非规范溶酶体脂解驱动动员脂肪组织能量储存与禁食

IF 15.7 1区 综合性期刊 Q1 MULTIDISCIPLINARY SCIENCES
GV Naveen Kumar, Rui-Sheng Wang, Ankit X. Sharma, Natalie L. David, Tânia Amorim, Daniel S. Sinden, Nandini K. Doshi, Martin Wabitsch, Sebastien Gingras, Asim Ejaz, J. Peter Rubin, Bradley A. Maron, Pouneh K. Fazeli, Matthew L. Steinhauser
{"title":"非规范溶酶体脂解驱动动员脂肪组织能量储存与禁食","authors":"GV Naveen Kumar, Rui-Sheng Wang, Ankit X. Sharma, Natalie L. David, Tânia Amorim, Daniel S. Sinden, Nandini K. Doshi, Martin Wabitsch, Sebastien Gingras, Asim Ejaz, J. Peter Rubin, Bradley A. Maron, Pouneh K. Fazeli, Matthew L. Steinhauser","doi":"10.1038/s41467-025-56613-3","DOIUrl":null,"url":null,"abstract":"<p>Physiological adaptations to fasting enable humans to survive for prolonged periods without food and involve molecular pathways that may drive life-prolonging effects of dietary restriction in model organisms. Mobilization of fatty acids and glycerol from adipocyte lipid stores by canonical neutral lipases, including the rate limiting adipose triglyceride lipase (<i>Pnpla2/</i>ATGL), is critical to the adaptive fasting response. Here we discovered an alternative mechanism of lipolysis in adipocytes involving a lysosomal program. We functionally tested lysosomal lipolysis with pharmacological and genetic approaches in mice and in murine and human adipocyte and adipose tissue explant culture, establishing dependency on lysosomal acid lipase (<i>LIPA/</i>LAL) and the microphthalmia/transcription factor E (MiT/TFE) family. Our study establishes a model whereby the canonical pathway is critical for rapid lipolytic responses to adrenergic stimuli operative in the acute stage of fasting, while the alternative lysosomal pathway dominates with prolonged fasting.</p>","PeriodicalId":19066,"journal":{"name":"Nature Communications","volume":"81 1","pages":""},"PeriodicalIF":15.7000,"publicationDate":"2025-02-04","publicationTypes":"Journal Article","fieldsOfStudy":null,"isOpenAccess":false,"openAccessPdf":"","citationCount":"0","resultStr":"{\"title\":\"Non-canonical lysosomal lipolysis drives mobilization of adipose tissue energy stores with fasting\",\"authors\":\"GV Naveen Kumar, Rui-Sheng Wang, Ankit X. Sharma, Natalie L. David, Tânia Amorim, Daniel S. Sinden, Nandini K. Doshi, Martin Wabitsch, Sebastien Gingras, Asim Ejaz, J. Peter Rubin, Bradley A. Maron, Pouneh K. Fazeli, Matthew L. Steinhauser\",\"doi\":\"10.1038/s41467-025-56613-3\",\"DOIUrl\":null,\"url\":null,\"abstract\":\"<p>Physiological adaptations to fasting enable humans to survive for prolonged periods without food and involve molecular pathways that may drive life-prolonging effects of dietary restriction in model organisms. Mobilization of fatty acids and glycerol from adipocyte lipid stores by canonical neutral lipases, including the rate limiting adipose triglyceride lipase (<i>Pnpla2/</i>ATGL), is critical to the adaptive fasting response. Here we discovered an alternative mechanism of lipolysis in adipocytes involving a lysosomal program. We functionally tested lysosomal lipolysis with pharmacological and genetic approaches in mice and in murine and human adipocyte and adipose tissue explant culture, establishing dependency on lysosomal acid lipase (<i>LIPA/</i>LAL) and the microphthalmia/transcription factor E (MiT/TFE) family. Our study establishes a model whereby the canonical pathway is critical for rapid lipolytic responses to adrenergic stimuli operative in the acute stage of fasting, while the alternative lysosomal pathway dominates with prolonged fasting.</p>\",\"PeriodicalId\":19066,\"journal\":{\"name\":\"Nature Communications\",\"volume\":\"81 1\",\"pages\":\"\"},\"PeriodicalIF\":15.7000,\"publicationDate\":\"2025-02-04\",\"publicationTypes\":\"Journal Article\",\"fieldsOfStudy\":null,\"isOpenAccess\":false,\"openAccessPdf\":\"\",\"citationCount\":\"0\",\"resultStr\":null,\"platform\":\"Semanticscholar\",\"paperid\":null,\"PeriodicalName\":\"Nature Communications\",\"FirstCategoryId\":\"103\",\"ListUrlMain\":\"https://doi.org/10.1038/s41467-025-56613-3\",\"RegionNum\":1,\"RegionCategory\":\"综合性期刊\",\"ArticlePicture\":[],\"TitleCN\":null,\"AbstractTextCN\":null,\"PMCID\":null,\"EPubDate\":\"\",\"PubModel\":\"\",\"JCR\":\"Q1\",\"JCRName\":\"MULTIDISCIPLINARY SCIENCES\",\"Score\":null,\"Total\":0}","platform":"Semanticscholar","paperid":null,"PeriodicalName":"Nature Communications","FirstCategoryId":"103","ListUrlMain":"https://doi.org/10.1038/s41467-025-56613-3","RegionNum":1,"RegionCategory":"综合性期刊","ArticlePicture":[],"TitleCN":null,"AbstractTextCN":null,"PMCID":null,"EPubDate":"","PubModel":"","JCR":"Q1","JCRName":"MULTIDISCIPLINARY SCIENCES","Score":null,"Total":0}
引用次数: 0

摘要

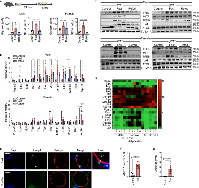
对禁食的生理适应使人类能够在没有食物的情况下长时间生存,并涉及到可能驱动模式生物饮食限制延长寿命效应的分子途径。典型中性脂肪酶,包括限速脂肪甘油三酯脂肪酶(Pnpla2/ATGL),从脂肪细胞脂质储存中动员脂肪酸和甘油,对适应性禁食反应至关重要。在这里,我们发现了脂肪细胞中涉及溶酶体程序的另一种脂肪分解机制。我们用药理学和遗传学方法对小鼠、小鼠和人类脂肪细胞和脂肪组织外植体培养的溶酶体脂溶酶体进行了功能测试,确定了对溶酶体酸性脂肪酶(LIPA/LAL)和小眼/转录因子E (MiT/TFE)家族的依赖性。我们的研究建立了一个模型,其中典型途径对于禁食急性期肾上腺素能刺激下的快速脂溶反应至关重要,而替代溶酶体途径在长时间禁食中占主导地位。
本文章由计算机程序翻译,如有差异,请以英文原文为准。

Non-canonical lysosomal lipolysis drives mobilization of adipose tissue energy stores with fasting

Non-canonical lysosomal lipolysis drives mobilization of adipose tissue energy stores with fasting

Physiological adaptations to fasting enable humans to survive for prolonged periods without food and involve molecular pathways that may drive life-prolonging effects of dietary restriction in model organisms. Mobilization of fatty acids and glycerol from adipocyte lipid stores by canonical neutral lipases, including the rate limiting adipose triglyceride lipase (Pnpla2/ATGL), is critical to the adaptive fasting response. Here we discovered an alternative mechanism of lipolysis in adipocytes involving a lysosomal program. We functionally tested lysosomal lipolysis with pharmacological and genetic approaches in mice and in murine and human adipocyte and adipose tissue explant culture, establishing dependency on lysosomal acid lipase (LIPA/LAL) and the microphthalmia/transcription factor E (MiT/TFE) family. Our study establishes a model whereby the canonical pathway is critical for rapid lipolytic responses to adrenergic stimuli operative in the acute stage of fasting, while the alternative lysosomal pathway dominates with prolonged fasting.

求助全文
通过发布文献求助,成功后即可免费获取论文全文。 去求助
来源期刊
Nature Communications
Nature Communications Biological Science Disciplines-
CiteScore
24.90
自引率
2.40%
发文量
6928
审稿时长
3.7 months
期刊介绍: Nature Communications, an open-access journal, publishes high-quality research spanning all areas of the natural sciences. Papers featured in the journal showcase significant advances relevant to specialists in each respective field. With a 2-year impact factor of 16.6 (2022) and a median time of 8 days from submission to the first editorial decision, Nature Communications is committed to rapid dissemination of research findings. As a multidisciplinary journal, it welcomes contributions from biological, health, physical, chemical, Earth, social, mathematical, applied, and engineering sciences, aiming to highlight important breakthroughs within each domain.
×
引用
GB/T 7714-2015
复制
MLA
复制
APA
复制
导出至
BibTeX EndNote RefMan NoteFirst NoteExpress
×
提示
您的信息不完整,为了账户安全,请先补充。
现在去补充
×
提示
您因"违规操作"
具体请查看互助需知
我知道了
×
提示
确定
请完成安全验证×
copy
已复制链接
快去分享给好友吧!
我知道了
右上角分享
点击右上角分享
0
联系我们:info@booksci.cn Book学术提供免费学术资源搜索服务,方便国内外学者检索中英文文献。致力于提供最便捷和优质的服务体验。 Copyright © 2023 布克学术 All rights reserved.
京ICP备2023020795号-1
ghs 京公网安备 11010802042870号
Book学术文献互助
Book学术文献互助群
群 号:604180095
Book学术官方微信