腹部和盆腔弥漫性腹膜平滑肌瘤病的计算机断层扫描和磁共振成像特征:一项回顾性观察研究。

IF 1.3 Q3 RADIOLOGY, NUCLEAR MEDICINE & MEDICAL IMAGING
Journal of Clinical Imaging Science Pub Date : 2025-01-29 eCollection Date: 2025-01-01 DOI:10.25259/JCIS_144_2024
Xin He, Xinxing Ma, Nan Jiang, Chunjiao Weng, Ling Yang
{"title":"腹部和盆腔弥漫性腹膜平滑肌瘤病的计算机断层扫描和磁共振成像特征:一项回顾性观察研究。","authors":"Xin He, Xinxing Ma, Nan Jiang, Chunjiao Weng, Ling Yang","doi":"10.25259/JCIS_144_2024","DOIUrl":null,"url":null,"abstract":"<p><strong>Objectives: </strong>Leiomyomatosis peritonealis disseminata (LPD) is a rare and specific type of leiomyomatosis that is often misdiagnosed as malignant tumor with peritoneal metastasis, and accurate diagnosis is critical to treatment planning. The purpose of this study is to investigate the radiological features of LPD, analyze, and summarize its differential diagnosis and clinical features to improve the understanding of this rare disease.</p><p><strong>Material and methods: </strong>A retrospective analysis was conducted on clinical and radiological features from 10 patients with pathologically confirmed LPD between 2012 and 2024. The computed tomography (CT) and magnetic resonance imaging (MRI) findings were examined, focusing on parameters such as location, morphology, size, quantity, enhancement patterns, and their relationship with adjacent organs. In addition, the radiological features and the key points of differential diagnosis were summarized.</p><p><strong>Results: </strong>All the 10 LPD patients presented with multifocal lesions in the abdomen and pelvis, and 7 of them had a history of hysteromyoma surgery. The number of lesions was all ≥2, most of them were round or quasi-circular, with clear boundaries and smooth edges, did not invade the neighboring parenchymal organs, with a length of about 1.5~16.8 cm. The lesions were located in the pelvic cavity in 6 cases, the abdominal wall in 6 cases, the intestinal wall in 3 cases, the rectouterine pouch in 1 case, the omentum in 5 cases, the abdominal cavity in 1 case, and the mesentery in 1 case. There were 7 cases with minimal pelvic fluid and 1 case with liver spread. CT showed circular solid nodules with clear boundaries. The density of small lesions was homogeneous. Cystic changes were observed in some large lesions. On MRI, T1-weighted imaging showed hypo to isointense, T2-weighted imaging (T2WI) mostly showed hypointense, and T2WI in some large lesions showed slightly high signal intensity, diffusion-weighted imaging signal intensity was not higher than that of myometrium, apparent diffusion coefficient showed isointense, and solid components of the lesions were significantly more homogeneous enhanced after enhancement, and the enhancement degree was similar to that of normal myometrium.</p><p><strong>Conclusion: </strong>Although the imaging findings of LPD are similar to malignant tumors with peritoneal implantation and metastasis, they have certain characteristics, which are helpful for differential diagnosis combined with the clinical history of patients.</p>","PeriodicalId":15512,"journal":{"name":"Journal of Clinical Imaging Science","volume":"15 ","pages":"6"},"PeriodicalIF":1.3000,"publicationDate":"2025-01-29","publicationTypes":"Journal Article","fieldsOfStudy":null,"isOpenAccess":false,"openAccessPdf":"https://www.ncbi.nlm.nih.gov/pmc/articles/PMC11801444/pdf/","citationCount":"0","resultStr":"{\"title\":\"Computed tomography and magnetic resonance imaging features of abdominal and pelvic leiomyomatosis peritonealis disseminata: A retrospective observational study.\",\"authors\":\"Xin He, Xinxing Ma, Nan Jiang, Chunjiao Weng, Ling Yang\",\"doi\":\"10.25259/JCIS_144_2024\",\"DOIUrl\":null,\"url\":null,\"abstract\":\"<p><strong>Objectives: </strong>Leiomyomatosis peritonealis disseminata (LPD) is a rare and specific type of leiomyomatosis that is often misdiagnosed as malignant tumor with peritoneal metastasis, and accurate diagnosis is critical to treatment planning. The purpose of this study is to investigate the radiological features of LPD, analyze, and summarize its differential diagnosis and clinical features to improve the understanding of this rare disease.</p><p><strong>Material and methods: </strong>A retrospective analysis was conducted on clinical and radiological features from 10 patients with pathologically confirmed LPD between 2012 and 2024. The computed tomography (CT) and magnetic resonance imaging (MRI) findings were examined, focusing on parameters such as location, morphology, size, quantity, enhancement patterns, and their relationship with adjacent organs. In addition, the radiological features and the key points of differential diagnosis were summarized.</p><p><strong>Results: </strong>All the 10 LPD patients presented with multifocal lesions in the abdomen and pelvis, and 7 of them had a history of hysteromyoma surgery. The number of lesions was all ≥2, most of them were round or quasi-circular, with clear boundaries and smooth edges, did not invade the neighboring parenchymal organs, with a length of about 1.5~16.8 cm. The lesions were located in the pelvic cavity in 6 cases, the abdominal wall in 6 cases, the intestinal wall in 3 cases, the rectouterine pouch in 1 case, the omentum in 5 cases, the abdominal cavity in 1 case, and the mesentery in 1 case. There were 7 cases with minimal pelvic fluid and 1 case with liver spread. CT showed circular solid nodules with clear boundaries. The density of small lesions was homogeneous. Cystic changes were observed in some large lesions. On MRI, T1-weighted imaging showed hypo to isointense, T2-weighted imaging (T2WI) mostly showed hypointense, and T2WI in some large lesions showed slightly high signal intensity, diffusion-weighted imaging signal intensity was not higher than that of myometrium, apparent diffusion coefficient showed isointense, and solid components of the lesions were significantly more homogeneous enhanced after enhancement, and the enhancement degree was similar to that of normal myometrium.</p><p><strong>Conclusion: </strong>Although the imaging findings of LPD are similar to malignant tumors with peritoneal implantation and metastasis, they have certain characteristics, which are helpful for differential diagnosis combined with the clinical history of patients.</p>\",\"PeriodicalId\":15512,\"journal\":{\"name\":\"Journal of Clinical Imaging Science\",\"volume\":\"15 \",\"pages\":\"6\"},\"PeriodicalIF\":1.3000,\"publicationDate\":\"2025-01-29\",\"publicationTypes\":\"Journal Article\",\"fieldsOfStudy\":null,\"isOpenAccess\":false,\"openAccessPdf\":\"https://www.ncbi.nlm.nih.gov/pmc/articles/PMC11801444/pdf/\",\"citationCount\":\"0\",\"resultStr\":null,\"platform\":\"Semanticscholar\",\"paperid\":null,\"PeriodicalName\":\"Journal of Clinical Imaging Science\",\"FirstCategoryId\":\"1085\",\"ListUrlMain\":\"https://doi.org/10.25259/JCIS_144_2024\",\"RegionNum\":0,\"RegionCategory\":null,\"ArticlePicture\":[],\"TitleCN\":null,\"AbstractTextCN\":null,\"PMCID\":null,\"EPubDate\":\"2025/1/1 0:00:00\",\"PubModel\":\"eCollection\",\"JCR\":\"Q3\",\"JCRName\":\"RADIOLOGY, NUCLEAR MEDICINE & MEDICAL IMAGING\",\"Score\":null,\"Total\":0}","platform":"Semanticscholar","paperid":null,"PeriodicalName":"Journal of Clinical Imaging Science","FirstCategoryId":"1085","ListUrlMain":"https://doi.org/10.25259/JCIS_144_2024","RegionNum":0,"RegionCategory":null,"ArticlePicture":[],"TitleCN":null,"AbstractTextCN":null,"PMCID":null,"EPubDate":"2025/1/1 0:00:00","PubModel":"eCollection","JCR":"Q3","JCRName":"RADIOLOGY, NUCLEAR MEDICINE & MEDICAL IMAGING","Score":null,"Total":0}
引用次数: 0

摘要

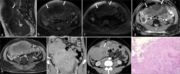
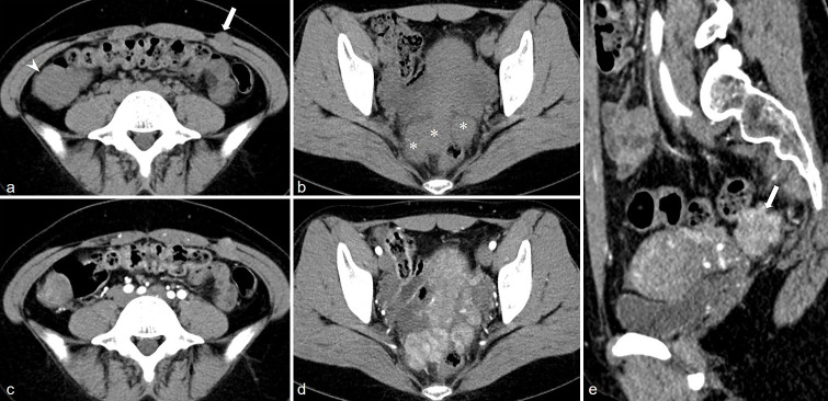
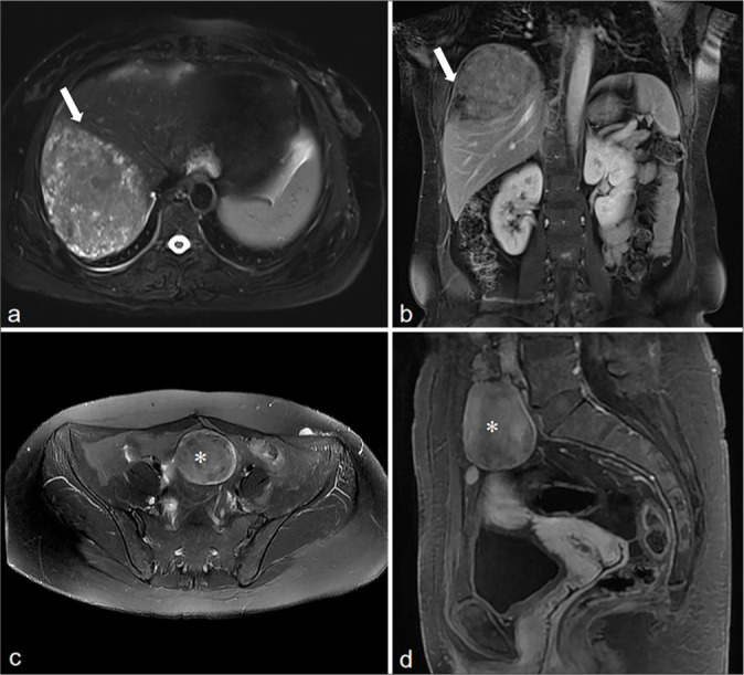
目的:广泛性腹膜平滑肌瘤病(LPD)是一种少见的特殊类型的平滑肌瘤病,常被误诊为恶性肿瘤伴腹膜转移,准确诊断对制定治疗方案至关重要。本研究旨在探讨LPD的影像学特征,分析和总结其鉴别诊断及临床特点,以提高对这种罕见疾病的认识。材料与方法:回顾性分析2012 ~ 2024年10例病理证实的LPD患者的临床及影像学特征。计算机断层扫描(CT)和磁共振成像(MRI)检查的结果,重点是参数,如位置,形态,大小,数量,增强模式及其与邻近器官的关系。并对其影像学表现及鉴别诊断要点进行了总结。结果:10例LPD患者均表现为腹部和骨盆多灶性病变,其中7例有子宫肌瘤手术史。病变数均≥2个,多为圆形或准圆形,边界清晰,边缘光滑,不侵犯邻近实质器官,长度约1.5~16.8 cm。病变位于盆腔6例、腹壁6例、肠壁3例、直肠子宫袋1例、大网膜5例、腹腔1例、肠系膜1例。盆腔积液少7例,肝扩散1例。CT示圆形实性结节,边界清晰。小病灶密度均匀。部分大病灶可见囊性改变。MRI上t1加权成像低至等强,t2加权成像(T2WI)多呈低信号,部分大病灶T2WI信号略高,弥散加权成像信号强度不高于肌层,表观弥散系数等强,强化后病灶实性成分明显更加均匀强化,强化程度与正常肌层相似。结论:LPD的影像学表现虽与恶性肿瘤伴腹膜植入转移相似,但有一定的特点,有助于结合患者的临床病史进行鉴别诊断。
本文章由计算机程序翻译,如有差异,请以英文原文为准。

Computed tomography and magnetic resonance imaging features of abdominal and pelvic leiomyomatosis peritonealis disseminata: A retrospective observational study.

Computed tomography and magnetic resonance imaging features of abdominal and pelvic leiomyomatosis peritonealis disseminata: A retrospective observational study.

Computed tomography and magnetic resonance imaging features of abdominal and pelvic leiomyomatosis peritonealis disseminata: A retrospective observational study.

Computed tomography and magnetic resonance imaging features of abdominal and pelvic leiomyomatosis peritonealis disseminata: A retrospective observational study.

Objectives: Leiomyomatosis peritonealis disseminata (LPD) is a rare and specific type of leiomyomatosis that is often misdiagnosed as malignant tumor with peritoneal metastasis, and accurate diagnosis is critical to treatment planning. The purpose of this study is to investigate the radiological features of LPD, analyze, and summarize its differential diagnosis and clinical features to improve the understanding of this rare disease.

Material and methods: A retrospective analysis was conducted on clinical and radiological features from 10 patients with pathologically confirmed LPD between 2012 and 2024. The computed tomography (CT) and magnetic resonance imaging (MRI) findings were examined, focusing on parameters such as location, morphology, size, quantity, enhancement patterns, and their relationship with adjacent organs. In addition, the radiological features and the key points of differential diagnosis were summarized.

Results: All the 10 LPD patients presented with multifocal lesions in the abdomen and pelvis, and 7 of them had a history of hysteromyoma surgery. The number of lesions was all ≥2, most of them were round or quasi-circular, with clear boundaries and smooth edges, did not invade the neighboring parenchymal organs, with a length of about 1.5~16.8 cm. The lesions were located in the pelvic cavity in 6 cases, the abdominal wall in 6 cases, the intestinal wall in 3 cases, the rectouterine pouch in 1 case, the omentum in 5 cases, the abdominal cavity in 1 case, and the mesentery in 1 case. There were 7 cases with minimal pelvic fluid and 1 case with liver spread. CT showed circular solid nodules with clear boundaries. The density of small lesions was homogeneous. Cystic changes were observed in some large lesions. On MRI, T1-weighted imaging showed hypo to isointense, T2-weighted imaging (T2WI) mostly showed hypointense, and T2WI in some large lesions showed slightly high signal intensity, diffusion-weighted imaging signal intensity was not higher than that of myometrium, apparent diffusion coefficient showed isointense, and solid components of the lesions were significantly more homogeneous enhanced after enhancement, and the enhancement degree was similar to that of normal myometrium.

Conclusion: Although the imaging findings of LPD are similar to malignant tumors with peritoneal implantation and metastasis, they have certain characteristics, which are helpful for differential diagnosis combined with the clinical history of patients.

求助全文
通过发布文献求助,成功后即可免费获取论文全文。 去求助
来源期刊
Journal of Clinical Imaging Science
Journal of Clinical Imaging Science RADIOLOGY, NUCLEAR MEDICINE & MEDICAL IMAGING-
CiteScore
2.00
自引率
0.00%
发文量
65
期刊介绍: The Journal of Clinical Imaging Science (JCIS) is an open access peer-reviewed journal committed to publishing high-quality articles in the field of Imaging Science. The journal aims to present Imaging Science and relevant clinical information in an understandable and useful format. The journal is owned and published by the Scientific Scholar. Audience Our audience includes Radiologists, Researchers, Clinicians, medical professionals and students. Review process JCIS has a highly rigorous peer-review process that makes sure that manuscripts are scientifically accurate, relevant, novel and important. Authors disclose all conflicts, affiliations and financial associations such that the published content is not biased.
×
引用
GB/T 7714-2015
复制
MLA
复制
APA
复制
导出至
BibTeX EndNote RefMan NoteFirst NoteExpress
×
提示
您的信息不完整,为了账户安全,请先补充。
现在去补充
×
提示
您因"违规操作"
具体请查看互助需知
我知道了
×
提示
确定
请完成安全验证×
copy
已复制链接
快去分享给好友吧!
我知道了
右上角分享
点击右上角分享
0
联系我们:info@booksci.cn Book学术提供免费学术资源搜索服务,方便国内外学者检索中英文文献。致力于提供最便捷和优质的服务体验。 Copyright © 2023 布克学术 All rights reserved.
京ICP备2023020795号-1
ghs 京公网安备 11010802042870号
Book学术文献互助
Book学术文献互助群
群 号:604180095
Book学术官方微信