钬激光切除膀胱黏膜治疗尿道狭窄:移植后的组织是否完整?

IF 4.5 3区 医学 Q1 UROLOGY & NEPHROLOGY
Luiz Augusto Westin, Edilaine Farias Alves, Waldemar S Costa, Francisco J B Sampaio, Luciano A Favorito
{"title":"钬激光切除膀胱黏膜治疗尿道狭窄:移植后的组织是否完整?","authors":"Luiz Augusto Westin, Edilaine Farias Alves, Waldemar S Costa, Francisco J B Sampaio, Luciano A Favorito","doi":"10.1590/S1677-5538.IBJU.2024.9923","DOIUrl":null,"url":null,"abstract":"<p><strong>Objective: </strong>The aim of this study is to evaluate the integrity and the microstructural characteristics of the bladder mucosa graft harvested using a minimally invasive technique with the Holmium laser (Ho-YAG) for the treatment of urethral stricture.</p><p><strong>Materials and methods: </strong>We studied patients with urethral strictures greater than 2 cm, with a urethroplasty indication. The patients were submitted to urethroplasty with the dorsal onlay reconstruction by a single surgeon. After the urethral dissection we use the Ho-YAG laser with a 550µg end fire laser fiber to obtain a fragment of bladder mucosa for the graft confection. A fragment of the bladder mucosa was fixed in a 10% buffered formalin to HE and Masson's trichrome analysis for the tissue integrity. Five sections were stained, and five fields of each section were selected. We used the Image J software, version 1.46r, loaded with its own plug-in to determine tissue integrity.</p><p><strong>Results: </strong>We studied 11 patients (Mean age= 47.64); 9 (81.8%) with bulbar stricture and 2 (18.2%) with penile stricture (mean size = 4.63mm). The mean of bladder graft size was 53.64mm and the meantime of harvesting was 47.63 minutes. The histological study of the bladder wall graft showed an organization in accordance with normal standards, with the presence of an intact urothelium in the bladder graft. The submucosal layer is preserved, joining the detrusor to the urothelium and the collagen and elastic fibers are well organized.</p><p><strong>Conclusion: </strong>The graft harvested from the bladder uroepithelium using Ho-YAG has its histological integrity preserved, which makes this technique a viable option for reconstructive surgery. However, more studies are needed to establish its long-term efficacy and safety of this new technique.</p>","PeriodicalId":49283,"journal":{"name":"International Braz J Urol","volume":"51 2","pages":""},"PeriodicalIF":4.5000,"publicationDate":"2025-03-01","publicationTypes":"Journal Article","fieldsOfStudy":null,"isOpenAccess":false,"openAccessPdf":"https://www.ncbi.nlm.nih.gov/pmc/articles/PMC11884635/pdf/","citationCount":"0","resultStr":"{\"title\":\"Bladder Mucosa Harvested with Holmium Laser for Treatment of Urethral Strictures: Does the Graft Have its Tissue Integrity Preserved?\",\"authors\":\"Luiz Augusto Westin, Edilaine Farias Alves, Waldemar S Costa, Francisco J B Sampaio, Luciano A Favorito\",\"doi\":\"10.1590/S1677-5538.IBJU.2024.9923\",\"DOIUrl\":null,\"url\":null,\"abstract\":\"<p><strong>Objective: </strong>The aim of this study is to evaluate the integrity and the microstructural characteristics of the bladder mucosa graft harvested using a minimally invasive technique with the Holmium laser (Ho-YAG) for the treatment of urethral stricture.</p><p><strong>Materials and methods: </strong>We studied patients with urethral strictures greater than 2 cm, with a urethroplasty indication. The patients were submitted to urethroplasty with the dorsal onlay reconstruction by a single surgeon. After the urethral dissection we use the Ho-YAG laser with a 550µg end fire laser fiber to obtain a fragment of bladder mucosa for the graft confection. A fragment of the bladder mucosa was fixed in a 10% buffered formalin to HE and Masson's trichrome analysis for the tissue integrity. Five sections were stained, and five fields of each section were selected. We used the Image J software, version 1.46r, loaded with its own plug-in to determine tissue integrity.</p><p><strong>Results: </strong>We studied 11 patients (Mean age= 47.64); 9 (81.8%) with bulbar stricture and 2 (18.2%) with penile stricture (mean size = 4.63mm). The mean of bladder graft size was 53.64mm and the meantime of harvesting was 47.63 minutes. The histological study of the bladder wall graft showed an organization in accordance with normal standards, with the presence of an intact urothelium in the bladder graft. The submucosal layer is preserved, joining the detrusor to the urothelium and the collagen and elastic fibers are well organized.</p><p><strong>Conclusion: </strong>The graft harvested from the bladder uroepithelium using Ho-YAG has its histological integrity preserved, which makes this technique a viable option for reconstructive surgery. However, more studies are needed to establish its long-term efficacy and safety of this new technique.</p>\",\"PeriodicalId\":49283,\"journal\":{\"name\":\"International Braz J Urol\",\"volume\":\"51 2\",\"pages\":\"\"},\"PeriodicalIF\":4.5000,\"publicationDate\":\"2025-03-01\",\"publicationTypes\":\"Journal Article\",\"fieldsOfStudy\":null,\"isOpenAccess\":false,\"openAccessPdf\":\"https://www.ncbi.nlm.nih.gov/pmc/articles/PMC11884635/pdf/\",\"citationCount\":\"0\",\"resultStr\":null,\"platform\":\"Semanticscholar\",\"paperid\":null,\"PeriodicalName\":\"International Braz J Urol\",\"FirstCategoryId\":\"3\",\"ListUrlMain\":\"https://doi.org/10.1590/S1677-5538.IBJU.2024.9923\",\"RegionNum\":3,\"RegionCategory\":\"医学\",\"ArticlePicture\":[],\"TitleCN\":null,\"AbstractTextCN\":null,\"PMCID\":null,\"EPubDate\":\"\",\"PubModel\":\"\",\"JCR\":\"Q1\",\"JCRName\":\"UROLOGY & NEPHROLOGY\",\"Score\":null,\"Total\":0}","platform":"Semanticscholar","paperid":null,"PeriodicalName":"International Braz J Urol","FirstCategoryId":"3","ListUrlMain":"https://doi.org/10.1590/S1677-5538.IBJU.2024.9923","RegionNum":3,"RegionCategory":"医学","ArticlePicture":[],"TitleCN":null,"AbstractTextCN":null,"PMCID":null,"EPubDate":"","PubModel":"","JCR":"Q1","JCRName":"UROLOGY & NEPHROLOGY","Score":null,"Total":0}
引用次数: 0

摘要

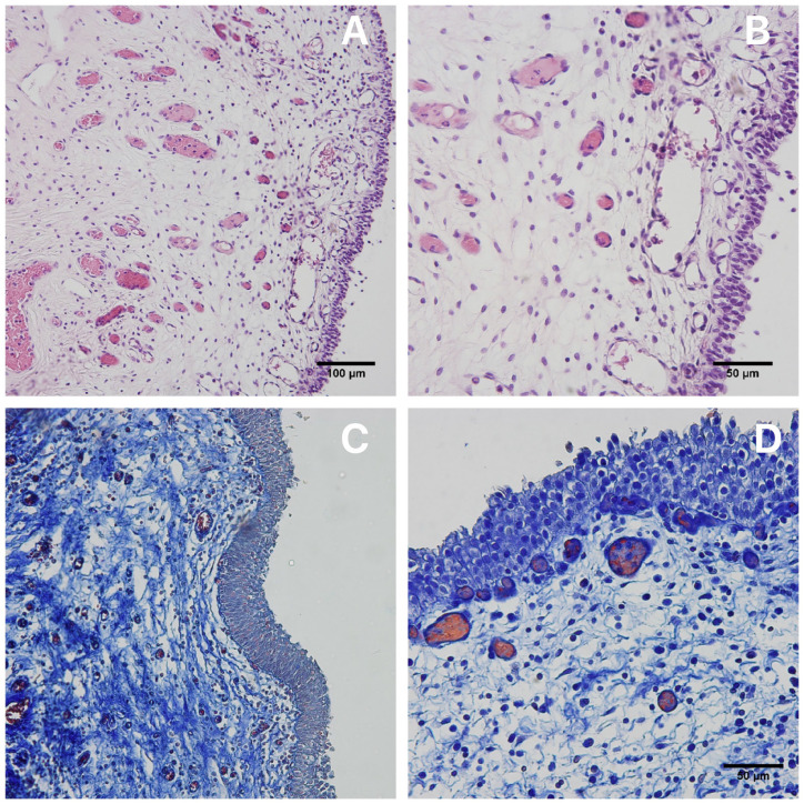
目的:研究钬激光(Ho-YAG)微创技术治疗尿道狭窄膀胱粘膜移植的完整性和显微结构特征。材料和方法:我们研究了尿道狭窄大于2cm且有尿道成形术指征的患者。所有患者均由同一位外科医生行尿道成形术及背侧膀胱重建。在尿道解剖后,我们使用Ho-YAG激光和550µg端火激光光纤获得膀胱粘膜碎片用于移植。将膀胱粘膜碎片固定在10%的缓冲福尔马林中,进行HE和Masson三色分析以检测组织完整性。染色5张切片,每张切片选取5个野。我们使用了Image J软件,版本1.46r,加载了自己的插件来确定组织的完整性。结果:11例患者,平均年龄47.64岁;球茎狭窄9例(81.8%),阴茎狭窄2例(18.2%),平均尺寸4.63mm。膀胱移植物平均大小为53.64mm,采收时间为47.63 min。膀胱壁移植物的组织学研究显示其组织符合正常标准,膀胱移植物中存在完整的尿路上皮。粘膜下层保存完好,连接逼尿肌和尿路上皮,胶原蛋白和弹性纤维组织良好。结论:采用Ho-YAG移植的膀胱尿上皮具有完整的组织结构,是膀胱尿上皮重建手术的可行选择。然而,需要更多的研究来确定这种新技术的长期有效性和安全性。
本文章由计算机程序翻译,如有差异,请以英文原文为准。

Bladder Mucosa Harvested with Holmium Laser for Treatment of Urethral Strictures: Does the Graft Have its Tissue Integrity Preserved?

Bladder Mucosa Harvested with Holmium Laser for Treatment of Urethral Strictures: Does the Graft Have its Tissue Integrity Preserved?

Bladder Mucosa Harvested with Holmium Laser for Treatment of Urethral Strictures: Does the Graft Have its Tissue Integrity Preserved?

Objective: The aim of this study is to evaluate the integrity and the microstructural characteristics of the bladder mucosa graft harvested using a minimally invasive technique with the Holmium laser (Ho-YAG) for the treatment of urethral stricture.

Materials and methods: We studied patients with urethral strictures greater than 2 cm, with a urethroplasty indication. The patients were submitted to urethroplasty with the dorsal onlay reconstruction by a single surgeon. After the urethral dissection we use the Ho-YAG laser with a 550µg end fire laser fiber to obtain a fragment of bladder mucosa for the graft confection. A fragment of the bladder mucosa was fixed in a 10% buffered formalin to HE and Masson's trichrome analysis for the tissue integrity. Five sections were stained, and five fields of each section were selected. We used the Image J software, version 1.46r, loaded with its own plug-in to determine tissue integrity.

Results: We studied 11 patients (Mean age= 47.64); 9 (81.8%) with bulbar stricture and 2 (18.2%) with penile stricture (mean size = 4.63mm). The mean of bladder graft size was 53.64mm and the meantime of harvesting was 47.63 minutes. The histological study of the bladder wall graft showed an organization in accordance with normal standards, with the presence of an intact urothelium in the bladder graft. The submucosal layer is preserved, joining the detrusor to the urothelium and the collagen and elastic fibers are well organized.

Conclusion: The graft harvested from the bladder uroepithelium using Ho-YAG has its histological integrity preserved, which makes this technique a viable option for reconstructive surgery. However, more studies are needed to establish its long-term efficacy and safety of this new technique.

求助全文
通过发布文献求助,成功后即可免费获取论文全文。 去求助
来源期刊
International Braz J Urol
International Braz J Urol UROLOGY & NEPHROLOGY-
CiteScore
4.60
自引率
21.60%
发文量
246
审稿时长
6-12 weeks
期刊介绍: Information not localized
×
引用
GB/T 7714-2015
复制
MLA
复制
APA
复制
导出至
BibTeX EndNote RefMan NoteFirst NoteExpress
×
提示
您的信息不完整,为了账户安全,请先补充。
现在去补充
×
提示
您因"违规操作"
具体请查看互助需知
我知道了
×
提示
确定
请完成安全验证×
copy
已复制链接
快去分享给好友吧!
我知道了
右上角分享
点击右上角分享
0
联系我们:info@booksci.cn Book学术提供免费学术资源搜索服务,方便国内外学者检索中英文文献。致力于提供最便捷和优质的服务体验。 Copyright © 2023 布克学术 All rights reserved.
京ICP备2023020795号-1
ghs 京公网安备 11010802042870号
Book学术文献互助
Book学术文献互助群
群 号:604180095
Book学术官方微信