patient being informed of the results.

Results: The mean age of the 33 patients was 59±12 years, with 17 (51%) men and 16 (49%) women. The mean size of the index lesions was 27±9 mm. In MRI, mean ADCmin: (0.54±0.2) ×10-3mm2/s; ADCmean: (1.02±0.2) ×10-3mm2/s; ADCmax: (1.48±0.44) ×10-3mm2/s; and region of interest area was calculated as 6±4.6 cm2. In PET/CT, mean SUVmean: 5.8±3.3; SUVpeak: 6.8±4.3; SUVmax: 10.7±5.6; and metabolic tumor volume: 12.1 (7.4-20.7) cm3. No statistically significant correlation was found between ADC and SUV values.

Conclusion: There was no correlation between ADC and SUV values in liver metastases. Prospective studies with a large patient group are needed.

求助全文
通过发布文献求助,成功后即可免费获取论文全文。 去求助
来源期刊
Molecular Imaging and Radionuclide Therapy
Molecular Imaging and Radionuclide Therapy RADIOLOGY, NUCLEAR MEDICINE & MEDICAL IMAGING-
CiteScore
1.30
自引率
0.00%
发文量
50
期刊介绍: Molecular Imaging and Radionuclide Therapy (Mol Imaging Radionucl Ther, MIRT) is publishes original research articles, invited reviews, editorials, short communications, letters, consensus statements, guidelines and case reports with a literature review on the topic, in the field of molecular imaging, multimodality imaging, nuclear medicine, radionuclide therapy, radiopharmacy, medical physics, dosimetry and radiobiology.
×
引用
GB/T 7714-2015
复制
MLA
复制
APA
复制
导出至
BibTeX EndNote RefMan NoteFirst NoteExpress
×
提示
您的信息不完整,为了账户安全,请先补充。
现在去补充
×
提示
您因"违规操作"
具体请查看互助需知
我知道了
×
提示
确定
请完成安全验证×
copy
已复制链接
快去分享给好友吧!
我知道了
右上角分享
点击右上角分享
0
联系我们:info@booksci.cn Book学术提供免费学术资源搜索服务,方便国内外学者检索中英文文献。致力于提供最便捷和优质的服务体验。 Copyright © 2023 布克学术 All rights reserved.
京ICP备2023020795号-1
ghs 京公网安备 11010802042870号
Book学术文献互助
Book学术文献互助群
群 号:604180095
Book学术官方微信