麻风结节性坏死性红斑-一例多菌性麻风患者的严重麻风反应。

IF 1 Q4 INFECTIOUS DISEASES
IDCases Pub Date : 2025-01-01 DOI:10.1016/j.idcr.2025.e02152
Hrithik Dakssesh Putta Nagarajan , Balakrishnan Kamaraj , Keerthivasan Selvanathan , Shubham Kumar , Shilpa Gaidhane , Sanjit Sah , Prakasini Satapathy , Rachana Mehta , Rodrigue Ndabashinze , Amogh Verma
{"title":"麻风结节性坏死性红斑-一例多菌性麻风患者的严重麻风反应。","authors":"Hrithik Dakssesh Putta Nagarajan ,&nbsp;Balakrishnan Kamaraj ,&nbsp;Keerthivasan Selvanathan ,&nbsp;Shubham Kumar ,&nbsp;Shilpa Gaidhane ,&nbsp;Sanjit Sah ,&nbsp;Prakasini Satapathy ,&nbsp;Rachana Mehta ,&nbsp;Rodrigue Ndabashinze ,&nbsp;Amogh Verma","doi":"10.1016/j.idcr.2025.e02152","DOIUrl":null,"url":null,"abstract":"<div><div>Necrotic erythema nodosum leprosum (ENL) is an uncommon and severe complication of multibacillary leprosy, characterized by intense systemic inflammation, ulcerative lesions, and significant morbidity. This case report describes a 32-year-old male presenting with recurrent type 2 lepra reactions and necrotic lesions exacerbated by inconsistent adherence to multidrug therapy (MDT). The patient’s management involved MDT, corticosteroids, thalidomide, and hydroxychloroquine, which led to a substantial clinical improvement. Emerging evidence and a multidisciplinary approach have been used to address this complex pathophysiology and clinical presentation. This report demonstrates the necessity for uninterrupted treatment, early recognition, and tailored therapeutic interventions for managing severe lepra reactions.</div></div>","PeriodicalId":47045,"journal":{"name":"IDCases","volume":"39 ","pages":"Article e02152"},"PeriodicalIF":1.0000,"publicationDate":"2025-01-01","publicationTypes":"Journal Article","fieldsOfStudy":null,"isOpenAccess":false,"openAccessPdf":"https://www.ncbi.nlm.nih.gov/pmc/articles/PMC11786067/pdf/","citationCount":"0","resultStr":"{\"title\":\"Necrotic erythema nodosum leprosum – A case of severe lepromatous reaction in a multibacillary leprosy patient\",\"authors\":\"Hrithik Dakssesh Putta Nagarajan ,&nbsp;Balakrishnan Kamaraj ,&nbsp;Keerthivasan Selvanathan ,&nbsp;Shubham Kumar ,&nbsp;Shilpa Gaidhane ,&nbsp;Sanjit Sah ,&nbsp;Prakasini Satapathy ,&nbsp;Rachana Mehta ,&nbsp;Rodrigue Ndabashinze ,&nbsp;Amogh Verma\",\"doi\":\"10.1016/j.idcr.2025.e02152\",\"DOIUrl\":null,\"url\":null,\"abstract\":\"<div><div>Necrotic erythema nodosum leprosum (ENL) is an uncommon and severe complication of multibacillary leprosy, characterized by intense systemic inflammation, ulcerative lesions, and significant morbidity. This case report describes a 32-year-old male presenting with recurrent type 2 lepra reactions and necrotic lesions exacerbated by inconsistent adherence to multidrug therapy (MDT). The patient’s management involved MDT, corticosteroids, thalidomide, and hydroxychloroquine, which led to a substantial clinical improvement. Emerging evidence and a multidisciplinary approach have been used to address this complex pathophysiology and clinical presentation. This report demonstrates the necessity for uninterrupted treatment, early recognition, and tailored therapeutic interventions for managing severe lepra reactions.</div></div>\",\"PeriodicalId\":47045,\"journal\":{\"name\":\"IDCases\",\"volume\":\"39 \",\"pages\":\"Article e02152\"},\"PeriodicalIF\":1.0000,\"publicationDate\":\"2025-01-01\",\"publicationTypes\":\"Journal Article\",\"fieldsOfStudy\":null,\"isOpenAccess\":false,\"openAccessPdf\":\"https://www.ncbi.nlm.nih.gov/pmc/articles/PMC11786067/pdf/\",\"citationCount\":\"0\",\"resultStr\":null,\"platform\":\"Semanticscholar\",\"paperid\":null,\"PeriodicalName\":\"IDCases\",\"FirstCategoryId\":\"1085\",\"ListUrlMain\":\"https://www.sciencedirect.com/science/article/pii/S2214250925000071\",\"RegionNum\":0,\"RegionCategory\":null,\"ArticlePicture\":[],\"TitleCN\":null,\"AbstractTextCN\":null,\"PMCID\":null,\"EPubDate\":\"\",\"PubModel\":\"\",\"JCR\":\"Q4\",\"JCRName\":\"INFECTIOUS DISEASES\",\"Score\":null,\"Total\":0}","platform":"Semanticscholar","paperid":null,"PeriodicalName":"IDCases","FirstCategoryId":"1085","ListUrlMain":"https://www.sciencedirect.com/science/article/pii/S2214250925000071","RegionNum":0,"RegionCategory":null,"ArticlePicture":[],"TitleCN":null,"AbstractTextCN":null,"PMCID":null,"EPubDate":"","PubModel":"","JCR":"Q4","JCRName":"INFECTIOUS DISEASES","Score":null,"Total":0}
引用次数: 0

摘要

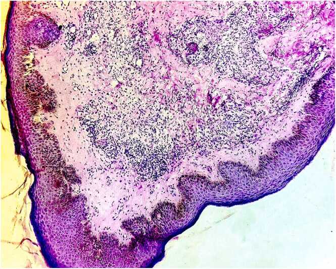
麻风结节性坏死性红斑(ENL)是多菌性麻风的一种罕见且严重的并发症,其特点是全身剧烈炎症、溃疡性病变和显著的发病率。本病例报告描述了一名32岁男性,表现为复发性2型麻风反应和坏死性病变,因坚持多药治疗(MDT)不一致而加重。患者的治疗包括MDT、皮质类固醇、沙利度胺和羟氯喹,这导致了显著的临床改善。新出现的证据和多学科的方法已经被用来解决这个复杂的病理生理和临床表现。本报告证明了对严重麻风反应进行不间断治疗、早期识别和量身定制的治疗干预的必要性。
本文章由计算机程序翻译,如有差异,请以英文原文为准。

Necrotic erythema nodosum leprosum – A case of severe lepromatous reaction in a multibacillary leprosy patient

Necrotic erythema nodosum leprosum – A case of severe lepromatous reaction in a multibacillary leprosy patient

Necrotic erythema nodosum leprosum – A case of severe lepromatous reaction in a multibacillary leprosy patient
Necrotic erythema nodosum leprosum (ENL) is an uncommon and severe complication of multibacillary leprosy, characterized by intense systemic inflammation, ulcerative lesions, and significant morbidity. This case report describes a 32-year-old male presenting with recurrent type 2 lepra reactions and necrotic lesions exacerbated by inconsistent adherence to multidrug therapy (MDT). The patient’s management involved MDT, corticosteroids, thalidomide, and hydroxychloroquine, which led to a substantial clinical improvement. Emerging evidence and a multidisciplinary approach have been used to address this complex pathophysiology and clinical presentation. This report demonstrates the necessity for uninterrupted treatment, early recognition, and tailored therapeutic interventions for managing severe lepra reactions.
求助全文
通过发布文献求助,成功后即可免费获取论文全文。 去求助
来源期刊
IDCases
IDCases INFECTIOUS DISEASES-
CiteScore
2.60
自引率
6.70%
发文量
300
审稿时长
10 weeks
×
引用
GB/T 7714-2015
复制
MLA
复制
APA
复制
导出至
BibTeX EndNote RefMan NoteFirst NoteExpress
×
提示
您的信息不完整,为了账户安全,请先补充。
现在去补充
×
提示
您因"违规操作"
具体请查看互助需知
我知道了
×
提示
确定
请完成安全验证×
copy
已复制链接
快去分享给好友吧!
我知道了
右上角分享
点击右上角分享
0
联系我们:info@booksci.cn Book学术提供免费学术资源搜索服务,方便国内外学者检索中英文文献。致力于提供最便捷和优质的服务体验。 Copyright © 2023 布克学术 All rights reserved.
京ICP备2023020795号-1
ghs 京公网安备 11010802042870号
Book学术文献互助
Book学术文献互助群
群 号:604180095
Book学术官方微信