利用光子计数检测器CT在体内鉴别颅内或脊髓栓塞后碘和钽基液体栓塞。

IF 2.6 3区 医学 Q2 Medicine
Clinical Neuroradiology Pub Date : 2025-09-01 Epub Date: 2025-02-06 DOI:10.1007/s00062-025-01502-x
Christoph Johannes Maurer, Ansgar Berlis, Franz Josef Stangl, Lars Behrens
{"title":"利用光子计数检测器CT在体内鉴别颅内或脊髓栓塞后碘和钽基液体栓塞。","authors":"Christoph Johannes Maurer, Ansgar Berlis, Franz Josef Stangl, Lars Behrens","doi":"10.1007/s00062-025-01502-x","DOIUrl":null,"url":null,"abstract":"<p><strong>Purpose: </strong>In vitro differentiation of iodine and tantalum-based liquid embolics post-embolization can be achieved using spectral computed tomography. This study evaluates the in vivo ability of clinical photon-counting computed tomography (PCD-CT) to distinguish these embolic agents in patients undergoing endovascular treatments for cerebrovascular and spinal pathologies.</p><p><strong>Methods: </strong>This retrospective study included 25 patients treated between April 2021 and March 2024, who underwent PCD-CT imaging post-embolization for intracranial arteriovenous malformations (AVM), dural arteriovenous fistulas (dAVF), spinal tumors, or middle meningeal artery (MMA) embolization for chronic subdural hematomas (cSDH). Imaging analysis involved iterative reconstruction, using conventional images (CI), iodine maps (IM), and virtual non-contrast (VNC) series. Two blinded neuroradiologists assessed the suppression quality of the embolic agents on a Likert scale.</p><p><strong>Results: </strong>Of the 25 patients, 22 underwent intracranial and 3 spinal embolizations. The differentiation between iodine and tantalum-based embolics achieved 92% accuracy for reader 1 and 88% for reader 2, with a Cohen's kappa coefficient of 0.92 indicating high inter-reader agreement. Iodine-based agents were moderately suppressed, whereas tantalum-based agents exhibited superior suppression. Errors arose from mistaking suppressed platinum coils for tantalum-based embolics. Hemorrhage detection accuracy was high, with a Cohen's kappa of 0.92.</p><p><strong>Conclusions: </strong>PCD-CT effectively differentiates between iodine- and tantalum-based embolics in vivo, demonstrating high diagnostic accuracy and inter-reader reliability. This capability facilitates improved post-procedural assessment and may enhance the management of endovascularly treated patients by reducing imaging artifacts and aiding in hemorrhage detection.</p>","PeriodicalId":10391,"journal":{"name":"Clinical Neuroradiology","volume":" ","pages":"443-450"},"PeriodicalIF":2.6000,"publicationDate":"2025-09-01","publicationTypes":"Journal Article","fieldsOfStudy":null,"isOpenAccess":false,"openAccessPdf":"https://www.ncbi.nlm.nih.gov/pmc/articles/PMC12454468/pdf/","citationCount":"0","resultStr":"{\"title\":\"In Vivo Discrimination of Iodine and Tantalum-Based Liquid Embolics After Intracranial or Spinal Embolization Using Photon-Counting Detector CT.\",\"authors\":\"Christoph Johannes Maurer, Ansgar Berlis, Franz Josef Stangl, Lars Behrens\",\"doi\":\"10.1007/s00062-025-01502-x\",\"DOIUrl\":null,\"url\":null,\"abstract\":\"<p><strong>Purpose: </strong>In vitro differentiation of iodine and tantalum-based liquid embolics post-embolization can be achieved using spectral computed tomography. This study evaluates the in vivo ability of clinical photon-counting computed tomography (PCD-CT) to distinguish these embolic agents in patients undergoing endovascular treatments for cerebrovascular and spinal pathologies.</p><p><strong>Methods: </strong>This retrospective study included 25 patients treated between April 2021 and March 2024, who underwent PCD-CT imaging post-embolization for intracranial arteriovenous malformations (AVM), dural arteriovenous fistulas (dAVF), spinal tumors, or middle meningeal artery (MMA) embolization for chronic subdural hematomas (cSDH). Imaging analysis involved iterative reconstruction, using conventional images (CI), iodine maps (IM), and virtual non-contrast (VNC) series. Two blinded neuroradiologists assessed the suppression quality of the embolic agents on a Likert scale.</p><p><strong>Results: </strong>Of the 25 patients, 22 underwent intracranial and 3 spinal embolizations. The differentiation between iodine and tantalum-based embolics achieved 92% accuracy for reader 1 and 88% for reader 2, with a Cohen's kappa coefficient of 0.92 indicating high inter-reader agreement. Iodine-based agents were moderately suppressed, whereas tantalum-based agents exhibited superior suppression. Errors arose from mistaking suppressed platinum coils for tantalum-based embolics. Hemorrhage detection accuracy was high, with a Cohen's kappa of 0.92.</p><p><strong>Conclusions: </strong>PCD-CT effectively differentiates between iodine- and tantalum-based embolics in vivo, demonstrating high diagnostic accuracy and inter-reader reliability. This capability facilitates improved post-procedural assessment and may enhance the management of endovascularly treated patients by reducing imaging artifacts and aiding in hemorrhage detection.</p>\",\"PeriodicalId\":10391,\"journal\":{\"name\":\"Clinical Neuroradiology\",\"volume\":\" \",\"pages\":\"443-450\"},\"PeriodicalIF\":2.6000,\"publicationDate\":\"2025-09-01\",\"publicationTypes\":\"Journal Article\",\"fieldsOfStudy\":null,\"isOpenAccess\":false,\"openAccessPdf\":\"https://www.ncbi.nlm.nih.gov/pmc/articles/PMC12454468/pdf/\",\"citationCount\":\"0\",\"resultStr\":null,\"platform\":\"Semanticscholar\",\"paperid\":null,\"PeriodicalName\":\"Clinical Neuroradiology\",\"FirstCategoryId\":\"3\",\"ListUrlMain\":\"https://doi.org/10.1007/s00062-025-01502-x\",\"RegionNum\":3,\"RegionCategory\":\"医学\",\"ArticlePicture\":[],\"TitleCN\":null,\"AbstractTextCN\":null,\"PMCID\":null,\"EPubDate\":\"2025/2/6 0:00:00\",\"PubModel\":\"Epub\",\"JCR\":\"Q2\",\"JCRName\":\"Medicine\",\"Score\":null,\"Total\":0}","platform":"Semanticscholar","paperid":null,"PeriodicalName":"Clinical Neuroradiology","FirstCategoryId":"3","ListUrlMain":"https://doi.org/10.1007/s00062-025-01502-x","RegionNum":3,"RegionCategory":"医学","ArticlePicture":[],"TitleCN":null,"AbstractTextCN":null,"PMCID":null,"EPubDate":"2025/2/6 0:00:00","PubModel":"Epub","JCR":"Q2","JCRName":"Medicine","Score":null,"Total":0}
引用次数: 0

摘要

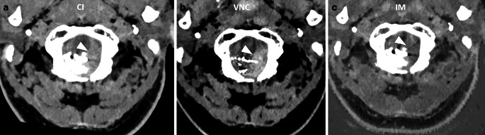
目的:利用计算机断层成像技术对碘基和钽基液体栓子栓塞后的体外鉴别。本研究评估了临床光子计数计算机断层扫描(PCD-CT)在接受脑血管和脊柱病变血管内治疗的患者体内区分这些栓塞剂的能力。方法:本回顾性研究纳入了2021年4月至2024年3月期间接受治疗的25例患者,这些患者因颅内动静脉畸形(AVM)、硬膜动静脉瘘(dAVF)、脊柱肿瘤或慢性硬膜下血肿(cSDH)的脑膜中动脉(MMA)栓塞后接受了PCD-CT成像。成像分析包括迭代重建,使用常规图像(CI)、碘图(IM)和虚拟非对比度(VNC)系列。两名盲法神经放射学家在李克特量表上评估栓塞剂的抑制质量。结果:25例患者中22例行颅内栓塞,3例行脊髓栓塞。阅读器1和阅读器2区分碘和钽基栓塞的准确率分别为92%和88%,科恩kappa系数为0.92,表明阅读器间一致性高。碘基药剂具有中等抑制作用,而钽基药剂具有较好的抑制作用。错误是由于将抑制铂线圈误认为是钽基栓塞剂。出血检测准确率高,Cohen’s kappa为0.92。结论:PCD-CT在体内可有效区分碘基和钽基栓塞,具有较高的诊断准确性和阅读器间可靠性。这种能力有助于改进术后评估,并可能通过减少成像伪影和帮助出血检测来加强对血管内治疗患者的管理。
本文章由计算机程序翻译,如有差异,请以英文原文为准。

In Vivo Discrimination of Iodine and Tantalum-Based Liquid Embolics After Intracranial or Spinal Embolization Using Photon-Counting Detector CT.

In Vivo Discrimination of Iodine and Tantalum-Based Liquid Embolics After Intracranial or Spinal Embolization Using Photon-Counting Detector CT.

In Vivo Discrimination of Iodine and Tantalum-Based Liquid Embolics After Intracranial or Spinal Embolization Using Photon-Counting Detector CT.

In Vivo Discrimination of Iodine and Tantalum-Based Liquid Embolics After Intracranial or Spinal Embolization Using Photon-Counting Detector CT.

Purpose: In vitro differentiation of iodine and tantalum-based liquid embolics post-embolization can be achieved using spectral computed tomography. This study evaluates the in vivo ability of clinical photon-counting computed tomography (PCD-CT) to distinguish these embolic agents in patients undergoing endovascular treatments for cerebrovascular and spinal pathologies.

Methods: This retrospective study included 25 patients treated between April 2021 and March 2024, who underwent PCD-CT imaging post-embolization for intracranial arteriovenous malformations (AVM), dural arteriovenous fistulas (dAVF), spinal tumors, or middle meningeal artery (MMA) embolization for chronic subdural hematomas (cSDH). Imaging analysis involved iterative reconstruction, using conventional images (CI), iodine maps (IM), and virtual non-contrast (VNC) series. Two blinded neuroradiologists assessed the suppression quality of the embolic agents on a Likert scale.

Results: Of the 25 patients, 22 underwent intracranial and 3 spinal embolizations. The differentiation between iodine and tantalum-based embolics achieved 92% accuracy for reader 1 and 88% for reader 2, with a Cohen's kappa coefficient of 0.92 indicating high inter-reader agreement. Iodine-based agents were moderately suppressed, whereas tantalum-based agents exhibited superior suppression. Errors arose from mistaking suppressed platinum coils for tantalum-based embolics. Hemorrhage detection accuracy was high, with a Cohen's kappa of 0.92.

Conclusions: PCD-CT effectively differentiates between iodine- and tantalum-based embolics in vivo, demonstrating high diagnostic accuracy and inter-reader reliability. This capability facilitates improved post-procedural assessment and may enhance the management of endovascularly treated patients by reducing imaging artifacts and aiding in hemorrhage detection.

求助全文
通过发布文献求助,成功后即可免费获取论文全文。 去求助
来源期刊
Clinical Neuroradiology
Clinical Neuroradiology Medicine-Radiology, Nuclear Medicine and Imaging
CiteScore
4.90
自引率
3.60%
发文量
0
期刊介绍: Clinical Neuroradiology provides current information, original contributions, and reviews in the field of neuroradiology. An interdisciplinary approach is accomplished by diagnostic and therapeutic contributions related to associated subjects. The international coverage and relevance of the journal is underlined by its being the official journal of the German, Swiss, and Austrian Societies of Neuroradiology.
×
引用
GB/T 7714-2015
复制
MLA
复制
APA
复制
导出至
BibTeX EndNote RefMan NoteFirst NoteExpress
×
提示
您的信息不完整,为了账户安全,请先补充。
现在去补充
×
提示
您因"违规操作"
具体请查看互助需知
我知道了
×
提示
确定
请完成安全验证×
copy
已复制链接
快去分享给好友吧!
我知道了
右上角分享
点击右上角分享
0
联系我们:info@booksci.cn Book学术提供免费学术资源搜索服务,方便国内外学者检索中英文文献。致力于提供最便捷和优质的服务体验。 Copyright © 2023 布克学术 All rights reserved.
京ICP备2023020795号-1
ghs 京公网安备 11010802042870号
Book学术文献互助
Book学术文献互助群
群 号:604180095
Book学术官方微信