主动脉肠系膜角度:呼吸期和内脏脂肪影响的对比增强计算机断层扫描分析。

IF 1.3 Q3 RADIOLOGY, NUCLEAR MEDICINE & MEDICAL IMAGING
Journal of Clinical Imaging Science Pub Date : 2025-01-06 eCollection Date: 2025-01-01 DOI:10.25259/JCIS_65_2024
Hirofumi Sekino, Shiro Ishii, Yumi Saito, Junko Hara, Ryo Yamakuni, Kenji Fukushima, Hiroshi Ito
{"title":"主动脉肠系膜角度:呼吸期和内脏脂肪影响的对比增强计算机断层扫描分析。","authors":"Hirofumi Sekino, Shiro Ishii, Yumi Saito, Junko Hara, Ryo Yamakuni, Kenji Fukushima, Hiroshi Ito","doi":"10.25259/JCIS_65_2024","DOIUrl":null,"url":null,"abstract":"<p><strong>Objectives: </strong>The objective of this study was to evaluate the relationship between the aortomesenteric angle at end-inspiration and end-expiration and its variation rate with several anthropometric parameters.</p><p><strong>Material and methods: </strong>Sagittal reconstructed computed tomography (CT) images of 59 patients who underwent contrast-enhanced CT at end-inspiration and end-expiration between 2015 and 2020 were reviewed. All these patients underwent dynamic contrast CT during both inspiration and expiration for adrenal venous sampling purposes. Two experienced radiologists measured the aortomesenteric angle during both end-inspiration and end-expiration, and its variation rate. Pearson's or Spearman's correlation analysis was used to assess correlations between the angle or variation rate and height, weight, body mass index (BMI), visceral fat, subcutaneous fat, and diaphragm motion.</p><p><strong>Results: </strong>The aortomesenteric angle was significantly larger at end-expiration (88.65 ± 25.15, 95% confidence interval [CI] 82.09-95.20) compared to end-inspiration (62.22 ± 21.90, 95% CI 56.51-67.93, <i>P</i> < 0.001). The aortomesenteric angles at both end-inspiration and end-expiration correlated significantly with weight, BMI, visceral fat, and subcutaneous fat. The strongest correlation was between aortomesenteric angle and visceral fat at both end-inspiration (r = 0.523, <i>P</i> < 0.001) and end-expiration (r = 0.546, <i>P</i> < 0.001). The variation rate correlated only with diaphragm motion (r = 0.550, <i>P</i> < 0.001).</p><p><strong>Conclusion: </strong>The aortomesenteric angle at end-expiration was significantly larger than at end-inspiration, with the strongest correlation found between the angle and visceral fat.</p>","PeriodicalId":15512,"journal":{"name":"Journal of Clinical Imaging Science","volume":"15 ","pages":"2"},"PeriodicalIF":1.3000,"publicationDate":"2025-01-06","publicationTypes":"Journal Article","fieldsOfStudy":null,"isOpenAccess":false,"openAccessPdf":"https://www.ncbi.nlm.nih.gov/pmc/articles/PMC11801472/pdf/","citationCount":"0","resultStr":"{\"title\":\"Aortomesenteric angle: A contrast-enhanced computed tomography analysis of respiratory phase and visceral fat impact.\",\"authors\":\"Hirofumi Sekino, Shiro Ishii, Yumi Saito, Junko Hara, Ryo Yamakuni, Kenji Fukushima, Hiroshi Ito\",\"doi\":\"10.25259/JCIS_65_2024\",\"DOIUrl\":null,\"url\":null,\"abstract\":\"<p><strong>Objectives: </strong>The objective of this study was to evaluate the relationship between the aortomesenteric angle at end-inspiration and end-expiration and its variation rate with several anthropometric parameters.</p><p><strong>Material and methods: </strong>Sagittal reconstructed computed tomography (CT) images of 59 patients who underwent contrast-enhanced CT at end-inspiration and end-expiration between 2015 and 2020 were reviewed. All these patients underwent dynamic contrast CT during both inspiration and expiration for adrenal venous sampling purposes. Two experienced radiologists measured the aortomesenteric angle during both end-inspiration and end-expiration, and its variation rate. Pearson's or Spearman's correlation analysis was used to assess correlations between the angle or variation rate and height, weight, body mass index (BMI), visceral fat, subcutaneous fat, and diaphragm motion.</p><p><strong>Results: </strong>The aortomesenteric angle was significantly larger at end-expiration (88.65 ± 25.15, 95% confidence interval [CI] 82.09-95.20) compared to end-inspiration (62.22 ± 21.90, 95% CI 56.51-67.93, <i>P</i> < 0.001). The aortomesenteric angles at both end-inspiration and end-expiration correlated significantly with weight, BMI, visceral fat, and subcutaneous fat. The strongest correlation was between aortomesenteric angle and visceral fat at both end-inspiration (r = 0.523, <i>P</i> < 0.001) and end-expiration (r = 0.546, <i>P</i> < 0.001). The variation rate correlated only with diaphragm motion (r = 0.550, <i>P</i> < 0.001).</p><p><strong>Conclusion: </strong>The aortomesenteric angle at end-expiration was significantly larger than at end-inspiration, with the strongest correlation found between the angle and visceral fat.</p>\",\"PeriodicalId\":15512,\"journal\":{\"name\":\"Journal of Clinical Imaging Science\",\"volume\":\"15 \",\"pages\":\"2\"},\"PeriodicalIF\":1.3000,\"publicationDate\":\"2025-01-06\",\"publicationTypes\":\"Journal Article\",\"fieldsOfStudy\":null,\"isOpenAccess\":false,\"openAccessPdf\":\"https://www.ncbi.nlm.nih.gov/pmc/articles/PMC11801472/pdf/\",\"citationCount\":\"0\",\"resultStr\":null,\"platform\":\"Semanticscholar\",\"paperid\":null,\"PeriodicalName\":\"Journal of Clinical Imaging Science\",\"FirstCategoryId\":\"1085\",\"ListUrlMain\":\"https://doi.org/10.25259/JCIS_65_2024\",\"RegionNum\":0,\"RegionCategory\":null,\"ArticlePicture\":[],\"TitleCN\":null,\"AbstractTextCN\":null,\"PMCID\":null,\"EPubDate\":\"2025/1/1 0:00:00\",\"PubModel\":\"eCollection\",\"JCR\":\"Q3\",\"JCRName\":\"RADIOLOGY, NUCLEAR MEDICINE & MEDICAL IMAGING\",\"Score\":null,\"Total\":0}","platform":"Semanticscholar","paperid":null,"PeriodicalName":"Journal of Clinical Imaging Science","FirstCategoryId":"1085","ListUrlMain":"https://doi.org/10.25259/JCIS_65_2024","RegionNum":0,"RegionCategory":null,"ArticlePicture":[],"TitleCN":null,"AbstractTextCN":null,"PMCID":null,"EPubDate":"2025/1/1 0:00:00","PubModel":"eCollection","JCR":"Q3","JCRName":"RADIOLOGY, NUCLEAR MEDICINE & MEDICAL IMAGING","Score":null,"Total":0}
引用次数: 0

摘要

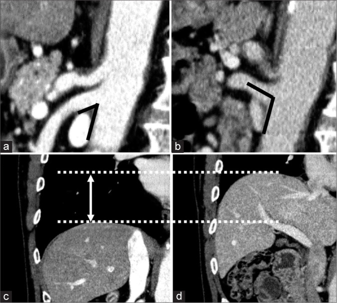
目的:本研究的目的是评价腹主动脉肠系膜末吸气和呼气角及其变化率与几个人体测量参数的关系。材料与方法:回顾2015 - 2020年59例经增强CT扫描的患者在吸气末和呼气末的矢状面重建CT图像。所有患者在吸气和呼气时均行动态对比CT扫描,以进行肾上腺静脉取样。两名经验丰富的放射科医师分别测量了末吸气和末呼气时的主肠系膜角度及其变化率。Pearson’s或Spearman’s相关分析用于评估角度或变化率与身高、体重、体重指数(BMI)、内脏脂肪、皮下脂肪和横膈膜运动之间的相关性。结果:呼气末主动脉肠系膜角度(88.65±25.15,95%可信区间[CI] 82.09 ~ 95.20)明显大于吸气末(62.22±21.90,95% CI 56.51 ~ 67.93, P < 0.001)。主动脉肠系膜吸气和呼气末端的角度与体重、BMI、内脏脂肪和皮下脂肪显著相关。在吸气末(r = 0.523, P < 0.001)和呼气末(r = 0.546, P < 0.001),主动脉肠系膜角度与内脏脂肪的相关性最强。变异率仅与膈肌运动相关(r = 0.550, P < 0.001)。结论:腹主动脉肠系膜呼气末角度明显大于吸气末角度,且与内脏脂肪的相关性最强。
本文章由计算机程序翻译,如有差异,请以英文原文为准。

Aortomesenteric angle: A contrast-enhanced computed tomography analysis of respiratory phase and visceral fat impact.

Aortomesenteric angle: A contrast-enhanced computed tomography analysis of respiratory phase and visceral fat impact.

Aortomesenteric angle: A contrast-enhanced computed tomography analysis of respiratory phase and visceral fat impact.

Aortomesenteric angle: A contrast-enhanced computed tomography analysis of respiratory phase and visceral fat impact.

Objectives: The objective of this study was to evaluate the relationship between the aortomesenteric angle at end-inspiration and end-expiration and its variation rate with several anthropometric parameters.

Material and methods: Sagittal reconstructed computed tomography (CT) images of 59 patients who underwent contrast-enhanced CT at end-inspiration and end-expiration between 2015 and 2020 were reviewed. All these patients underwent dynamic contrast CT during both inspiration and expiration for adrenal venous sampling purposes. Two experienced radiologists measured the aortomesenteric angle during both end-inspiration and end-expiration, and its variation rate. Pearson's or Spearman's correlation analysis was used to assess correlations between the angle or variation rate and height, weight, body mass index (BMI), visceral fat, subcutaneous fat, and diaphragm motion.

Results: The aortomesenteric angle was significantly larger at end-expiration (88.65 ± 25.15, 95% confidence interval [CI] 82.09-95.20) compared to end-inspiration (62.22 ± 21.90, 95% CI 56.51-67.93, P < 0.001). The aortomesenteric angles at both end-inspiration and end-expiration correlated significantly with weight, BMI, visceral fat, and subcutaneous fat. The strongest correlation was between aortomesenteric angle and visceral fat at both end-inspiration (r = 0.523, P < 0.001) and end-expiration (r = 0.546, P < 0.001). The variation rate correlated only with diaphragm motion (r = 0.550, P < 0.001).

Conclusion: The aortomesenteric angle at end-expiration was significantly larger than at end-inspiration, with the strongest correlation found between the angle and visceral fat.

求助全文
通过发布文献求助,成功后即可免费获取论文全文。 去求助
来源期刊
Journal of Clinical Imaging Science
Journal of Clinical Imaging Science RADIOLOGY, NUCLEAR MEDICINE & MEDICAL IMAGING-
CiteScore
2.00
自引率
0.00%
发文量
65
期刊介绍: The Journal of Clinical Imaging Science (JCIS) is an open access peer-reviewed journal committed to publishing high-quality articles in the field of Imaging Science. The journal aims to present Imaging Science and relevant clinical information in an understandable and useful format. The journal is owned and published by the Scientific Scholar. Audience Our audience includes Radiologists, Researchers, Clinicians, medical professionals and students. Review process JCIS has a highly rigorous peer-review process that makes sure that manuscripts are scientifically accurate, relevant, novel and important. Authors disclose all conflicts, affiliations and financial associations such that the published content is not biased.
×
引用
GB/T 7714-2015
复制
MLA
复制
APA
复制
导出至
BibTeX EndNote RefMan NoteFirst NoteExpress
×
提示
您的信息不完整,为了账户安全,请先补充。
现在去补充
×
提示
您因"违规操作"
具体请查看互助需知
我知道了
×
提示
确定
请完成安全验证×
copy
已复制链接
快去分享给好友吧!
我知道了
右上角分享
点击右上角分享
0
联系我们:info@booksci.cn Book学术提供免费学术资源搜索服务,方便国内外学者检索中英文文献。致力于提供最便捷和优质的服务体验。 Copyright © 2023 布克学术 All rights reserved.
京ICP备2023020795号-1
ghs 京公网安备 11010802042870号
Book学术文献互助
Book学术文献互助群
群 号:604180095
Book学术官方微信