成熟畸胎瘤合并膀胱结石1例并文献复习。

IF 2.7 Q2 UROLOGY & NEPHROLOGY
Research and Reports in Urology Pub Date : 2025-01-30 eCollection Date: 2025-01-01 DOI:10.2147/RRU.S497270
Anan Li, Xiaobo Wang, Chang Wang, Qingling Song, Yanbin Niu, Peng Wang, Juntao Yue
{"title":"成熟畸胎瘤合并膀胱结石1例并文献复习。","authors":"Anan Li, Xiaobo Wang, Chang Wang, Qingling Song, Yanbin Niu, Peng Wang, Juntao Yue","doi":"10.2147/RRU.S497270","DOIUrl":null,"url":null,"abstract":"<p><p>Teratoma is neoplasia originating from a germ cell, which usually contains identifiable tissue derived from all three germ cell layers. The presence of teratoma is due to an organ being affected by a tumor, which generally occurs in ovary. Teratoma is also seen occasionally in some extragonadal organs. However, a primary teratoma in the bladder is a rare entity. We hereby present a case of bladder teratoma. A 53-year-old woman whose chief complaints were urinary interruption, pilimiction, and a stone in her urine was diagnosed by cystoscopy and received rehabilitation after tumor resection surgery. She was then symptom-free and further follow-up observation was in progress. We also include a literature review concerning primary bladder teratoma.</p>","PeriodicalId":21008,"journal":{"name":"Research and Reports in Urology","volume":"17 ","pages":"11-15"},"PeriodicalIF":2.7000,"publicationDate":"2025-01-30","publicationTypes":"Journal Article","fieldsOfStudy":null,"isOpenAccess":false,"openAccessPdf":"https://www.ncbi.nlm.nih.gov/pmc/articles/PMC11789519/pdf/","citationCount":"0","resultStr":"{\"title\":\"Mature Teratoma Combined with Bladder Stones: A Case Report and Literature Review.\",\"authors\":\"Anan Li, Xiaobo Wang, Chang Wang, Qingling Song, Yanbin Niu, Peng Wang, Juntao Yue\",\"doi\":\"10.2147/RRU.S497270\",\"DOIUrl\":null,\"url\":null,\"abstract\":\"<p><p>Teratoma is neoplasia originating from a germ cell, which usually contains identifiable tissue derived from all three germ cell layers. The presence of teratoma is due to an organ being affected by a tumor, which generally occurs in ovary. Teratoma is also seen occasionally in some extragonadal organs. However, a primary teratoma in the bladder is a rare entity. We hereby present a case of bladder teratoma. A 53-year-old woman whose chief complaints were urinary interruption, pilimiction, and a stone in her urine was diagnosed by cystoscopy and received rehabilitation after tumor resection surgery. She was then symptom-free and further follow-up observation was in progress. We also include a literature review concerning primary bladder teratoma.</p>\",\"PeriodicalId\":21008,\"journal\":{\"name\":\"Research and Reports in Urology\",\"volume\":\"17 \",\"pages\":\"11-15\"},\"PeriodicalIF\":2.7000,\"publicationDate\":\"2025-01-30\",\"publicationTypes\":\"Journal Article\",\"fieldsOfStudy\":null,\"isOpenAccess\":false,\"openAccessPdf\":\"https://www.ncbi.nlm.nih.gov/pmc/articles/PMC11789519/pdf/\",\"citationCount\":\"0\",\"resultStr\":null,\"platform\":\"Semanticscholar\",\"paperid\":null,\"PeriodicalName\":\"Research and Reports in Urology\",\"FirstCategoryId\":\"1085\",\"ListUrlMain\":\"https://doi.org/10.2147/RRU.S497270\",\"RegionNum\":0,\"RegionCategory\":null,\"ArticlePicture\":[],\"TitleCN\":null,\"AbstractTextCN\":null,\"PMCID\":null,\"EPubDate\":\"2025/1/1 0:00:00\",\"PubModel\":\"eCollection\",\"JCR\":\"Q2\",\"JCRName\":\"UROLOGY & NEPHROLOGY\",\"Score\":null,\"Total\":0}","platform":"Semanticscholar","paperid":null,"PeriodicalName":"Research and Reports in Urology","FirstCategoryId":"1085","ListUrlMain":"https://doi.org/10.2147/RRU.S497270","RegionNum":0,"RegionCategory":null,"ArticlePicture":[],"TitleCN":null,"AbstractTextCN":null,"PMCID":null,"EPubDate":"2025/1/1 0:00:00","PubModel":"eCollection","JCR":"Q2","JCRName":"UROLOGY & NEPHROLOGY","Score":null,"Total":0}
引用次数: 0

摘要

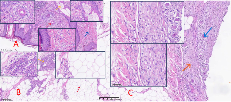
畸胎瘤是一种起源于生殖细胞的肿瘤,通常包含来自所有三个生殖细胞层的可识别组织。畸胎瘤的出现是由于器官受到肿瘤的影响,通常发生在卵巢。畸胎瘤偶尔也见于一些角外器官。然而,原发性畸胎瘤在膀胱是一个罕见的实体。我们在此报告一例膀胱畸胎瘤。一名53岁女性,主诉为尿路中断、腹痛、尿中有结石,经膀胱镜检查诊断,肿瘤切除后接受康复治疗。随后她无症状,进一步的随访观察正在进行中。我们也包括一篇关于原发性膀胱畸胎瘤的文献综述。
本文章由计算机程序翻译,如有差异,请以英文原文为准。

Mature Teratoma Combined with Bladder Stones: A Case Report and Literature Review.

Mature Teratoma Combined with Bladder Stones: A Case Report and Literature Review.

Mature Teratoma Combined with Bladder Stones: A Case Report and Literature Review.

Mature Teratoma Combined with Bladder Stones: A Case Report and Literature Review.

Teratoma is neoplasia originating from a germ cell, which usually contains identifiable tissue derived from all three germ cell layers. The presence of teratoma is due to an organ being affected by a tumor, which generally occurs in ovary. Teratoma is also seen occasionally in some extragonadal organs. However, a primary teratoma in the bladder is a rare entity. We hereby present a case of bladder teratoma. A 53-year-old woman whose chief complaints were urinary interruption, pilimiction, and a stone in her urine was diagnosed by cystoscopy and received rehabilitation after tumor resection surgery. She was then symptom-free and further follow-up observation was in progress. We also include a literature review concerning primary bladder teratoma.

求助全文
通过发布文献求助,成功后即可免费获取论文全文。 去求助
来源期刊
Research and Reports in Urology
Research and Reports in Urology UROLOGY & NEPHROLOGY-
CiteScore
3.40
自引率
0.00%
发文量
60
审稿时长
16 weeks
期刊介绍: Research and Reports in Urology is an international, peer-reviewed, open access, online journal. Publishing original research, reports, editorials, reviews and commentaries on all aspects of adult and pediatric urology in the clinic and laboratory including the following topics: Pathology, pathophysiology of urological disease Investigation and treatment of urological disease Pharmacology of drugs used for the treatment of urological disease Although the main focus of the journal is to publish research and clinical results in humans; preclinical, animal and in vitro studies will be published where they will shed light on disease processes and potential new therapies. Issues of patient safety and quality of care will also be considered.
×
引用
GB/T 7714-2015
复制
MLA
复制
APA
复制
导出至
BibTeX EndNote RefMan NoteFirst NoteExpress
×
提示
您的信息不完整,为了账户安全,请先补充。
现在去补充
×
提示
您因"违规操作"
具体请查看互助需知
我知道了
×
提示
确定
请完成安全验证×
copy
已复制链接
快去分享给好友吧!
我知道了
右上角分享
点击右上角分享
0
联系我们:info@booksci.cn Book学术提供免费学术资源搜索服务,方便国内外学者检索中英文文献。致力于提供最便捷和优质的服务体验。 Copyright © 2023 布克学术 All rights reserved.
京ICP备2023020795号-1
ghs 京公网安备 11010802042870号
Book学术文献互助
Book学术文献互助群
群 号:604180095
Book学术官方微信