2024年欧洲心脏病学会心脏成像亮点:未来在我们掌握之中!

European heart journal. Imaging methods and practice Pub Date : 2025-02-05 eCollection Date: 2025-01-01 DOI:10.1093/ehjimp/qyaf009
Stefano Figliozzi, Erika Hutt, Alessia Gimelli, Wael A Jaber
{"title":"2024年欧洲心脏病学会心脏成像亮点:未来在我们掌握之中!","authors":"Stefano Figliozzi, Erika Hutt, Alessia Gimelli, Wael A Jaber","doi":"10.1093/ehjimp/qyaf009","DOIUrl":null,"url":null,"abstract":"<p><p>The European Society of Cardiology has held its annual Congress in London, UK, from 30 August to 2 September 2024. With a total of 31 800 participants, 5400 faculty and presenters, and many National Cardiac Societies and industry partners, the Congress has taken an enormous step forward to present and discuss the latest advances in cardiovascular medicine. The sizable intercontinental reach was proved by the fact that 5 of the 10 top countries, in terms of submission of abstracts, were from outside Europe: China, the USA, Japan, Korea, and Australia. This brought a great impetus for international collaboration and exchange of views, learning from different perspectives. Specifically, the field of cardiovascular imaging has been in the spotlight, remarking its growing, central, and transversal role in modern cardiovascular medicine. In this communication, we offer a summary of some notable advances in research, either in terms of novelty or clinical applicability, within the realm of four imaging modalities: echocardiography, cardiovascular magnetic resonance, computed tomography, and nuclear imaging.</p>","PeriodicalId":94317,"journal":{"name":"European heart journal. Imaging methods and practice","volume":"3 1","pages":"qyaf009"},"PeriodicalIF":0.0000,"publicationDate":"2025-02-05","publicationTypes":"Journal Article","fieldsOfStudy":null,"isOpenAccess":false,"openAccessPdf":"https://www.ncbi.nlm.nih.gov/pmc/articles/PMC11795670/pdf/","citationCount":"0","resultStr":"{\"title\":\"Cardiac imaging highlights from European Society of Cardiology 2024: the future is within our grasp!\",\"authors\":\"Stefano Figliozzi, Erika Hutt, Alessia Gimelli, Wael A Jaber\",\"doi\":\"10.1093/ehjimp/qyaf009\",\"DOIUrl\":null,\"url\":null,\"abstract\":\"<p><p>The European Society of Cardiology has held its annual Congress in London, UK, from 30 August to 2 September 2024. With a total of 31 800 participants, 5400 faculty and presenters, and many National Cardiac Societies and industry partners, the Congress has taken an enormous step forward to present and discuss the latest advances in cardiovascular medicine. The sizable intercontinental reach was proved by the fact that 5 of the 10 top countries, in terms of submission of abstracts, were from outside Europe: China, the USA, Japan, Korea, and Australia. This brought a great impetus for international collaboration and exchange of views, learning from different perspectives. Specifically, the field of cardiovascular imaging has been in the spotlight, remarking its growing, central, and transversal role in modern cardiovascular medicine. In this communication, we offer a summary of some notable advances in research, either in terms of novelty or clinical applicability, within the realm of four imaging modalities: echocardiography, cardiovascular magnetic resonance, computed tomography, and nuclear imaging.</p>\",\"PeriodicalId\":94317,\"journal\":{\"name\":\"European heart journal. Imaging methods and practice\",\"volume\":\"3 1\",\"pages\":\"qyaf009\"},\"PeriodicalIF\":0.0000,\"publicationDate\":\"2025-02-05\",\"publicationTypes\":\"Journal Article\",\"fieldsOfStudy\":null,\"isOpenAccess\":false,\"openAccessPdf\":\"https://www.ncbi.nlm.nih.gov/pmc/articles/PMC11795670/pdf/\",\"citationCount\":\"0\",\"resultStr\":null,\"platform\":\"Semanticscholar\",\"paperid\":null,\"PeriodicalName\":\"European heart journal. Imaging methods and practice\",\"FirstCategoryId\":\"1085\",\"ListUrlMain\":\"https://doi.org/10.1093/ehjimp/qyaf009\",\"RegionNum\":0,\"RegionCategory\":null,\"ArticlePicture\":[],\"TitleCN\":null,\"AbstractTextCN\":null,\"PMCID\":null,\"EPubDate\":\"2025/1/1 0:00:00\",\"PubModel\":\"eCollection\",\"JCR\":\"\",\"JCRName\":\"\",\"Score\":null,\"Total\":0}","platform":"Semanticscholar","paperid":null,"PeriodicalName":"European heart journal. Imaging methods and practice","FirstCategoryId":"1085","ListUrlMain":"https://doi.org/10.1093/ehjimp/qyaf009","RegionNum":0,"RegionCategory":null,"ArticlePicture":[],"TitleCN":null,"AbstractTextCN":null,"PMCID":null,"EPubDate":"2025/1/1 0:00:00","PubModel":"eCollection","JCR":"","JCRName":"","Score":null,"Total":0}
引用次数: 0

摘要

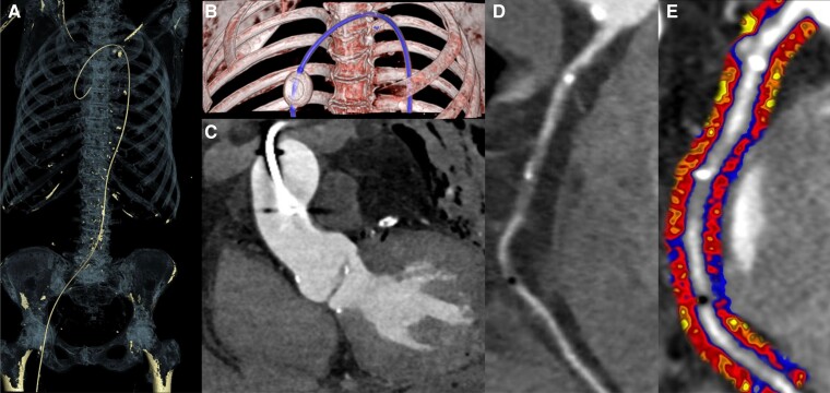
欧洲心脏病学会于2024年8月30日至9月2日在英国伦敦举行了年度大会。共有3800名参与者,5400名教师和演讲者,以及许多国家心脏协会和行业合作伙伴,大会在展示和讨论心血管医学的最新进展方面迈出了巨大的一步。在提交摘要数量最多的10个国家中,有5个来自欧洲以外的国家:中国、美国、日本、韩国和澳大利亚。这极大地推动了国际合作和意见交流,从不同的角度学习。具体来说,心血管成像领域已经成为人们关注的焦点,表明其在现代心血管医学中日益增长的、核心的和横向的作用。在本文中,我们总结了在超声心动图、心血管磁共振、计算机断层扫描和核成像四种成像方式领域内,在新颖性或临床适用性方面的一些显著研究进展。
本文章由计算机程序翻译,如有差异,请以英文原文为准。

Cardiac imaging highlights from European Society of Cardiology 2024: the future is within our grasp!

Cardiac imaging highlights from European Society of Cardiology 2024: the future is within our grasp!

Cardiac imaging highlights from European Society of Cardiology 2024: the future is within our grasp!

Cardiac imaging highlights from European Society of Cardiology 2024: the future is within our grasp!

The European Society of Cardiology has held its annual Congress in London, UK, from 30 August to 2 September 2024. With a total of 31 800 participants, 5400 faculty and presenters, and many National Cardiac Societies and industry partners, the Congress has taken an enormous step forward to present and discuss the latest advances in cardiovascular medicine. The sizable intercontinental reach was proved by the fact that 5 of the 10 top countries, in terms of submission of abstracts, were from outside Europe: China, the USA, Japan, Korea, and Australia. This brought a great impetus for international collaboration and exchange of views, learning from different perspectives. Specifically, the field of cardiovascular imaging has been in the spotlight, remarking its growing, central, and transversal role in modern cardiovascular medicine. In this communication, we offer a summary of some notable advances in research, either in terms of novelty or clinical applicability, within the realm of four imaging modalities: echocardiography, cardiovascular magnetic resonance, computed tomography, and nuclear imaging.

求助全文
通过发布文献求助,成功后即可免费获取论文全文。 去求助
来源期刊
自引率
0.00%
发文量
0
×
引用
GB/T 7714-2015
复制
MLA
复制
APA
复制
导出至
BibTeX EndNote RefMan NoteFirst NoteExpress
×
提示
您的信息不完整,为了账户安全,请先补充。
现在去补充
×
提示
您因"违规操作"
具体请查看互助需知
我知道了
×
提示
确定
请完成安全验证×
copy
已复制链接
快去分享给好友吧!
我知道了
右上角分享
点击右上角分享
0
联系我们:info@booksci.cn Book学术提供免费学术资源搜索服务,方便国内外学者检索中英文文献。致力于提供最便捷和优质的服务体验。 Copyright © 2023 布克学术 All rights reserved.
京ICP备2023020795号-1
ghs 京公网安备 11010802042870号
Book学术文献互助
Book学术文献互助群
群 号:604180095
Book学术官方微信