结肠癌患者肿瘤坏死、全身炎症、机体组成与生存的关系。

Ross D Dolan, Kathryn Pennel, Joshua Thompson, Molly McKenzie, Peter Alexander, Colin Richards, Douglas Black, Tanvir Abbass, Noori Maka, Josh McGovern, Antonia Roseweir, Stephen T McSorley, Paul G Horgan, Campbell Roxburgh, Donald C McMillan, Joanne Edwards
{"title":"结肠癌患者肿瘤坏死、全身炎症、机体组成与生存的关系。","authors":"Ross D Dolan, Kathryn Pennel, Joshua Thompson, Molly McKenzie, Peter Alexander, Colin Richards, Douglas Black, Tanvir Abbass, Noori Maka, Josh McGovern, Antonia Roseweir, Stephen T McSorley, Paul G Horgan, Campbell Roxburgh, Donald C McMillan, Joanne Edwards","doi":"10.1038/s44276-024-00119-w","DOIUrl":null,"url":null,"abstract":"<p><strong>Background: </strong>In cancer cachexia the relationship between the tumour, its environment and the systemic inflammatory response is not clear. This study aims to examine this relationship in greater detail.</p><p><strong>Methods: </strong>Host characteristics included the presence of a Systemic Inflammatory Response (SIR) as measured by Systemic Inflammatory Grade (SIG), sarcopenia (SMI) and myosteatosis (SMD) were measured. Categorical variables were analysed using χ<sup>2</sup> test for linear-by-linear association, or χ<sup>2</sup> test for 2 by 2 tables. Survival analysis was carried out using univariate and multivariate Cox regression.</p><p><strong>Results: </strong>A total of 473 patients were included. Of these, 70.4% were over 65 years of age, 54.8% were male and 49.8% had an ASA grade of 1 or 2. Pathological examination showed that the majority of patients had a T3 (53.7%) or a T4 (34.0%) cancer and 73.0% had evidence of necrosis. A SIG score of 0 or 1 was present in 57.7% of patients. Tumour necrosis was associated with age (p < 0.01), tumour location (p < 0.01), T-stage (p < 0.001), margin involvement (p < 0.05), SIG (p < 0.001), SMI (p < 0.01), SMD (p < 0.05) and 5-year survival (p < 0.001). On multivariate survival analysis in patients with T3 cancers age (HR: 1.45 95% CI 1.13-1.86 p < 0.01), ASA grade (HR: 1.50 95% CI 1.15-1.95 p < 0.01) and SIG (HR: 1.28 95% CI 1.11-1.48 p < 0.001) remained independently associated with survival.</p><p><strong>Conclusion: </strong>These results suggest that tumour necrosis and the subsequent SIR could result in profound changes in body composition and survival. Further pre-clinical and clinical work is required to prove causation.</p>","PeriodicalId":519964,"journal":{"name":"BJC reports","volume":"3 1","pages":"7"},"PeriodicalIF":0.0000,"publicationDate":"2025-02-05","publicationTypes":"Journal Article","fieldsOfStudy":null,"isOpenAccess":false,"openAccessPdf":"https://www.ncbi.nlm.nih.gov/pmc/articles/PMC11799379/pdf/","citationCount":"0","resultStr":"{\"title\":\"The relationship between tumour necrosis, systemic inflammation, body composition and survival in patients with colon cancer.\",\"authors\":\"Ross D Dolan, Kathryn Pennel, Joshua Thompson, Molly McKenzie, Peter Alexander, Colin Richards, Douglas Black, Tanvir Abbass, Noori Maka, Josh McGovern, Antonia Roseweir, Stephen T McSorley, Paul G Horgan, Campbell Roxburgh, Donald C McMillan, Joanne Edwards\",\"doi\":\"10.1038/s44276-024-00119-w\",\"DOIUrl\":null,\"url\":null,\"abstract\":\"<p><strong>Background: </strong>In cancer cachexia the relationship between the tumour, its environment and the systemic inflammatory response is not clear. This study aims to examine this relationship in greater detail.</p><p><strong>Methods: </strong>Host characteristics included the presence of a Systemic Inflammatory Response (SIR) as measured by Systemic Inflammatory Grade (SIG), sarcopenia (SMI) and myosteatosis (SMD) were measured. Categorical variables were analysed using χ<sup>2</sup> test for linear-by-linear association, or χ<sup>2</sup> test for 2 by 2 tables. Survival analysis was carried out using univariate and multivariate Cox regression.</p><p><strong>Results: </strong>A total of 473 patients were included. Of these, 70.4% were over 65 years of age, 54.8% were male and 49.8% had an ASA grade of 1 or 2. Pathological examination showed that the majority of patients had a T3 (53.7%) or a T4 (34.0%) cancer and 73.0% had evidence of necrosis. A SIG score of 0 or 1 was present in 57.7% of patients. Tumour necrosis was associated with age (p < 0.01), tumour location (p < 0.01), T-stage (p < 0.001), margin involvement (p < 0.05), SIG (p < 0.001), SMI (p < 0.01), SMD (p < 0.05) and 5-year survival (p < 0.001). On multivariate survival analysis in patients with T3 cancers age (HR: 1.45 95% CI 1.13-1.86 p < 0.01), ASA grade (HR: 1.50 95% CI 1.15-1.95 p < 0.01) and SIG (HR: 1.28 95% CI 1.11-1.48 p < 0.001) remained independently associated with survival.</p><p><strong>Conclusion: </strong>These results suggest that tumour necrosis and the subsequent SIR could result in profound changes in body composition and survival. Further pre-clinical and clinical work is required to prove causation.</p>\",\"PeriodicalId\":519964,\"journal\":{\"name\":\"BJC reports\",\"volume\":\"3 1\",\"pages\":\"7\"},\"PeriodicalIF\":0.0000,\"publicationDate\":\"2025-02-05\",\"publicationTypes\":\"Journal Article\",\"fieldsOfStudy\":null,\"isOpenAccess\":false,\"openAccessPdf\":\"https://www.ncbi.nlm.nih.gov/pmc/articles/PMC11799379/pdf/\",\"citationCount\":\"0\",\"resultStr\":null,\"platform\":\"Semanticscholar\",\"paperid\":null,\"PeriodicalName\":\"BJC reports\",\"FirstCategoryId\":\"1085\",\"ListUrlMain\":\"https://doi.org/10.1038/s44276-024-00119-w\",\"RegionNum\":0,\"RegionCategory\":null,\"ArticlePicture\":[],\"TitleCN\":null,\"AbstractTextCN\":null,\"PMCID\":null,\"EPubDate\":\"\",\"PubModel\":\"\",\"JCR\":\"\",\"JCRName\":\"\",\"Score\":null,\"Total\":0}","platform":"Semanticscholar","paperid":null,"PeriodicalName":"BJC reports","FirstCategoryId":"1085","ListUrlMain":"https://doi.org/10.1038/s44276-024-00119-w","RegionNum":0,"RegionCategory":null,"ArticlePicture":[],"TitleCN":null,"AbstractTextCN":null,"PMCID":null,"EPubDate":"","PubModel":"","JCR":"","JCRName":"","Score":null,"Total":0}
引用次数: 0

摘要

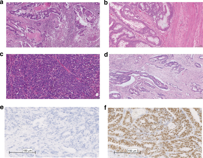
背景:在癌症恶病质中,肿瘤及其环境与全身炎症反应之间的关系尚不清楚。本研究旨在更详细地研究这种关系。方法:宿主特征包括系统性炎症反应(SIR)的存在,通过系统性炎症等级(SIG)测量,肌肉减少(SMI)和肌骨化(SMD)测量。分类变量分析采用χ2检验进行线性逐线性关联,或采用χ2检验进行2 × 2表分析。采用单因素和多因素Cox回归进行生存分析。结果:共纳入473例患者。其中70.4%的患者年龄在65岁以上,54.8%为男性,49.8%的患者ASA分级为1级或2级。病理检查显示多数患者为T3(53.7%)或T4(34.0%)癌,73.0%有坏死迹象。57.7%的患者SIG评分为0或1。结论:这些结果表明,肿瘤坏死和随后的SIR可能导致身体成分和生存的深刻变化。需要进一步的临床前和临床工作来证明因果关系。
本文章由计算机程序翻译,如有差异,请以英文原文为准。

The relationship between tumour necrosis, systemic inflammation, body composition and survival in patients with colon cancer.

The relationship between tumour necrosis, systemic inflammation, body composition and survival in patients with colon cancer.

The relationship between tumour necrosis, systemic inflammation, body composition and survival in patients with colon cancer.

Background: In cancer cachexia the relationship between the tumour, its environment and the systemic inflammatory response is not clear. This study aims to examine this relationship in greater detail.

Methods: Host characteristics included the presence of a Systemic Inflammatory Response (SIR) as measured by Systemic Inflammatory Grade (SIG), sarcopenia (SMI) and myosteatosis (SMD) were measured. Categorical variables were analysed using χ2 test for linear-by-linear association, or χ2 test for 2 by 2 tables. Survival analysis was carried out using univariate and multivariate Cox regression.

Results: A total of 473 patients were included. Of these, 70.4% were over 65 years of age, 54.8% were male and 49.8% had an ASA grade of 1 or 2. Pathological examination showed that the majority of patients had a T3 (53.7%) or a T4 (34.0%) cancer and 73.0% had evidence of necrosis. A SIG score of 0 or 1 was present in 57.7% of patients. Tumour necrosis was associated with age (p < 0.01), tumour location (p < 0.01), T-stage (p < 0.001), margin involvement (p < 0.05), SIG (p < 0.001), SMI (p < 0.01), SMD (p < 0.05) and 5-year survival (p < 0.001). On multivariate survival analysis in patients with T3 cancers age (HR: 1.45 95% CI 1.13-1.86 p < 0.01), ASA grade (HR: 1.50 95% CI 1.15-1.95 p < 0.01) and SIG (HR: 1.28 95% CI 1.11-1.48 p < 0.001) remained independently associated with survival.

Conclusion: These results suggest that tumour necrosis and the subsequent SIR could result in profound changes in body composition and survival. Further pre-clinical and clinical work is required to prove causation.

求助全文
通过发布文献求助,成功后即可免费获取论文全文。 去求助
来源期刊
自引率
0.00%
发文量
0
×
引用
GB/T 7714-2015
复制
MLA
复制
APA
复制
导出至
BibTeX EndNote RefMan NoteFirst NoteExpress
×
提示
您的信息不完整,为了账户安全,请先补充。
现在去补充
×
提示
您因"违规操作"
具体请查看互助需知
我知道了
×
提示
确定
请完成安全验证×
copy
已复制链接
快去分享给好友吧!
我知道了
右上角分享
点击右上角分享
0
联系我们:info@booksci.cn Book学术提供免费学术资源搜索服务,方便国内外学者检索中英文文献。致力于提供最便捷和优质的服务体验。 Copyright © 2023 布克学术 All rights reserved.
京ICP备2023020795号-1
ghs 京公网安备 11010802042870号
Book学术文献互助
Book学术文献互助群
群 号:604180095
Book学术官方微信